69

Виталий Петрович Теткин

Стаж 24 года
4,8
/ 12 отзывов и 30 оценок
Отличный специалист
О специалисте
Сообщить об ошибке
Профессиональный стаж:
24 года
Главный врач Клиники, Теткин Виталий Петрович окажет вам помощь с лечением заболеваний челюстно-лицевой области и других органов полости рта. Он оказывает услуги по специальностям: установка имплантов, протезирование зубов ( как съемное, так и несъемное), все виды терапевтических услуг.
Места работы врача Виталия Петровича Теткина
Для получения дополнительной информации по стоимости услуг и записи к специалисту позвоните по номеру телефона организации
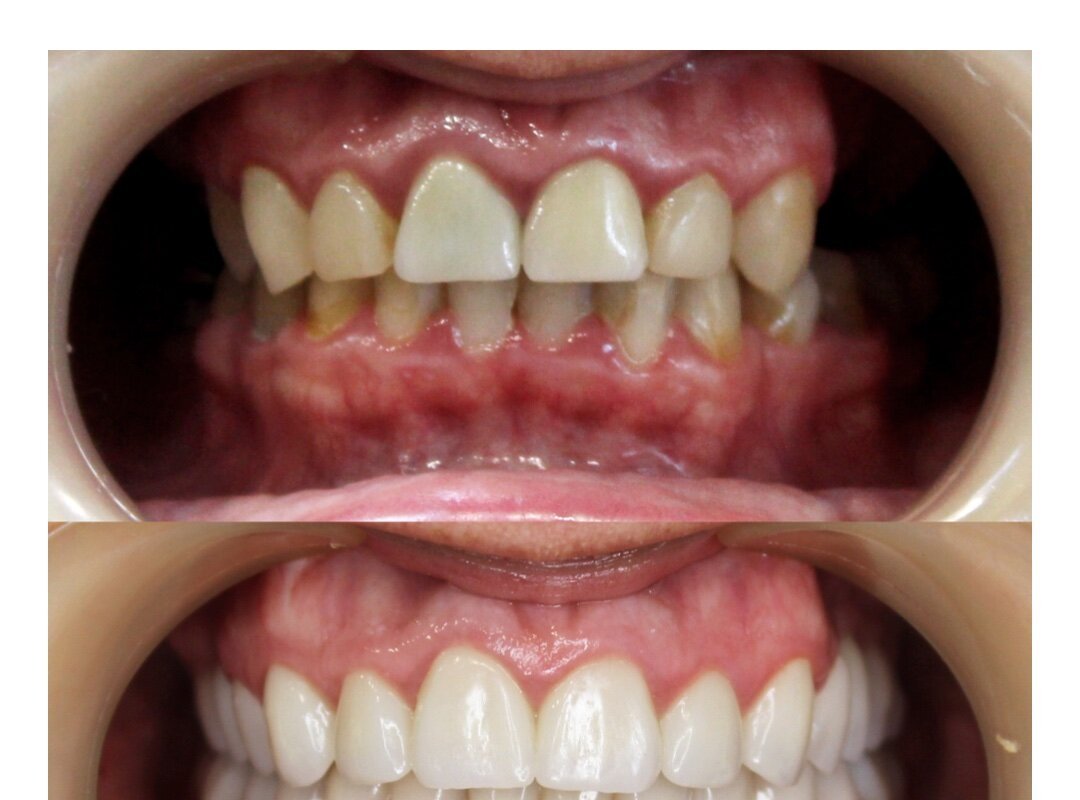
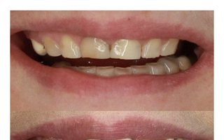
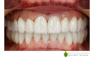
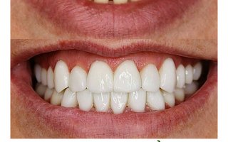
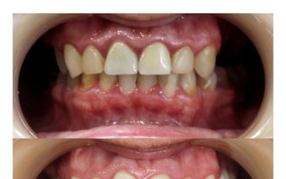
Фото работ врача Виталия Петровича Теткина
Сертификаты и документы

Общее мнение пользователей на основе 12 отзывов

Виталий Петрович Теткин — опытный имплантолог и стоматолог с 24-летним стажем, который заботится о пациентах и работает на лучший результат. Его современный подход, внимательное отношение и профессионализм помогают людям обрести красивые и здоровые зубы, делают процедуры комфортными и эффективными.
Основные положительные моменты, отмеченные пользователями
Высокий профессионализм
Современное оборудование
Внимательное отношение
Быстрое и качественное лечение
Доброжелательное обслуживание

Отзывы о враче Виталии Петровиче Теткине

Сортировать по:
  • 5,0
    Достоинства:
    Со многими врачами советовалась по своей проблеме. В итоге остановила свой выбор на Клинике Теткина. Врач все подробно рассказывал, проникся к моей проблеме. И я почувствовала, что тут мне точно помогут и сделают все на отлично.
    Так и получилось. Теперь жую своими новыми зубами и счастлива.
  • 5,0
    Очень давно посещаю эту клинику, лечусь у высококлассного доктора Виталия Петровича. Здесь мне ставили импланты-все прошло успешно, я довольна.
  • 5,0
    Достоинства:
    В клинику Теткина попала по совету родственницы. Они лечатся всей семьей много лет, очень хвалили. Рада, что попала сюда. Очень хорошо и не больно полечили зуб. Потом сделали коронку. Оборудование хорошее, видно что современное. Отношение к людям очень приятное, не как в обычной больнице.
    Недостатки:
    Не нашла.
    Комментарий:
    Рекомендую всем.
  • 5,0
    Работа 100% профессионалов. Благодарю за столь четко выполненную работу, Виталий Петрович научил меня улыбаться
  • 5,0
    Обратилась в клинику в июле 2020. Рекомендаций не было, куда обратиться не знала, перебрала много клиник. Был страх, вдруг ошибусь. Всегда хотела иметь красивые, ровные зубы, а когда идёт речь о передних зубах, требования, естественно завышенные (не только у женщин, а у них тем более). Результатом очень доволна, протезирование передних зубов выполнено великолепно. Не отличить от натуральных, форма, цвет, это для женщины не мало, нравиться себе, хорошее настроение.
    Я очень благодарна Виталию Пет
    – показать
  • 5,0
    Обратилась к Виталию Петровичу с очень проблемным зубом восьмёркой, который лежал глубоко и криво.
    До этого обращалась к трем врачам, которые только развели руками, один из которых отправил меня к В.П.
    Очень боялась, до слёз. Как оказалось, судьба меня привела в лучшие руки!
    Удаление прошло быстро, без боли, без осложнений. В лунку доктор положил сгусток плазмы из моей крови, для приготовления которой у него есть специальное устройство (я сомневаюсь что в каждой клинике есть, если я не ошибаюс
    – показать
  • Клинику доктора Теткина нашел через интернет, решил туда обратиться за протезированием зубов. Меня записали на консультацию к врачу Теткину Виталию Петровичу. Консультация бесплатная- это очень удобно: хочешь- оставайся, нет- так нет. Мне понравилось, что Виталий Петрович, чтобы ускорить протезирование, сразу же сделал сканирование зубов, прямо в день обращения, и вся работа была сделана быстро и качественно. На время, пока делали протез, мне поставили временные зубы, то есть я с консультации уш – показать
  • 5,0
    В клинику доктора Теткина, я попал по рекомендации. Интересная клиника, новое оборудование, чуткий врач. Зуб как свой, я удивлен, родные довольны. Спасибо команде Виталия Петровича
  • В «Дентальной клинике доктора Теткина» мне поставили имплантат в конце декабря 2017 года. Специально задержалась с отзывом, все ждала подвоха. И, слава Богу, не дождалась. Прошло уже 5 месяцев. Имплантат как родной! Клинику мне посоветовала подруга, она тоже там ставила имплантаты. Впечатление о клинике просто превосходное. Опишу все подробно, поскольку, мне кажется, в первый раз всем очень страшно. Первая консультация со снимками КТ — бесплатно. Доктор Виталий Петрович — «профи», все подробно р – показать
  • У моей внучки откололся зуб,оказалось соседний тоже требует лечения.В участковой клиники ей дважды что то налепляли,но оба раза все спадало.Живет в селе.Привезла в Самару.Посетили еще двух стоматологов.Один сказал что пусть походит так до 18 лет,другой,,успокоил,,что у нас не хватит денег.Девочке пятнадцатый год.Записались к стоматологу,но по чистой случайности перепутали клиники т.к.недавно схоронила отца.Главный врач Теткин Виталий Петрович сразу посадил Марину в кресло и начал лечение.Финанс – показать
  • Всем читателям, доброе время суток!Хочу поделиться впечатлениями от проделанной работы в Дентальной Клинике Доктора Теткина!Поход к стоматологу для меня был самым страшным днем в моей жизни!Для всех кто испытывал эти чувства!Смело идите в клинику доктора Теткина!При первом же обращении в клинику поняла,что зря боялась столько лет,лишь упустила время!В итоге пришла на консультацию к главному врачу клиники Теткину Виталию Петровичу.Он все детально рассказал по этапам работы и по стоимости.Виталий – показать
  • После неприятного визита в одну из знаменитых стоматологических клиник (где кстати не только оставила кучу денег за так и не вылеченный толком зуб, но и испытала неприятный опыт общения с одним из «светил» медицины), обратилась в клинику доктора Теткина. Узнала об этой клинике через знакомых. Сразу удивило, что консультация бесплатная. Сейчас это редкость. Виталий Петрович не только все объяснил и показал, но и помог мне с одним эстетическим нюансом (в клинике, о которой писала ранее мне просто – показать
4,8
12 отзывов и 30 оценок
Оцените или напишите отзыв
Напишите отзыв, чтобы помочь другим пользователям с выбором.
Написать отзыв Редактировать отзыв
Отзывы с оценками
Образование
  • 1993–1996 — Самарский медицинский колледж им. Ляпиной (с отличием). Специальность- зубной техник. С 1993 г. Начал осваивать профессию зубного техника, проработав на этой должности в лаборатории до 2003 года.
  • 1996–2001 — Самарский Медицинский Государственный Университет. Специализация: -стоматология общей практики - стоматология ортопедическая - стоматология хирургическая.
Участие в мероприятиях
  • 1999 — Участник теоретического семинара «Новейшие технологии в стоматологии»
  • 2012 — Biohorizons. Участие в конгреcce
Курсы повышения квалификации
  • 2004 — ICDE. IVOCLAR VIVADENT. Прошел обучение на тему: «Биогенное протезирование» по системе (BPS) des IVOCLAR VIVADENT.
  • 2006 — МЕГАСТОМ Курсы усовершенствования и мастер-класс по имплантологической системе SEMADOS ( BEGO,Германия) с участием специалистов Медицинской Академии Дентальной Имплантации.
  • 2010 — Курс клинической имплантологии MedicalConsultingGroup Часть 1 современные концепции нехирургической периодонтальной терапии Часть 2- процедура аугментации гребня. Часть 3- техника аугментации верхнечелюстной пазухи.
  • 2011 — Прохождение курсов «Пародонтологической пластической и косметологической хирургии.»
  • 2012 — Dentium “Реабилитация дентальными имплантатами, методы регенерации костной ткани»
  • 2013 — Курсы усовершенствования и мастер-класса по имплантологической системе SEMADOS ( BEGO,Германия).
  • 2013 — Прохождение обучения на семинаре доктора медицинских наук, профессора Шумского Александра Владимировича « Современные подходы в лечении заболеваний пародонта»
  • 2013 — WORLD DENTAL IMPLANT SYMPOSIUM 2013 Национальная академия имплантологии и эстетической хирургии NATIONAL ACADEMY OF IMPLANTOLOGY AND AESTHETIC DENTISTRY.
  • 2013 — Dental Guru Участие во 2-ом Международном Конгрессе Dental Guru профессиональных имплантологов
  • 2013 — Российское стоматологическое общество. Russiаn Dental Society. Участие в дискуссионном клубе.
  • 2014 — WORLD DENTAL IMPLANT SYMPOSIUM 2014. Национальная академия имплантологии и эстетической хирургии.
  • 2014 — Группа компаний РИКОМ. Участие в практическом курсе - Получение цифровых слепков при помощи сканера 3Shape TRIOS Color POD. - Создание реставраций из VITA Еnаmic
Сертификаты
  • 2016 — Участник XII всемирного симпозиум MegaGen в Москве.
  • 2016 — participated in the Workshop & Seminar by MegaGen International Network of Education and Clinical Research
Опыт и достижения
  • 2005–2011 — Врач стоматолог. Стоматология Теткин
  • 2011 — Врач стоматолог хирург. Дентальная клиника доктора Теткина
  • Высшая категория

Часто задаваемые вопросы о Теткине Виталии Петровиче

  • Каков рейтинг Теткина Виталия Петровича на сайте Zoon.ru?
  • Можно ли назвать Теткина Виталия Петровича опытным специалистом?
  • На каком направлении специализируется Теткин Виталий Петрович?
  • Можно ли ознакомиться с сертификатами Теткина Виталия Петровича?
  • Где можно ознакомиться с портфолио Теткина Виталия Петровича?
  • Можно ли посмотреть фотографии Теткина Виталия Петровича?
Информация предназначена для ознакомления и не заменяет квалифицированную медицинскую помощь. Проконсультируйтесь с врачом!
Средняя оценка - 4,8 на основании 12 отзывов и 30 оценок
Вверх