66

Наталья Матяшина

Стаж 29 лет
5,0
/ 3 отзыва и 3 оценки
Отличный специалист
О специалисте
Есть гарантия
Сообщить об ошибке
Профессиональный стаж:
29 лет
Матяшина Наталья является стоматологом-ортопедом. Наталья Матяшина в том числе выполняет герметизацию фиссур, несъемное и съемное протезирование зубов, микропротезирование зубов, шинирование зубов и снятие зубного камня, обладает знаниями и навыками в области эстетической реставрации зубов, а также занимается лечением кариеса, пульпита, некариозных поражений зубов, гингивита и периодонтита.... Показать еще
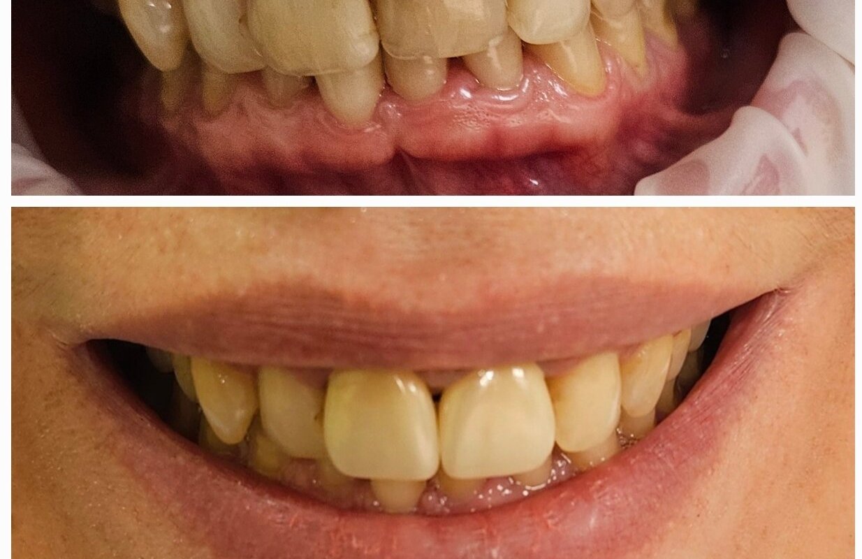
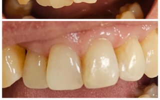
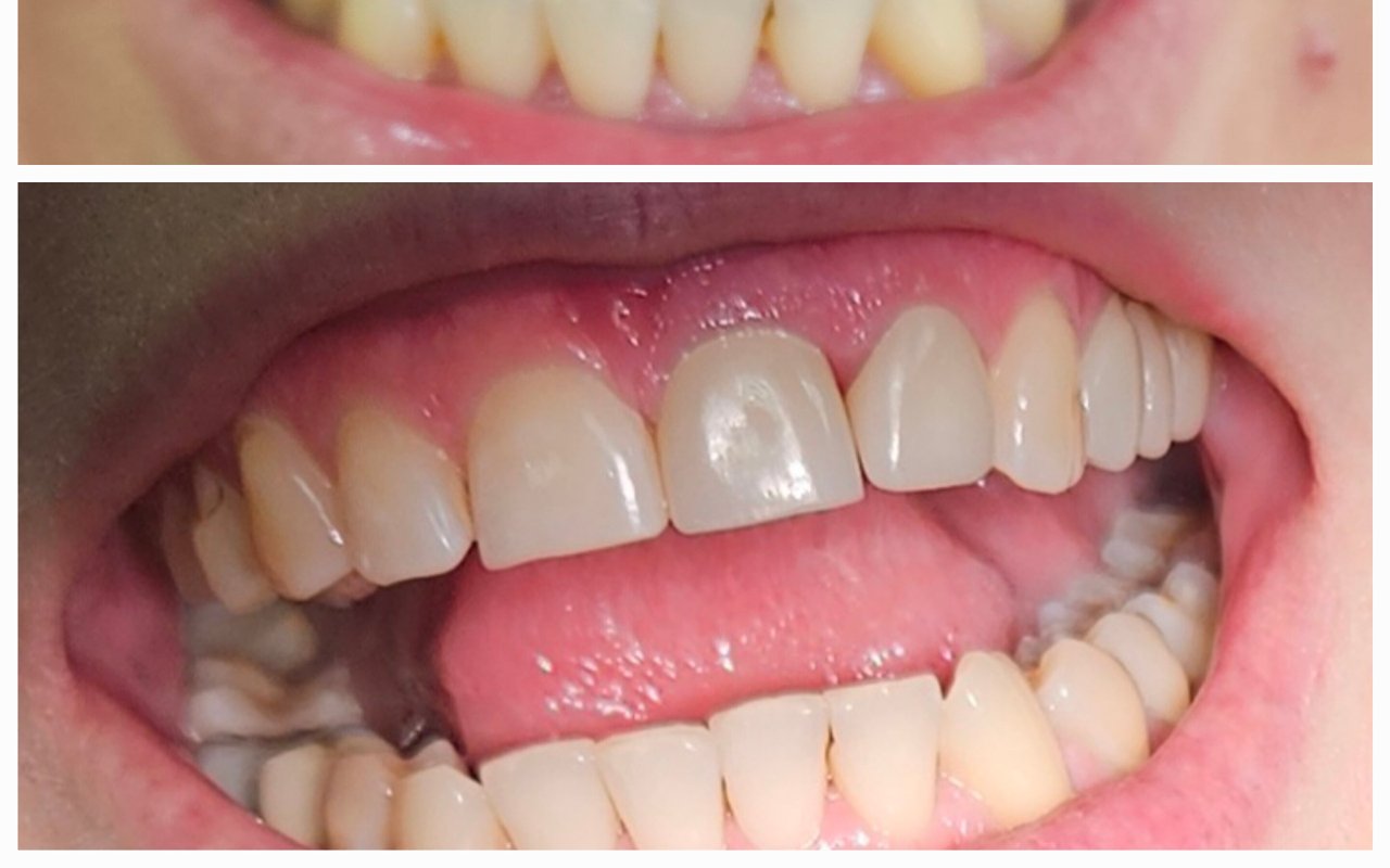
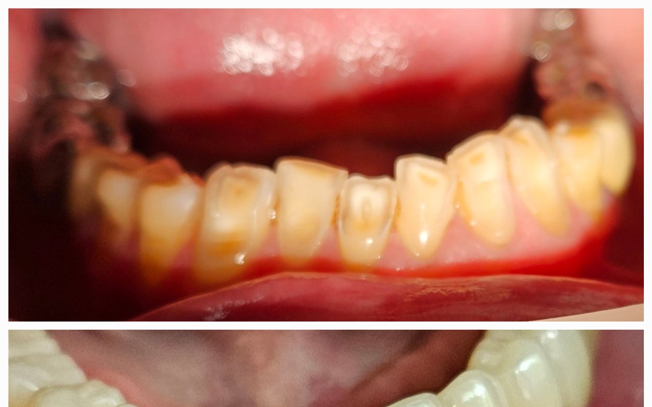
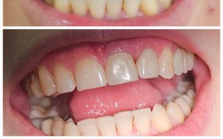
Фото работ врача Натальи Матяшиной

Отзывы о враче Наталье Матяшиной

Сортировать по:
  • 5,0
    Наталья Александровна очень хороший врач, протезист. Все делает аккуратно и безболезненно! Я лечусь у неё 15 лет! Всем рекомендую!
  • 5,0
    Наталья Александровна прекрасный специалист, всегда предлагает оптимальное лечение. Чуткий, внимательный человек. Все делает очень аккуратно, совершенно безболезненно. Лечимся всей семьей, очень рады, что есть такой врач.
  • Наталья Александровна замечательный специалист! Она очень трепетно работает с каждым клиентом. Лечение она проводит очень аккуратно. Все что делает обязательно объясняет. В ее кабинете всегда атмосфера релакаса и спокойствия.
5,0
3 отзыва и 3 оценки
Оцените или напишите отзыв
Напишите отзыв, чтобы помочь другим пользователям с выбором.
Написать отзыв Редактировать отзыв
Отзывы с оценками
Образование
  • САМГМУ
  • ММСИ
  • Karlova univerzita
Опыт и достижения
  • ООО ЮРМАКС, Клиника лазерной стоматологии "Продент", ООО Медлайн компани
Научная степень
  • Karlova univerzita v Plzni
Стажировки
  • "Macabident",Израиль

Часто задаваемые вопросы о Матяшиной Наталье

  • Как пациенты оценивают Матяшину Наталью?
  • Как долго Матяшина Наталья трудится по специальности?
  • В какой области Матяшина Наталья предлагает свои услуги?
  • Есть ли возможность ознакомиться с выполненными работами Матяшиной Натальи?
  • Где я могу посмотреть фото Матяшиной Натальи?
Информация предназначена для ознакомления и не заменяет квалифицированную медицинскую помощь. Проконсультируйтесь с врачом!
Средняя оценка - 5,0 на основании 3 отзывов и 3 оценок
Вверх