14

Ирина Алексеевна Сатеева

Вы можете доверять информации на этой странице
Представитель организации регулярно обновляет информацию и просматривает отзывы.
Стаж 21 год Вторая категория
4,2
/ 1 отзыв и 6 оценок
Нет плохих отзывов
Онлайн расписание
Услуги и цены
Прием специалиста 1000 ₽
Все цены
Записаться
Оставить отзыв
О специалисте
Сообщить об ошибке
Профессиональный стаж:
21 год
Стоимость услуг:
1000 руб.
- Консультативный прием и составление комплексного плана лечения на основе панорамных снимков, компьютерной томографии;
- Лечение кариеса, художественные реставрации зубов под 3,5-кратным увеличением бинокуляров;
- Эндодонтическое лечение зубов с применением современных методик ручными и вр
ащающимися никель-титановыми инструментами различных систем с помощью эндонаконечника;
- Профессиональная гигиена (проведение комплексной чистки с использованием ультразвука, наконечника Air-flow), лечение воспалительных заболеваний пародонта;
- Отбеливание зубов системой ZOOM4, Amazing White.
... Показать еще
Места работы врача Ирины Алексеевны Сатеевой
Запись на приём онлайн
Для записи онлайн на определенное время выберите одну из организаций с доступным расписанием.
пн
вт
ср
чт
пт
сб
вс
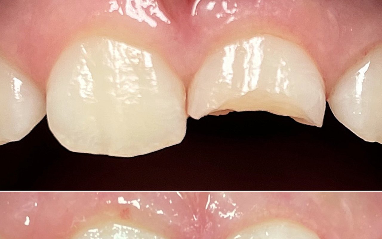
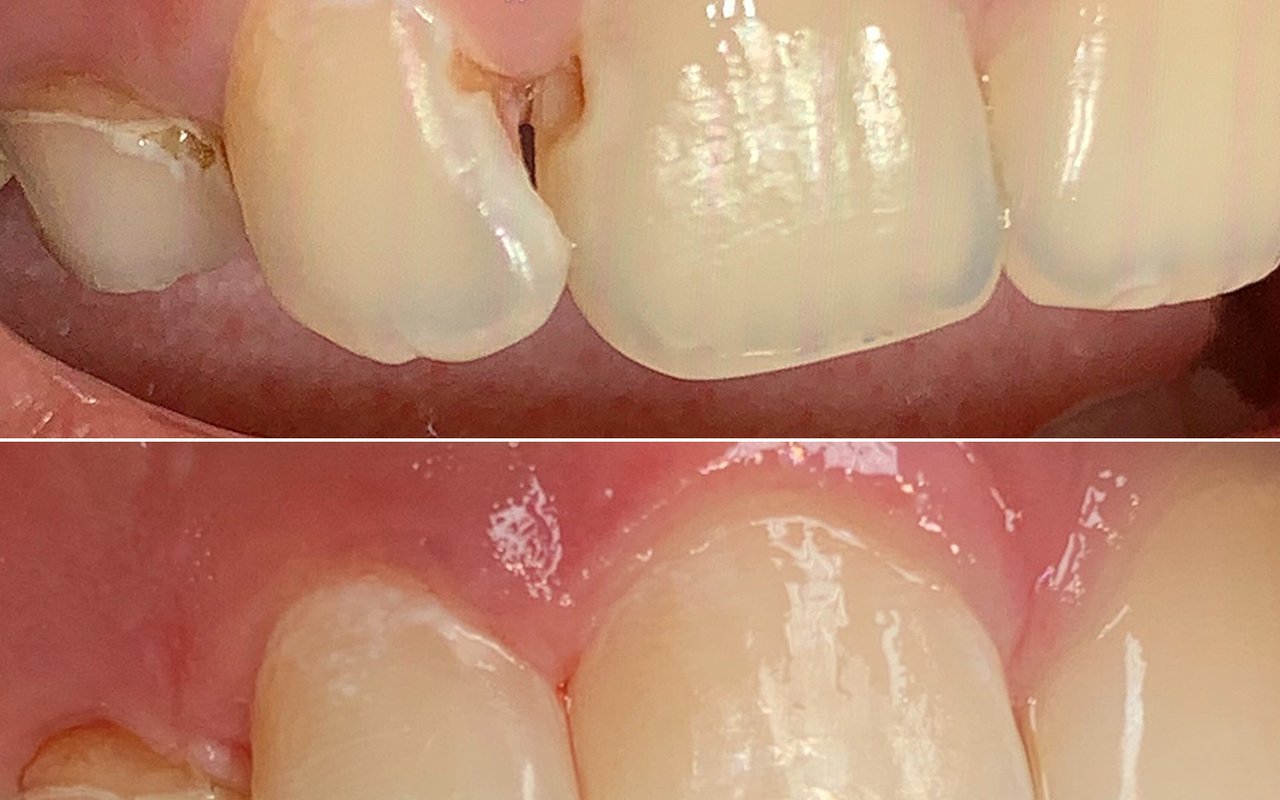
Фото работ врача Ирины Алексеевны Сатеевой
Прайс-лист
Сортировать:
по умолчанию
по цене
Прием специалиста
1000
Цены, приведённые на сайте, не окончательные, не являются публичной офертой и носят информационный характер. Администрация оставляет за собой право изменять цены.
Вы можете уточнить стоимость по телефону.
Сертификаты и документы

Отзывы о враче Ирине Алексеевне Сатеевой

Сортировать по:
  • 5,0
    Попала на приём к Ирине Алексеевне по рекомендации подруги. И осталась очень довольна, сразу видно профессионал своего дела. Сделали гигиену и пролечили кариес. Всё по делу без воды, а главное сделает только то что действительно нужно, без лишних процедур,
4,2
1 отзыв и 6 оценок
Оцените или напишите отзыв
Напишите отзыв, чтобы помочь другим пользователям с выбором.
Написать отзыв Редактировать отзыв
Отзывы с оценками
Образование
  • 2004 — - ГОУ Кировский базовый Медицинский колледж Стоматологический, Зубной врач
  • 2011 — - Уральский государственный медицинский университет ФГБОУ ВО УГМУ Минздрава России, Стоматологический факультет, специальность Стоматология, г. Екатеринбург
  • 2012 — - АУ Чувашии «Институт усовершенствования врачей» Минздравсоцразвития Чувашии
  • 2018 — - Автономная некоммерческая организация дополнительного профессионального образования "Академия медицинского образования" (Стоматология терапевтическая )
Сертификаты
  • 2011 — - «Композитные и керамические реставрации в ежедневной практике. Методы восстановления передних и жевательных зубов», конгресс по эстетической стоматологии, Москва, профессор W. Devoto
  • 2012 — - “Повторное эндодонтическое лечение”, курс Н. Завьяловой, г. Санкт - Петербург
  • 2013 — - “Современные методики отбеливания зубов”, курс А. Акуловича, г. Киров
  • 2015 — - XI Inernational Congress of VDW Endodontic Synergy CmbH, «Innovative Techniques in Endodontic Treatment», г. Москва
  • 2016 — - «Master-class of Endodontic Synergy, VDW CmbH», г. Москва
  • 2016 — - XI Inernational Congress of VDW Endodontic Synergy CmbH, «Innovative Techniques in Endodontic Treatment», г. Москва
  • 2018 — - Прямые композитные реставрации. Концепция StyleItaliano”, г. Краснодар
  • 2019 — - “Современные методики инструментальной обработки и пломбирования каналов”, авторский курс М. Соломонова, г. Краснодар
  • 2021 — - “Реконструкция улыбки”, авторский курс А.Бабурова, г. Краснодар
  • 2021 — - “Конгресс Гнатологии”, Михаил Сойхер, Сергей Гетте, Владимир Ордовский-Тонаевский, г. Москва
  • 2021 — - «Практический курс по композитному протоколу: тотальное ремоделирование окклюзии силами врача стоматолога-ортодонта и стоматолога-терапевта», Блум Станислав Александрович, г. Сочи
  • 2021 — - «Базовая гнатология. Здоровый сустав. МРТ, ТЭНС, артикулятор и лицевая дуга», Дмитрий Юдин, Сергей Гетте, г. Сочи
  • 2021 — - «Тотальная реабилитация окклюзии», Татьяна Ленько, Пулат Кочкаров, г. Сочи
  • 2021 — - «Ортопедия от А до Я», Олег Саркисов, г. Сочи
  • 2021 — - «Концепция функционального тотального протезирования. BMJO. CONCEPT. BRAIN-MUSCLES-JOINT-OCCLUSION», Дмитрий Юдин, Сергей Гетте, г. Сочи
  • 2021 — - «Первый Сочинский зуботехнический конгресс, ТЕХКОНГРЕСС21», участник, г. Сочи
  • 2022 — - СТОМКОНГРЕСС22 - «Гнатологический конгресс, цифровая стоматология», Сергей Цикунов, Ринат Чукумов, Александр Бабуров, Дмитрий Юдин, Сергей Гетто, г. Сочи
  • 2022 — - «Отбеливание зубов с применением профессиональных систем Philips ZOOM в клинических и домашних условиях», Proffi-land, г. Сочи
  • 2022 — - Цифровые методы лучевой диагностики в стоматологии, Евгений Федоренко (DR.FRIDMAN SCHOOL), г. Москва
Курсы повышения квалификации
  • 2013 — - АУ Чувашии «Институт усовершенствования врачей» Минздравсоцразвития Чувашии специальность Автономная некоммерческая организация дополнительного профессионального образования
  • 2018 — - Автономная некоммерческая организация дополнительного профессионального образования "Академия медицинского образования" Автономная некоммерческая организация дополнительного профессионального образования "Академия медицинского образования", Стоматолог терапевт
Опыт и достижения
  • 2021 — Стоматология "Студия улыбок", г.Сочи

Часто задаваемые вопросы о Сатеевой Ирине Алексеевне

  • Каков рейтинг Сатеевой Ирины Алексеевны на Zoon.ru?
  • Можно ли назвать Сатееву Ирину Алексеевну опытным специалистом?
  • Какое базовое направление деятельности Сатеевой Ирины Алексеевны?
  • Дорого ли Сатеева Ирина Алексеевна оценивает свои услуги?
  • Есть ли у Сатеевой Ирины Алексеевны требуемые сертификаты?
  • Где я могу ознакомиться с портфолио Сатеевой Ирины Алексеевны?
  • Можно ли посмотреть фото Сатеевой Ирины Алексеевны?
Информация предназначена для ознакомления и не заменяет квалифицированную медицинскую помощь. Проконсультируйтесь с врачом!
Средняя оценка - 4,2 на основании 1 отзыва и 6 оценок
Вверх