Официальная группа Вконтакте стоматологии Колибри на улице Фридриха Энгельса
Стоматология "Колибри" г. Воронеж24 декабря 2025 в 10:01
В конце года хочется остановиться и сказать самое важное слово — СПАСИБО! Спасибо за то,что доверяете нам самое ценное — ваше здоровье и ваши улыбки! Спасибо за тёплые отзывы и рекомендации нас самым близким — своим друзьям и семье. Это высшая награда! Пусть в наступающем году вас окружает только доброта и здоровье! Желаем, чтобы ваши улыбки сияли ещё ярче, а в жизни было много поводов для радости. Пусть 2026 год будет светлым, спокойным и счастливым! Ваша стоматология «Колибри»
Развернуть
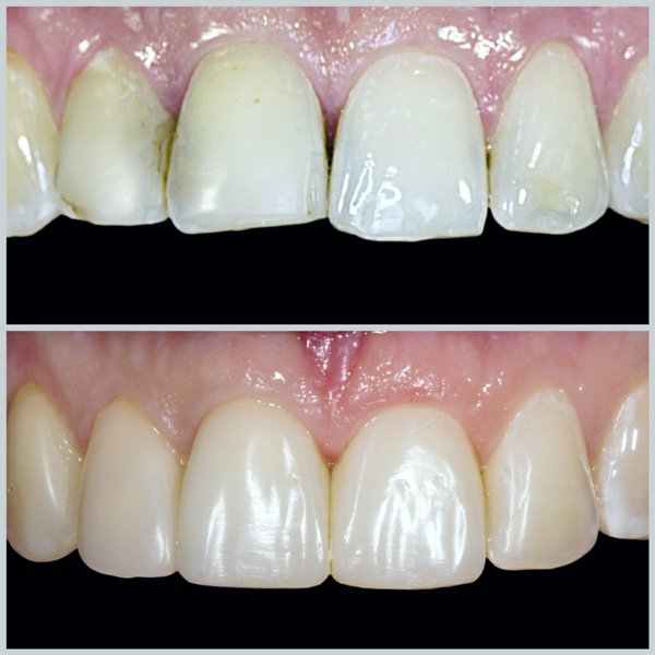
Стоматология "Колибри" г. Воронеж10 декабря 2025 в 16:43
Спасибо нашим пациентам за то, что находят минутку оставить отзыв о нашей работе Готовы оказывать стоматологическую помощь широкого спектра — от профессиональной гигиены полости рта до костно-пластических операций и имплантаций
Воронеж, Ф.Энгельса, 58А (около Цетрального рынка).
Развернуть
Стоматология "Колибри" г. Воронеж7 декабря 2025 в 17:36
ЗАБОТА О ЗУБАХ — ЛУЧШЕЕ ВЛОЖЕНИЕ Скоро-скоро Новый год Новогодний стол— это вызов для зубов: кислые салаты (о, эта «шуба» и селедка под шубой!), сладкие газировки, липкие конфеты, твердые орешки. Все это может спровоцировать проблемы, особенно если есть скрытые «слабые места»: микротрещины, начинающийся кариес, воспаленные десны. План действий на декабрь (ваш зубной антикризисный фонд): 1. Визит к стоматологу. 15 минут осмотра — и вы будете знать, что все в порядке. Если нужно — поставите небольшую пломбу. Быстро и не больно! 2. Профессион… — Читать дальше
альная гигиена. Снятие налета и камня — это не только красота (зубы станут заметно белее!), но и профилактика кариеса и воспаления десен. Идеально сделать за пару недель до праздников. 3. Проверьте «архив». Если у вас есть коронки, виниры или большие старые пломбы — попросите врача оценить их состояние. Лучше подклеить сейчас, чем экстренно менять потом. 4. Обновите арсенал. Новая зубная щетка (обычная или электрическая), паста для чувствительных зубов (если нужно), ирригатор для коронок и имплантов — отличные инвестиции в свое спокойствие. Пусть ваша улыбка будет вашим главным украшением на всех фото! Позаботьтесь о ней заранее. ️
Развернуть
Стоматология "Колибри" г. Воронеж2 декабря 2025 в 11:36
ПОСЛЕ УДАЛЕНИЯ ЗУБА начинаются процессы, о которых важно помнить: Атрофия костной ткани (резорбция). Кость в месте удаления перестает получать жевательную нагрузку. Организм считает ее «ненужной» и начинает постепенно рассасывать. За год вы можете потерять до 25% объема кости! Это осложняет дальнейшее протезирование, особенно имплантацию. Смещение и наклон соседних зубов. Природа не терпит пустоты. Соседние зубы начинают медленно сдвигаться, наклоняться в сторону свободного пространства. Это нарушает ваш прикус. Выдвижение зуба-антагонист… — Читать дальше
а. Зуб на противоположной челюсти, потеряв «оппонента», начинает выдвигаться вниз (или вверх). Это ведет к его перегрузке и проблемам с десной. К чему это приводит? ️Нарушение прикуса и распределения жевательной нагрузки. ️Сложности с гигиеной, рост риска кариеса и болезней десен. ️Изменение черт лица (западание щек, губы), визуальное старение. ️Головные боли и проблемы с ВНЧС (суставом). Что делать? Решение— своевременное протезирование! Самый надежный способ предотвратить атрофию — установка имплантата. Он заменяет корень и полностью нагружает кость, сохраняя ее объем. Альтернатива— современные мостовидные протезы или съемные конструкции. Не откладывайте здоровье своих зубов на потом! Запланируйте бесплатную консультацию у нашего доктора, чтобы подобрать оптимальное решение.
Развернуть
Стоматология "Колибри" г. Воронеж17 ноября 2025 в 15:04
Истинная радость — когда пациенты довольны и здоровы Ваша благодарность, друзья, иногда бывает очень оригинальна, но всегда бесценна
Развернуть и показать
еще 1 фото
Стоматология "Колибри" г. Воронеж14 ноября 2025 в 13:32
КОМПЬЮТЕРНАЯ ТОМОГРАММА зубов: — ЗОЛОТОЙ СТАНДАРТ диагностики в стоматологии. Зачем стоматолог на консультации отправляет делать КТ? С компьютерной томограммой лечение становится предсказуемым и эффективным. Это не просто снимок, это 3D-модель всей вашей челюсти, которая открывает врачу все секреты. Для чего это нужно? Имплантация: Чтобы установить имплант идеально и надолго. Лечение корневых каналов: Чтобы найти все каналы, даже самые незаметные. Диагностика: Чтобы увидеть кисты, воспаления и скрытые проблемы до того, как они побеспокоят… — Читать дальше
. Ортодонтия: Чтобы планировать перемещение зубов с ювелирной точностью. Это безопасно? Да!Доза излучения в современных аппаратах минимальна и сопоставима с перелетом на самолете на 2—3 часа. А польза от точной диагностики — неоценима. Позаботьтесь о здоровье своей улыбки по-настоящему. С КТ ваш врач лечит не вслепую, а с точной картой местности.
Развернуть
Стоматология "Колибри" г. Воронеж8 ноября 2025 в 9:51
Свитер,горячий чай и уютный плед — мы готовимся к холодам. А готовы ли ваши зубы? Снижение температуры, ветер и сухой воздух в помещениях — настоящий стресс для эмали и дёсен. Они становятся более уязвимыми. Несколько простых советов, чтобы улыбка оставалась здоровой и красивой всю зиму: Пейте больше воды. Сухой воздух отопления снижает слюноотделение, а слюна — наш главный защитник от кариеса. Избегайте контрастов. Горячий кофе на морозе? Лучше пропустите этот эксперимент. Резкие перепады температур могут привести к появлению микротре… — Читать дальше
щин на эмали. Укрепляйте изнутри. Добавьте в рацион продукты, богатые кальцием (сыр, творог, кунжут) и витамином D (жирная рыба, яйца). Не забывайте про гигиену. Холод не повод лениться! Чистите зубы дважды в день и пользуйтесь нитью. Запишитесь на профилактический осмотр. Лучшая защита — это профилактика. Осенний визит к стоматологу поможет встретить зиму со здоровой улыбкой! А как вы ухаживаете за зубами в холодный сезон?
Развернуть
Стоматология "Колибри" г. Воронеж6 ноября 2025 в 20:33
КАК ДОЛГО ПРИЖИВАЕТСЯ ЗУБНОЙ ИМПЛАНТ? Разбираем «на пальцах»! Знакомо чувство, когда после установки импланта хочется поскорее забыть о лечении и вернуться к обычной жизни? Или вы только планируете операцию? Давайте разберемся, сколько же на самом деле времени нужно импланту для полного «приживления». Этот процесс (процесс приживления импланта) называется остеоинтеграция — когда ваша собственная костная ткань плотно обволакивает имплант, делая его частью организма. Это как построить прочный фундамент для будущего дома! А теперь цифры, ос… — Читать дальше
нованные на исследованиях: · В среднем, на нижней челюсти имплант приживается 2—4 месяца. Здесь кость более плотная, кровоснабжение лучше. · На верхней челюсти процесс занимает дольше — от 4 до 6 месяцев. Кость здесь более пористая, а близость гайморовых пазух добавляет нюансов. Кроме того, время остеоинтеграции зависит от кучи факторов: · Качество кости: Если был дефицит костной ткани и делали костную пластику, сроки могут увеличиться. · Общее здоровье: Курение и такие заболевания, как диабет, значительно замедляют заживление. Исследования показывают, что у курильщиков риск отторжения импланта в 2—3 раза выше! · Место установки: Жевательные зубы несут большую нагрузку, и врач может рекомендовать выждать более длительный срок перед протезированием. ️Не путайте «приживление импланта» с «заживлением десны». Внешне все заживет за пару недель, но внутри новый титановый «корень» (имплант и предназначен выполнять функцию корня зуба) будет «прирастать», чтобы служить вам долгие годы. Вывод: Наберитесь терпения! Срок в 3—6 месяцев — это инвестиция в надежность, которая прослужит вам десятилетиями. Следуйте рекомендациям вашего врача, наберитесь терпения — результат того стоит!
Развернуть
Стоматология "Колибри" г. Воронеж1 ноября 2025 в 12:01
Ждем вас! Запись на консультацию по
Стоматология «Колибри», адрес: Воронеж, ул Фридриха Энгельса, 58А (рядом с Центральным рынком).
Развернуть
Стоматология "Колибри" г. Воронеж29 октября 2025 в 15:08
Диоксид циркония на имплантах для нашего пациента
Развернуть
Стоматология "Колибри" г. Воронеж25 октября 2025 в 12:42
Ваша благодарность — наша лучшая награда СТОМАТОЛОГИЧЕСКАЯ КЛИНИКА «КОЛИБРИ» – это команда профессиональных докторов с высокой квалификацией и большим опытом работы. Выбирая Колибри, Вы получаете индивидуальный подход и современные методы лечения, а главное – гарантию на все виды услуг. Красивая улыбка – залог Вашего успеха! БЕСПЛАТНАЯ консультация специалиста! Запись по тел.; Находимся по адресу: Воронеж, ул. Фридриха Энгельса, 58а, 1 этаж (рядом с Центральным рынком, за ТЦ «Атмосфера»).
Развернуть и показать
еще 1 фото
Стоматология "Колибри" г. Воронеж20 октября 2025 в 13:18
АБАТМЕНТ, МУЛЬТИЮНИТ ИЛИ ТИТАНОВОЕ ОСНОВАНИЕ? Разбираем протезирование на имплантах После того как имплант прижился в кости, наступает этап протезирования. И тут многие пациенты слышат странные слова: «абатмент», «мультиюнит», «титановое основание». Что это? И зачем? Представьте, что имплант — это фундамент дома, а коронка — сам дом. Но чтобы поставить дом на фундамент, нужен крепкий и правильный цоколь. В имплантологии эту роль играют специальные компоненты. Имплант «имитирует» зубной корень, коронка — видимая нами часть, сам зуб. Между ни… — Читать дальше
ми есть специальный «переходник», который выбирается исходя их конкретной ситуации. Абатмент — Универсальный связной. · Что это? Цилиндрический элемент-посредник, который вкручивается в имплант и служит опорой для будущей коронки. · Зачем нужен? Чтобы надежно соединить два главных элемента и передавать жевательную нагрузку с коронки на имплант. · Каким бывает? Стандартный (готовый) или индивидуальный (изготовленный на заказ по цифровым слепкам для идеального прилегания). Мультиюнит (Multi-Unit) — Абатмент с функцией коррекции. · Что это? Усовершенствованный абатмент, состоящий из двух частей. Его ключевая особенность — возможность изменения угла наклона (до 30—40 градусов). · Зачем нужен? Он настоящий спасатель, когда имплант установлен под неидеальным углом (например, из-за анатомии челюсти). Мультиюнит выравнивает положение коронки, делая ее ровной и эстетичной. Незаменим при комплексном протезировании на несколько имплантов (all-on-4, all-on-6). Титановое основание (или шаровидный абатмент) — Фундамент для съемного протеза · Что это? Небольшой металлический элемент с шарообразной головкой, который вкручивается в имплант. · Зачем нужен? Для фиксации съемных зубных протезов. Внутри протеза находятся силиконовые матрицы, которые, как кнопки, защелкиваются на эти титановые шарики. Протез держится очень прочно, но его можно снять для гигиены. ️Выбор компонента— это не прихоть, а точный инженерный расчет, который зависит от вашей клинической ситуации. Правильно подобранный абатмент — залог долговечности, удобства и безупречного вида вашей новой улыбки Доверяйте свое здоровье профессионалам!
Развернуть
Стоматология "Колибри" г. Воронеж15 октября 2025 в 12:44
Трудимся над ослепительными улыбками Ждем вас! Запись на консультацию по
Стоматология «Колибри», адрес: Воронеж, ул Фридриха Энгельса, 58А (рядом с Центральным рынком).
Стоматология "Колибри" г. Воронеж7 октября 2025 в 12:38
Новые зубки для наших пациентов Ждут примерки
Развернуть
Стоматология "Колибри" г. Воронеж6 октября 2025 в 10:10
УДАЛЕНИЕ ЗУБА МУДРОСТИ И УСИЛЕНИЕ ВКУСА Иногда, после удаления зубов мудрости, пациенты говорят, что у них усилился вкус еды И это вполне может быть правдой — но объясняется это не «включением» новых рецепторов, а возвращением к здоровому и комфортному состоянию полости рта. Почему же тогда людям может казаться, что вкус «усилился»? Вот основные теории, объясняющие это субъективное ощущение: Устранение хронического воспаления и давления. Зубы мудрости часто прорезываются в условиях нехватки места, вызывая скученность, давление на соседние… — Читать дальше
зубы и хроническое воспаление десны (перикоронарит). Это состояние может создавать постоянный, едва заметный дискомфорт и легкий отек в задней части челюсти. После удаления источника проблемы этот хронический стресс для нервных окончаний исчезает, и вся область «расслабляется». На этом фоне нормальные вкусовые ощущения могут восприниматься как более яркие. Улучшение гигиены. Зубы мудрости, особенно частично прорезавшиеся, являются идеальным местом для скопления бактерий и остатков пищи. После их удаления исчезает постоянный источник инфекции и неприятного привкуса во рту. Чистота ротовой полости повышается, и это может делать вкус еды более чистым и выраженным. Психологический эффект. После болезненной и неприятной процедуры удаления и последующего заживления человек начинает больше ценить простые радости, в том числе и еду. Ожидание «новых ощущений» может играть роль плацебо. Вот так в нашем организме всё взаимосвязано ️ Будьте здоровы!
Развернуть
Стоматология "Колибри" г. Воронеж27 сентября 2025 в 11:33
Когда после имплантации с немедленной нагрузкой назначаешь пациенту «мягкую диету» Всегда соблюдайте рекомендации вашего доктора и будьте здоровы
Стоматология "Колибри" г. Воронеж23 сентября 2025 в 13:56
ОТ КОСМИЧЕСКИХ КОРАБЛЕЙ ДО ВАШЕЙ УЛЫБКИ: история циркониевой коронки Знаете ли вы, что материал вашей новой коронки прошёл путь от авиации до стоматологического кабинета? 1960-е годы: «Космический» старт. Диоксид циркония был известен науке давно, но его главные свойства — прочность и термостойкость — нашли применение в самых высокотехнологичных сферах. Его использовали в качестве термобарьера для деталей космических шаттлов и турбин самолетов! Тогда никто и не думал, что он окажется во рту у миллионов людей. 1990-е годы: Первые эксперим… — Читать дальше
енты. Стоматология искала идеальный материал:прочный, как металл, и эстетичный, как керамика. В 90-х годах цирконий, благодаря своей биосовместимости (полному отсутствию аллергии!), начал свой путь в медицине. Первыми его применениями стали головки тазобедренных суставов. Успех в ортопедии натолкнул ученых на мысль: а почему бы не использовать его для зубов? 2000-е годы: Технологическая революция CAD/CAM. Настоящий бум случился с развитием компьютерных технологий!Появление систем CAD/CAM (компьютерное моделирование и фрезеровка) позволило с ювелирной точностью вытачивать из циркониевых заготовок идеальные каркасы для коронок. Это был переворот: доктор делал 3D-снимок зуба, а через пару часов робот создавал для него идеальную основу. 2010-е – наши дни: Золотой стандарт. Совершенствование материалов привело к появлению сверхпрочных и при этомвысокоэстетичных видов циркония (например, мультиплексного и транслюцентного). Они пропускают свет, как натуральная эмаль, что позволило изготавливать из них уже не только каркасы, но и цельные коронки, не уступающие в красоте керамическим винирам. Что в итоге? Циркониевая коронка— это не просто кусочек керамики. Это результат десятков лет научных поисков, технологических прорывов и стремления дарить пациентам не только здоровье, но и уверенность в своей улыбке. Теперь, когда вы улыбаетесь своей циркониевой коронкой, вы знаете, что носите частичку технологий, покоривших космос!
Развернуть
Стоматология "Колибри" г. Воронеж22 сентября 2025 в 15:05
Набирает мировую популярность новый тренд стоматологии под названием «эстетика розового» (Pink Esthetics). Проще говоря, речь идет об эстетике десны полости рта Ведь красивая улыбка — это не только ровные белые зубы, но и гармоничные, здоровые десны. Кто бы спорил. Что делает любую десну близизкой к идеальной? ️ · Ровный и симметричный край вокруг зубов. · Здоровый бледно-розовый цвет. · Межзубные сосочки полностью заполняют промежутки, чтобы не было «черных треугольников». Какие проблемы пытаются решить стоматологи в этом контексте? 1. «Дес… — Читать дальше
невая улыбка» (когда видно слишком много десны). 2. Опущение десны (оголяются корни зубов). 3. Неровный контур (десна будто «волнами»). Как это исправляют в современных клиниках? Лазерная коррекция (гингивопластика): Лазером, как скальпелем, выравнивают контур десны. Быстро, без крови и с мгновенным результатом! Микрохирургия: Для закрытия рецессии (опущения) используют минимально инвазивные техники, часто без разрезов и швов. Инъекции ботокса: Если десневая улыбка вызвана излишне активными мышцами губы. Пишут, чтр особенно в ведущих китайских стоматологических центрах этому направлению уделяется огромное внимание, так как именно детали, такие как здоровый и красивый контур десны, создают по-настоящему голливудскую улыбку.
Развернуть
Стоматология "Колибри" г. Воронеж17 сентября 2025 в 12:50
Всем привет! В современном стоматологическом лечении есть такая нужная и важная опция как протезирование временными коронками На временных коронках с пациентом обсуждается и отрабатывается форма будущей постоянной конструкции, формируется прикус. Кроме того, при необходимости немедленной нагрузки, когда пациент не может «ни дня без зубов» именно временные коронки приходят на помощь. Часто у пациентов возникает вопрос, а сколько времени можно ходить с такими коронками? Во-первых, временные коронки разные: есть те, которые изготавливаютс… — Читать дальше
я прямым методом во время приёма, а есть фрезерованные пластмассовые коронки, которые изготавливаются в лаборатории и внешне практически не отличаются от постоянных. Во-вторых, у всех пациентов разная стратегия лечения, разные цели установки временных коронок (см выше ️). И тут время ношения может варьироваться от нескольких дней до нескольких месяцев В любом случае, нужно помнить, что даже временная фрезерованная коронка как бы прекрасно она ни смотрелась, это пластмасса, которая деградирует со временем и не фиксируется герметично на зубе в отличие от коронки постоянной (металлокерамической или диоксида циркония). Поэтому, когда доктор обозначает время ношения в пару месяцев (а потом ждет пациента на замену на постоянную конструкцию), не стоит откладывать визит. Берегите Ваше здоровье!
Развернуть
Стоматология "Колибри" г. Воронеж13 сентября 2025 в 10:54
Коронки из диоксида циркония для нашей пациентки ️ Улыбка — это искра, которая зажигает уверенность внутри нас Улыбайтесь чаще!
Развернуть
Стоматология "Колибри" г. Воронеж12 сентября 2025 в 15:58
Ваша благодарность — наша лучшая награда! У нас самые замечательные пациенты!
Развернуть
Стоматология "Колибри" г. Воронеж4 сентября 2025 в 10:45
Суперсила, которая всегда с тобой: как слюна защищает наши зубы Мы часто не знаем о возможностях и работе собственного организма, а один из самых мощных защитников зубов всегда с нами — это наша собственная слюна! Это не просто вода во рту, а настоящий многофункциональный щит против кариеса. Вот как это работает: 1. Постоянное полоскание. Слюна буквально смывает остатки пищи и вредные бактерии с поверхности зубов. Чем меньше «еды» для бактерий, тем меньше кислоты они производят. 2. ️ Нейтрализация кислот. Главные враги эмали — кислоты,… — Читать дальше
которые выделяют бактерии, поедая сахар. Слюна содержит бикарбонаты, которые действуют как природный нейтрализатор, быстро снижая уровень кислотности и предотвращая разрушение эмали. 3. ️ Реминерализация. В слюне есть кальций, фосфаты и фториды. Они постоянно «проникают» в эмаль зубов, укрепляя ее и «залечивая» microscopic повреждения на самой ранней стадии. Это естественный процесс восстановления! 4. Антибактериальный эффект. В слюне содержатся специальные ферменты (например, лизоцим), которые борются с болезнетворными бактериями и не дают им бесконтрольно размножаться. 5. Образование защитной пленки. Слюна создает на зубах тонкую невидимую пленку (пелликулу), которая служит барьером между эмалью и вредными веществами. Что ослабляет нашего супергероя? К сожалению,некоторые факторы снижают выработку и качество слюны (ксеростомия): · Обезвоживание · Некоторые лекарства (антидепрессанты, антигистаминные) · Курение и алкоголь · Дыхание через рот · Стресс Как помочь своей слюне? ️ Пить достаточно воды ️ Жевать жвачку без сахара (после еды, чтобы стимулировать слюноотделение) ️Есть твердые овощи и фрукты (яблоки, морковь) ️ Регулярно посещать стоматолога и, конечно, чистить зубы дважды в день! Вывод: Слюна — это ingenious природная система защиты полости рта. Цените ее и поддерживайте ее работу простыми и полезными привычками! Берегите свои зубы, и пусть ваша улыбка будет здоровой!
Развернуть
Стоматология "Колибри" г. Воронеж26 августа 2025 в 11:31
Вот и новые коронки готовы Диоксид циркония на зубы и имплантаты для наших любимых пациентов Красота
Развернуть и показать
еще 3 фото
Стоматология "Колибри" г. Воронеж25 августа 2025 в 10:17
ПРО БРУКСИЗМ И СИЛУ ЖЕВАТЕЛЬНЫХ МЫШЦ! А Вы знаете, что самая сильная мышца человеческого тела — жевательная Патологическая стираемость зубов, которая является следствием бруксизма вызвана гиперактивностью именно жевательных мышц. Как же так! Может ли усилие мягких жевательных мышц приводит к разрушению такой мощной и крайне твёрдой ткани, как эмаль?! Ниже немножечко инфы о возможностях нашей жевательной мускулатуры, которая далеко не так проста, как казалось бы! Абсолютная сила жевательных мышц на одной стороне, в среднем,… — Читать дальше
составляет 195 кг, а при одномоментном двухстороннем сокращении, вообще может достигать, величины аж в 390 кг! Конечно, такую бешенную нагрузку, связочный аппарат зуба, да и пародонт в целом, выдержит вряд ли. Поэтому, в процессе эволюции, у человека выработалось обычное жевательное давление равное 9—15 кг, которое может возрастать максимум до 100 кг, если нужно разгрызть что-то твёрдое, например, орех При бруксизме, развивается статическое сжатие мышц с высокой силой, которое может сохраняться часами, во время сна! При этом все пациенты совершают движения челюстями не расслабляя мышцы и не прекращая сжимать зубы, что и приводит к микротрещинам, сколам эмали, образованию абразивных участков и началу взаимного стирания контактирующих зубов. По статистике, нагрузка на зубы бруксистов и скорость их изнашивания, в 17 раз выше, чем у здорового человека (хотя здоровых сейчас нет — бруксизм наблюдается у 90% населения крупных городов развитых стран)
Развернуть
Стоматология "Колибри" г. Воронеж20 августа 2025 в 16:35
ПРОТОТИП Что это? Цель создания прототипа — показать пациенту, как будут выглядеть зубы после протезирования, ещё до изготовления постоянных конструкций. С помощью прототипа можно подобрать форму и цвет коронок, полукоронок, виниров или мостовидных протезов, обсудить все детали с доктором до начала работы. Для изготовления прототипа используется 3D сканер и 3D принтер. Приходите осмотр и получите бесплатную консультацию! Запись по телефону: +7 (473) 2-390-800 8-960-124-74-06 Адрес: Воронеж, ул. Ф. Энгельса, 58А (1 этаж, рядом с Центра… — Читать дальше
льным рынком).
Стоматология "Колибри" г. Воронеж18 августа 2025 в 11:36
Зубная эмаль: защитный барьер ваших зубов Зубная эмаль – это самое твердое и минерализованное вещество в организме человека, покрывающее коронковую часть зуба. Она защищает дентин и пульпу от механических повреждений, температурных перепадов и воздействия бактерий. Свойства зубной эмали: 1⃣Прочность – состоит на 96% из минералов (в основном гидроксиапатита кальция). 2⃣Полупрозрачность – цвет зубов зависит от оттенка дентина под ней. 3⃣Не восстанавливается самостоятельно, в отличие от костей. 4⃣Чувствительность к кислотам– разрушается при… — Читать дальше
pH ниже 5,5. ️Причины разрушения эмали — Кислоты (цитрусы, газировки, вино) вымывают минералы. — Механические повреждения (жесткие щетки, скрежет зубами). — Недостаток фтора и кальция в питании. — Сухость во рту (слюна нейтрализует кислоты). ️Как укрепить эмаль? Гигиена– чистка 2 раза в день пастой с фтором. Правильное питание– меньше сахара, больше сыра, орехов, молочных продуктов. Реминерализация – гели и ополаскиватели с кальцием и фосфатами. Профессиональные метод – фторирование у стоматолога, проф гигиена полости рта. Таким образом, вывод: эмаль не восстанавливается сама, но можно замедлить ее разрушение. Регулярный уход, осмотры и правильное питание помогут сохранить зубы крепкими и здоровыми!
Развернуть
Стоматология "Колибри" г. Воронеж9 августа 2025 в 9:03
А вы как думаете? С чего хороший день начинается у Вас?
Развернуть
Стоматология "Колибри" г. Воронеж4 августа 2025 в 13:33
Почему так важно заботиться о зубах?
Многие пренебрегают здоровьем зубов — кто-то из-за приобретённого страха (вспоминая советскую стоматологию, о да), кто-то из-за нехватки времени или экономии финансов, а кто-то просто не считает это обязательным (хотя стрижку, маникюр и ТО своего авто делаем регулярно). Но почему же уход за зубами — это необходимость? 1️⃣ Свежее дыхание Проблемы с зубами и дёснами часто вызывают неприятный запах изо рта. Сам человек может не замечать этого, но окружающие — точно чувствуют. Регулярные визиты к стомато… — Читать дальше
логу помогут избежать неловких ситуаций. 2️⃣ Здоровье всего организма Кариес и воспаления — это не только боль, но и риск осложнений. Инфекция из больного зуба может распространиться дальше, влияя на общее состояние. 3️⃣ Экономия времени и денег⏳ Чем раньше вылечить зуб, тем проще, быстрее и дешевле. Запущенные случаи требуют сложного (и дорогого!) лечения, а иногда и удаления с последующими имплантации и протезированием. Приходите осмотр и получите бесплатную консультацию! Запись по телефону: +7 (473) 2-390-800 8-960-124-74-06 Адрес: Воронеж, ул. Ф. Энгельса, 58А (1 этаж, рядом с Центральным рынком).
Развернуть
Стоматология "Колибри" г. Воронеж30 июля 2025 в 9:17
Ваша благодарность — наша лучшая награда! У нас самые замечательные пациенты!
Развернуть
Стоматология "Колибри" г. Воронеж26 июля 2025 в 9:36
Тёплых солнечных выходных и ослепительных улыбок, друзья! Хорошего субботнего утра
Стоматология "Колибри" г. Воронеж25 июля 2025 в 8:52
РЕСТАВРАЦИЯ ЗУБОВ — верни улыбке красоту и уверенность! Трещины, сколы, потемневшая эмаль или неровная форма зубов — не повод прятать улыбку! Современная реставрация зубов творит чудеса: Быстро— всего за 1—2 визита Эстетично — идеальный цвет и форма Надежно — материалы, устойчивые к нагрузкам Методы реставрации: Композитная реставрация – быстрая и доступная коррекция с помощью светоотверждаемых материалов. Идеально для небольших дефектов. Виниры и люминиры – тонкие накладки, которые полностью преображают улыбку. Выбирайте керамику… — Читать дальше
или композит в зависимости от бюджета и желаемого результата. Ваша улыбка должна быть достойна восхищения. Запишитесь на консультацию и узнайте, какой метод подойдет именно вам!
Развернуть
Стоматология "Колибри" г. Воронеж17 июля 2025 в 13:31
Вот и порция новых зубов Кому?
Развернуть
Стоматология "Колибри" г. Воронеж12 июля 2025 в 13:22
Диоксид циркония на фрезерованной балке Запись по
Развернуть
Стоматология "Колибри" г. Воронеж11 июля 2025 в 12:41
Новые для протезирования на имплантах для нашего пациента. Ждут примерки
Развернуть и показать
еще 1 фото
Стоматология "Колибри" г. Воронеж7 июля 2025 в 10:32
Доброе рабочее утро Наводим порядок Любим свою работу Запись по
Развернуть
Стоматология "Колибри" г. Воронеж4 июля 2025 в 11:45
БИОАКТИВНЫЕ ПЛОМБЫ— будущее стоматологии уже сегодня! Представьте себе пломбу, которая не просто закрывает дырку в зубе, а помогает ему восстанавливаться! Что такое биоактивные пломбы Это инновационные материалы, которые: Выделяют кальций и фосфаты для укрепления дентина. Борются с бактериями, снижая риск повторного кариеса. Минимально токсичны и более биосовместимы, чем традиционные композиты. Почему это круто? Меньше риска осложнений под пломбой Дольше срок службы Подходят даже для глубокого кариеса Будущее стоматологии — в… — Читать дальше
регенерации, а не просто в устранении проблемы! Уже пробовали такие пломбы? Делитесь в комментариях!
Стоматология "Колибри" г. Воронеж28 июня 2025 в 22:24
АТРАВМАТИЧНОЕ УДАЛЕНИЕ ЗУБА. ЗАЧЕМ? Нужно удалить зуб по острой боли (предположим, что уже точно известно, что зуб под удаление, но тут, внезапно, заболел) и, как это часто бывает, идем не к проверенному врачу, а в ближайшую поликлинику Обычная мысль — зачем заморачиваться, удалить побыстрее, а там видно будет И вот кратковременное счастье от отсутствия боли через несколько дней прошло, а зияющая пустота во рту осталась. Что делать? Хорошим вариантом, конечно же, становится вариант установки импланта на место прежнего зуба, так как обтач… — Читать дальше
ивать соседние зубы (тем более, если она не депульпированные и в хорошем состоянии) и ставить мост не хочется. Находим проверенного «сарафанным радио» имплантолога, приходим на консультацию и тут узнаем, что (далее один из вариантов): — 1⃣для установки импланта должно пройти не менее 3-х месяцев после удаления (а может и все 6 месяцев), при этом идеальным в вашем случае было бы удаление с одномоментной имплантацией, но теперь-то уже поздно об этом говорить; -2⃣ при удалении зуба были нарушены костные объемы (зуб был удален травматично, «не бережно»), поэтому чтобы установить имплант требуется костная пластика (наращивание кости). А это не только дополнительные финансы, но и более длительный реабилитационный период. Вот так-то! Если бы знать заранее! Оказывается и зуб удалить можно по-разному В классическом варианте операция заключается в накладывании на коронку зуба щечек хирургических щипцов, и вытаскивании зуба из лунки. При грубом удалении щипцами с применением достаточной силы тонкая щечная стенка ломается, и в последующем кость восстанавливается с достаточно выраженным провалом с вестибулярной стороны. Соответственно, помимо операции имплантации, необходима еще и операция по восстановлению объема костной ткани. При атравматичном удалении процедура происходит следующим образом: коронка зуба распиливается на несколько частей хирургическим наконечником, т.е. специальным бором, рассекаются его корни в области, где происходит разделение корней. Каждая часть зуба аккуратно отделяется от связочного аппарата с помощью специального хирургического инструмента. Мягкие ткани отодвигаются, отслаиваются связки зуба, а корни или фрагменты зуба по отдельности удаляются. Лунке зуба уделяется особое внимание: ее обрабатывают антисептическими средствами, при необходимости накладывают швы. Берегите своё здоровье!
Стоматология "Колибри" г. Воронеж14 июня 2025 в 14:57
А вы знаете, что черешня богата множеством витаминов и минералов: кальций, магний, калий, фосфор, железо, витамины группы В, бета-каротин, витамины С, А и Е и многие другие. Полезные свойства черешни: оптимизирует работу сердечно-сосудистой системы предотвращает развитие вирусных заболеваний нормализует кровяное давление способствует укреплению стенок капилляров помогает при гипертонии и анемии Для зубов она также имеет полезное свойство, а именно повышает устойчивость к кариесу, как у детей, так и у взрослых, благодаря входящим… — Читать дальше
в состав кальцию и фтору. Однако, рекомендуется чистить зубы не менее, чем через 30 минут после употребления в пищу черешни, так как входящие в неё фруктовые кислоты влияют на твердость эмали зуба.
Развернуть
Стоматология "Колибри" г. Воронеж13 июня 2025 в 11:00
️ Почему могут разболеться зубы в самолёте? Разбираем бароденталгию. Представьте: вы в самолёте, летите на отдых и наслаждаетесь видом из иллюминатора, как вдруг появляется ноющая зубная боль И вы начинаете судорожно вспоминать, какие лекарства лежат в собранной вами аптечке (если она вообще имеется), и есть ли там обезболивающие? Что же происходит? Вчера ведь не болело ничего? А дело в том, что при повышении или понижении давления окружающей среды давление в зубной полости может отличаться. Это бывает при подъёме на высоту, полётах, пог… — Читать дальше
ружении под воду или даже изменениях погоды ️В полёте давление в салоне меняется, что влияет на нервные окончания и вызывает боль в случаях, если есть: Кариес, пульпит или трещина; Старая пломба или коронка, под которыми имеется воспаление; Гайморит (давление в пазухах может «отдавать» в верхние зубы) Начинающий прорезываться зуб «мудрости». В некоторых случаях бароденталгия может проявляться как фантомная боль, то есть как реакция организма на стрессовые условия. Вывод: если подозреваете, что у вас есть какие-то проблемы с зубами и планируете поездку, то лучший вариант — посетить стоматолога заранее. На крайний случай, иметь с собой арсенал лекарств в поездке будет не лишним. Лучше решить проблему на земле, чем страдать в небе или на отдыхе.
Развернуть
Стоматология "Колибри" г. Воронеж5 июня 2025 в 16:02
ОПОЛАСКИВАТЕЛЬ ДЛЯ ЗУБОВ Для чего нужен и как пользоваться. 4 основные задачи ополаскивателя для зубов: ⃣ удаление остатков пищи; ⃣ борьба с микробами, провоцирующими развитие кариеса и зубного камня; ⃣ профилактика стоматологических проблем (воспаления десен, кариес и др.); ⃣ нейтрализация неприятного запаха. Также важно правильно пользоваться этим средством, чтобы процедура оказалась действенной. Вот несколько правил: Процедура полоскания должна занимать минимум 40 сек и максимум 2 мин.⌚ Перед использованием необходимо изучить состав и ин… — Читать дальше
струкцию, так как некоторые растворы требуют разбавления водой. На одно полоскание у вас должно уходить примерно 10—15 мл. Раствор необходимо несколько раз процедить сквозь зубы – таким образом, омываются все стороны полости рта. Чтобы раствор выполнил свою функцию, в течение 30 мин после его использования не желательно пить и принимать пищу.
Развернуть
Стоматология "Колибри" г. Воронеж30 мая 2025 в 11:59
Ортопедия — рабочие моменты Ортопедия, зачастую, самая объёмная (по времени, проведённом в стоматологическом кресле) часть лечения. Здесь и восстановление функции и эстетика
Развернуть и показать
еще 4 фото
Стоматология "Колибри" г. Воронеж27 мая 2025 в 9:52
»— Зубной врач? Это же роскошь! У нас в городе один дантист на пять тысяч человек, и тот еврей!» Ильф и Петров
О времена! Сатира на дефицит специалистов времён Союза и сейчас актуальна — попробуй найди хорошего доктора
Стоматология "Колибри" г. Воронеж26 мая 2025 в 11:08
«Сколько это будет стоить? Добрый день! При записи к врачу основным вопросом является: «Сколько это стоит?» Хотя главный вопрос, конечно, другой: «Поможет ли вмешательство здоровью? Не нанесет ли вреда? » ️ Это касается не только стоматологической помощи, но и любой медицинской. Почему нужно придти на консультацию, и администратор не назовет точную сумму сразу по телефону?: ️ Прайс есть — но у каждого пациента уникальная ситуация. ️ Стоимость лечения, например, кариеса или установки циркониевой коронки в большинстве случаев не равна… — Читать дальше
итоговой сумме. ️ Без осмотра доктором, снимков (КТ, рентгена) и диагноза — любые цифры будут «с потолка». Что вы получите на консультации? План лечения — что нужно решить сейчас, а что может подождать. Прогноз на будущее — какие проблемы могут возникнуть через 5–10 лет. Ответы на вопрос «Сколько?» и «Как долго?» — без догадок и скрытых платежей. Консультация терапевта, ортопеда и хирурга — бесплатна! Узнать реальную картину своего здоровья — бесценно. ️ Запись:, Клиника «Колибри» P.S. Наша цель — помочь вам сохранить здоровье на годы вперёд.
Развернуть
Стоматология "Колибри" г. Воронеж22 мая 2025 в 15:16
Воронежские ученые с коллегами из Бразилии, Египта и Южной Кореи разработали тонкопленочное покрытие для зубной эмали, которое имитирует природную структуру зуба и подавляет развитие бактерий, вызывающих кариес. Новый материал создали из производных хинолина (это соединение легко полимеризуется и образует стабильные пленки) и наногидроксиапатита — вещества, воспроизводящего морфологию натуральной эмали. Изобретение может лечь в основу профилактики и лечения заболеваний полости рта. Смесь из этих компонентов наносят на поверхность зуба, спуст… — Читать дальше
я 30 минут она застывает и образует пленку, которая полностью покрывает эмаль, воспроизводит ее структуру и повышает устойчивость к микробному воздействию. Подробнее:
Стоматология "Колибри" г. Воронеж13 мая 2025 в 12:13
Новый шикарный комплект зубов из диоксида циркония для нашей пациентки
Развернуть и показать
еще 3 фото
Стоматология "Колибри" г. Воронеж12 мая 2025 в 17:37
КАК СКОРО МЫ БУДЕМ ЛЕЧИТЬ ЗУБЫ УДАЛЕННО? Представьте: вы приходите в клинику, а вашим лечением управляет врач из другой страны через интернет! Это не фантастика — первые роботы-ассистенты уже работают в стоматологии. Рассказываем, как это устроено Какие роботы уже используются? Yomi (Neocis, США) — первый робот для имплантации, одобренный FDA. Он направляет инструмент с точностью до микрона, снижая риски ошибок. Пока работает только с врачом в клинике, но в будущем возможны удалённые операции. [▶ Подробнее о Yomi]() DJI Dental Robot… — Читать дальше
(Китай) — экспериментальная система для автономного лечения зубов. Пока требует контроля, но технология развивается быстро! [▶ Новости о проекте]() Как это работает? 1⃣ Пациент делает 3D-сканирование челюсти 2⃣ Врач создаёт «цифровой двойник» и планирует операцию 3⃣ Робот выполняет манипуляции, а стоматолог корректирует процесс онлайн через видеосвязь Когда ждать массового внедрения? Ученые и бизнесмены говорят, что в 2025–2030 — роботы станут доступнее, появятся первые системы с удалённым управлением. А после 2030 возможны полностью автономные процедуры под контролем ИИ Преимущества: Суперточность — погрешность до 10 микрон. Доступ к лучшим врачам из любой точки мира. Меньше осложнений и выше скорость работы — робот не устаёт, не отвлекается, минимизируется субъективный фактор. Сложности: ▪ Пока требуется присутствие врача в клинике ▪ Высокая стоимость (робот Yomi — от $100 000) ▪ Юридические вопросы, которые в общем и тормозят прогресс — кто несет ответственность в непредвиденной ситуации? Производитель? Врач? А если сбой работы интернета, тогда кто ответит? Будущее близко! Неужели уже через 5–10 лет теледенталогия может стать стандартом, особенно для сложных операций. А вы готовы доверить лечение роботу?
Показать
еще 4 фото
Стоматология "Колибри" г. Воронеж7 мая 2025 в 11:00
Стоматология в ГОДЫ ВЕЛИКОЙ ОТЕЧЕСТВЕННОЙ ВОЙНЫ: подвиг на передовой и в тылу Великая Отечественная война стала тяжелым испытанием для всей медицинской системы СССР, и стоматологи внесли огромный вклад в спасение бойцов и мирных жителей. Несмотря на нехватку оборудования, материалов и кадров, врачи работали в невероятно сложных условиях, совершая настоящие подвиги. На фронте зубные врачи и челюстно-лицевые хирурги спасали бойцов с тяжелейшими ранениями. Основными проблемами медицины были: — травмы челюсти (в 1943 году хирург Московского мед… — Читать дальше
института Иван Козлов разработал методику шинирования переломов проволочными конструкциями прямо в полевых госпиталях). — инфекции и осложнения – без своевременного лечения воспаления приводили к сепсису. Врачи использовали самодельные дренажи и антисептики, такие как раствор марганцовки и хлоргексидин (когда его удавалось достать). — экстренное протезирование – для бойцов с тяжелыми ранениями челюсти изготавливали временные шины из алюминиевой проволоки и пластмассы. К примеру, в битве за Сталинград стоматологи 436-го медсанбата за месяц провели более 200 операций по восстановлению челюстно-лицевых травм (источник: «Военная медицина в Великой Отечественной войне», 1946). В осажденном Ленинграде стоматологи продолжали лечить людей. В Ленинградском стоматологическом институте (ныне ПСПбГМУ им. Павлова) врачи делали обтураторы (закрывающие дефекты нёба) для раненых из подручных материалов; разрабатывали новые методы анестезии из-за отсутствия новокаина; лечили цингу (из-за нехватки витамина С у многих блокадников кровоточили десны). Профессор Александр Лимберг (основатель отечественной челюстно-лицевой хирургии) в блокаду провел десятки операций, спасая людей с огнестрельными ранениями лица (источник: «Медицина блокадного Ленинграда», 2005). Война ускорила развитие военно-полевой стоматологии: — в 1942 году вышло «Руководство по зубопротезированию для военных врачей» (под ред. профессора Евгения Гофунга). — Разработаны новые методы остеосинтеза (соединения костей) при переломах челюсти. — Усовершенствованы методы антисептики в условиях нехватки лекарств. (По материалам архивных данных, мемуаров военных медиков и научных публикаций по истории медицины.)
Показать
еще 4 фото
Стоматология "Колибри" г. Воронеж6 мая 2025 в 10:43
Что можно и что нельзя после имплантации зубов? Этот вопрос волнует почти всех пациентов перед операцией. Какие правила нужно соблюдать? От чего лучше воздержаться? А что категорически запрещено? Разберёмся подробнее! Первые 3 дня — «ледяной» режим После имплантации (как и после удаления зуба или костной пластики) врач порекомендует прикладывать холод к щеке. Как это правильно делать? Лёд прикладывают с перерывами (точный график подскажет доктор). Лучше подготовить его заранее! Холод сужает сосуды, уменьшает отёк и снижает риск воспа… — Читать дальше
ления. Важно! Самый сильный отёк бывает на третий день, поэтому, если возможно, возьмите выходные. Что НЕЛЬЗЯ после имплантации? Воздерживаемся от горячей и твёрдой пищи – только тёплые блюда мягкой консистенции (еда, которую «можно разрезать вилкой»). Острое, кислое, солёное – может раздражать слизистую. Баня, сауна, горячие компрессы – повышают риск кровотечения. Трогать имплант языком или руками – может нарушить заживление. Активный спорт и тяжести – минимум на 1—3 недели (точный срок уточните у врача). Что НУЖНО делать? Принимать назначенные препараты (антибиотики, обезболивающие и т. д.). Делать антисептические ванночки (не полоскать, а просто держать раствор во рту). Пить витамин С для укрепления иммунитета. Чистить зубы аккуратно, избегая зоны операции. Соблюдение этих рекомендаций ускорит заживление и поможет импланту прижиться успешно!
Развернуть
Стоматология "Колибри" г. Воронеж1 мая 2025 в 9:00
Мир! Труд! Май! 1 и 2 мая мы отдыхаем. 3-го мая принимает по записи.
Стоматология "Колибри" г. Воронеж30 апреля 2025 в 14:45
ЭКЗОСТОЗОМ в стоматологии называют наросты – процесс разрастания костно-хрящевой или костной тканей, проявляющееся в виде выступов на поверхности неба или нижней челюсти. Никакой боли они не причиняют. Главная проблема состоит в том, что экзостоз постепенно увеличивается. Это приводит к появлению дискомфорта, давление на зубы и кости усиливается, возрастает риск травм на слизистой полости рта. При подобных образованиях невозможно носить протезы и ставить имплантаты, а в числе возможных последствий – нарушение прикуса и смещение подбородка. Н… — Читать дальше
а начальной стадии экзостоз может быть незаметным, и обнаружить его сможет только врач во время стоматологического обследования или на рентгеновском снимке. Крупные наросты легко ощущаются языком. Если нарост на челюсти совсем маленький и не доставляет неудобств, с проведением коррекции хирургическим методом можно не торопиться. Однако, когда-нибудь это сделать все же придется. Слишком разросшийся экзостоз мешать будет не только языку, но и соседним зубам, что грозит деформацией.
Стоматология "Колибри" г. Воронеж29 апреля 2025 в 14:33
Это я, когда обещаю зубу почистить его 1530 раз, если он перестанет болеть…
Развернуть
Стоматология "Колибри" г. Воронеж23 апреля 2025 в 11:39
После депульпирования (удаления нерва) доктор рекомендует установить на зуб коронку. «А точно она нужна», — спрашивает пациент. » А можно без неё? » Можно и без неё, но надо понимать риски и последствия. Наше дело сообщить о показаниях и возможных проблемах Решение принимаете вы сами После удаления нерва зуб становится более хрупким и уязвимым. Без кровоснабжения и минерального обмена его ткани постепенно теряют прочность, повышается риск сколов и переломов. Фатальным для зуба может стать любой орешек, сухарик, шашлычок и т.д. А при перело… — Читать дальше
ме корня зуба остаётся только его удаление и имплантация Основные причины установки коронки: Защита от разрушения – депульпированный зуб в 4—6 раз более подвержен сколам и трещинам Сохранение функциональности – коронка восстанавливает жевательную эффективность на 90—100% Эстетика – без защиты зуб со временем меняет цвет. Современные коронки из диоксида циркония или керамики обеспечивают: — Полное восстановление функции желания. — Естественный внешний вид. — Долговечность (10—15+ лет службы). — Полную биосовместимость. Лучше все же не откладывайте протезирование – своевременное восстановление зуба поможет избежать более сложного и дорогостоящего лечения в будущем.
Развернуть
Стоматология "Колибри" г. Воронеж15 апреля 2025 в 14:24
Коронка из диоксида циркония Ждет примерки
Развернуть и показать
еще 2 фото
Стоматология "Колибри" г. Воронеж14 апреля 2025 в 15:39
Лечение и протезирование зубов меняют жизнь к лучшему Представьте человека, который годами стеснялся улыбаться, комплексовал по поводу своих зубов, жевал на одной стороне, периодически прикусывая щёку, а смеяться в голос считал непозволительной роскошью. А теперь посмотрите на него после качественного лечения — он свободно и уверенно общается и улыбается, не прикрывая рот ладонью, наслаждается любимой едой и радуется отражению в зеркале. Разница — небо и земля! И такие преображения мы видим в «Колибри» регулярно! И радуемся вместе с н… — Читать дальше
ашими потрясающими пациентами Что даёт лечение и протезирование зубов? Здоровье – отсутствие боли, восстановление правильного прикуса и пищеварения. Комфорт – возможность жевать без ограничений и наслаждаться любимой едой. Уверенность – красивая улыбка влияет на общение, карьеру и самооценку. Долгосрочный результат – современные материалы служат 15—20 лет и более. Интересные факты: По данным ВОЗ, 30% людей откладывают визит к стоматологу из-за страха, хотя лечение сегодня – безболезненно. 92% пациентов после протезирования отмечают улучшение качества жизни. Новые технологии (цифровое моделирование, керамика, импланты) делают зубы неотличимыми от натуральных. Не стоит мириться с дискомфортом! Современная стоматология – это инвестиция в здоровье, красоту и уверенность в себе. Хотите узнать, какие варианты подходят именно вам? Запишитесь на консультацию! Стоматология «Колибри»
Стоматология "Колибри" г. Воронеж5 апреля 2025 в 13:42
Весенний уход за зубами: как укрепить зубы и дёсны? Весна — идеальное время, чтобы подарить своей улыбке заботу и витаминную поддержку! Ведь здоровье зубов и дёсен зависит не только от гигиены, но и от питания. Витамины и минералы для крепких зубов и дёсен: Кальций (молочные продукты, кунжут, миндаль) — основа крепкой эмали. Фосфор (рыба, творог, тыквенные семечки) — помогает кальцию усваиваться. Витамин D (яйца, печень трески, солнечные ванны ️) — укрепляет зубы и кости. Витамин С (киви, цитрусовые, болгарский перец) — защищает… — Читать дальше
дёсны от кровоточивости. Витамин А (морковь, шпинат, абрикосы) — поддерживает здоровье слизистой рта. Магний и цинк (орехи, бобовые, морепродукты) — важны для минерализации зубов. 5 ГЛАВНЫХ ПРАВИЛ ВЕСЕННЕГО УХОДА: 1️⃣ Меняйте щётку раз в 3 месяца и не забывайте про зубную нить. 2️⃣ Пейте больше воды — она смывает бактерии и предотвращает сухость во рту. 3️⃣ Ограничьте сладкое и кислое — сахар и кислоты разрушают эмаль. 4️⃣ Используйте пасты с фтором или гидроксиапатитом для укрепления эмали. 5️⃣ Запишитесь к стоматологу — профилактика спасёт от неожиданных проблем! Пусть ваша улыбка будет не только красивой, но и здоровой!
Развернуть
Стоматология "Колибри" г. Воронеж4 апреля 2025 в 12:16
КЮРЕТАЖ. ЧТО ЭТО И ЗАЧЕМ? Вообще слово кюретаж в переводе с французского означает «скребок». А что это значит в стоматологии сейчас расскажем В норме пародонтальные карманы не превышают 3 мм, однако из-за проблем с деснами, особенно из-за пародонтита, пространство между зубом и десной увеличивается. В нем растет число бактерий, застревают кусочки пищи, в результате чего воспаление усиливается, а карман – углубляется. Причинами усугубления ситуации могут быть: плохая гигиена, микротравмы из-за дурных привычек (грызть ручку, раскалывать оре… — Читать дальше
хи зубами и прочее), воспаления, снижение иммунитета. Насторожить должны кровоточивость, воспаления, шатающиеся зубы, плохой запах изо рта. При лечении тканей пародонта применяется такой метод как чистка зубов и пародонтальных карманов от налета и зубных камней с помощью специальных инструментов. С этой целью и выполняется кюретаж, который бывает открытым и закрытым. 1⃣ Закрытый кюретаж: проводится при глубине пародонтальных карманов 4—5 мм, без нарушения целостности десны. Доктор использует специальные инструменты – кюреты, которыми удаляет зубные отложения и инфицированные ткани из-под десны. 2⃣ Открытый кюретаж: применяется при глубине карманов более 5 мм. В этом случае делается небольшой разрез десны, чтобы получить доступ к корню зуба и тщательно очистить его. После процедуры накладываются швы. Цель процедуры – устранить воспаление, остановить развитие пародонтита и сохранить зубы пациента. Берегите свое здоровье и вовремя обращайтесь за помощью к специалистам!
Развернуть
Стоматология "Колибри" г. Воронеж1 апреля 2025 в 9:53
Металлокерамика на имплантах для нашей пациентки Ждет примерки
Развернуть и показать
еще 1 фото
Стоматология "Колибри" г. Воронеж27 марта 2025 в 12:29
Техники — народ творческий Поэтому и творческий беспорядок — нормальное явление
Развернуть
Стоматология "Колибри" г. Воронеж22 марта 2025 в 11:49
50 ОТТЕНКОВ ЗУБОВ Главное, конечно, вылечить зуб и восстановить его функцию — откусывание и пережевывание пищи, — но в наше время эстетика имеет также огромное значение. Поэтому стоматологи большое значение придают подбору оттенка пломб, коронок, виниров. Главный фактор, изначально определяющий цвет зубов, — наследственность. Насыщенность и оттенок зуба каждого человека определяются желтоватым дентином, просвечивающим через полупрозрачную эмаль. При этом природный цвет неоднороден — он изменяется от пришеечной области (там он более жёлтый… — Читать дальше
за счёт толстого слоя дентина) к почти прозрачной, и из-за этого кажущейся сероватой режущей кромке. Более того, оттенок меняется с возрастом⏳. Эмаль истончается, теряет прозрачность. Изменяет цвет и дентин — он становится более тёмным. Из-за этого улыбка с возрастом темнеет. Чтобы подобрать цвет пломбы или коронки доктор использует цветовые шкалы. А подходящий цвет определяет визуально или с помощью аппаратных методик (стандартизованные бестеневые осветительные приборы, дающие искусственное освещение, которое максимально приближено к естественному; сканеры цвета; программное обеспечение, обрабатывающее полученные со сканера данные). Часто встречающаяся цветовая шкала — Вита (Vita). Шкала Вита разделена по номерам и буквам. Каждая категория имеет свой подтон: А – красновато-коричневые оттенки; В – красновато-желтые; С – светло-серые; Д – серые с красноватым оттенком. Каждая группа еще подразделяется на небольшие подгруппы, обозначающиеся цифрами от 1 до 4. Под цифрой 1 подразумеваются самые светлые и насыщенные цвета, а под 4 – темные и тусклые. Всего в линейке 16 вариантов окраски эмали. Для обозначения подтона одновременно используются и буквы, и цифры. Сначала доктор находит по таблице буквенную составляющую, а затем – цифровую.
Стоматология "Колибри" г. Воронеж17 марта 2025 в 15:49
Временные пластмассовые фрезерованные коронки на имплантах. Немедленная нагрузка (через три дня после операции).
Развернуть
Стоматология "Колибри" г. Воронеж13 марта 2025 в 7:56
Искусственный интеллект (ИИ) активно внедряется в стоматологию и уход за зубами, помогая докторам в диагностике и выборе лечения, а пациентам — в профилактике. Вот несколько способов, как ИИ может быть полезен в уходе за зубами: Умные зубные щётки Уже не первый год можно приобрести щетку, которая анализирует технику чистки зубов с помощью датчиков. Щётка отслеживает движения и даёт обратную связь через приложение, подсказывает, какие области нужно чистить тщательнее, составляет статистику и рекомендации для улучшения гигиены. Приложения для… — Читать дальше
анализа состояния полости рта. К таким, например, относятся приложения, использующие ИИ для анализа фото зубов. Вы делаете фото зубов с помощью смартфона, ИИ анализирует состояние эмали, дёсен, наличие налёта или кариеса и даёт рекомендации по уходу или советует обратиться к стоматологу. Персонализированные рекомендации. Пример: ИИ анализирует ваши привычки, диету и состояние зубов, чтобы дать индивидуальные советы. Как это работает: — Приложения или устройства собирают данные о вашем рационе, частоте чистки зубов и других факторах. — ИИ предлагает изменить диету, использовать определённые средства гигиены или чаще посещать стоматолога. Обучение и профилактика. ИИ активно используется в образовательных программах для пациентов. Приложения с ИИ могут показывать обучающие видео, тесты и интерактивные материалы. Это помогает людям лучше понимать, как правильно ухаживать за полостью рта. Кроме того, ни для кого уже не секрет, что ИИ активно используется докторами при анализе рентгеновских снимков, компьютерных томограмм и других данных. Алгоритмы ИИ способны выявить заболевания на ранних стадиях и предложить варианты лечения. Если вы хотите начать использовать ИИ для ухода за зубами, начните с умной зубной щётки или приложения для анализа состояния полости рта. Однако помните, что ИИ не заменяет регулярные визиты к стоматологу!
Развернуть
Стоматология "Колибри" г. Воронеж12 марта 2025 в 10:37
Бывает, что зуб, который периодически даёт о себе знать, вдруг начинает болеть. Сначала это лёгкий дискомфорт, затем — ноющая боль, а потом на десне появляется отёк, будто вы решили отрастить вторую щёку. Печально, но это флюс! Что такое флюс? Флюс, или периостит, — это воспаление надкостницы острого или хронического течения. Проявляется: болью, которая распространяется в ухо, височную область, глаз; опуханием десны, повышением температуры до 38°С, головной болью и общим недомоганием. Причинами возникновения флюса могут быть: — перио… — Читать дальше
донтит — разрушение околозубных тканей, — альвеолит — восполение зубной лунки, — воспаление непрорезавшихся или частично прорезавшихся зубов мудрости, — травма зуба, удар или повреждение челюсти. Инфекция зачастую развивается при ОРВИ, тонзиллите, синусите, отите и других заболеваниях. Риск флюса также увеличивается при переохлаждении, чрезмерных физических нагрузках и нарушении гигиены полости рта. Чем это опасно? Если флюс не лечить, он может перерасти в абсцесс — гнойное воспаление с образованием шишки на десне. Гнойное содержимое может попадает в рот через отверстие — свищ. Это уже не просто дискомфорт, а серьёзная угроза для здоровья. ️Что делать, если флюс уже появился? Не занимайтесь самолечением! Народные методы и полоскания могут только усугубить ситуацию. Обратитесь к стоматологу — он проведёт необходимое лечение и избавит вас от боли. Стоматология «Колибри» Воронеж, ул. Фридриха Энгельса, 58а (рядом с Центральным рынком)..
Развернуть
Стоматология "Колибри" г. Воронеж7 марта 2025 в 11:24
Прекрасные, милые женщины! Поздравляем вас с наступающим весенним праздником! Желаем крепкого здоровья, побольше счастливых моментов, любви, благополучия и обворожительных улыбок 8⃣марта у нас выходной, а с 10-го принимаем по расписанию .
Развернуть
Стоматология "Колибри" г. Воронеж26 февраля 2025 в 9:01
— А можно новые зубы быстро, недорого и не больно? — Можно. В Пакистане. ️
Стоматология "Колибри" г. Воронеж22 февраля 2025 в 11:59
Цифровое сканирование уже прочно вошло в рабочую жизнь стоматолога. Без него не обходится практически никакое лечение — ортодонтическое, терапевтическое, хирургическое или ортопедическое Применяется для более точного и полного планирования лечения, а также изготовления ортопедических конструкций любой сложности. Сканер помещается в ротовую полость. Он направляет световые лучи на нужный объект, после их отражения — считывает и передаёт в компьютер, где специальная программа подвергает полученные изображения обработке и составляет визуализац… — Читать дальше
ию в формате 3D А пациент тем временем может разглядывать свои зубы с непривычного для него ракурса
Стоматология "Колибри" г. Воронеж21 февраля 2025 в 17:20
Мужчины не только реже посещают стоматолога, но и в принципе меньше вникают в вопросы здоровья полости рта, если сравнивать с женщинами. Что, в целом, не является новостью. Так же многие мужчины обращаются к стоматологу в основном уже с острой болью Такой вывод делают ученые на основании недавних исследований. Но мы и так это знаем Кроме того, установлено, что в целом мужчины пользуются зубной нитью и ирригатором реже, чем женщины. Мужской пол чаще имеет эрозии, стирания твердых тканей и кариес в области коронки и корня зуба. В то же… — Читать дальше
время это совсем не значит, что в целом состояние зубов мужчин хуже, чем у женщин Гормональный фон, беременности, несбалансированные диеты, употребление сладостей — все это приводит к тому, что слабый пол нуждается в особой заботе. Поэтому наличие множества проблем полости рта и частое посещение стоматологов женщинами вполне оправдано Ну а мы принимаем и мужчин и женщин по адресу: Воронеж, ул. Фридриха Энгельса, 58А, 1 этаж (рядом с Центральным рынком). запись по тел.
Развернуть
Стоматология "Колибри" г. Воронеж18 февраля 2025 в 18:18
Мир начинается с улыбки
Развернуть
Стоматология "Колибри" г. Воронеж13 февраля 2025 в 10:49
Современная стоматология предлагает разные виды протезирования, в том числе и при полном отсутствии зубов. Главное отличие съёмного и несъёмного протезирования на имплантах — в способе крепления. Подсказка кроется в названии Несъёмные протезы не снимаются Их фиксируют винтами к имплантам через специальные отверстия и снять их может только доктор (существует также цементный способ фиксации, который используется реже). При таком способе протез максимально эстетичен и надёжно закреплён в полости рта. При съёмном потезировании пациент может сам… — Читать дальше
снять и одеть протез в целях ухода за ним. Такой способ предусматривает особую систему крепления, с помощью замков протез фиксируется к специальной балке, которая, в свою очередь, крепится к имплантам. Все плюсы и минусы, а также возможность каждого вида протезирования обсуждаются с доктором на этапе консультации. БЕСПЛАТНАЯ консультация специалиста! Запись по тел.; Находимся по адресу: Воронеж, ул. Фридриха Энгельса, 58а, 1 этаж (рядом с Центральным рынком, за ТЦ «Атмосфера»).
Развернуть
Стоматология "Колибри" г. Воронеж9 февраля 2025 в 9:00
«Правильное вложение — это вклад в здоровье» П.Ж. Беранже Всем хорошего воскресного дня!
Развернуть
Стоматология "Колибри" г. Воронеж8 февраля 2025 в 9:09
Потеря зубов может произойти в любом возрасте. Однако результат их длительного отсутствия почти всегда одинаков : — изменяются пропорции лица, нарушается симметрия; — становятся более явными признаки старения; — ухудшается дикция; — появляются боли в голове и шее; — нарушается процесс жевания; — возникают проблемы с ЖКТ. После удаления или потери зуба происходит убыль костной ткани, развивается адентия. В этом случае, установка имплантата требует дополнительных манипуляций — костно-пластических операций. Что, естественно, влияет на стоимость… — Читать дальше
и сроки лечения. В связи с этим, тянуть с имплантацией крайне нежелательно. Чем грозит потеря зубов? Головной болью. Частичной или полной потерей жевательной функции. Уменьшением ширины и высоты костной ткани. Видимыми изменениями лица: впалые щеки, углубление морщин. Воспалительным процессом в деснах и уменьшением ее площади: в дальнейшем это может привести к потере соседних зубов. Нарушением дикции, как следствие — проблемами при общении.
Стоматология "Колибри" г. Воронеж30 января 2025 в 12:58
Металлокерамические коронки для нашей пациентки Ждут примерки
Развернуть и показать
еще 1 фото
Стоматология "Колибри" г. Воронеж25 января 2025 в 13:05
Удаление и имплантация ОДНОМОМЕНТНО, а так же НЕМЕДЛЕННАЯ НАГРУЗКА (установка коронки в день обращения) часто практикуемая операция в нашей клинике. Особенно это актуально, если зуб (зубы) находится в зоне улыбки В клинике «Колибри» есть собственная зуботехническая лаборатория, что позволяет оперативно изготавливать временные коронки и возвращать эстетику улыбке пациента в течение часа после операции Бывают ситуации, когда временная ортопедическая конструкция устанавливается через 2—3 дня после операции: — в случае тотального лечения, соотв… — Читать дальше
етствующей клинической картины или изготовления сложных протезов на нескольких имплантах. И это тоже считается немедленной нагрузкой, так как пациент не ждет от двух до шести месяцев, когда имплант приживется. Запись на консультацию и лечение по
Развернуть
Стоматология "Колибри" г. Воронеж15 января 2025 в 8:59
3D-БИОПЕЧАТЬ ПОМОЖЕТ ЛЕЧИТЬ ПАРОДОНТИТ и травмы челюсти Российские медики предложили новую технологию восстановления поврежденного пародонта. До последнего времени решить эту проблему во многих случаях стоматологам не удавалось. Методика основана на создании биоэквивалента разрушенного участка на основе собственных клеток пациента и других биосовместимых материалов. Такую тканеинженерную конструкцию пересаживают больному, и она легко приживается, так как полностью совместима с его организмом. По словам стоматологов, методика крайне перспекти… — Читать дальше
вна для лечения многих патологий полости рта, однако необходимо, чтобы имплант был не только эффективен, но и эстетичен. Специалисты Института стоматологии им. Е.В. Боровского и Института регенеративной медицины Сеченовского университета разработали новую методику восстановления повреждений пародонта — совокупности мягких и твердых тканей, окружающих зубы и обеспечивающих их крепление в кости. К ним относятся десны, цемент корня, соединительные и другие виды тканей. Ученые создали технологию получения биоэквивалента разрушенного участка на основе собственных клеток пациента, биосовместимых полимеров и сфероидов (трехмерных клеточных структур) при помощи 3D-биопечати. Такая тканеинженерная конструкция полностью совместима с организмом пациента. — Это гораздо больше, чем просто трансплантат — это живая ткань, родственная для организма пациента, так как выращена из его же клеток. Пока что такой подход не реализован нигде в мире. Он подойдет и для восстановления пародонта, поврежденного вследствие различных заболеваний, и для закрытия посттравматических и послеоперационных дефектов, — рассказала врач-стоматолог, доцент кафедры хирургической стоматологии Сеченовского университета Светлана Репина. Сейчас ученые получили компьютерные томограммы структур и образцы здоровых тканей пародонта от пациентов, проходивших стоматологическое лечение. Это необходимо, чтобы построить его 3D-модель в норме и подробно охарактеризовать строение. Следующим этапом станет создание модели дефектов тканей вокруг зубов, которая позволит проектировать форму и размеры биоэквивалентов. Если проект окажется успешным, то качество жизни пациентов значительно улучшится. Это позволит полноценно провести не только медицинскую, но и социальную реабилитацию. Однако пока не ясно, будет ли имплантат не только функциональным, но и эстетичным и как будет осуществляться его приживление в тканях после длительного воспаления, отметила специалист. Источник:
Стоматология "Колибри" г. Воронеж10 января 2025 в 12:11
Наконец-то праздники закончились Приступаем к планированию светлого будущего (если кто-то вообще прерывался в этом процессе). Записывайтесь на консультацию и лечение! СТОМАТОЛОГИЧЕСКАЯ КЛИНИКА «КОЛИБРИ» – это команда профессиональных докторов с высокой квалификацией и большим опытом работы. Выбирая Колибри, Вы получаете индивидуальный подход и современные методы лечения, а главное – гарантию на все виды услуг. Красивая улыбка – залог Вашего успеха! БЕСПЛАТНАЯ консультация специалиста! Запись по тел.; Находимся по адресу: Воронеж, ул.… — Читать дальше
Фридриха Энгельса, 58а, 1 этаж (рядом с Центральным рынком, за ТЦ «Атмосфера»).
Развернуть и показать
еще 1 фото
Стоматология "Колибри" г. Воронеж28 декабря 2024 в 12:04
График работы клиники «Колибри» в праздничные дни: 30 декабря, 3, 4, 6 января — по предварительной записи. С 9 января — в обычном режиме. Желаем, дорогие пациенты, вам и вашим семьям в новом 2025 году крепкого здоровья, благополучия и мирного неба! И немножко снега всем нам
Развернуть
Стоматология "Колибри" г. Воронеж27 декабря 2024 в 9:49
Если пломба временная, не забывайте об этом и обязательно замените её на постоянную согласно рекомендациям лечащего доктора. Временные пломбы устанавливаются (при лечении глубокого кариеса, пульпита, периодонтита) на определённый период времени. Могут устанавливаться на один зуб в процессе лечения несколько раз. Они изготавливаются из недорогих материалов и служат недолго, выполняя конкретную цель — изоляция лекарства и предотвращение попадания пищи и инфицирования каналов. Однако, иногда, пациенты не понимают, что с временной пломбой нельзя… — Читать дальше
ходить месяцами и считать ее полноценной заменой. Временные пломбы не предполагают полную изоляцию и долговременную эксплуатацию, могут легко сломаться или выпасть во время еды, особенно если вы употребляете твердую пищу. Со временем, под пломбой из-за ее недостаточной герметичности может возникнуть воспаление, что потребует повторного лечения зуба.
Развернуть
Стоматология "Колибри" г. Воронеж19 декабря 2024 в 15:28
Кто-то встречает Новый год в новом наряде, а кто-то с новыми зубами! Тотальная работа для нашей пациентки (виниры и коронки на зубах и имплантат из диоксида циркония) Ждёт примерки!
Развернуть и показать
еще 2 фото
Стоматология "Колибри" г. Воронеж13 декабря 2024 в 13:17
Проблемы бывают разные, адрес — один: г. Воронеж, Фридриха Энгельса, 58А Стоматология «Колибри» (рядом с Центральным рынком). Тел.,.
Стоматология "Колибри" г. Воронеж9 декабря 2024 в 17:44
Пломба кажется с виду вполне нормальной, а доктор рекомендует все же ее поменять? Зачем? Обычная ситуация. Менять пломбу приходится по разным причинам: — Развитие под пломбой вторичного кариеса. Это происходит, если пломба перестает быть герметичной и попавшие под нее частицы пищи служат питательной средой для развития бактерий. С виду пломба целая, но под ней уже есть кариес, такое не редкость; — усадка пломбировочного материала. Какой бы супер-хороший и современный не был композитный материал, но со временем он дает усадку. И чем больше… — Читать дальше
пломба, тем, соответственно, больше усадка. Как следствие — нарушение контакта между зубами и, опять же, герметичности; — у старых пломб поверхность может истираться, сглаживаться. Это приводит к снижению эффективности измельчения пищи, нарушению функции жевания; — эстетический аспект. Со временем пломба может менять цвет, что особенно неприятно если речь идет о фронтальной (передней) части зубного ряда.
Развернуть
Стоматология "Колибри" г. Воронеж5 декабря 2024 в 10:17
Мучает зубная боль? Сложности с пережевыванием пищи? Хочется просто «привести зубы в порядок» и широко улыбаться? Тогда приходите к нам! Поможем БЕСПЛАТНАЯ консультация специалиста! Запись по тел.; Находимся по адресу: Воронеж, ул. Фридриха Энгельса, 58а, 1 этаж (рядом с Центральным рынком, за ТЦ «Атмосфера»).
Стоматология "Колибри" г. Воронеж29 ноября 2024 в 15:07
— Доктор, у меня тут такое! Так все плохо! Вы, наверно, такой рот еще не видели!?, — говорит пациентка, шагая в кабинет. Не поверите. Видели. И даже такое видели, что вам и не снилось Если вы думаете удивить или испугать доктора своими зубами, то знайте, сделать это практически невозможно. Кроме того, если вам кажется, что стоматолог начнет охать, ахать и сокрушаться по поводу состояния зубов, частоты ваших походов к врачу, гигиены и прочих моментов, вы заблуждаетесь. Вы пришли к доктору за помощью и он эту помощь оказывает Не стесня… — Читать дальше
йтесь и обращайтесь!
Стоматология "Колибри" г. Воронеж25 ноября 2024 в 15:19
А вы знаете, что традиции китайской народной медицины гласят, что, проблемы с зубами возникают не из-за отсутствия гигиены, а из-за общего состояния организма На миллион китайцев приходится в среднем всего 100 стоматологов! В России, для сравнения, их в четыре раза больше. Услуги стоматолога в стране доступны далеко не каждому, что парадоксально, ведь Китай — самый большой поставщик оборудования для зубных клиник в мире. А еще, примерно полмиллиарда китайцев никогда в своей жизни не чистили зубы. И их это не смущает Вместо пасты и щётки кита… — Читать дальше
йцы зачастую полощут рот чаем, солёной водой и лекарственными настоями. Для свежести дыхания жители Поднебесной могут жевать чайные листья. Акупунктура используется для облегчения боли и снятия воспалений. Конечно, методы традиционной медицины больше применяют в регионах, в небольших населенных пунктах. В мегаполисах же огромные стоматологические центры предлагают весьма широкий перечень услуг.
Стоматология "Колибри" г. Воронеж21 ноября 2024 в 11:12
ВИНТОВАЯ ИЛИ ЦЕМЕНТНАЯ ФИКСАЦИЯ Всем доброго дня! Если Вам предстоит установка коронки на имплант, то доктор будет определять способ ее фиксации: цементный или винтовой. Цементная фиксация предполагает крепление коронки при помощи стоматологического цемента. При винтовой фиксации коронка при помощи винта «привинчивается» к имплантату. При этом жевательная поверхность коронки имеет сквозное отверстие, сквозь которое пропускается винт. После фиксации коронки на имплант отверстие закрывают композитом, идентичным цвету коронки. Преимуществ… — Читать дальше
а и недостатки цементной фиксации: 1) старый добрый метод, знакомый любому стоматологу-ортопеду, 2) быстрота фиксации; 3) стоимость работы может быть (но не всегда) чуть ниже, чем при винтовой фиксации; 4) при неправильной фиксации (слишком много или, наоборот, мало цемента) возникают риски попадания пищи под коронку, воспаления, травмы десны и прочее; 5) чтобы снять коронку, поставленную на цементную фиксацию, ее придется распилить (такая необходимость может возникнуть в случае воспаления десны или поломки конструкции). Преимущества и недостатки винтовой фиксации: 1) широкий спектр показаний — такой метод крепления подходит практически во всех случаях и при любых анатомических особенностях; 2) коронку можно снять в любой момент без повреждений и поставить ее обратно (для чистки или ремонта, для лечения десен и в др. случаях); 3) коронки с таким видом фиксации требуют большей точности при изготовлении, отверстие под винт не должно в конечном итоге влиять на эстетику; 4) винты нужно периодически подкручивать, чтобы коронка не расшаталась и не сломалась, поэтому требуются периодические осмотры врача. В любом случае, доктор выбирает способ крепления, исходя из клинической ситуации и сложности лечения, с целью достижения наилучшего результата для пациента. На 2 и 3 фото — винтовая фиксация.
Развернуть и показать
еще 2 фото
Стоматология "Колибри" г. Воронеж16 ноября 2024 в 9:15
— Доктор, у меня зубы пожелтели! ️ — Так ведь, осень А если серьёзно, то мы можем помочь снять зубные отложения, налёт и до блеска начистим ваши зубы с помощью проф гигиены полости рта и золотых рук нашего доктора Запись по.
Стоматология "Колибри" г. Воронеж15 ноября 2024 в 16:18
ЧТО ТАКОЕ АРТИКУЛЯТОР В СТОМАТОЛОГИИ? При проведении сложного протезирования стоматолог-ортопед применяет такие инструменты, как артикулятор и лицевая дуга. Эти устройства играют важную роль в создании ортопедической конструкции, которая будет максимально точно соответствовать анатомическим особенностям пациента. Артикулятор представляет собой аппарат, который воспроизводит движения нижней челюсти. Благодаря этому устройству зубной техник может создать протезы с максимальной точностью, что обеспечивает комфорт пациенту при их использовании.… — Читать дальше
Лицевая дуга значительно упрощает протезирование, с ее применением удается избежать многочисленных примерок и подгонки протезов. Лицевая дуга и артикулятор позволяют: — правильно восстановить зубы, обеспечив правильный прикус и движения нижней челюсти; -выявить окклюзию – примыкание зубов верхней и нижней челюсти, а также выполнить окклюзионную коррекцию; — правильно провести шлифовку зубов без снятия лишней ткани.
Развернуть
Стоматология "Колибри" г. Воронеж12 ноября 2024 в 18:01
РЕГЕНЕРАЦИЯ КОРЕННЫХ ЗУБОВ СТАРТ ИСПЫТАНИЙ НА ЧЕЛОВЕКЕ В ЯПОНИИ Японские ученые начали испытание на людях препарата для выращивания новых зубов. Он уже показал свою эффективность на мышах и хорьках. Такая технология поможет не только людям с врожденным отсутствием зубов, но и тем, кто лишился их из-за травм или кариеса и не может поставить протез из-за медицинских показаний. 1 сентября японские ученые из университета Киото начали клинические испытания препарата для регенерации зубов, об этом сообщается на сайте больницы Китано. Они будут зав… — Читать дальше
ершены через год — в августе 2025 года. Если все пойдет по плану, препарат появится в продаже в 2030 году. В исследовании примут участие 30 мужчин в возрасте от 30 до 65 лет, у которых отсутствует как минимум один коренной зуб. После завершения первого этапа тестирования лекарство испытают на пациентах от 2 до 7 лет, у которых с рождения нет по крайней мере четырех зубов. «Суть препарата, который разработали наши японские коллеги, заключается в том, что он может нейтрализовать особый белок USAG-1. Он блокирует рост зубов. Этот белок оказывает влияние на функционирование зубных зачатков: из них появляются молочные и коренные зубы. То, как вырастут зубы при помощи этого препарата, прогнозировать сложно, и нет никаких гарантий, что они приобретут нужную форму. Существует и еще одна трудность, отмечают специалисты: «Если мы говорим о людях с адентией, то они изначально рождаются с аномальным развитием челюсти, у них может не хватать костного объема или он может быть с дефектами». А вот пациентам, которые потеряли свои постоянные зубы в результате стоматологических заболеваний или травмы, эта технология может облегчить жизнь. Сегодня для таких пациентов выбор стоит между имплантацией, мостовидными или съемным протезированием, однако не все могут воспользоваться этими методами. Но пока о конкуренции разработки японских ученых и имплантации говорить рано. Помимо успешных длительных клинических испытаний необходимо время, чтобы новая технология распространилась по миру, стала доступной для стоматологов разных стран. Источник:
Показать
еще 1 фото
Стоматология "Колибри" г. Воронеж7 ноября 2024 в 14:00
КРИЗИС БРИТАНСКОЙ СТОМАТОЛОГИИ. Как думаете, сколько британцам приходится ждать медицинской помощи при обращении в стоматологию по страховке? Неделю? Месяц? Не угадали В среднем 1400 дней Да, и это не шутка, и не пост про то, как плохо в «этих европах». Это суровая действительность англичан. Почти 4 года можно ждать стоматологической помощи, если вы не готовы полностью оплатить сумму лечения из своего кармана в частной клинике (по страховке тоже не бесплатно лечат, но в разы дешевле). Клиник, которые обслуживают по страховке мало, доктора с… — Читать дальше
тремятся уйти в частные платные клиники и новые пациенты (например, в случае смены места жительства, так как такие услуги оказываются только по месту жительства) не имеют возможности записаться к врачу Даже если болит… Даже если очень болит! Для справки: в платной клинике самая простая замена выпавшей пломбы без укола стоит 170 фунтов (около 20 тыс.р.). Марк Джонс, координатор кампании «Беззубая Британия» пишет: «Люди, у которых болят зубы, злоупотребляют обезболивающими и в результате попадают в отделение неотложной помощи. Другие заливают боль огромным количеством алкоголя. Бедные люди, заброшенные системой национального здравоохранения!» Не так давно Британский минздрав все-таки признал кризис в стоматологической области, назвав уровень кариеса среди детей в стране «поистине диккенсовским». Министр здравоохранения Стивен Киннок отметил, что ситуация с зубным кризисом в Англии достигла критического уровня, и власти пока не предлагают возможности для быстрого разрешения этой проблемы. Во время своего выступления перед парламентом он сказал, что около 13 миллионов британцев остро нуждаются в доступе к стоматологическим услугам. По его словам, статистика госпитализаций среди детей, вызванных кариесом, вызывает серьезную тревогу: у детей в возрасте от 5 до 9 лет кариес является причиной госпитализаций. Председатель Ассоциации стоматологических групп Ник Кармайкл назвал происходящее неприемлемым: «Эти шокирующие цифры, к сожалению, повторяют то, что мы видим по всей стране. Британская стоматология находится в состоянии кризиса». Согласно статистике, 97% людей, пытавшихся получить стоматологическую помощь без предварительной записи к стоматологу, не добились успеха (без предварительной записи должны принимать клиники Национальной системы здравоохранения). В феврале 2024 года сотни жителей Бристоля выстроились в очередь в день открытия новой стоматологической клиники Национальной системы здравоохранения (такие клиники работают по страховке). Очередь занимали с ночи. Для обеспечения порядка в очереди была вызвана полиция. Но не всем удалось попасть на приём к врачу. Статистика службы здравоохранения показывает, что в период с апреля 2022 года по март 2023 года в больницах Бристоля и Уэстон-сьюпер-Мэр было зарегистрировано 775 пациентов с абсцессами зубов. Правительство Британии пытается найти решение проблемы и увеличить финансирование стоматологической сферы здравоохранения, но пока безрезультатно. Кто-то едет лечить зубы в Турцию, кто-то читает в Сети советы, как вырвать ребенку пальцами больной зуб, кто-то покупает через интернет-магазин пугающие субстанции для домашних пломб. А по телевидению идет телешоу «Худшие зубы Британии». На 2-й фото — очередь в новую стоматологию в Бристоле.
Развернуть и показать
еще 1 фото
Стоматология "Колибри" г. Воронеж2 ноября 2024 в 15:18
Хороших праздников, друзья! 3.11 и 4.11 в клинике выходные. С 5.11 работаем по обычному графику.
Развернуть
Стоматология "Колибри" г. Воронеж1 ноября 2024 в 9:51
«Здоровье — не всё, но всё без здоровья ничто» (Сократ). Не забывайте заниматься своим здоровьем, друзья! А мы поможем со здоровьем Ваших зубов На фото — временные пластмассовые фрезерованные коронки
Развернуть
Стоматология "Колибри" г. Воронеж29 октября 2024 в 11:33
Хотите увидеть свою новую улыбку ещё до начала лечения? Пожалуйста! Термин Wax-up означает восковое моделирование. В стоматологии понятное дело, как правило, моделируются зубы, а точнее будущей результат стоматологического лечения. Например, если планируется ставить виниры, то пациенту на модели предлагается утвердить форму и размер зубов, и уже постоянные конструкции изготавливать в соотвествии с намеченным планом. Техник может смоделировать будущий результат, пациент с ним знакомится. Если необходимы коррективы, то они вносятся… — Читать дальше
с помощью технического воска. В последнее время все большую популярность приобретает также цифровой wax-up. Когда wax-up готов и согласован можно приступать к следующему этапу — mock-up (от англ. «модель в натуральную величину»). Врач переносит шаблон с помощью силиконовой формы (ключа) и пластмассы на собственные зубы пациента. На этом этапе можно наглядно оценить форму будущих виниров или коронок, увидеть свои новые зубы в целом Самое невероятное заключается в том, что теперь ещё до начала протезирования пациент знает как будет выглядеть его улыбка и может даже её примерить! А компьютерное моделирование позволяет врачу совместно с пациентом оценить несколько вариантов улыбки и выбрать самую подходящую.
Развернуть
Стоматология "Колибри" г. Воронеж26 октября 2024 в 8:00
Хороших всем выходных
Развернуть
Стоматология "Колибри" г. Воронеж24 октября 2024 в 14:07
️А вы знаете, что с помощью стоматологических капп можно не только исправлять прикус, но и лечить дисфункцию височно-нижнечелюстного сустава Каппы для лечения ВНЧС изготавливаются также индивидуально по слепкам (сканам) пациента из гипоаллергенных материалов – пластмассы, силикона, акрила, которые отличаются мягкостью, эластичностью. В результате ношения такого ортодонтического изделия формируется правильный физиологический прикус, который способствует нейтрализации мышечных спазмов, расслаблению связок ВНЧС, исчезновению болевых ощущений,… — Читать дальше
бруксизма, дискомфорта. ⌛Длительность ношения капп при суставной дисфункции зависит от выраженности патологии. Лечение может продолжаться от нескольких недель до нескольких месяцев.
Показать
еще 1 фото
Стоматология "Колибри" г. Воронеж17 октября 2024 в 10:36
Большая часть — диоксид циркония. Но есть и пластмассовые фрезерованные коронки на фото. Сможете найти?
Развернуть и показать
еще 3 фото
Стоматология "Колибри" г. Воронеж14 октября 2024 в 10:57
Для многих чай с лимоном — любимый напиток в холодное время года, он отлично согревает, заряжает бодростью и энергией. В некоторых источниках пишут даже, что ежедневное употребление чая с лимоном помогает ускорить процесс метаболизма и избавиться от лишнего веса (думается, это утверждение спорно и зависит, в том числе, от количества съедаемых с чаем печенек). В любом случае, для второй половины осени и нашей российской зимы напиток этот крайне популярен. ️Однако, не нужно забывать, что высокая температура чая усиливает неблагоприятное во… — Читать дальше
здействие кислоты лимона на зубную эмаль и тем самым способствует возможному ее разрушению. Правда, отказываться от любимого напитка не нужно Если пить его время от времени, а после этого полоскать рот теплой водой, то нежелательных последствий можно избежать ️ И не забывайте, что сразу после употребления чая с лимоном чистить зубы не рекомендуется. Подождите хотя бы 20 минут Берегите своё здоровье!
Стоматология "Колибри" г. Воронеж5 октября 2024 в 10:06
Новое «удивительное» средство красоты — ФИТНЕС ЖВАЧКА Хорошо или не очень? Попробуем разобраться Не прошло и нескольких лет после тренда на мьюинг, как появилось его продолжение — жевательный фитнес для тренировки мышц лица с целью, как пишут в рекламе, «обретения мужественного внешнего вида и подтяжки овала» Вкратце, техника мьюинга была разработана британским ортодонтом Джоном Мью и его сыном еще в 70-х гг прошлого века и смысл ее в том, что язык должен прилегать к верхнему небу, с кончиком языка, расположенным за передними верхними зуба… — Читать дальше
ми. Это положение способствует правильному развитию челюстей и лицевых костей. Сравнительно недавно эта техника стала популярной благодаря социальным сетям. Новшество же — это применение специального жевательного «тренажера», который на рынке представлен в двух вариантах: — очень тугая жвачка (чаще на основе мастики), которую сложно разжевать и нужно приложить усилия, чтобы она стала более пластичной, либо — бесконечная жвачка, которая представляет собой плотный кубик из пищевого силикона. Обычно продаются парой, так как кладутся сразу за обе щеки для симметрии. Силикон должен быть пищевым, легко мыться и не впитывать запахи. Предполагается многократное использование Производители и адепты данной системы говорят, что «тренироваться» можно до 15 минут в день ️ Основная аудитория этого тренда — молодые люди до 25 лет, цель которых — выглядеть более привлекательно и мужественно. Но встречаются и пользователи постарше, а также женщины . ️Какие риски при увлечении такими «тренировками»? Доктора сходятся во мнении, что это тенденция со слишком небольшими преимуществами и слишком большим количеством побочных эффектов: Постоянное жевание, особенно твердой жвачки, может напрягать ВНЧС (височно-нижнечелюстной сустав) и вызывать его смещение, что приводит к перенапряжению, боли в суставах, щелчках при открытии рта. При наличие пломб, кариеса и аналогичных проблем появляются риски сколов, трещин и других повреждений зубов. От перенапряжения при жевании возможны также головные боли. Увлечение такими жвачками и бесконтрольное их использование может привести к асимметрии лица и проблемам с прикусом. Кроме того, научные исследования по этой теме ограничены. Большая часть информации о применении такого «тренинга» основана на маркетинговых материалах производителей жвачек и фотографиях потребителей «до/после». На счет этого у врачей особой скепсис, потому что снимки часто сильно различаются — и в освещении, и в цветопередаче, и в оттенке. Один из брендов с гордостью пишет к описании к своему продукту, что сопротивление при жевании составляет 100 кг/см2. Для сравнения, средняя жевательная сила у взрослых людей колеблется в пределах 40—80 кг силы на квадратный сантиметр. Это позволяет эффективно разжевывать пищу без повреждения зубов и окружающих тканей. В некоторых случаях (например, при жевании очень твердой пищи) сила может кратковременно достигать 100 кг на квадратный сантиметр, но это считается верхней границей нормальной нагрузки и она не может быть долговременной Вообщем, всегда взвешивайте «за» и «против» и берегите своё здоровье
Развернуть и показать
еще 2 фото
Стоматология "Колибри" г. Воронеж1 октября 2024 в 8:45
Кто-то просто встречает октябрь А кто-то встречает октябрь с новыми зубами Согласитесь, тоже неплохо! Работа для нашей пациентки
Развернуть и показать
еще 1 фото
Стоматология "Колибри" г. Воронеж25 сентября 2024 в 10:26
Коронки из диоксида циркония Ждут примерки
Развернуть и показать
еще 2 фото
Стоматология "Колибри" г. Воронеж21 сентября 2024 в 8:30
Осень-осень, друзья Вся хроника «вылезает», когда это совсем не к месту Старайтесь опередить возникновение проблемы, тем более, если уже сами подозреваете что она имеется. Записывайтесь на прием планово. Берегите себя и свое здоровье!
Развернуть
Стоматология "Колибри" г. Воронеж20 сентября 2024 в 10:54
А Вы знаете, что научно доказанным является факт взаимосвязи между неправильным прикусом и нарушениями осанки!? Если голова человека смещена на 2—5 см от нормального положения, то давление на позвоночный столб вырастает до 5 кг (таковая средняя масса головы), что провоцирует искривление. А между правильностью положения головы и прикусом – прямая взаимосвязь. Височно-нижнечелюстной сустав связан напрямую с височной костью, которая в свою очередь отвечает за вестибулярный аппарат. Так как неправильный прикус влияет на положение нижней челюст… — Читать дальше
и, то данный сустав может быть деформирован. В итоге могут наблюдаться: неправильная походка, трудности вызванные ходьбой, проблемы с моторикой, сколиоз, ярко выраженный лордоз или кифоз (резкий изгиб позвоночника назад или вперед) и т.д. Имеет место и обратная реакция, когда изменения в опорно-двигательном аппарате способствуют формированию изменений в костно-мышечно-связочном аппарате. В таком случае неправильная осанка может вызвать неправильный прикус. ВНЧС является парным. Когда с одной стороны он теряет подвижность, второй сустав начинает ее компенсировать. В итоге, развивается асимметрия челюстных костей и различные виды неправильного прикуса. Неравномерная нагрузка неизбежно влечет за собой нарушения других отделов скелета — так организм подстраивается под изменения. Признаками дисфункции ВНЧС чаще всего выступают болевые ощущения в области смыкания челюстей, щелканье, дискомфорт при жевании и невозможность полностью открыть рот. Остеопатия, основным принципом которой как раз является восприятие человеческого организма как целостной системы, лечение дисфункции ВНЧС начинает с определения состояния позвоночника. Как правило, нарушение работы сустава включено в состав патологической осанки и визуально оно проявляется изменениями на разных уровнях позвоночника».
Развернуть
Стоматология "Колибри" г. Воронеж12 сентября 2024 в 14:55
В 80 лет не менее 20 своих зубов Японский проект «8020». Гигиена полости рта является важным фактором, который способен существенно снизить вероятность развития различных заболеваний и воспалительных процессов в ротовой полости. Япония представляет собой яркий пример того, насколько значимыми могут быть просветительские меры по поддержанию здоровья полости рта. В этой стране еще в 1986 году была запущена масштабная национальная программа по предотвращению стоматологических болезней под названием «8020», основной задачей которой стало достиж… — Читать дальше
ение того, чтобы каждый гражданин страны в возрасте 80 лет имел не менее 20 собственных зубов. Считалось, что это минимально необходимое количество зубов (20) для полноценного пережевывания пищи. Запуск программы привел к коренной трансформации всей системы оказания стоматологической помощи населению. Были проведены многочисленные мероприятия в виде лекций, размещены материалы социальной рекламы, организованы бесплатные медицинские обследования, распространена обучающая литература, где подробно разъяснялись ключевые аспекты профилактики стоматологических заболеваний и методы борьбы с воспалительными процессами. Результаты реализации проекта «8020» оказались впечатляющими, как среди взрослых, так и детей. Так за 30 лет заболеваемость кариесом среди японских подростков в возрасте до 12 лет сократилась в четыре раза
Спасибо за тёплые отзывы и рекомендации нас самым близким — своим друзьям и семье. Это высшая награда!
Пусть в наступающем году вас окружает только доброта и здоровье! Желаем, чтобы ваши улыбки сияли ещё ярче, а в жизни было много поводов для радости. Пусть 2026 год будет светлым, спокойным и счастливым!
Ваша стоматология «Колибри»