18

Ованес Альбертович Матосян

Стаж 9 лет
5,0
/ 5 отзывов и 4 оценки
Отличный специалист
О специалисте
Сообщить об ошибке
Места работы врача Ованеса Альбертовича Матосяна
Для получения дополнительной информации по стоимости услуг и записи к специалисту позвоните по номеру телефона организации
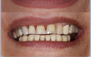
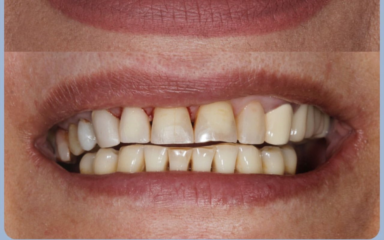
Фото работ врача Ованеса Альбертовича Матосяна
Сертификаты и документы

Отзывы о враче Ованесе Альбертовиче Матосяне

Сортировать по:
  • 5,0
    Подтверждённый отзыв
    Я благодарна Ованесу Альбертовичу Матосяну за его работу, он очень виртуозно все сделал, и боли после лечения у меня не было, хотя доктор предупреждал, что она возможна. Медсестра, которая ассистировала врачу, все делала вовремя, никакого дискомфорта я не испытывала. Специалист неоднократно посмотрел снимки, чтобы удостовериться, что он нормально все запломбировал.
  • 5,0
    Подтверждённый отзыв
    Мне очень нравится, как работает Ованес Альбертович Матосян. Я лечила у него кариес, и он сделал все очень хорошо, быстро и качественно, зубы не отличить от своих. Очень давно я сходила на консультацию к этому доктору и осталась его пациентом, потому что он очень грамотный специалист, и в общении с ним легко, он доступно все объясняет.
  • 5,0
    Подтверждённый отзыв
    Все классно! Пришла с острой болью. Зуб доктор Аванес Альбертович Матосян вылечил за один прием, при этом посоветовал мне пломбу на выбор. Со мной доктор общался культурно, без грубости.
  • 5,0
    Подтверждённый отзыв
    Все на уровне, мне все понравилось! Обслуживание меня устроило, и мастером я довольна, контактирую с ним уже давно. Ованес Альбертович Матосян доказал, что все может сделать, поэтому я ему доверяю. В последний раз мне ставили пломбу, результат нормальный, все держится. Специалист давал гарантии.
  • 5,0
    Подтверждённый отзыв
    Доктор — профессионал, делает все отлично. Мне все понравилось! У меня было пломбирование корневого канала и реставрация жевательных зубов, работа заняла два сеанса. Ованес Альбертович Матосян — приятный молодой человек, делает все аккуратно. Он мастер своего дела!
5,0
5 отзывов и 4 оценки
Оцените или напишите отзыв
Напишите отзыв, чтобы помочь другим пользователям с выбором.
Написать отзыв Редактировать отзыв
Отзывы с оценками
Образование
  • 2011–2016 — Кубанский государственный медицинский университет
  • 2016–2018 — Ординатура по ортопедической стоматологии
Опыт и достижения
  • 2016–2018 — стоматологическая поликлиника №2
  • 2018–2022 — стоматологическая клиника "Дент-Эксперт"

Часто задаваемые вопросы о Матосяне Ованесе Альбертовиче

  • Как пациенты оценивают Матосяна Ованеса Альбертовича?
  • Сколько времени Матосян Ованес Альбертович трудится по специальности?
  • На чем специализируется Матосян Ованес Альбертович?
  • Есть ли возможность ознакомиться с сертификатами Матосяна Ованеса Альбертовича?
  • Где можно ознакомиться с портфолио Матосяна Ованеса Альбертовича?
  • Есть ли возможность посмотреть фото Матосяна Ованеса Альбертовича?
Информация предназначена для ознакомления и не заменяет квалифицированную медицинскую помощь. Проконсультируйтесь с врачом!
Средняя оценка - 5,0 на основании 5 отзывов и 4 оценок
Вверх