120

Олеся Александровна Абрамова

Стаж 17 лет
4,8
/ 2 отзыва и 6 оценок
Отличный специалист
О специалисте
Сообщить об ошибке
Профессиональный стаж:
17 лет
Должность:
Главный врач
Моя история любви со стоматологией длинною во много лет. В профессию я пришла самостоятельно, родители даже одно время отговаривали, но моя непоколебимость "растопила их сердца". Поступление в СамГМУ стало одним из ярчайших событий в моей жизни. Учеба не была легкой- первые 1,5 года я стойко завоевывала репутацию благодаря учебе, а не "отлистыванию денег", дальше-зачетка работала на меня,спустя время интернатура и долгожданный диплом. Я сразу пошла работать в частную стоматологию, и не ошиблась-заработав там много знаний "как работать правильно"!!!(а этому не учат в универе и уж тем более в гос.поликлиниках!), полезных учеб и мастер-классов ,огромный опыт и прекрасную клиентскую базу. А далее было стремление расти ,но расти можно только там, где нет преград, а это-нужно быть "себе хозяйкой" и создавать свою атмосферу в своем месте. Потихонечку пришла к своему месту , созданию собственной концепции, комфортным условиям работы, обретению коллег-единомышленников и прекрасному коллективу... Показать еще
Места работы врача Олеси Александровны Абрамовой
Для получения дополнительной информации по стоимости услуг и записи к специалисту позвоните по номеру телефона организации
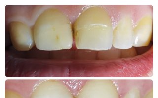
Фото работ врача Олеси Александровны Абрамовой
Сертификаты и документы

Отзывы о враче Олесе Александровне Абрамовой

Сортировать по:
  • 5,0
    Огромная благодарность Олесе Александровне за её профессионализм, за заботу и внимание! Вся наша семья с удовольствием доверяет Олесе Александровне и лечение, и имплантацию. Мы рады, что у нас такой замечательный доктор! И другим советуем посетить эту клинику.
  • 5,0
    Благодарю моего доктора Олесю Александровну, всегда все четко и без боли, спасает мне мои зубки уже много лет, все давно сказали все удалять, а она борется за каждый зубки. И не напрасно, до сих пор много своих зубов. Хорошо, что мне такой прекрасный доктор попался, всем её рекомендую
4,8
2 отзыва и 6 оценок
Оцените или напишите отзыв
Напишите отзыв, чтобы помочь другим пользователям с выбором.
Написать отзыв Редактировать отзыв
Отзывы с оценками
Образование
  • 2003–2008 — Самарский государственный медицинский университет (стоматология)
  • 2008–2009 — Самарский государственный медицинский университет (стоматолог общей практики) Интернатура
Сертификаты
  • 2014–2014 — Мукогингивальная хирургия»:создание зоны прикрепленной кератинизированной десны вокруг имплантов
  • 2014–2014 — Базовый курс имплантации системой Astra Tech
  • 2015–2015 — Направленная костная и тканевая регенерация
  • 2016–2016 — Профессиональная гигиена как неотъемлемое требование в работе врача-стоматолога
  • 2016–2016 — Плазмолифтинг в стоматологии
  • 2016–2016 — Хирургический этап дентальной имплантации.Основы костной пластики при атрофии альвеолярных отростков
  • 2017–2017 — Применение ботулотоксина в практике врача стоматолога.Лечение ВНЧС инъекциями гиалуроновой кислоты.3Д мезонити Скрыть
Участие в мероприятиях
  • 2015 — Эндоконгресс
  • 2015–2015 — 18 Всероссийский форум стоматология 21 века
Курсы повышения квалификации
  • 2019–2019 — Самарский областной центр повышения квалификации специалистов здравоохранения (общественное здоровье и здравоохраненние) Повышение квалификации
Опыт и достижения
  • 2008–2010 — ООО "Ризориус"
  • 2010–2020 — Гбуз ССП№2
  • 2014–2017 — ООО "Вариант"
  • 2015–2017 — ООО«Центр семейной стоматологии »

Часто задаваемые вопросы об Абрамовой Олесе Александровне

  • Как пользователи Zoon.ru оценивают Абрамову Олесю Александровну?
  • Какой рабочий стаж у Абрамовой Олеси Александровны?
  • В какой области специализируется Абрамова Олеся Александровна?
  • Могу ли я ознакомиться с лицензиями Абрамовой Олеси Александровны?
  • Где можно ознакомиться с портфолио Абрамовой Олеси Александровны?
  • Могу ли я посмотреть фотографии Абрамовой Олеси Александровны?
Информация предназначена для ознакомления и не заменяет квалифицированную медицинскую помощь. Проконсультируйтесь с врачом!
Средняя оценка - 4,8 на основании 2 отзывов и 6 оценок
Вверх