Дентикюр – термин, возникший по аналогии с маникюром и педикюром, состоящий из двух частей: denti – зуб и cura – уход, по сути своей и означающий «уход за зубами». Именно этим и занимается команда стоматологической клиники «Дентикюр», неспроста выбравшая такое название для своего пространства.
«Дентикюр» – уютная и комфортная клиника, специализирующаяся на профессиональном отбеливании зубов. Здесь ведут прием Ялышев Рустам Кадимович — главный врач клиники и А.В. Акулович — профессор РУДН, главный специалист по отбеливанию зубов в России, который подберет наиболее подходящий вам способ изменения цвета зубов.
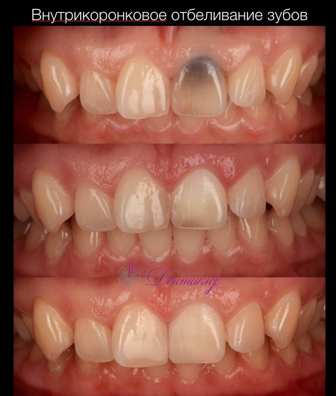
В «Дентикюре» вы найдете большой выбор отбеливающих систем, сможете воспользоваться профессиональным определением цвета зубов, гигиеной полости рта, проводящейся на швейцарском оборудовании. Персонал применяет минимально инвазивные технологии в стоматологии, выполняет микроабразию зубов (лечение флюороза зубов, устранение коричневых пятен). Еще здесь борются с белыми пятнами на зубах, используя ICON технологию, предлагают эстетическую реставрацию (композитную и керамическую). Большое внимание уделено проведению профилактических мероприятий: реминерализации зубов, их восполнения минеральными компонентами. Также в «Дентикюре» работает хирургическое стоматологическое отделение. Врачи применяют лучшие материалы и анестетики, самое современное диагностическое и лечебное оборудование немецкой фирмы KaVo, позволяющее делать ТРГ-снимки в боковой проекции для ортодонта, панорамные и прицельные рентгеновские снимки. Звоните по телефону, чтобы записаться на удобное время, уточнить важные детали приема.
«Дентикюр» — клиника, где заботятся о здоровье, оказывают квалифицированную, высококлассную помощь.
Наше расположение: Шпалерная 54, ст.м… — показать как добраться
Наше расположение: Шпалерная 54, ст.м. Чернышевская (закрыта). — Есть автобусы от ст.м. Площадь Восстания (169А,54,74), Площадь Ал.Невского (169А,46); пл. Ленина — 30 мин пешком. Городская парковка рядом с БЦ «Золотая Шпалерная», внутренней парковки нет.
Восстановление культи зуба стекловолоконным штифтом и композитом (прямой способ)
11 300
₽
Металлокерамическая коронка на импланте (высокая эстетика)
38 500
₽
Керамическая НАКЛАДКА E-MAX (высокая эстетика)
37 500
₽
Резекция верхушки корня зуба
19 000
₽
Коронка из диоксида циркония на импланте OSSTEM (цементная фиксация)
43 500
₽
Аналог импланта
2400
₽
Шинирование подвижных зубов керамической нитью (до 6 зубов)
50 000
₽
Отбеливание зубов Philips Zoom! White Speed ( Zoom 4)
46 000
₽
Пломбирование полости зуба ( 3 поверхности)
7500
₽
Временный протез , балочное крепление ,все на 4
65 000
₽
Дистализатор «Leone»
13 000
₽
Профилактическая гигиена полости рта перед установкой брекет-системы
5000
₽
Металлокерамическая коронка на импланте (цементная фиксация)
33 000
₽
Удаление молочного зуба
6800
₽
Фиксация брекет-системы керамической, сапфировой лигатурной (Inspire Ice, Spirit, Clarity и др.) 1 челюсть
40 000
₽
Установка формирователя десны
6400
₽
Пломбирование корневого канала гуттаперчей. 3 канала.
9000
₽
КТ двух челюстей+дыхательные пути
3800
₽
Твин-блок
17 500
₽
Аппарат 2*4
25 000
₽
Цены, приведённые на сайте, не окончательные, не являются публичной офертой и носят информационный характер. Администрация оставляет за собой право изменять цены. Вы можете уточнить стоимость по телефону.
Видео о стоматологии Дентикюр на метро Чернышевская
Дентикюр на станции Чернышевская — современная стоматологическая клиника, которая славится профессионализмом и внимательным подходом к пациентам. Здесь используют новейшее оборудование и современные методы лечения, делая процесс комфортным и безопасным. Врачебный коллектив достигает отличных результатов, помогая сохранить и восстановить здоровье зубов, а атмосфера в клинике создает ощущение уюта и доверия. Пациенты отмечают внимательное отношение, аккуратность и результативность процедур, а также высокий уровень обслуживания. Благодаря работе опытных специалистов, каждый чувствует себя в надежных руках и уходит с улыбкой, гордясь своим результатом и здоровой полостью рта.
Основные положительные моменты, отмеченные пользователями
Профессиональный и внимательный персонал
Современное оборудование и технологии
Высокий уровень эстетики и качества лечения
Доброжелательная и уютная атмосфера
Индивидуальный подход к каждому пациенту
Отзывы о стоматологии Дентикюр на метро Чернышевская
Рустам Кадимович, мега-крутой стоматолог в Санкт-Петербурге: эксперт в мире стоматологии, доброжелательный, отзывчивый, умеет подбодрить, найти подход к пациенту. Гипоплазия зубной эмали сына была Ялышевым Р.К. устранена, ура в кубе)))) Благодаря Рустаму Кадимовичу, мой сын стал счастливым обладателем белоснежной улыбки. Положительные эмоции моего сына, которому 17 лет, это% рекомендация Ялышева Рустама Кадимовича как мастера своей профессии! Все делает четко! Кстати, Рустама Кадимовичапорекомендовали его же коллеги, как лучшего из лучших стоматологов СПб! Желаю мега-гуру стоматологу здоровья, процветания, новых высот, всего самого доброго! Отдельная благодарность, уважение и низкий поклон Акуловичу Андрею за такого врача!… – показать
Добрый день! Хотела выразить слова благодарности Рустаму Кадимовичу за проделанную работу. В наше время очень сложно найти доктора, который будет отвечать на все запросы, конкретно этот доктор вселил в меня уверенность в то, что не нужно ничего бояться, в наше время практически все поправимо. Замечательный человек и профессионал своего дела, буду советовать коллегам и друзьям.
Рустам Кадимович, спасибо большое за профессионализм и внимание! Все подробно рассказали, сделали все аккуратно, быстро и безусловно профессионально! Результат получился просто потрясающий!
По какому адресу располагается стоматология Дентикюр?
Адрес стоматологии Дентикюр: Россия, Санкт-Петербург, Шпалерная улица, 54.
Как связаться с стоматологией Дентикюр?
Вы можете позвонить по телефону +7 (999) 021-85-64.
Какой режим работы стоматологии Дентикюр?
Режим работы с клиентами: Пн-вс: 09:00 - 21:00; по предварительной записи.
Какая средняя оценка у стоматологии Дентикюр на Zoon.ru?
Средняя оценка заведения от пользователей Zoon.ru: 4.9. Вы можете ознакомиться с, чтобы узнать мнения других людей и составить свой отзыв!
Где можно ознакомиться со списком услуг в «стоматологии Дентикюр»?
Такую информацию можно найти в разделе с.
Какие врачи работают в стоматологии Дентикюр?
На Zoon.ru вы можете ознакомиться с анкетами и подробной информацией: стаж, возраст, оценки и др.
Что входит в число стоматологических услуг стоматологии Дентикюр?
Врачи Стоматологии Дентикюр предложат провести чистку, выравнивание, отбеливание, фторирование или восстановление зубов, вестибулопластику, синуслифтинг, герметизацию фиссур, а также установку протеза или удаление зубного камня и другие процедуры, помогающие сохранить здоровую улыбку.
Насколько точна информация на странице стоматологии Дентикюр на Zoon.ru?
Zoon.ru старается размещать максимально точную и свежую информацию о заведениях. Если вы видите неточность и/или являетесь представителем данного заведения, то можете воспользоваться формой обратной связи.
Информация предназначена для ознакомления и не заменяет квалифицированную медицинскую помощь. Проконсультируйтесь с врачом!
Средняя оценка
- 4,9
на основании
41 отзыва и
39 оценок
Отзывы о стоматологии Дентикюр на метро Чернышевская
Фото пользователей