120

Денис Арбиевич Осипов

Вы можете доверять информации на этой странице
Представитель организации регулярно обновляет информацию и просматривает отзывы.
Стаж 5 лет
5,0
/ 12 отзывов и 37 оценок
Отличный специалист
Услуги и цены
Осмотр врача-стоматолога 500 ₽
Все цены
О специалисте
Сообщить об ошибке
Профессиональный стаж:
5 лет
Должность:
Директор
Стоимость услуг:
500 - 230 000 руб.
Директор стоматологической клиники МидаДент в районе Митино.

В моем арсенале самые современные европейские протоколы и новейшее оборудование!

Окончил престижный московский ВУЗ и прошёл обучение в Швейцарской Стоматологической Академии.

Сертифицированный специалист GBT

"Быстро и качественно проведу профессиональную гигиену полости рта!"

Без боли!

Всего за 1 час!

Более сотни клиентов уже довольны результатом!
... Показать еще
Места работы врача Дениса Арбиевича Осипова
Для получения дополнительной информации по стоимости услуг и записи к специалисту позвоните по номеру телефона организации
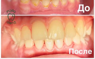
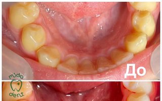
Фото работ врача Дениса Арбиевича Осипова
Прайс-лист
Сортировать:
по умолчанию
по цене
Консультации в стоматологии
Осмотр врача-стоматолога
Стоматологический осмотр — это систематическое обследование, в ходе которого врач тщательно оценивает...
500
Стоматология
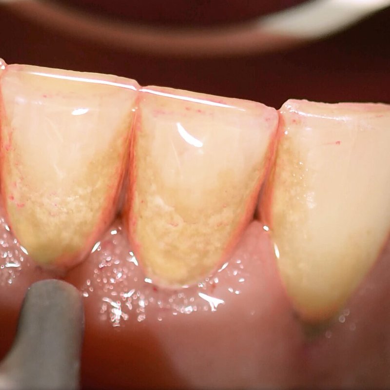
Профессиональная гигиена (Air-Flow)
Профессиональная гигиена полости рта (чистка зубов) – система лечебно-профилактических мероприятий, ...
5000
Профессиональная гигиена по протоколу GBT
Передовой метод профилактики заболеваний полости рта. Разработан Швейцарской Медицинской Академией
6500 — 10 000
Лечение пародонтита PERIOFLOW
Удалите биоплёнку в карманах от 4 до 9мм и до 9 мм вокруг имплантатов. Удаления поддесневой биопленки...
от 2000
Лечение периимплантита PERIOFLOW
PERIOFLOW® - единственное решение для полного удаления биопленки вокруг зубных имплантатов. PERIOFLOW®...
от 2000
Лечение кариеса
Лечение кариеса включает удаление пораженных тканей и восстановление целостности зуба, используя пломбировочные...
от 5000 за 1 зуб
Исследование интраоральной камерой
Интраоральный 3D-сканер – прибор, который позволяет провести сканирование зубов пациента и онлайн получать...
5000
Лечение муккозита PERIOFLOW
PERIOFLOW® является ключевым фактором для ухода за остаточными пародонтальными карманами после лечения...
от 2000
Глубокое фторирование эмали
На каппах
от 2500 за 1 челюсть
Глубокое фторирование эмали
В области одного зуба
500 за 1 зуб
Цены, приведённые на сайте, не окончательные, не являются публичной офертой и носят информационный характер. Администрация оставляет за собой право изменять цены.
Вы можете уточнить стоимость по телефону.
Сертификаты и документы

Общее мнение пользователей на основе 12 отзывов

Денис Арбиевич Осипов — профессиональный стоматолог с пятилетним стажем, который заслужил доверие пациентов своей внимательностью, качественными процедурами и дружелюбным отношением. Он умеет быстро и безболезненно выполнять гигиену, а пациенты ценят его индивидуальный подход и высокое качество работы.
Основные положительные моменты, отмеченные пользователями
Внимательный и заботливый специалист
Качественное и быстрое выполнение процедур
Индивидуальный подход к пациентам
Доброжелательное отношение и коммуникация
Высокий уровень профессионализма

Отзывы о враче Денисе Арбиевиче Осипове

Фото пользователей

Сортировать по:
  • 5,0
    Доктор Денис Арбиевич Осипов провел профессиональную гигиену полости рта. Все качественно, стоит своих денег. Персонал вежлив и обходителен. Приду снова обязательно!!!
  • 5,0
    Хочу поблагодарить Осипова Дениса Арбиевича за профессиональный и индивидуальный подход к лечению пациентов. Очень внимательный специалист, обязательно вернусь вновь!
  • 5,0
    Замечательный доктор! Очень отзывчивый и приятный в общении человек. Быстро и качественно проводит процедуры, очень подробно отвечает на вопросы. Очень довольна посещением врача!
  • 5,0
    Отличный доктор! Провел лечение по протоколу GBT! Один их лучших специалистов которых я видел. Всё прошло быстро и безболезненно!
  • 5,0
    Огромное спасибо всем сотрудникам клиники, Долго выбирала клинику и не жалею, считаю эту клинику одной из самых лучших. Осталась полностью довольна работой хирурга! Быстро и без боли поставил имплантат!
  • 5,0
    Был в стоматологии МидаДент, врач Денис Арбиевич провел профессиональную гигиену, очень доволен результатом!
  • 5,0
    Денис Арбиевич настоящий профессионал, очень довольна проведенной гигиеной полости рта!
  • 5,0
    Денис Арбиевич сделал профессиональную чистку зубов, очень довольна результатом, а главное, безболезненно и быстро!
  • 5,0
    Прекрасное отношение к клиенту. Денис Арбиевич провел изумительную гигиену полости рта. Все на высшем уровне! Спасибо!
  • 5,0
    Осипов Денис Арбиевич сделал прекрасную чистку, у меня теперь совершенно белые зубы! Очень советую профессиональную гигиену по протоколу GBT
  • 5,0
    Прекрасные впечатления от приёма! 3D сканирование это что-то новое! Ну и врач сделал первоклассную проф. гигиену. Спасибо большое приду ещё
  • 5,0
    Отличный врач Осипов Денис Арбиевич в стоматологии МидаДент! Сделали отличную профессиональную гигиену!
5,0
12 отзывов и 37 оценок
Оцените или напишите отзыв
Напишите отзыв, чтобы помочь другим пользователям с выбором.
Написать отзыв Редактировать отзыв
Отзывы с оценками
Образование
  • 2017–2022 — Московский государственный медико-стоматологический университет имени А. И. Евдокимова (неофициальное название «3-й мед») - основной в России медицинский университет по подготовке врачей-стоматологов.
Сертификаты
  • 2021–2021 — Swiss Dental Academy (Швейцарская стоматологическая академия)
  • 2022–2022 — Сертификат StarSmile "Ортодонтия без брекетов"
  • 2024–2024 — Ceramic Intensive 2.0 Практический курс "Ортопедия от А до Я"
Опыт и достижения
Прочее
  • 2021 — МидаДент

Часто задаваемые вопросы об Осипове Денисе Арбиевиче

  • Как пациенты оценивают Осипова Дениса Арбиевича?
  • Какой трудовой стаж у Осипова Дениса Арбиевича?
  • Какое ведущее направление деятельности Осипова Дениса Арбиевича?
  • Дорого ли Осипов Денис Арбиевич оценивает свои услуги?
  • Могу ли я ознакомиться с лицензиями Осипова Дениса Арбиевича?
  • Где можно ознакомиться с портфолио Осипова Дениса Арбиевича?
  • Могу ли я увидеть фотографии Осипова Дениса Арбиевича?
Информация предназначена для ознакомления и не заменяет квалифицированную медицинскую помощь. Проконсультируйтесь с врачом!
Средняя оценка - 5,0 на основании 12 отзывов и 37 оценок