49

Амаль Магомедалиевич Магомедов

Стаж 7 лет
5,0
/ 2 отзыва и 1 оценка
Отличный специалист
О специалисте
Сообщить об ошибке
Профессиональный стаж:
7 лет
Должность:
Врач стоматолог общей практики
Лечение кариеса и его осложнений. Удаление зубов. Лечение пульпита и периодонтита
Районы: Московский
Места работы врача Амаля Магомедалиевича Магомедова
Для получения дополнительной информации по стоимости услуг и записи к специалисту позвоните по номеру телефона организации или самостоятельно запишитесь на удобное время через форму онлайн записи.
Запись на приём онлайн
пн
вт
ср
чт
пт
сб
вс
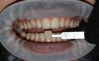
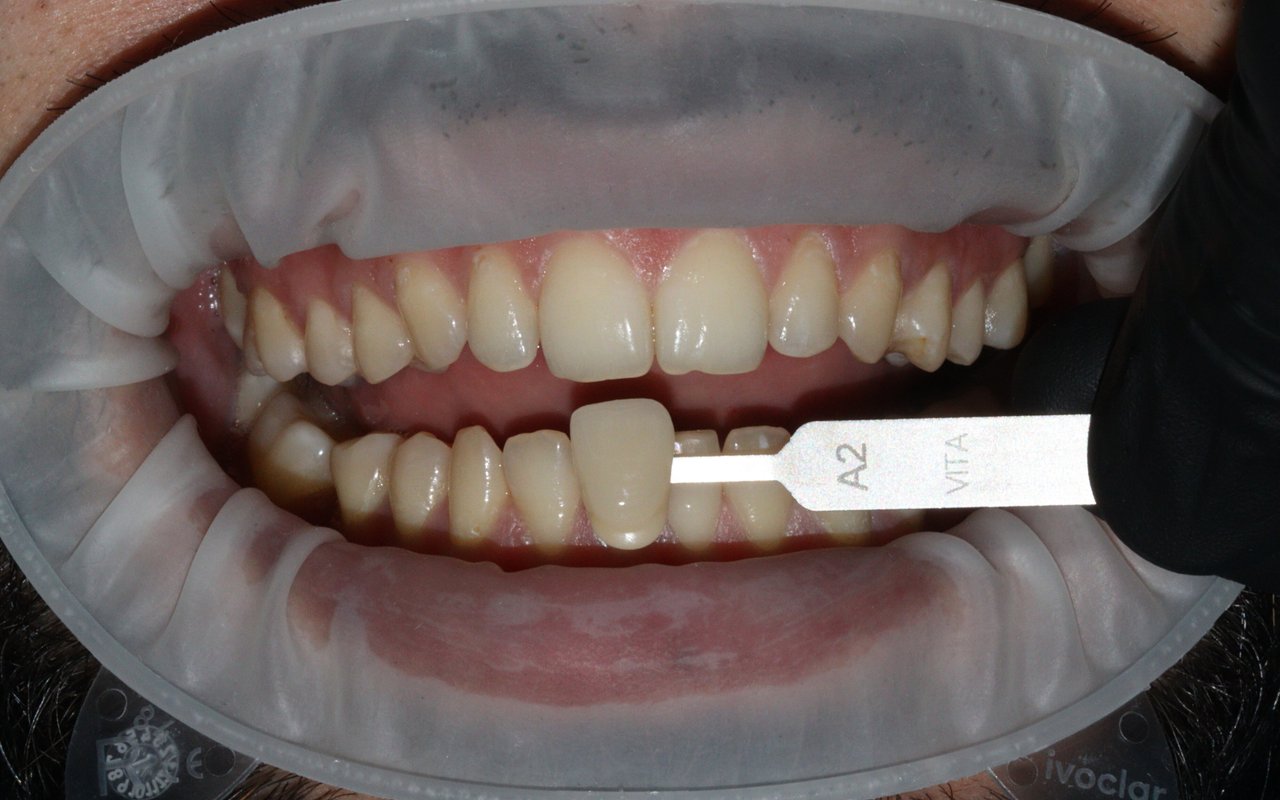
Фото работ врача Амаля Магомедалиевича Магомедова
Сертификаты и документы

Отзывы о враче Амале Магомедалиевиче Магомедове

Сортировать по:
  • 5,0
    Привет!
    В основном лечу кариес у магомедова. Он всегда описывает самые мелкие детали лечения, предлагает разные варианты если нужно. Советую этого врача
    Всем желаю здоровья
  • 5,0
    Комментарий:
    Проходила у Магомедова санацию перед установкой брекетов. Доктор профессионал, объяснял каждое действие что да почему.
5,0
2 отзыва и 1 оценка
Оцените или напишите отзыв
Напишите отзыв, чтобы помочь другим пользователям с выбором.
Написать отзыв Редактировать отзыв
Отзывы с оценками
Образование
  • 2019 — ФГБОУ ВО Санкт-Петербургский государственный педиатрический медицинский университет Минздрава России в 2019 по специальности врач стоматолог общей практики
Опыт и достижения
  • 5 лет

Часто задаваемые вопросы о Магомедове Амале Магомедалиевиче

  • Как посетители сайта Zoon.ru оценивают Магомедова Амаля Магомедалиевича?
  • Является ли Магомедов Амаль Магомедалиевич опытным специалистом?
  • В каком районе принимает Магомедов Амаль Магомедалиевич?
  • На чем специализируется Магомедов Амаль Магомедалиевич?
  • Есть ли возможность ознакомиться с сертификатами Магомедова Амаля Магомедалиевича?
  • Где я могу ознакомиться с портфолио Магомедова Амаля Магомедалиевича?
  • Есть ли возможность увидеть фото Магомедова Амаля Магомедалиевича?
Информация предназначена для ознакомления и не заменяет квалифицированную медицинскую помощь. Проконсультируйтесь с врачом!
Средняя оценка - 5,0 на основании 2 отзывов и 1 оценки
Вверх