54

Валентина Сергеевна Кондратьева

Вы можете доверять информации на этой странице
Представитель организации регулярно обновляет информацию и просматривает отзывы.
4,4
/ 19 оценок
О специалисте
Сообщить об ошибке
Врач стоматолог.

Топ-доктор стоматологической клиники «Колибри», г. Воронеж, ведущий специалист по эстетической реставрации зубов, врач стоматолог-терапевт, врач стоматолог-хирург.

Врач-консультант и opinion leader компании 3М ESPE.
Лектор Российского Стоматологического Обществ
а.
11 лет успешной стоматологической практики.

Консультация и прием пациентов осуществляется по предварительной записи.
... Показать еще
Места работы врача Валентины Сергеевны Кондратьевой
Для получения дополнительной информации по стоимости услуг и записи к специалисту позвоните по номеру телефона организации
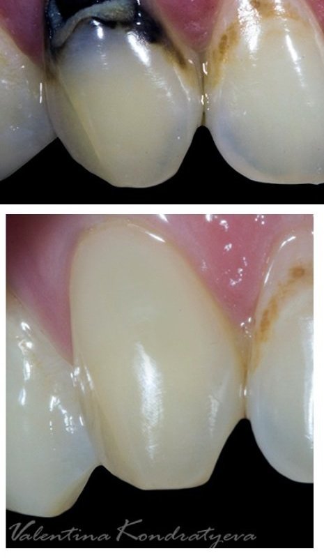
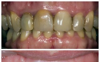
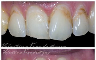
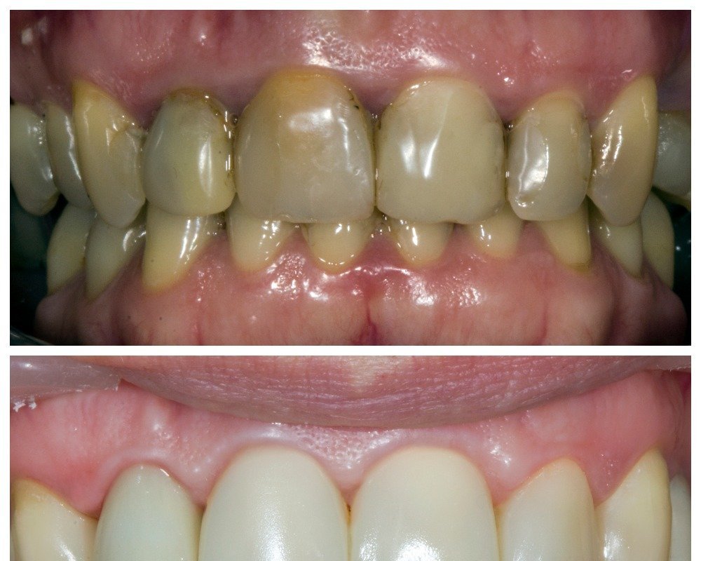
Фото работ врача Валентины Сергеевны Кондратьевой

Отзывы о враче Валентине Сергеевне Кондратьевой

Отзывов пока нет — ваш может стать первым
Поделитесь мнением и помогите другим определиться с выбором.
4,4
0 отзывов и 19 оценок
Оцените или напишите отзыв
Напишите отзыв, чтобы помочь другим пользователям с выбором.
Написать отзыв Редактировать отзыв

Часто задаваемые вопросы о Кондратьевой Валентине Сергеевне

  • Как пациенты оценивают Кондратьеву Валентину Сергеевну?
  • Какое базовое направление деятельности Кондратьевой Валентины Сергеевны?
  • Где я могу ознакомиться с портфолио Кондратьевой Валентины Сергеевны?
  • Есть ли возможность увидеть фотографии Кондратьевой Валентины Сергеевны?
Информация предназначена для ознакомления и не заменяет квалифицированную медицинскую помощь. Проконсультируйтесь с врачом!
Средняя оценка - 4,4 на основании 19 оценок
Вверх