55
Вы владелец профиля?

Анна Карленовна Мартиросян

Стаж 13 лет
4,6
/ 2 отзыва и 14 оценок
Услуги и цены
Консультация ведущего специалиста 1500 ₽
Все цены
О специалисте
Сообщить об ошибке
Профессиональный стаж:
13 лет
Должность:
Ортодонт, ведущий специалист
Стоимость услуг:
1500 - 185 000 руб.
Ведущий ортодонт клиники Анна Карленовна в своей работе сочетает любовь к геометрии и эстетике, что позволяет ей создавать идеальные результаты для пациентов.

Она занимается как лечением детей, так и взрослых, что требует от нее не только высокой квалификации, но и терпения и понимания. Ра
ботая с каждым пациентом, она стремится не только исправить прикус, но и сохранить гармонию в улыбке и уверенность в себе.
... Показать еще
Места работы врача Анны Карленовны Мартиросян
Для получения дополнительной информации по стоимости услуг и записи к специалисту позвоните по номеру телефона организации или самостоятельно запишитесь на удобное время через форму онлайн записи.
Запись на приём онлайн
пн
вт
ср
чт
пт
сб
вс
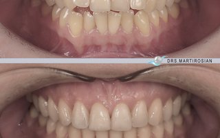
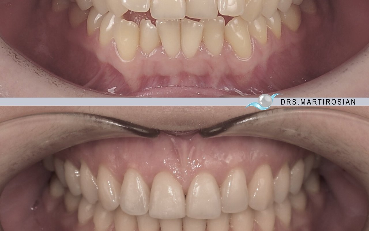
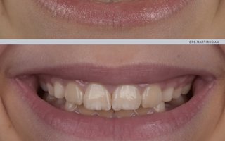
Фото работ врача Анны Карленовны Мартиросян
Прайс-лист
Сортировать:
по умолчанию
по цене
Консультация ведущего специалиста
1500
Лечение на металлической брекет-системе Damon Q (США)
77 000
Лечение на металлической брекет-системе Damon Сlear (США)
97 000
Лечение на элайнерах Spark (США)
185 000
Аппарат Марко Росса для расширения верхней челюсти
49 000
Аппарат Гербста для роста нижней челюсти
58 000
Пластинка для коррекции прикуса двучелюстная
14 500
Капа от бруксизма
19 500
Защитная спортивная капа
19 500
Составление плана лечения
7000
Цены, приведённые на сайте, не окончательные, не являются публичной офертой и носят информационный характер. Администрация оставляет за собой право изменять цены.
Вы можете уточнить стоимость по телефону.
Сертификаты и документы

Отзывы о враче Анне Карленовне Мартиросян

Сортировать по:
  • Выражаю благодарность Анне Карленовне Мартиросян за безупречную работу в моём ортодонтическом лечении. Рекомендую лечиться именно у нее. Анна настоящий профессионал. Я была у 3х ортодонтов в разных клиниках на этапе выбора врача. В итоге выбрала Анну и клинику «Полный порядок». Очень рада, что попала в её золотые руки. Спасибо всему персоналу клиники «Полный порядок» за всесторонний профессиональный подход к приему пациентов.
  • Клиника отличается высоким качеством оказания услуг, в первую очередь, ортодонтических. Я долго выбирала ортодонтов, потому что был сложный случай — надо было двигать восьмерку на место удаленной семерки, чтобы не ставить имплант. Я живу в Москве и тут в одной неплохой клинике мне сказали, что для взрослых подобные манипуляции не делаются! Но я нашла клинику в Петербурге и ездила в другой город на установку и обслуживание брекетов. Лечение длительное, но в итоге все промежутки закрыты, на их мес – показать
4,6
2 отзыва и 14 оценок
Оцените или напишите отзыв
Напишите отзыв, чтобы помочь другим пользователям с выбором.
Написать отзыв Редактировать отзыв
Отзывы с оценками
Образование
  • 2007–2012 — Стоматологический факультет СПбГМУ им. акад. И.П. Павлова.
  • 2012–2013 — Клиническая интернатура по специальности «Стоматология общей практики» в СЗГМУ им. И.И.Мечникова.
  • 2013–2015 — Ординатура по специальности «Ортодонтия» СЗГМУ им. И.И.Мечникова,
  • 2015 — Северо-Западный государственный медицинский университет им. И.И. Мечникова (Ординатура по специализации Ортодонтия)
Сертификаты
  • 2012–2012 — «Принятие решений в эндодонтии. Планирование лечения». Учебный центр «Амфодент», профессор Филипп Шлейман
Курсы повышения квалификации
  • 2020 — Образовательный стандарт (Ортодонтия)
Опыт и достижения
  • MINIMALÍST клиника
  • MINIMALÍST клиника

Часто задаваемые вопросы о Мартиросян Анне Карленовне

  • Как пациенты оценивают Мартиросян Анну Карленовну?
  • Какой рабочий стаж у Мартиросян Анны Карленовны?
  • Какое основное направление деятельности Мартиросян Анны Карленовны?
  • Дорого ли мне обойдутся услуги Мартиросян Анны Карленовны?
  • Есть ли у Мартиросян Анны Карленовны необходимые сертификаты?
  • Можно ли ознакомиться с примерами выполненных работ Мартиросян Анны Карленовны?
  • Где я могу посмотреть фото Мартиросян Анны Карленовны?
Информация предназначена для ознакомления и не заменяет квалифицированную медицинскую помощь. Проконсультируйтесь с врачом!
Средняя оценка - 4,6 на основании 2 отзывов и 14 оценок
Вверх