458

Михаил Александрович Давыдов

Вы можете доверять информации на этой странице
Представитель организации регулярно обновляет информацию и просматривает отзывы.
Стаж 29 лет
4,6
/ 48 отзывов и 45 оценок
Отличный специалист
О специалисте
Сообщить об ошибке
Профессиональный стаж:
29 лет
Врач-стоматолог, один из ведущих специалистов в области хирургической и ортопедической имплантологии. Специализируется на имплантологии, но является специалистом широкого профиля.

«Мне интересна моя работа и я получаю удовольствие от результата. Всегда составляю план лечения не из «финансов
ых соображений», а учитывая потребности и нужды пациента. Соответственно и все врачи клиники Колибри ведут такую же политику взаимоотношений с пациентами».

Благодаря глубоким знаниям и практическим навыкам в различных сферах стоматологии, использует комплексный подход при лечении. Выбирая себе стоматолога, люди ищут не только компетентных и грамотных специалистов. Они хотят видеть еще и человека. С таким врачом и поговорить приятно и доверить свои зубы не страшно. Михаил Александрович – это душа клиники Колибри, и Ваш личный стоматолог, которого Вы так долго искали.

Консультация и прием пациентов осуществляется по предварительной записи.
... Показать еще
Места работы врача Михаила Александровича Давыдова
Для получения дополнительной информации по стоимости услуг и записи к специалисту позвоните по номеру телефона организации
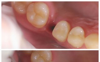
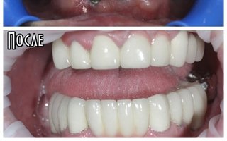
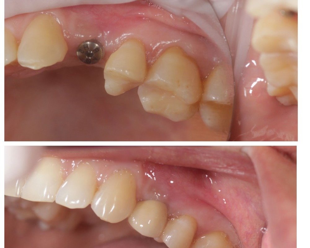
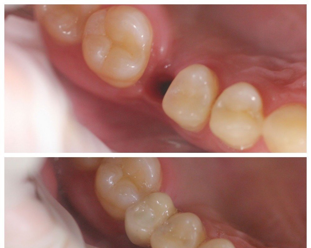
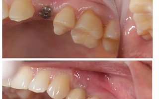
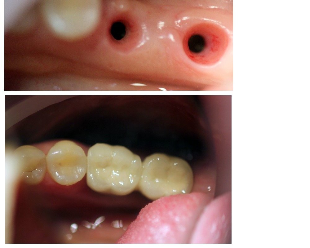
Фото работ врача Михаила Александровича Давыдова

Общее мнение пользователей на основе 48 отзывов

Михаил Александрович Давыдов — опытный имплантолог и стоматолог с 29-летним стажем. Пациенты ценят его за профессионализм, внимательное отношение и бережное проведение процедур. Михаил Александрович создает комфортную атмосферу и делает все для хорошего результата лечения.
Основные положительные моменты, отмеченные пользователями
Профессионализм и опыт
Внимательное отношение к пациентам
Чистота и комфорт клиники
Доброжелательное общение
Высокое качество работы

Отзывы о враче Михаиле Александровиче Давыдове

Сортировать по:
  • 5,0
    Подтверждённый отзыв
    Очень внимательное отношение от захода до выхода — это именно то, что понравилось больше всего! Очень хорошие врачи: были у 2, Давыдова Михаила и Сергея. Они всё подсказывают, рассказывают, всё просто замечательно. Крайнее посещение было связано с имплантированием: и подготовка, и установка, и подкрутка. Получаешь настоящее удовольствие, когда приходишь сюда.
  • 5,0
    Подтверждённый отзыв
    Был осмотр и консультация по поводу имплантологии. Порадовало отношение доктора Давыдова, прием прошел хорошо. Отметила бы в работе доктора ответственность, внимательность и юмор.
  • 5,0
    Подтверждённый отзыв
    Я наблюдаюсь у Михаила Александровича Давыдова уже давно — он делает все качественно и хорошо. Ставила у него импланты, прихожу, он внимательно все смотрит. Были небольшие сложности с десной, но это чисто из-за моего организма, а не из-за работы врача.
  • 5,0
    Подтверждённый отзыв
    Мне по душе врач Давыдов Михаил Александрович: он подходит к пациентам с профессиональной точки зрения. Был случай: мне не удалили зуб в другой клинике из-за близкого расположения к нерву, а здесь врач сделал снимки, грамотно объяснил, что все зубы находятся возле нервов и провел удаление очень качественно и хорошо. Очень хороший, душевный специалист, все сделал на высшем уровне!
  • 5,0
    Подтверждённый отзыв
    Я шла на операцию целенаправленно, я точно знала куда иду, к кому и зачем. Мне удалили 18 зубов и сразу поставили 8 имплантов — все в раз. Сергей Сергеевич поразил меня своей скрупулезностью: он мог делать слепок 4 часа, подгоняя все до миллиметра, при этом еще петь во время работы. Давыдов Михаил Александрович — гигант своего дела, мне было видно, что человек любит свою работу, ему очень нравится то, что он делает. Я посещала организацию несколько раз — на консультации, на операции, потом снима – показать
  • 5,0
    Подтверждённый отзыв
    Мне поставили импланты, сделали очень много работы, я осталась довольна. Мне посоветовали доктора Михаила Александровича Давыдова, поэтому я пришла именно к нему. И доктор, и медсестра — это настоящие люди своего дела, я отметила их профессиональность и отношение. С момента операции прошло всего 10 дней, но никаких осложнений у меня нет.
  • 5,0
    Подтверждённый отзыв
    Для меня профессионализм врача — это не только высокий уровень знаний и навыков, но и умение найти подход к пациенту. В этой клинике я чувствую себя в надежных руках: здесь делают сложные манипуляции, которые не везде берутся выполнять. Особенно приятно, что доктора искренне хотят помочь, а не просто формально отрабатывают прием. Сейчас наблюдаюсь у Сергея Сергеевича, а в ближайшее время планирую записаться к Михаилу Давыдову.
  • 5,0
    Подтверждённый отзыв
    Я прошла имплантацию у доктора Давыдова Михаила Александровича. Работа выполнена очень качественно! Врач доброжелателен и хорошо ко мне относится.
  • 5,0
    Подтверждённый отзыв
    Очень довольна посещением! Всё понравилось: приятная обстановка, внимательное отношение врачей. Доктор Давыдов был обаятельный, спокойный, всё рассказал и показал, выложился на сто процентов. Особенно приятно, что прием был бесплатным.
  • 5,0
    Подтверждённый отзыв
    Отзывы о стоматологии положительные, а расположение удобное. Персонал дружелюбный, и в целом всё отлично. Главное для меня — высокое качество услуг. Врач меня принимал компетентный, кажется, Давыдов, с чувством юмора, всё подробно рассказал.
  • 5,0
    Подтверждённый отзыв
    Хожу сюда уже давно, и всегда всё на высшем уровне! Персонал очень любезный, всегда помогают, все обязательные и вовремя. Особенно хочу отметить доктора Михаила Александровича Давыдова — он веселый, доброжелательный и контактный. Недавно ставила имплант, всё прошло отлично!
  • 5,0
    Подтверждённый отзыв
    Удивило внимание и профессионализм специалистов. Очень понравился проявленный подход и внимание ко всем деталям во время консультации у Давыдова Михаила Александровича. Оборудование лечебного учреждения тоже порадовало. Был назначен дальнейший план лечения, хоть и еще не в окончательном варианте.
  • 5,0
    Подтверждённый отзыв
    Михаил Александрович Давыдов — внимательный, с юмором, грамотный доктор. Пока я еще продолжаю лечение, всё у нас прошло хорошо.
  • 5,0
    Подтверждённый отзыв
    Мой муж обратился в клинику для установки импланта, и мы оба в полном восторге от результата. Лично я знаю доктора Давыдова Михаила Александровича уже 10 лет – он ставил мне имплант, который до сих пор идеально служит. Он не просто великолепный специалист, но и врач с прекрасным характером. Лечиться у него – одно удовольствие! Теперь мужу предстоит установка коронки, и мы абсолютно уверены в качестве работы.
  • 5,0
    Подтверждённый отзыв
    Я по рекомендации знакомой была на консультации доктора Давыдова, который очень мне понравился. Он прекрасно пообщался со мной, все объяснил по поводу установки имплантов. Отмечу, что в клинике было очень чисто и красиво!
  • 5,0
    Подтверждённый отзыв
    Я пришла в клинику на удаление зуба по рекомендации знакомых, и все прошло хорошо. Стоматолог Михаил Александрович Давыдов понятно все рассказал, провел процедуру, а после снял швы. На данный момент у меня все отлично!
  • 5,0
    Подтверждённый отзыв
    Давно хожу в стоматологию и очень люблю всех врачей! Обращаюсь в основном к Давыдову Михаилу Александровичу, ценю его профессионализм, общительность и компетентность. Последний раз была на чистке зубов. Меня всегда устраивает надежность и гарантия качества.
  • 5,0
    Подтверждённый отзыв
    Отношение, индивидуальный подход и профессионализм врача-стоматолога Давыдова Михаила полностью меня устроили. Доктор провел осмотр и консультацию, после своевременно принял решение о необходимости проведения определенных процедур.
  • 5,0
    Подтверждённый отзыв
    Эта стоматология имеет самый высокий уровень врачей в городе! Профессиональный и человечный стоматолог Давыдов Михаил Александрович хорошо ко мне отнесся, быстренько, оперативненько все сделал, провел осмотр и назначил нужное лечение.
  • 5,0
    Подтверждённый отзыв
    Высоко оцениваю качество выполненных работ, ведь после удаления восьмерки у меня не было осложнений, все нормально зажило. Также после процедуры доктор Давыдов рекомендовал пропить антибиотики, делать ванночки с обеззараживающим средством, но полость рта не полоскать. Важно, что во время всего процесса стоматолог был вежлив, а также он грамотно осуществил услугу.
  • 5,0
    Подтверждённый отзыв
    Я очень довольна доктором Михаилом Александровичем Давыдовым! Хожу к нему постоянно и ценю за отношение, профессионализм, а также умение находить подход к пациенту. В последний визит Михаил Александрович вставлял мне импланты. Всё прошло отлично! На мой взгляд, это самая лучшая стоматологическая клиника в городе, где работают профессионалы с большой буквы! Очень рекомендую!
  • 5,0
    Подтверждённый отзыв
    Качество обслуживания и вежливый персонал мне нравятся, сотрудники всегда подберут удобное время. Давно хожу к Давыдову Михаилу Александровичу, поэтому хочу отметить именно его.
  • 5,0
    Подтверждённый отзыв
    Приятно впечатлил профессионализм доктора Давыдова Михаила Александровича. Я к нему уже давно прихожу, он полностью занимается моей ситуацией, вижу, что человек имеет хороший опыт в работе, качественно оказывает услуги.
  • 5,0
    Подтверждённый отзыв
    Очень много лет пользуюсь услугами стоматологии, остаюсь довольна их качеством и доброжелательным отношением со стороны сотрудников. В помещении комфортно находиться. Я обращалась к Давыдову Михаилу Александровичу, а также к докторам по поводу лечения, по имплантологии и терапевтическим, ортодонтическим моментам. И врачи привели мои зубы в хорошее состояние, результат красивый.
  • 5,0
    Подтверждённый отзыв
    Персонал был внимательный. Мне удалял зуб Михаил Александрович Давыдов, посмотрел снимки, оценил ситуацию, удаление было безболезненное, потом отходило хорошо. Дали много рекомендаций, я все выполняла и все было отлично. Записана на повторный прием.
  • 5,0
    Подтверждённый отзыв
    Индивидуальный подход очень грамотного доктора, которому я полностью доверяю, мне понравился, это основной критерий. Врач Михаил Александрович Давыдов выслушал мое мнение и прислушался, все рассказал и объяснил, пояснил. Перед лечением у меня была компьютерная томограмма.
  • 5,0
    Подтверждённый отзыв
    Приятно впечатлил профессионализм доктора Давыдова Михаила Александровича. Я к нему уже давно прихожу, он полностью занимается моей ситуацией, вижу, что человек имеет хороший опыт в работе, качественно оказывает услуги.
  • 5,0
    Подтверждённый отзыв
    Меня все устраивает, ведь я давно знакома с руководителем клиники, он на протяжении 20 лет лечит мои зубы. Врач Михаил Александрович Давыдов очень приятный, поэтому обращаюсь к нему не только я, но и вся семья, то есть еще в стоматологию ходят муж и сын.
  • 5,0
    Подтверждённый отзыв
    Все великолепно! Высоко оцениваю клинику за проявленную любовь и уважение со стороны сотрудников. Врачи сделали все, что требовалось, например: протезирование, процедура прошла отлично. Выражаю огромную благодарность Михаилу Александровичу Давыдову, Сергею Сергеевичу и всем девочкам, а именно Маше и Ларисе, большое спасибо.
  • 5,0
    Подтверждённый отзыв
    Давно уже в клинику прихожу, изначально все сделали правильно и красиво. При первом посещении получила первый позитив, который шлейфом отдает. После имплантации прошло три года, я довольна результатом, даже подзаросли какие-то вещи, где думала, что будут дефекты, их не было, все отлично. Услугу оказывал Михаил Александрович Давыдов и его ассистент Сергей Сергеевич, думаю, что он талантливый человек, далеко пойдет. Они вдвоем проводили имплантацию, постарались на отлично. Если учитывать, что Серг – показать
4,6
48 отзывов и 45 оценок
Оцените или напишите отзыв
Напишите отзыв, чтобы помочь другим пользователям с выбором.
Написать отзыв Редактировать отзыв
Отзывы с оценками
Образование
  • 1996 — Воронежская государственная медицинская академия им. Н.Н. Бурденко (стоматология)

Часто задаваемые вопросы о Давыдове Михаиле Александровиче

  • Как пациенты оценивают Давыдова Михаила Александровича?
  • Является ли Давыдов Михаил Александрович опытным специалистом?
  • В какой области специализируется Давыдов Михаил Александрович?
  • Есть ли возможность ознакомиться с выполненными работами Давыдова Михаила Александровича?
  • Где можно увидеть фотографии Давыдова Михаила Александровича?
Информация предназначена для ознакомления и не заменяет квалифицированную медицинскую помощь. Проконсультируйтесь с врачом!
Средняя оценка - 4,6 на основании 48 отзывов и 45 оценок
Вверх