471

Сафар Рашадович Гусейнов

Вы можете доверять информации на этой странице
Представитель организации регулярно обновляет информацию и просматривает отзывы.
Стаж 9 лет
4,9
/ 7 отзывов и 31 оценка
Отличный специалист
Услуги и цены
Консультация от 1000 ₽
Все цены
О специалисте
Сообщить об ошибке
Профессиональный стаж:
9 лет
Должность:
Врач-стоматолог-хирург, пародонтолог, стоматолог-имплантолог...
Стоимость услуг:
1000 руб.
Окончил Самарский медицинский университет «РеаВИЗ» в 2015 году. Еще во время учебы при университете специалист посещал индивидуальные курсы и семинары по различным направлениям стоматологии.

На сегодняшний день данный специалист прошел более 80 курсов как по всей стране, так и зарубежом. r>Занимается как удалением сложных, так и классических, простых случаев удаления зубов, а также консервативным и хирургическим лечением зубодесневого аппарата в области пародонтологии.

Одним из направлений деятельности является классическая и одномоментная имплантация с одновременным удалением зуба и работой с мягкими тканями вокруг имплантата и зубов — как в области боковых отделов, так и в эстетически значимой зоне.

Любимая фраза Сафар Рашадовича: «Профилактика и сохранение зубов должны лежать в основе знаний и интересов каждого врача-стоматолога».
... Показать еще
Места работы врача Сафара Рашадовича Гусейнова
Для получения дополнительной информации по стоимости услуг и записи к специалисту позвоните по номеру телефона организации
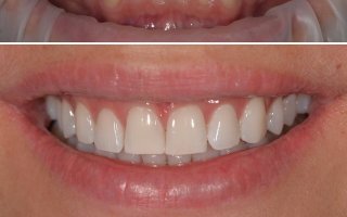
Фото работ врача Сафара Рашадовича Гусейнова
Прайс-лист
Сортировать:
по умолчанию
по цене
Консультация
от 1000
Цены, приведённые на сайте, не окончательные, не являются публичной офертой и носят информационный характер. Администрация оставляет за собой право изменять цены.
Вы можете уточнить стоимость по телефону.
Сертификаты и документы

Общее мнение пользователей на основе 7 отзывов

Сафар Гусейнов — опытный стоматолог и имплантолог с 9-летним стажем. Пациенты ценят его профессионализм, индивидуальный подход и внимательное отношение. Он помогает вернуть здоровье и красивую улыбку, делая процедуры максимально комфортными и результативными. Сафар Рашадович заслуженно вызывает доверие и положительные отзывы.
Основные положительные моменты, отмеченные пользователями
Профессиональный и внимательный врач
Индивидуальный подход к пациентам
Высокое качество работы
Дружественное отношение
Чистота и комфорт в клинике

Отзывы о враче Сафаре Рашадовиче Гусейнове

Сортировать по:
  • 5,0
    Подтверждённый отзыв
    Выражаю огромную благодарность за проделанную красивую работу всему коллективу клиники «Лакшери смайл». В особенности Гусейнову Сафару Рашадовичу, Стародубовой Юлии Николаевне за преданность своему делу, профессионализм, отзывчивость. Руководству огромную благодарность за открытие такой прекрасной клиники и за таких потрясающих сотрудников, которые всегда находят подход к каждому пациенту. Долгих лет службы и процветания клинике «Лакшери смайл». Советую всем.
  • 5,0
    Подтверждённый отзыв
    У меня стоял съёмный протез нижней челюсти. Захотелось поставить несъёмный протез на 4-х имплантатах. Сын порекомендовал данный стоматологический центр. Прошел собеседование с директором, Сафаром Гусейновым. Он был очень убедительным, и я сдался. До этого был вариант с другим центром, но после описания процедуры выполнения работ в данном центре я принял решение протезироваться в «Лакшери Смайл». Понравилось: профессионализм специалистов, отношение к пациентам. Не понравилось: стоимость работ с у – показать
  • 5,0
    Подтверждённый отзыв
    Я обратилась в клинику, чтобы поставить имплантаты. Эту услугу оказал мне доктор Гусейнов Сафар Рашадович: 3 винта прекрасно и безболезненно прижились в челюсти. Далее проходило лечение многих зубов в течение всего лета, Анна Александровна Марычева уделила мне много внимания. И напоследок о моей улыбке позаботился протезист Иван Олегович, теперь можно отправляться в Голливуд! Благодарю всех сотрудников клиники за профессиональный и индивидуальный подход к пациентам, за вежливость, понимание и ра – показать
  • 5,0
    В данную клинику обратился по рекомендации годом ранее, мне вылечили несколько кариесов и сделали просто великолепную чистку зубов и научили обучили по уходу за полостью рта, как правильно чистить зубы, теперь каждые пол года только в luxury smile хожу на профилактическую чистку Зубов, доктор меня кстати научил говорить профессиональную гигиену, после чего, во рту как добрый рот! очень доволен рекомендую!
  • Спасибо Вам, мой замечательный врач, лучший стоматолог. Здоровые зубы и великолепную улыбку мне подарили — далеко не простая работа, но вы очень хорошо справились.

    Я хочу выразить Вам свою благодарность и от чистого сердца пожелать частых причин для веселья и улыбок, частых случаев везения и радости в жизни

    Успехов Вам в деятельности, высоких результатов тонкой работы, прекрасного настроения и жизненного благополучия. Спасибо вам огромное.
  • Обращалась в первые, думала предстоит обычное удаление, а оказалось что требуется операция по удалению кисты и 2х зубов. Огромное спасибо за индивидуальный подход, невероятная поддержка моральная поддержка не только как врача, но и человеческая. Доступно объяснили и цены не завышенные) удаление провёл доктор Гусейнов Сафар Рашадович, огромное спасибо и низкий поклон, доктор с большой буквы, золотые руки. Теперь я уверена что мои зубы в надежных руках.
  • 5,0
    Подтверждённый отзыв
    Была впервые в центре у стоматолога Сафара Рашадовича Гусейнова. Меня врач отлично проконсультировал насчет лечения кариеса, сегодня пойду на лечение. Хочу отметить, что у врача подход к пациенту совсем другой, никак в других клиниках, где я была. На консультации не надо было даже вопросов задавать, врач сам всё доступно говорил, что у меня даже и вопросов не осталось. А в других местах я встречала грубое отношение, так все быстро и коротко говорили, да-да или нет-нет. Мне врач понравился чисто – показать
4,9
7 отзывов и 31 оценка
Оцените или напишите отзыв
Напишите отзыв, чтобы помочь другим пользователям с выбором.
Написать отзыв Редактировать отзыв
Отзывы с оценками
Образование
  • Медицинский университет Реавиз

Часто задаваемые вопросы о Гусейнове Сафаре Рашадовиче

  • Как посетители сайта Zoon.ru оценивают Гусейнова Сафара Рашадовича?
  • Какой рабочий стаж у Гусейнова Сафара Рашадовича?
  • Какое ведущее направление деятельности Гусейнова Сафара Рашадовича?
  • Дорого ли мне обойдутся услуги Гусейнова Сафара Рашадовича?
  • Могу ли я ознакомиться с сертификатами Гусейнова Сафара Рашадовича?
  • Могу ли я ознакомиться с примерами выполненных работ Гусейнова Сафара Рашадовича?
  • Где можно посмотреть фото Гусейнова Сафара Рашадовича?
Информация предназначена для ознакомления и не заменяет квалифицированную медицинскую помощь. Проконсультируйтесь с врачом!
Средняя оценка - 4,9 на основании 7 отзывов и 31 оценки
Вверх