Вы владелец профиля?
Дмитрий Георгиевич Начарьян
Стаж 21 год
4,1
/ 14 оценок
Большой стаж
О специалисте
Сообщить об ошибке
Профессиональный стаж:
21 год
Дмитрий Георгиевич - абсолютный перфекционист в своем деле. Владеет всеми современными методами протезирования зубов. Основной задачей доктора является получение качественного, высокоэстетичного и долгосрочного результата.
Всегда поэтапно планирует лечебный процесс с привлечением смежных специалистов, оценивает состояние зубочелюстной системы по компьютерной томографии, ведет фотопротоколирование для более детального анализа той или иной клинической ситуации. К каждому пациенту находит индивидуальный подход.
Также Дмитрий Георгиевич сотрудничает только с лучшими зуботехническими лабораториями страны. Все ортопедические конструкции изготавливаются техниками из Москвы и Екатеринбурга, так как многолетний опыт командной работы с ними принес только самые непревзойденные результаты!... Показать еще
Всегда поэтапно планирует лечебный процесс с привлечением смежных специалистов, оценивает состояние зубочелюстной системы по компьютерной томографии, ведет фотопротоколирование для более детального анализа той или иной клинической ситуации. К каждому пациенту находит индивидуальный подход.
Также Дмитрий Георгиевич сотрудничает только с лучшими зуботехническими лабораториями страны. Все ортопедические конструкции изготавливаются техниками из Москвы и Екатеринбурга, так как многолетний опыт командной работы с ними принес только самые непревзойденные результаты!... Показать еще
Места работы врача Дмитрия Георгиевича Начарьяна
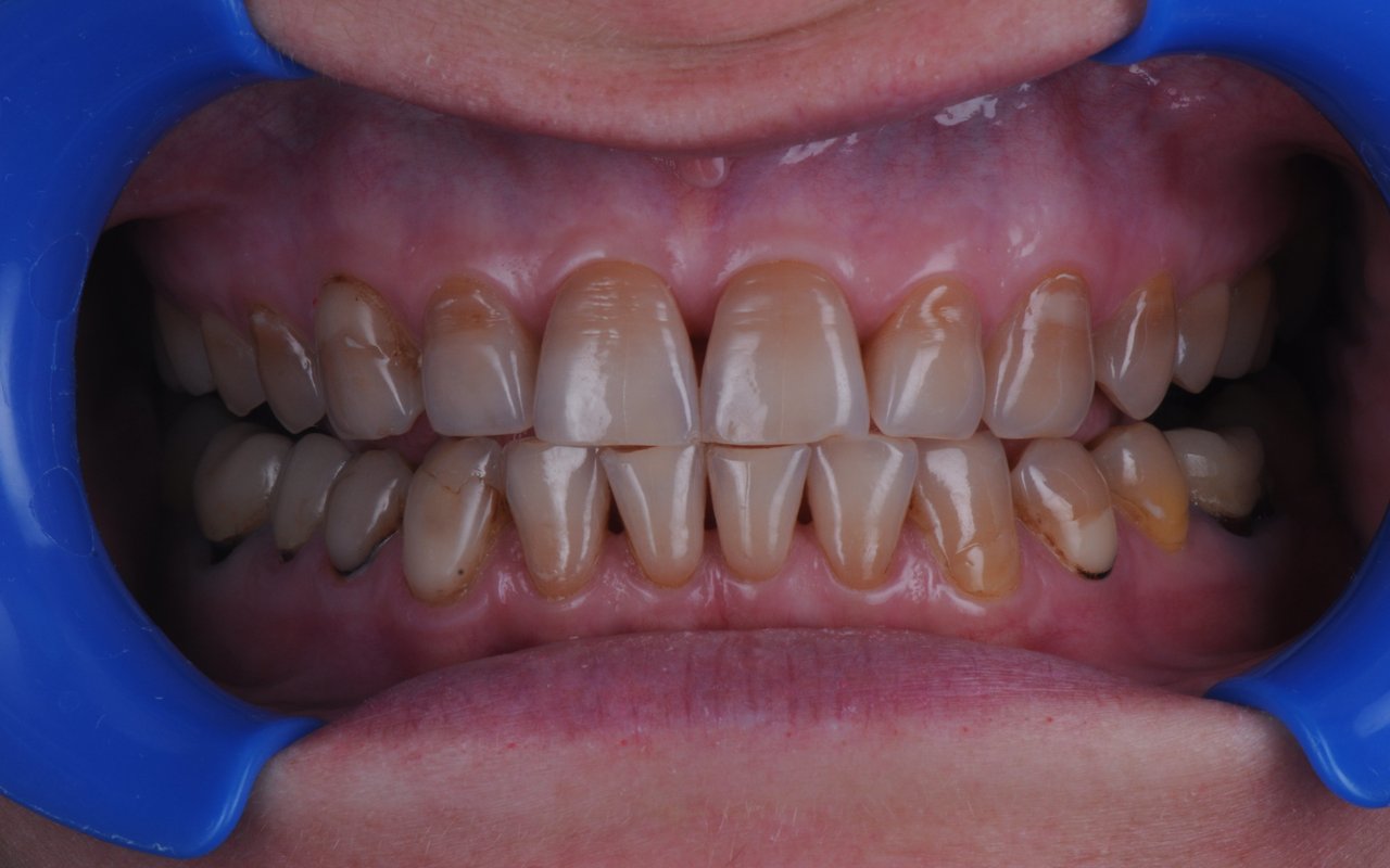
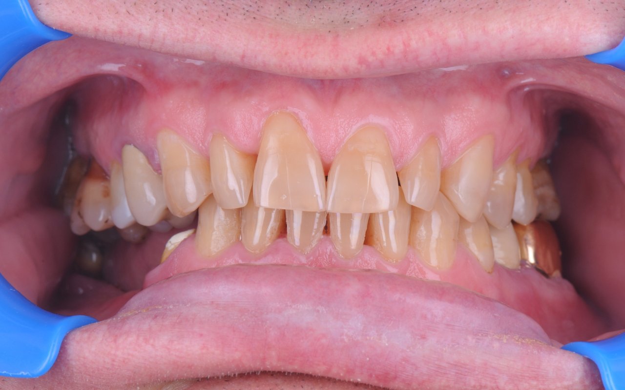
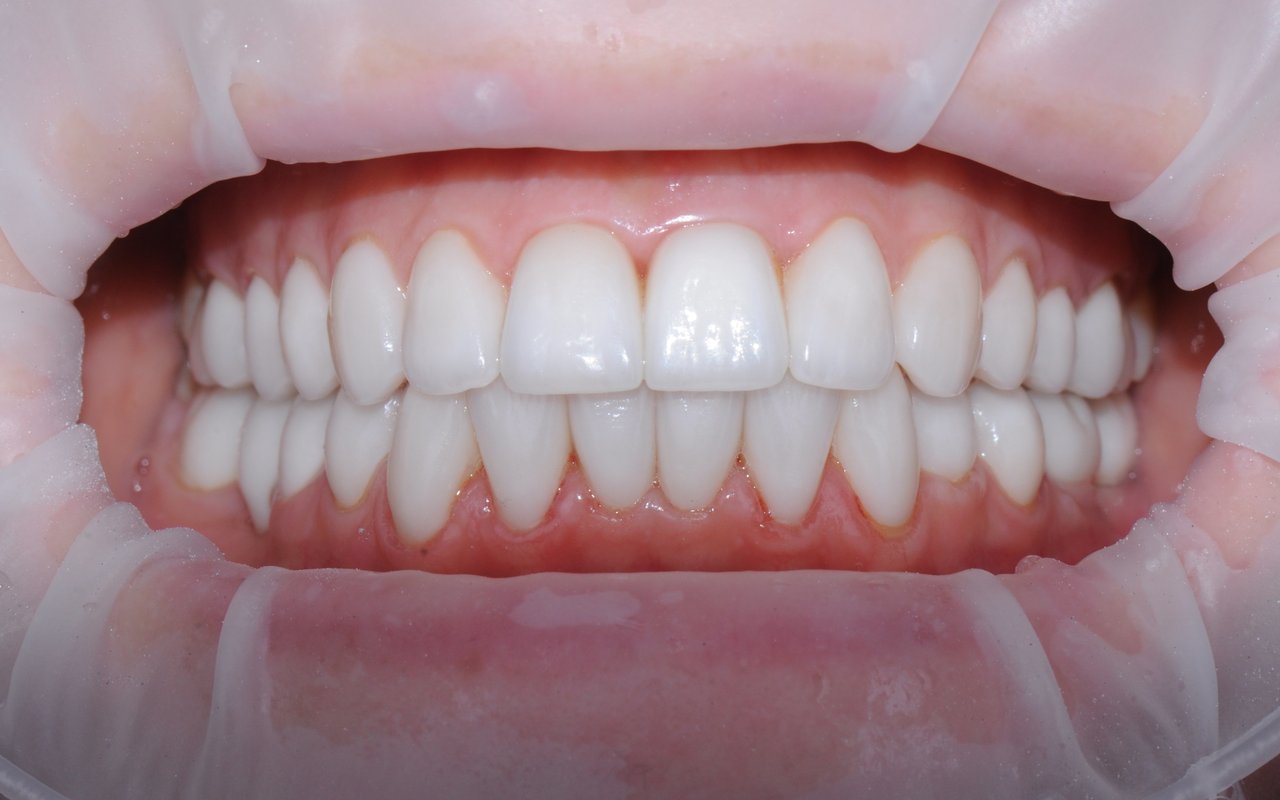
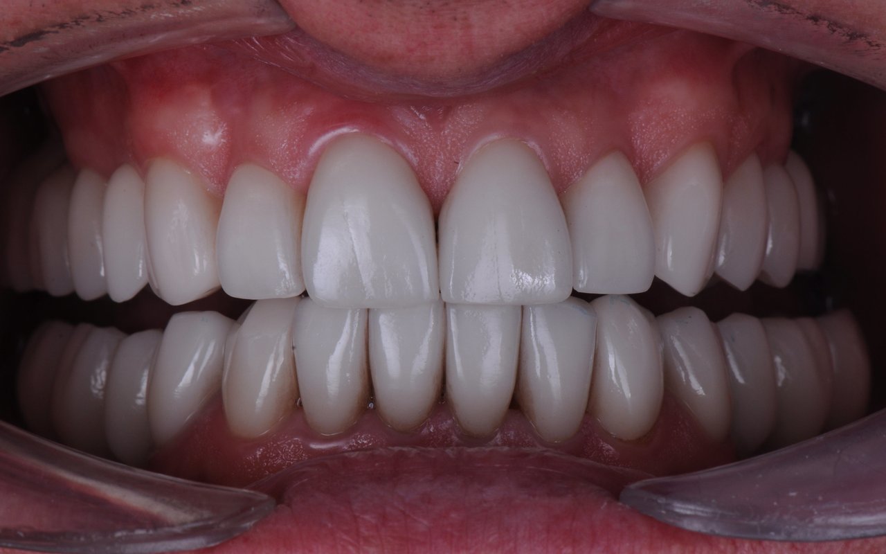
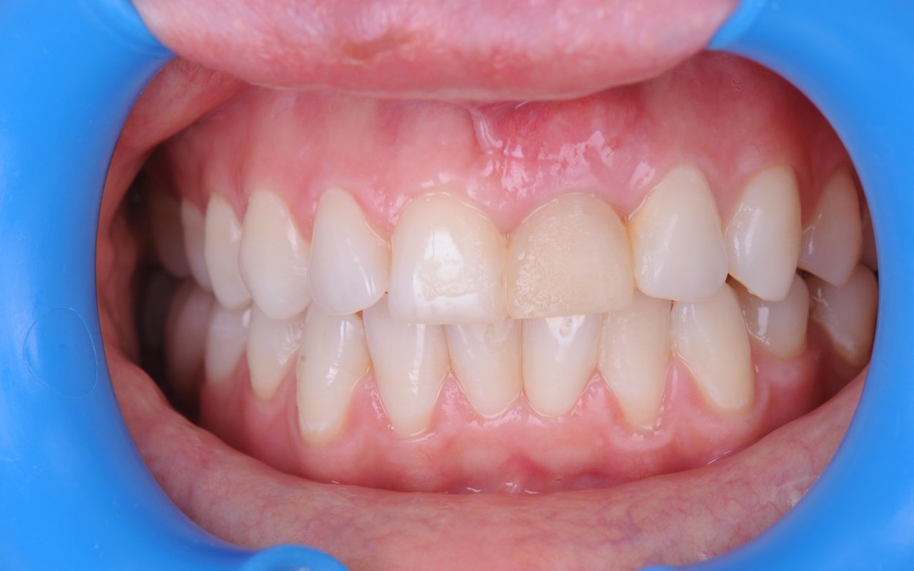
Фото работ врача Дмитрия Георгиевича Начарьяна
Сертификаты и документы
Образование
-
2004 — Самарский государственный медицинский университет (врач стоматолог)
-
2005 — Самарский государственный медицинский университет (стоматолог общей практики)
Курсы повышения квалификации
-
2006 — Центральный многопрофильный институт (стоматолог ортопед)
-
2008 — Современные эстетические реставрации с использованием новейших технологий фирмы "Shofu" (Япония)
-
2011 — Междисциплинарные аспекты современной стоматологии
-
2011 — Endo-Prosthodontoc Relationship
-
2011 — All Ceramic restorations
-
2012 — Techniques and management of single totth implant in the esthetic zone
-
2013 — Интегрированный подход к достижению идеального эстетического результата на имплантах
-
2014 — Основы психологии и маркетинга в стоматологической клинике
-
2014 — The critical Pink interfaces in Implant Dentistry. Technologies of Future
-
2014 — Hands-On Course on Soft Tissue Management in Implant Dentistry
-
2015 — Международный Конгресс по Цифровой Стоматологии
-
2016 — Основы Cad/Cam
-
2017 — Основы дентальной фотографии
-
2017 — Авторский курс Доминико Массирони
Опыт и достижения
-
2005 — Стоматолог ортопед. Medicus
-
Высшая категория
Часто задаваемые вопросы о Начарьяне Дмитрии Георгиевиче
- Какова оценка Начарьяна Дмитрия Георгиевича на сайте Zoon.ru?
- Является ли Начарьян Дмитрий Георгиевич опытным специалистом?
- В какой области Начарьян Дмитрий Георгиевич предоставляет свои услуги?
- Есть ли у Начарьяна Дмитрия Георгиевича требуемые лицензии?
- Где я могу ознакомиться с портфолио Начарьяна Дмитрия Георгиевича?
- Можно ли увидеть фотографии Начарьяна Дмитрия Георгиевича?
Смотрите также
Информация предназначена для ознакомления и не заменяет квалифицированную медицинскую помощь. Проконсультируйтесь с врачом!
Вверх
Отзывы о враче Дмитрии Георгиевиче Начарьяне