277

Таймураз Назимович Амирханов

Стаж 18 лет Высшая категория
4,2
/ 20 отзывов и 51 оценка
Большой стаж
О специалисте
Сообщить об ошибке
Профессиональный стаж:
18 лет
Должность:
Главный врач и основатель стоматологического центра ARS Dent...
Таймураз Назимович ведет врачебную практику в области хирургической стоматологии. Он успешно проводит операции по имплантации и устраняет заболевания полости рта любой сложности. Учился у лучших специалистов в Италии, Франции, Германии, США, ОАЭ и Нидерландах.
Места работы врача Таймураза Назимовича Амирханова
Для получения дополнительной информации по стоимости услуг и записи к специалисту позвоните по номеру телефона организации или самостоятельно запишитесь на удобное время через форму онлайн записи.
Запись на приём онлайн
пн
вт
ср
чт
пт
сб
вс
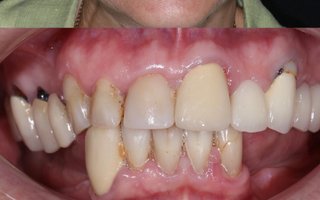
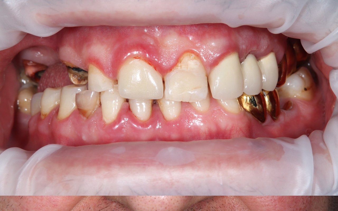
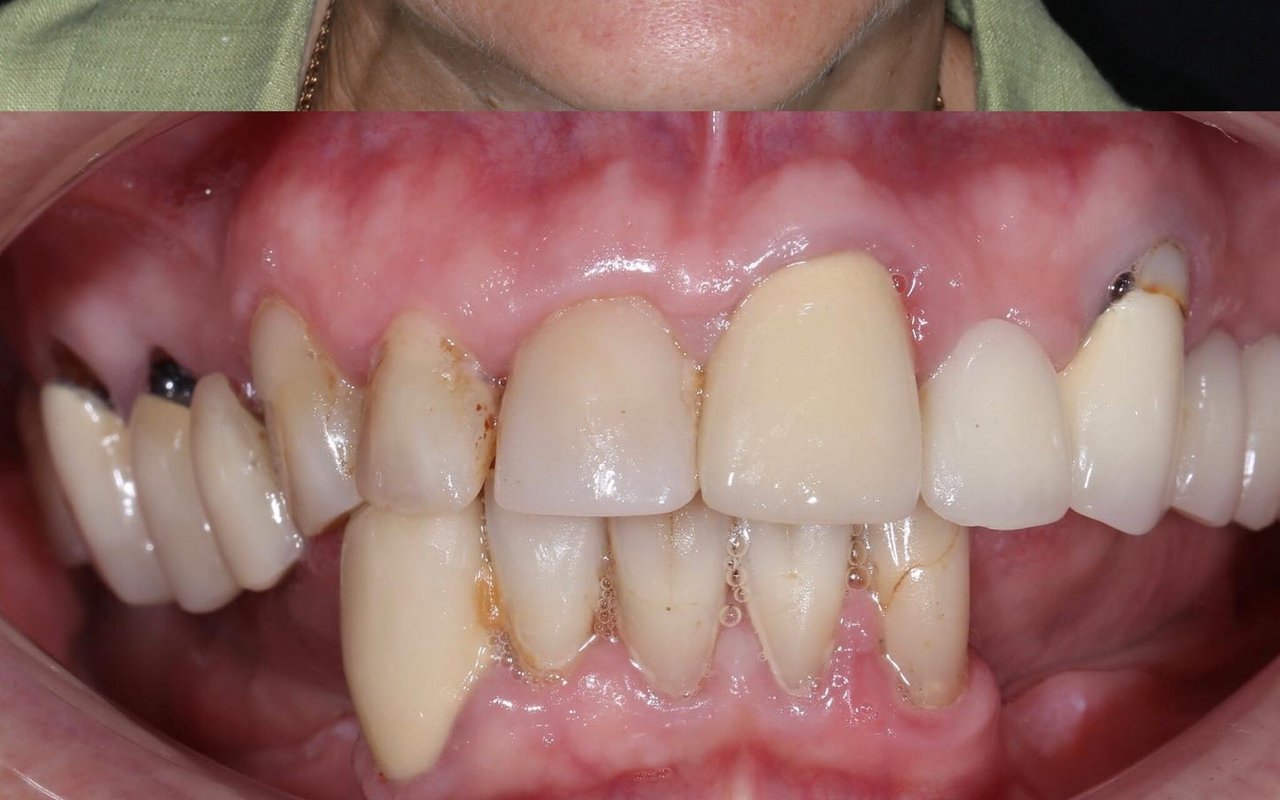
Фото работ врача Таймураза Назимовича Амирханова

Общее мнение пользователей на основе 20 отзывов

Таймураз Назимович Амирханов — опытный главный врач и имплантолог со 17-летним стажем. Пациенты ценят его профессионализм, заботливое отношение и умение подробно объяснять процедуры. Он быстро и качественно решает сложные случаи, делая процесс максимально комфортным и результативным.
Основные положительные моменты, отмеченные пользователями
Высокий профессионализм
Подробные объяснения
Доброжелательное отношение
Быстрая и качественная работа
Многочисленные положительные отзывы

Отзывы о враче Таймуразе Назимовиче Амирханове

Фото пользователей

Сортировать по:
  • 5,0
    С большой благодарностью пишу этот отзыв Таймуразу Назимовичу. Ставила два импланта в АРС Дентал Клиник.

    Сначала отправила мужа на разведку. Он поставил три импланта и потребовалась операция по удалению кисты через десну. Когда все прижилось успешно у мужа, я записалась сама.

    Таймураз Назимович работает быстро и четко. Имплантация зубов не самая приятная процедура, но в руках профессионала страдания сводятся к минимуму (чтобы совсем не страдать, надо беречь зубы смолоду).

    Сейчас все усп
    – показать
  • 5,0
    Лучший хирург из которых я встречала, проходила хирургическое лечение и протезирование, я восторге! Спасибо за проделанную работу)
  • 5,0
    Лучший имплантолог!! Сделал красивую улыбку родителям о которых они так долго мечтали, но из-за страха на имплантацию не как не лишались. Оказалось все не так страшно!!!! Спасибо команде Arsdentalclinic.
  • 5,0
    Хотела выразить огромную благодарность Таймуразу Назимовичу! Чуткий, отзывчивый специалист с золотыми руками. Долго искала специалиста, который займется моей большой проблемой,носила съемные протезы от которых тошнило и постоянно падали, подруга с работы порекомендовала обратиться к Таймураз Назимовичу в Arsdentalclinic, так как сама проходила лечение у доктора и осталась довольна. Доктор направил на снимок, составил план лечения. В день операции установили по 4 импланта на верх и низ – показать
  • 5,0
    Огромная благодарность Таймуразу Назимовичу за его золотые руки, попал по рекомендации коллеги, сам из Москвы, был запущенный случай за который не хотели браться, записался на консультацию, все подробно рассказали!! Доктор установил по 4 импланта на верхнюю и нижнюю челюсть и временные зубы на следующий, очень доволен результатом!!
  • 5,0
    Устанавливали имплантаты моему отцу по методике все на 4, на обе челюсти. Операция длилась не долго, большой плюс временные протезы установили на следующий день.Без боли не обошлось, но доктор предупредил и назначил необходимые лекарства. На все интересующие вопросы доктор дал развернутые ответы. Спасибо,будем рекомендовать)))
  • 5,0
    Хочу выразить благодарность Таймуразу Назимовичу и сотрудникам клиники!!! За чуткое отношение и быстрый результат. Установили 8 имплантатов и сделали временные прорезы, конечно было страшно, но все прошло на столько быстро, что я и не поверил об окончании операции. Ждём заживления и постоянных протезов.
  • 5,0
    Много лет знаком и наблюдаюсь у доктора Таймураза Амирханова, были показания к установке имплантов, не как не мог найти время в связи с непростым графиком работы.
    Пришло время и я решился, установили 5 швейцарских имплантатов. В руках доктора не сомневался, но скажу так было страшно, операция прошла на рас))) дал подробные рекомендации, жду снятия швов и дальнейшей установки коронок!
  • 5,0
    Живу рядом с Arsdentalclinic, долго боялся зайти на осмотр, так как не знаком с клиникой, записался на консультацию к имплантологу, попал к Таймуразу Назимовичу. Доктор подробно все рассказал, успокоил, составил план лечения. В день операции установили по 4 имплантата на каждую челюсть и сделали временные коронки, не обошлось без припухлости, но доктор заранее объяснил, что будет отек, дал назначения, пока все по плану.
  • 5,0
    Записалась на консультацию в Arsdentalclinic к Таймуразу Назимовичу по поводу имплантации, доктор все подробно объяснил и рассказал. Конечно взяла время подумать, так как имплантов надо было ставить не мало. 8.08.2022 я решилась, операция длилась относительно не долго, не считая, что мне поставили 8 имплантов, большой плюс через пару дней я с зубами, не обошлось без отеков, но доктор предупредил и я не переживала, пока все хорошо, ждём постоянных конструкций)) Рекомендую!!!!
  • 5,0
    Таймураз Назимович доктор с большой буквы! Решил проблему с моими зубами!!! Путь был длинный от имплантов до коронок, спасибо доктор за проделанную не легкую работу, я счастлив!!
  • 5,0
    Очень долго искал стоматолога,тат как имел негативный опыт в прошлом, знакомые посоветовали обратится к Таймуразу Назимовичу. Доктор дал подробную консультацию, составил план лечения, все конкретно и по делу. Установили имплантаты, первый этап позади, полёт нормальный))),, отдельно хочу отметить коллектив клиники, всегда поддержат добрым словом, приятные и отзывчивые)
  • 5,0
    Огромная благодарность Таймураз Назимовичу, Рите и Полине. Добрый, отзывчивый, профессиональный коллектив. Только два часа тому назад был на имплантации. Таймураз Назимович, вы лучший! С уважением, Юрий Петрович.
  • 5,0
    С детства боюсь стоматологов, в следствии чего потерял много зубов. По рекомендации попал к Таймураза Назимовичу. Установили имплантаты, дал подробные рекомендации, ждем дальнейшего протезирования)) спасибо доктор))
  • 5,0
    Пришла по рекомендации к Таймуразу Назимовичу, так как сложный случай, боюсь зубных врачей. Установила имплантаты, главное без били)))) спасибо большое доктор)))
  • 5,0
    Отличный специалист, качественно, быстро. Ценю пунктуальность. Спасибо Таймураз Назимович.
  • 5,0
    Удаляла 4 зуба мудрости по ортодонтическим показаниям у доктора Таймураза Назимовича. Всё прошло быстро и безболезненно. Спасибо большое доктор!
  • 4,0
    Приехала в отпуск в красивейший город Санкт-Петербург. Во время отдыха жутко разболелся зуб, ещё у меня уже были проблемы с зубами: один зуб полностью раскрошился до корней, а на другом зубе расшатался штифт и выпала коронка. Короче, полный букет! Хорошие знакомые посоветовали обратиться к Амирханову Таймуразу Назимовичу. И я ни капли об этом не пожалела и осталась в Восторге! Очень внимательный и уважительный врач! В ходе обследования выяснилось, что болевые ощущения вызваны кистой. За одну опе – показать
  • 1,0
    Самый отвратительный стоматолог из тех, что я видела. Работает без перчаток, заставляет своими же руками лезть себе в рот. Сидит в телефоне и кричит на пациентов. Не рекомендую!
    • Здравствуйте Ира, есть сомнения в вашем отзыве, свяжитесь с нами по телефону 322-97-55, с уважением Амирханов Т.Н
  • 1,0
    Отношение к пациенту, как к пустому месту. Не обработал и не проверил ранку после удаления зуба. Уже несколько месяцев болит… Сомневаюсь, что все восторженные отзывы о доброте и отзывчивости-реальные.
4,2
20 отзывов и 51 оценка
Оцените или напишите отзыв
Напишите отзыв, чтобы помочь другим пользователям с выбором.
Написать отзыв Редактировать отзыв
Отзывы с оценками
Образование
  • 2008 — Дагестанский государственный медицинский университет (стоматология)
  • 2009 — Санкт-Петербургская Медицинская академия последипломного образования (МАПО)
Курсы повышения квалификации
  • 2011 — Санкт-Петербургская Медицинская академия последипломного образования (МАПО) (стоматология хирургическая)
  • 2013 — Санкт-Петербургская Медицинская академия последипломного образования (МАПО) (стоматология ортопедическая)
  • 2015 — Adin implant system implantologi course “Немедленная нагрузка у пациентов с адентией»
  • 2015 — Прошёл продвинутый курс: «Методики проведения костной пластики,синус-лифтинга, расщепления альвеолярного гребня. Клинические и лабораторные этапы.
  • 2015 — Прошёл курс: Одномоментная имплантация и немедленная нагрузка» Клинические и лабораторные этапы.
  • 2016 — Посетил лекционный курс Гаджи Дажаева «Планирование ортопедического лечения»
  • 2016 — Принял участие в семинаре на тему: Искусство и эстетика съемного протезирования.
  • 2017 — принял участие в семинаре и мастер-классе «Керамические реставрации в повседневной практике»
  • 2017 — Принял участие в курсе Доктора Отто Цура : « Пластика мягких тканей в области имплантатов : современные стратегии достижения хорошего долгосрочного биологического и эстетического результата»
  • 2017 — Принял участие в курсе Гамида Насуева«Факторы выбора ортопедических конструкций»
  • 2017 — Прослушал курс Dr. Markus Hurzeler «современное имплантологическое лечение»
  • 2017 — Прослушал курс и принял участие в мастер классе «Регенеративные технологии в дентальной имплантологии «
  • 2017 — Принял участие в практическом курсе « Дзен прямой реставрации-путь к совершенствованию»
  • 2017 — Принял участие в учебном курсе «Теоретические аспекты прямого восстановления зубов»
  • 2017 — Курс «Критерии успеха планирование и реализация частичного и полного съемного протеза с опорой на мягкие ткани и имплантаты в комплексном протезировании»
  • 2018 — Участник курса Dr. Inaki Gamborena «Успех имплантологического лечения и лечения осложнений во фронтальном отделе»
  • 2018 — Принял участие в мастер-классе « Костная аугментация гребня челюсти в дентальной имплантологии»
  • 2018 — Принял участие в семинаре на тему: «Разоблачение полного съемного протезирования»
  • 2018 — Прослушал семинар на тему: Диагностика и планирование стоматологического лечения» доктор И.А. Скляров
  • 2018 — Успешно прошёл курс « Восстановление дефектов зубного ряда в сочетании с методикой немедленной зубоальвеолярной реконструкции (IDR)
  • 2019 — Принял участие в симпозиуме Dentium , Istanbul
  • 2019 — Успешно окончил курс « Хирургические и ортопедические аспекты метода реабилитации по концепции All-on-4»
  • 2019 — Успешно прошёл теоретический курс: « Мастерство протезирования»Др. А.Бабуров
  • 2019 — Успешно прошёл курс « современные эстетические протоколы периохирургии и имплантологии» Dr. Robert Carvalho da Silva
  • 2019 — Пошаговый план лечения:последовательность этапов успешной реабилитации . Mauro Fradeani,Милан
Опыт и достижения
Научная степень
  • Кандидат наук

Часто задаваемые вопросы об Амирханове Таймуразе Назимовиче

  • Какова средняя оценка Амирханова Таймураза Назимовича на сайте Zoon.ru?
  • Сколько времени Амирханов Таймураз Назимович работает по специальности?
  • Какой у Амирханова Таймураза Назимовича профессиональный титул?
  • Какое ведущее направление деятельности Амирханова Таймураза Назимовича?
  • Могу ли я ознакомиться с выполненными работами Амирханова Таймураза Назимовича?
  • Где можно посмотреть фото Амирханова Таймураза Назимовича?
Информация предназначена для ознакомления и не заменяет квалифицированную медицинскую помощь. Проконсультируйтесь с врачом!
Средняя оценка - 4,2 на основании 20 отзывов и 51 оценки
Вверх