95

Нино Валериевна Сигуа

Вы можете доверять информации на этой странице
Представитель организации регулярно обновляет информацию и просматривает отзывы.
Стаж 15 лет
4,8
/ 26 отзывов и 130 оценок
Отличный специалист
Услуги и цены
Диагностическая консультация ортодонта 7500 ₽
Все цены
О специалисте
Сообщить об ошибке
Профессиональный стаж:
15 лет
Должность:
Старший ортодонт
Стоимость услуг:
7500 руб.
Нино Валериевна — единственный в России клинический консультант компании Ormco по цифровым брекетам Insignia. Она проводит лекции, мастер-классы и индивидуальные офис-курсы для докторов по цифровым брекетам и другим ортодонтическим тематикам.

В клинической практике Нино Валериевна используе
т цифровое планирование для получения предсказуемого результата лечения и демонстрирует пациентам виртуальную версию итоговой улыбки еще до установки брекетов или элайнеров. Высокие компетенции в цифровой ортодонтии и отличное знание биомеханики позволяют доктору добиваться идеального результата даже в сложных случаях.

Помимо клинической экспертности Нино Валериевна зарекомендовала себя как понимающий, эмпатичный врач. Она уделяет огромное внимание первичной консультации, умеет прекрасно объяснить даже самую сложную медицинскую информацию, чтобы у ее пациентов не оставалось вопросов и сомнений. Нино Валериевна сама прошла ортодонтическое лечение и понимает, насколько пациентам в ходе лечения нужна
... Показать еще
Места работы врача Нино Валериевны Сигуа
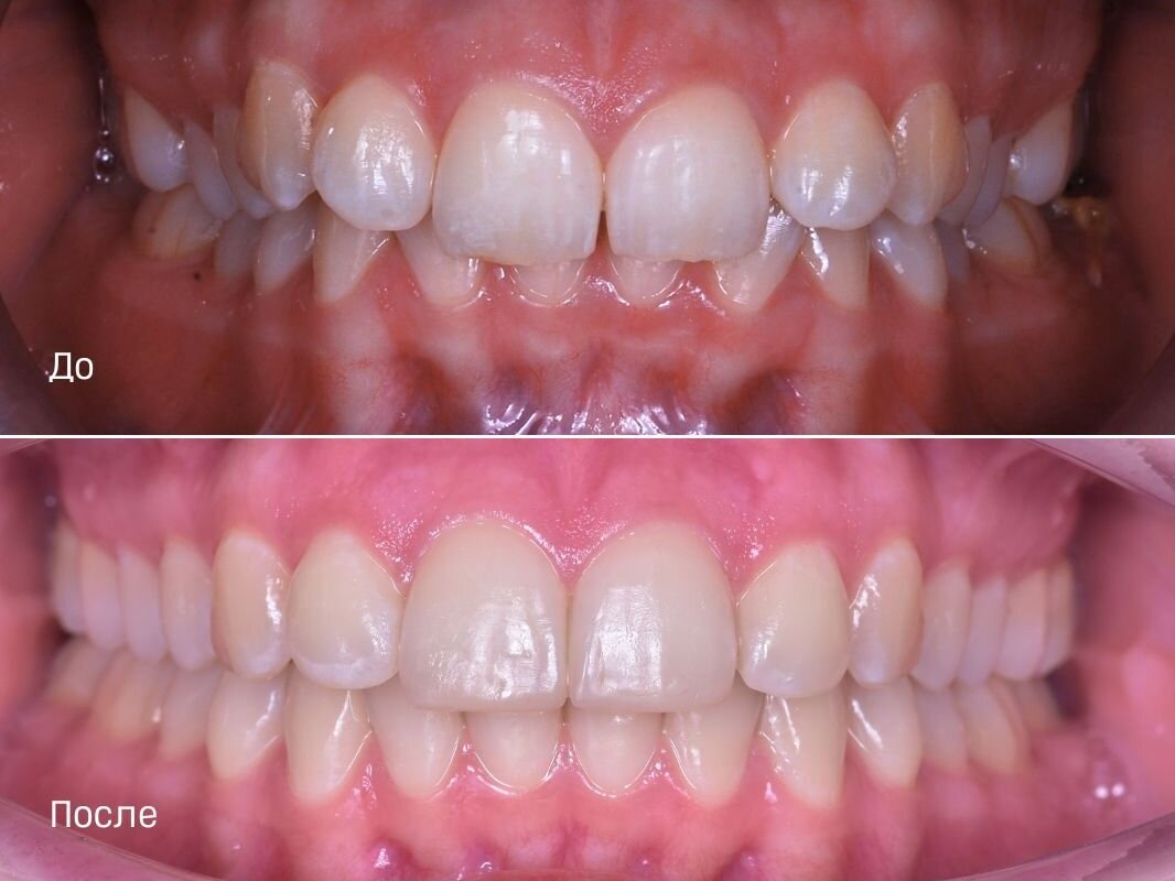
Фото работ врача Нино Валериевны Сигуа
Прайс-лист
Сортировать:
по умолчанию
по цене
Диагностическая консультация ортодонта
7500
Цены, приведённые на сайте, не окончательные, не являются публичной офертой и носят информационный характер. Администрация оставляет за собой право изменять цены.
Вы можете уточнить стоимость по телефону.

Общее мнение пользователей на основе 26 отзывов

Нино Валериевна Сигуа — опытный и внимательный ортодонт с 14-летним стажем. Пациенты отмечают её профессионализм, доброжелательность и способность ясно объяснять все этапы лечения. Она внимательно подходит к каждому случаю, предлагая современные решения и создавая приятную атмосферу во время визитов.
Основные положительные моменты, отмеченные пользователями
Отзывчивая и внимательная
Профессиональный подход
Четко объясняет процедуры
Современное оборудование
Доброжелательное общение

Отзывы о враче Нино Валериевне Сигуа

Сортировать по:
  • 5,0
    Подтверждённый отзыв
    Я обратилась в эту клинику, чтобы снять брекеты, и теперь просто счастлива результатом — мои зубы стали ровными и красивыми. Всё лечение проходило под чутким контролем Нино Валериевны Сигуа, и я с уверенностью могу её рекомендовать. Её профессионализм и внимательное отношение ко мне как к пациенту очень понравились, к тому же все процедуры прошли практически без боли. Атмосфера на приёмах была приятной и комфортной, а организация работы — на высшем уровне: запись происходила быстро, а все визиты – показать
  • 5,0
    Подтверждённый отзыв
    Хочу поделиться впечатлениями о Нино Валериевне Сигуа — это настоящий профессионал своего дела! Ортодонт так доступно объясняет каждый шаг, что все сразу становится ясно, и никаких недопониманий не возникает. Я уже практически завершила лечение элайнерами, сейчас мы оформляем заказ на дополнительные капы. Доктор просто замечательная, работа с ней — одно удовольствие!
  • 5,0
    Подтверждённый отзыв
    Обращался в клинику за индивидуальными элайнерами — доктор Нино Валериевна Сигуа всё сделала на высшем уровне. Грамотно объяснила, как правильно ими пользоваться, спокойно отвечала на все вопросы. Если что-то доставляло дискомфорт — сразу корректировала, чтобы не было неприятных ощущений.
  • 4,0
    Подтверждённый отзыв
    Хороший врач Сигуа Нино Валериевна доброжелательная, вежливая, все подробно рассказывает и показывает. Касательно элайнеров дала полезные рекомендации.
  • 5,0
    Подтверждённый отзыв
    Я меняла пломбы в клинике, их сделали качественно, а еще я прохожу ортодонтическое лечение. Все меня устраивает, особенно доктор Нино Валериевна Сигуа, которая ведет мое лечение. Она всегда отвечает на вопросы, и с ней приятно общаться. У меня достаточно необычный случай, открытый прикус, и она предложила пройти лечение на элайнерах, что мне подходит.
  • 5,0
    Подтверждённый отзыв
    Очень довольна клиникой, отношением персонала и профессионализмом моего врача Нино Валериевны Сигуа. Видно результат уже спустя три месяца лечения с помощью брекетов. Для меня важны внимание, профессионализм и доброжелательность при посещении клиники, и все это есть.
  • 5,0
    Подтверждённый отзыв
    Профессионализм специалиста Нино Валериевны Сигуа впечатлил. В самой клинике всё на высшем уровне — новое, современное оборудование.
  • 5,0
    Подтверждённый отзыв
    Хочу отметить потрясающее качество обслуживания и врачей клиники, например Нино Валериевну Сигуа. Всегда всё вовремя, лечение проходит отлично, уже видны результаты. К какому бы доктору я ни обратилась, всё проходит на высшем уровне.
  • 5,0
    Подтверждённый отзыв
    Я давно лечусь в этой клинике, мне нравятся специалисты, включая Нино Валериевна Сигуа, и обслуживание.
  • 5,0
    Подтверждённый отзыв
    Нравится все, особенно уверенность и отношение доктора Нино Валериевны Сигуа. Она установила мне брекеты, и я остался доволен результатом. Всё было отлично, поэтому нет никаких претензий.
  • 5,0
    Подтверждённый отзыв
    Мне очень нравится отношение персонала и качество услуг! Сейчас я прохожу лечение элайнерами, и, хотя процесс еще не завершен, я надеюсь на отличный результат. Мой врач — Нино Валериевна Сигуа — всегда приветлива, подробно всё объясняет и отвечает на вопросы.
  • 5,0
    Подтверждённый отзыв
    Мне посоветовали обратиться к Нино Валериевне Сигуа, и я осталась довольна своим выбором. Все проходит хорошо, без нареканий — раз в два месяца прихожу на проверку, слежу, чтобы лечение шло по плану. Доктор отлично справляется, всё объясняет понятно и подробно на каждом этапе. Элайнеры подобрали правильно, и пока меня всё полностью устраивает.
  • 5,0
    Подтверждённый отзыв
    Я проходил лечение в клинике, и меня полностью устроило качество услуг. Нино Сигуа проводила замену винтов и дуг, а гигиенист — профессиональную чистку, всё выполнено точно по плану лечения, как и обещали. Особенно ценю, что доктор действовал последовательно и профессионально, без отклонений от согласованной схемы.
  • 5,0
    Подтверждённый отзыв
    Второй год посещаю клинику, все три отделения. Потому что нравится, что извещают о приеме заранее, есть прямая связь с моими кураторами, ни разу сама лично не звонила. С учетом того, что я живу в области, для меня подбирают подходящее время приема. За весь тот срок, как я обращаюсь, ни разу не ждала, максимум минуты 3—5. Но считаю, что это вообще нормально, тем более, что это стоматология, где могут возникнуть непредвиденные ситуации. Общение с врачами максимально корректное. Я была у хирурга Хв – показать
  • 5,0
    Закончилось моё лечение в 2 года и 4 месяца. За это время мы пережили удаление восьмерок, микровинты, беременость, роды, кормление. Нино Валериевна прекрасный специалист. Она обязательно учтет Ваши пожелания, а если что-то невозможно расскажет почему и на каждый 'дурацкий' вопрос у неё есть ответ.
  • 5,0
    Врач профессионал, приходила консультацию, все четко, честно и по делу. Огромное спасибо врачу
  • 5,0
    Прохожу ортодонтическое лечение у Нино Валериевны уже год и не могу нарадоваться. Это врач, которая не только восхитительно проводит свою работу, но еще и очень приятна в общении и умеет расположить к себе. С ней мне не страшно задавать даже самые глупые вопросы, которые другие посчитали бы неважными. В свое время выбирала между 4 разными ортодонтами и остановилась на Нино Валериевне и очень этому рада!
  • 5,0
    Великолепный врач. После 30 минут общения стали понятны все проблемы и понимание как их исправлять. Очень рекомендую
  • 5,0
    вежливый, приятный персонал, высококвалификацированные специалисты. Стоит приезжать даже из других городов, чтобы проходить лечение именно у Нино Валерьевны
  • 5,0
    Потрясающий врач, с первого приема сразу решила, что буду проводить лечение только у нее. Ждала установку брекетов 2 месяца по ряду своих причин с таким нетерпением и оно того стоило!
    Очень добрая, отзывчивая, внимательная и коммуникабельная, всегда отвечает за пределами клиники на интересующие вопросы и проблемы. Настоящий профессионал своего дела и просто чудесный человек, как лучик солнца
    Путь в 2,5г с ней только начался, но я не сомневаюсь ни на минуту, что итог будет потрясающим ️
  • 5,0
    Великолепный врач, часто попадаю к ней на внеплановый визит, по коррекции брекетов. Очень грамотная, заботливая, очень бережно подходит к лечению. Рекомендую!
  • 5,0
    Я уже практически год лечусь у Нино Валериевны и ещё ни разу не пожалела, что выбрала именно этого доктора :)
    Нино Валериевна очень внимательная и отзывчивая, каждый приём начинается с улыбки и вопроса «Как дела?», успеваем и посмеяться, и серьёзно обсудить прогресс лечения.
    Все манипуляции доктор проводит осторожно, интересуется о моем состоянии.
    Сейчас я пока что нахожусь на этапе лечения, но мне уже нравится результат!
    Я искренне рекомендую Нино Валериевну тем, кто находится в поиске св
    – показать
  • 5,0
    У Нино Валериевны прохожу ортодонтическое лечение второй год. Огромным плюсом является коммуникация доктора с пациентом, если что-то беспокоит, ортодонт не оставит это без внимания. Визиты не пропускаю, соблюдаю рекомендации врача, поэтому процесс идет хорошо. Принимает Сигуа Н.В. в клинике на Лизе Чайкиной, очень атмосферное место)
  • 5,0
    В этом месяце будет уже год, как я прохожу лечение на брекет-системе у Нино Валериевны. Я отнеслась очень серьезно к выбору врача, поскольку уже имею опыт неудачного ортодонтического лечения (рецидив). Мой предыдущий ортодонт не делал фото зубов, не просил меня делать кт снимки в ходе лечения и ни разу не переклеивал мне брекеты. Нино Валериевна четко следит за ходом лечения, у нее абсолютно все под контролем. Отдельно хочу отметить то, как врач подготавливается к приему — когда я прихожу на акт – показать
  • 5,0
    Прохожу лечение у Сигуа Нино Валерьевны, всем очень довольна. Приемы проходят без задержек и в комфортной обстановке. Нино Валериевна к себе очень располагает, а ее профессионализм восхищает! Все доступно объясняет и отвечает на все вопросы в понятной форме. Очень благодарна ей за ее работу!
  • 5,0
    Искала клинику эстетической стоматологии в интернете, набрела на сайт «Конфиденции». Задала интересующие вопросы в чат, прочла все о врачах и посмотрела результаты их успешных работ и решилась на первое посещение. И не прогадала! Врачи замечательные, сейчас я готовлюсь к ортодонтическому лечению у врача Нино Валерьевны. Про финансовый план лечения было подробно рассказано, были даны все рекомендации. Буду сюда ходить и в дальнейшем и советовать всем друзьям и родственникам!
4,8
26 отзывов и 130 оценок
Оцените или напишите отзыв
Напишите отзыв, чтобы помочь другим пользователям с выбором.
Написать отзыв Редактировать отзыв
Отзывы с оценками
Образование
  • 2013 — клиническая интернатура, кафедра терапевтической стоматологии
  • 2015 — клиническая ординатура по ортодонтии, кафедра ортодонтии СЗГМУ им. И.И. Мечникова
  • Первый СПбГМУ им. акад. И.П. Павлова, стоматологический факультет (с отличием, 2012 г.)
Курсы повышения квалификации
  • 2014 — Использование скелетного роста в период сменного прикуса. Применение функциональных аппаратов (твин блок). Особенности ортодонтического лечения в период постоянного прикуса, Г. Самперман
  • 2014 — Insignia, Orapix, А.В. Тихонов
  • 2014 — Лингвальная ортодонтия STb (c практикой на типодонтах), С.А. Попов
  • 2014 — Брекет-система Damon – первые шаги к успешному лечению. Диагностика, планирование, выбор прописи, позиционирование, С.В. Тихонов
  • 2014 — Этапы лечения системой Damon: от первой дуги до завершения, С.В. Тихонов
  • 2014 — Грамотное применение системы Damon в ортодонтической практике: от понимания принципов работы до завершающих этапов лечения, А.В. Тихонов
  • 2014 — Лечение различных аномалий прикуса современной несъемной техникой. Теория и разбор клинических случаев, А.В. Тихонов
  • 2014 — Философия MBT – от классических брекетов к самолигирующим системам, 3M Unitek
  • 2015 — Лечение различных аномалий прикуса современной несъемной техникой, А.В. Тихонов
  • 2015 — Insignia – базовый курс. Первая ступень, Г.В. Булатова
  • 2015 — Абсолютный анкораж в ортодонтической практике VectorTas, С.А. Попов
  • 2015 — The Incognito Lingual Orthodontic Course, С.А. Попов
  • 2015 — Comprehensive course «The Next Generation Win», D. Wiechmann
  • 2015 — Завершение лечения на системе Damon. Продвинутый уровень, Ж.Р. Ван Беселер
  • 2016 — Новые возможности и современные тенденции компьютерной томографии. Теория и практика,
  • 2019 — «Лечение и профилактика дисфункций ВНЧС», Дьячкова Я.Ю., Москва
  • 2019 — «Ретенированные клыки. Провокаторы ретенции», Хорольская Л.А., Москва
Участие в мероприятиях
  • 2014 — XVI Съезд ортодонтов России
  • 2014 — 2я Международная восточноевропейская конференция «Междисциплинарные аспекты краниомандибулярных расстройств»
  • 2015 — Симпозиум «Рождественские встречи с ORMCO»
  • 2016 — 3я Международная восточноевропейская конференция «Междисциплинарные аспекты диагностики и лечения краниомандибулярных дисфункций» с мастер-классом
  • 2018 — IV конференция лекторов Ormco, Санкт-Петербург
  • 2018 — Ormco Forum Russia 2018, Санкт-Петербург
  • 2019 — «Искусство ортодонтии. Пациент – на первом месте», Стюарт Фрост, Москва
  • 2019 — Рождественские встречи с Ormco, Москва
  • European Damon Forum (Испания, 2015 г.)
  • 2nd Baltic Sea Conference on Orthognathic Surgery and Orthodontics (BSCOSO, Латвия, 2015 г.)

Часто задаваемые вопросы о Сигуа Нино Валериевне

  • Какова оценка Сигуа Нино Валериевны на Zoon.ru?
  • Сколько времени Сигуа Нино Валериевна трудится по специальности?
  • Как добраться к Сигуа Нино Валериевне?
  • В какой области специализируется Сигуа Нино Валериевна?
  • Дорого ли мне обойдутся услуги Сигуа Нино Валериевны?
  • Есть ли возможность ознакомиться с примерами выполненных работ Сигуа Нино Валериевны?
  • Где я могу посмотреть фото Сигуа Нино Валериевны?
Информация предназначена для ознакомления и не заменяет квалифицированную медицинскую помощь. Проконсультируйтесь с врачом!
Средняя оценка - 4,8 на основании 26 отзывов и 130 оценок
Вверх