90

Юлия Николаевна Стародубова

Стаж 20 лет
5,0
/ 4 отзыва и 26 оценок
Отличный специалист
О специалисте
Сообщить об ошибке
Профессиональный стаж:
20 лет
Стародубова Юлия Николаевна является стоматологом-терапевтом и стоматологическим гигиенистом. Юлия Стародубова в том числе специализируется на заболеваниях полости рта, выполняет снятие зубного камня, а также проводит реставрацию зубов. Ее помощь может понадобиться вам перед тем, как начать лечение зубов от кариеса или прочих недугов, а также как мера профилактики многих заболеваний десен. Базовые услуги, которые предлагает Юлия Стародубова - это удаление с зубов налета и камня, подбор средств гигиены и реминерализация эмали.... Показать еще
Районы: Ленинский
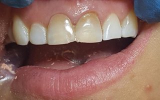
Фото работ врача Юлии Николаевны Стародубовой
Сертификаты и документы

Отзывы о враче Юлии Николаевне Стародубовой

Сортировать по:
  • Отличная стоматология, очень уютная атмосфера, со входа приветливо встретил встретил администратор, попала на лечение к Юлие Николаевне, доктор который действительно знает своё дело. Все было безболезненно, рассказали и подобрали персональный план лечения, быстро вылечили все зубки, была в полном восторге. Цены очень приемлимые. Персонал приветливый и отзывчивый. Очень все понравилось. Осталась в полном восторге
  • 5,0
    Подтверждённый отзыв
    Мне понравилась врач Юлия Николаевна Стародубова, она добрая, доброжелательная, образованная, тактичная. Она всегда готова помочь, ответить на любой вопрос. Ее в Самаре все знают, она очень давно работает. Юлия Николаевна не отвечает на телефон во время приема, то есть не отвлекается от пациента, это тоже очень важно. Она врач с большой буквы, любит свое дело. К ней не страшно идти на прием и лечение, даже просто поговорить, как с женщиной, и рядом находиться, очень приятно. Она такая воздушная. – показать
  • 5,0
    Несомненно Юлия Николаевна профессионал Провела в ее кресле больше 7ми часов и не увидела никакой суеты и растерянности, а только быструю, качественную работу. Отзывчивая, добрая и понимающая ️
  •  Мучаюсь с зубами с раннего возраста. Сколько себя помню, я всю жизнь боялась идти к стоматологу. Недавно мне посоветовали сходить в стоматологию в Лакшкри Смайл к Стародубовой Юлии Николаевне на прием. Мне необходимо было лечить зуб, болел всю ночь, пульсировал. попав на прием, врач полностью проанализировала мою челюсть и выявила, кроме этого зуба, еще 4 незначительных дырочки, но которые желательно пролечить. Кроме этого посоветовала заменить старый протез зуба на долгосрочную коронку. Уважит – показать
5,0
4 отзыва и 26 оценок
Оцените или напишите отзыв
Напишите отзыв, чтобы помочь другим пользователям с выбором.
Написать отзыв Редактировать отзыв
Отзывы с оценками
Образование
  • 1999–2006 — Самарский государственный медицинский университет (стоматология)
  • 2006 — Областная стоматологическая поликлиника, г. Самара (стоматология)
Курсы повышения квалификации
  • 2005 — обучение по программе "Новые стандарты в эстетической стоматологии"
  • 2006 — обучение по реставрации зубов и эндодонтии на базе Коммерческо-информационного центра стоматологии г.Омска
  • 2007 — Самарский государственный медицинский университет (стоматология детская)
  • 2010 — "Лечение зубов с анатономическими вариациями", "Технические аспекты перелечивания"
  • 2011 — "Рентгенологическое обследование в амбулаторной практике врача-стоматолога"
  • 2014 — «Лечение детей»

Часто задаваемые вопросы о Стародубовой Юлии Николаевне

  • Какова средняя оценка Стародубовой Юлии Николаевны на Zoon.ru?
  • Является ли Стародубова Юлия Николаевна опытным специалистом?
  • Где принимает Стародубова Юлия Николаевна?
  • На чем специализируется Стародубова Юлия Николаевна?
  • Можно ли ознакомиться с сертификатами Стародубовой Юлии Николаевны?
  • Можно ли ознакомиться с выполненными работами Стародубовой Юлии Николаевны?
Информация предназначена для ознакомления и не заменяет квалифицированную медицинскую помощь. Проконсультируйтесь с врачом!
Средняя оценка - 5,0 на основании 4 отзывов и 26 оценок
Вверх