Вы владелец профиля?
Марина Викторовна Волощенко
Стаж 11 лет
•Высшая категория
4,4
/ 7 отзывов и 27 оценок
Онлайн расписание
Услуги и цены
Установка лечебной прокладки ProRoot MTA
2100 ₽
Все цены
О специалисте
Сообщить об ошибке
Профессиональный стаж:
11 лет
Должность:
Стоматолог-терапевтСтоимость услуг:
100 - 4500 руб.
Марина Волощенко – стоматолог общей практики. В предварительном разговоре она призналась, что профессию врача-стоматолога выбрала ещё в детстве. Можно сказать, что пошла по стопам родных дяди и тёти. Они рассказывали свои истории из врачебной практики, на рабочем месте показывали инструменты, оборудование, композиты... Всё это казалось чрезвычайно интересным и немного загадочным для ребёнка. В восьмом классе у Марины разболелся зуб, боль была нестерпимой, и когда девочку избавили от неё, она точно знала, кем хочет стать в будущем – поняла всю значимость работы зубного врача.
- Марина Викторовна, Ваши родители – тоже люди в белых халатах, есть ли братья и сёстры?
- Я родилась в Пензе. Папа – нефтяник, мама – инженер, а вот старшая сестра – стоматолог. Как видите, ничего случайного не бывает, всегда отыщется предпосылка.
- Детские воспоминание цепкие. Запомнилось ли Вам что-то, изменившее Ваш взгляд на мир?
- Да, наверно, было и такое. Но растворилось в сознании, которое тогда не владело анализом событий. Кардинальный перелом произошёл уже при поступлении в университет – начало самостоятельной жизни, без родительской опеки. Это и свобода, и ответственность.
- Во что любили играть в детстве? В куклы или в доктора?
- В прятки, в казаки-разбойники, во все подвижные игры. Я человек динамичный.
- Кто Ваши друзья и подруги?
- Коллеги и однокашники. Многие далеко, но с подругой, которая живёт в Самаре, мы всё время пересекаемся.
- Ваш любимый школьный предмет?
- Химия и биология. И физкультура, конечно. Развитие должно быть всесторонним.
- Чем Вам запомнились студенческие годы, кроме зубрёжки и развлечений?
- Это самая лучшая пора жизни. По-моему, так было и есть у всех, кто был или является студентом. С этим ничто не сравнится, и это неповторимое время. Мы дружим поныне. Наш преподаватель ортопедии – Садыков Мукадес Ибрагимович. СамМГУ – уникальное место с вековой историей, это традиции, студенческий гимн и всё остальное. Это святыня.
- При каких обстоятельствах Вы познакомились с будущим мужем? Помните и празднуете ли дату первого свидания?
- Мужа зовут Андрей. Мы любители кинематографа. Он тоже врач, только невролог. Мы и познакомились благодаря профессии, вместе жили в общежитии и учились в университете. Процесс ухаживания длился все годы учёбы. Любовь – это взаимопонимание, родственность душ. Мы в любви признаёмся каждый день. И дату свадьбы празднуем.
- Приходилось ли Вам в жизни принимать трудное решение?
- Зарекаться не надо, но не приходилось и, надеюсь, не придётся.
- А как на счёт приношения естественных жертв?
- Жертвовать вынуждена лишь временем, его вечно не хватает, постоянный цейтнот. Но время как раз то, что невозвратно. Увы, по-другому нельзя, так устроена жизнь.
- Что Вам дал опыт работы, кроме самого опыта работы?
- Он подарил мне самое важное – самореализацию. Работа – это очень ценно. Потерь на этом пути нет, всё идёт в копилочку знаний. В 2013 году я окончила университет и начала работать сначала как ассистент, потом как врач. Два года проработала в поликлинике, это был интересный опыт. Большой поток пациентов с разными проблемами. Нелегко, но интересно – я очень люблю своё дело. В нашей сфере что нужно, чтобы пациент был вылечен и здоров? В первую очередь — профессионализм самого врача, потом – доверие между больным и доктором, установить его помогает «план лечения», чтобы не оставалось никаких неясностей и, следовательно, разногласий. Также это профилактические осмотры раз в полгода и, конечно, гигиена полости рта самого пациента.
- Целая инструкция. Откуда Вы сами – на пару с работой – черпаете силы? Есть ли свои маленькие женские секреты здоровья и красоты?
- Всё просто: спорт, здоровый образ жизни, внутренняя гармония. Физзарядка никому не повредит. А красотой занимаюсь по мере необходимости, пока что у меня всё природное, и я без нужды не вмешиваюсь. В принципе, я от работы не устаю. Конечно, тяжело пропускать через себя большое количество людей, поэтому любому врачу нужно уметь переключаться на что-то другое, на семью, хобби, от этого зависит качество жизни. Я люблю после рабочего дня прогуляться, иду специально до дома пешком, это помогает отфильтровать всю информацию, полученную за день, разложить всё по полочкам, прогулка способствует крепкому сну. Не откажусь и от хорошего фильма. Мне нравятся Тарантино, Линч, Дель Торо.
- Необычный набор. А клиника – это место приложения сил или нечто большее?
- Мне повезло с дружным и сплочённым коллективом. Я бы смело сказала: это – вторая семья. Мы сроднились. Многих я по-человечески люблю. Я считаю, в этом залог плодотворной работы на 60 процентов. Когда идёшь на работу с хорошим настроением, то и работа ладится, и пациенты, чувствуя положительный настрой врача, поправляются быстрее, а значит, и в дальнейшем остаются моими пациентами и даже лечатся семьями.
- Вы прагматик или романтик?
- Прагматик я, реалист. Или реалистка.
- Как, по-Вашему, коммерциализация процесса мешает гуманитарной стороне Вашего дела или нет? Может ли кредитоспособность пациента повлиять на результат?
- Думаю, что пациентам это лишь на пользу. У нас же всё лучшее: материалы, оборудование, технологии, специалисты плюс атмосфера доброжелательности… Игра стоит свеч. Это игра на интерес, причём – взаимный.
- Приходилось Вам ошибаться? Как уберечься врачу от ошибок, а если допущены – не впасть в отчаянье?
- Не ошибается тот, кто ничего не делает. Хотя неделанье – уже ошибка. Лучше их не допускать. Но я в подобных случаях мобилизуюсь. Как прагматик.
- Врач для Вас – это профессия или диагноз?
- Профессия, конечно. Нельзя, чтобы одно затмевало всё остальное. Во всём должно быть равновесие. Однообразие – скучно, прелесть в многоцветности мира. Кроме белого цвета халата – целая радуга!
- Может быть, у Вас уже есть талантливые ученики?
- В принципе, пока нет – кроме младшего брата моего мужа. Факультативно.
- Что для Вас уют в доме?
- Гармония вещей и гармония отношений.
- Ваши любимые книга, фильм, музыкальный жанр, цвет, город, страна, время года, мужское и женское качество, время суток, животное, стиль одежды, художник, состояние души?
- Книга – серия фэнтези-романов Джорджа Мартина «Песнь льда и пламени», музыка – Рамина Джавади, цвет – бирюзовый, время года – весна-лето, качества – ум, юмор, доброта. Я люблю все времена суток, всех животных семейства кошачьих, классический стиль одежды и состояние спокойствия, созерцания, релакса.
- Я думал, что цвет – ультрамарин. Морской. А что не любите?
- А не люблю всякое недружелюбие и непорядочность. Если что меня и окрыляет – их противоположности: доброжелательность и честность.
- Выберете своё из перечисленного: птицу, рыбу, насекомое, животное, микроорганизм.
- Орёл, белуга, бабочка, лев и полезные бактерии. Например, бродильные молочные.
- Марина Викторовна, ради дружбы Вы согласились бы на всё или с оговорками?
- Я женщина, поэтому с оговорками. Есть недопустимые вещи. Но если они появляются среди друзей – это уже не дружба, а что-то другое.
- И напоследок: Ваше личное определение счастья?
- Быть в ладу с самой собой.... Показать еще
- Марина Викторовна, Ваши родители – тоже люди в белых халатах, есть ли братья и сёстры?
- Я родилась в Пензе. Папа – нефтяник, мама – инженер, а вот старшая сестра – стоматолог. Как видите, ничего случайного не бывает, всегда отыщется предпосылка.
- Детские воспоминание цепкие. Запомнилось ли Вам что-то, изменившее Ваш взгляд на мир?
- Да, наверно, было и такое. Но растворилось в сознании, которое тогда не владело анализом событий. Кардинальный перелом произошёл уже при поступлении в университет – начало самостоятельной жизни, без родительской опеки. Это и свобода, и ответственность.
- Во что любили играть в детстве? В куклы или в доктора?
- В прятки, в казаки-разбойники, во все подвижные игры. Я человек динамичный.
- Кто Ваши друзья и подруги?
- Коллеги и однокашники. Многие далеко, но с подругой, которая живёт в Самаре, мы всё время пересекаемся.
- Ваш любимый школьный предмет?
- Химия и биология. И физкультура, конечно. Развитие должно быть всесторонним.
- Чем Вам запомнились студенческие годы, кроме зубрёжки и развлечений?
- Это самая лучшая пора жизни. По-моему, так было и есть у всех, кто был или является студентом. С этим ничто не сравнится, и это неповторимое время. Мы дружим поныне. Наш преподаватель ортопедии – Садыков Мукадес Ибрагимович. СамМГУ – уникальное место с вековой историей, это традиции, студенческий гимн и всё остальное. Это святыня.
- При каких обстоятельствах Вы познакомились с будущим мужем? Помните и празднуете ли дату первого свидания?
- Мужа зовут Андрей. Мы любители кинематографа. Он тоже врач, только невролог. Мы и познакомились благодаря профессии, вместе жили в общежитии и учились в университете. Процесс ухаживания длился все годы учёбы. Любовь – это взаимопонимание, родственность душ. Мы в любви признаёмся каждый день. И дату свадьбы празднуем.
- Приходилось ли Вам в жизни принимать трудное решение?
- Зарекаться не надо, но не приходилось и, надеюсь, не придётся.
- А как на счёт приношения естественных жертв?
- Жертвовать вынуждена лишь временем, его вечно не хватает, постоянный цейтнот. Но время как раз то, что невозвратно. Увы, по-другому нельзя, так устроена жизнь.
- Что Вам дал опыт работы, кроме самого опыта работы?
- Он подарил мне самое важное – самореализацию. Работа – это очень ценно. Потерь на этом пути нет, всё идёт в копилочку знаний. В 2013 году я окончила университет и начала работать сначала как ассистент, потом как врач. Два года проработала в поликлинике, это был интересный опыт. Большой поток пациентов с разными проблемами. Нелегко, но интересно – я очень люблю своё дело. В нашей сфере что нужно, чтобы пациент был вылечен и здоров? В первую очередь — профессионализм самого врача, потом – доверие между больным и доктором, установить его помогает «план лечения», чтобы не оставалось никаких неясностей и, следовательно, разногласий. Также это профилактические осмотры раз в полгода и, конечно, гигиена полости рта самого пациента.
- Целая инструкция. Откуда Вы сами – на пару с работой – черпаете силы? Есть ли свои маленькие женские секреты здоровья и красоты?
- Всё просто: спорт, здоровый образ жизни, внутренняя гармония. Физзарядка никому не повредит. А красотой занимаюсь по мере необходимости, пока что у меня всё природное, и я без нужды не вмешиваюсь. В принципе, я от работы не устаю. Конечно, тяжело пропускать через себя большое количество людей, поэтому любому врачу нужно уметь переключаться на что-то другое, на семью, хобби, от этого зависит качество жизни. Я люблю после рабочего дня прогуляться, иду специально до дома пешком, это помогает отфильтровать всю информацию, полученную за день, разложить всё по полочкам, прогулка способствует крепкому сну. Не откажусь и от хорошего фильма. Мне нравятся Тарантино, Линч, Дель Торо.
- Необычный набор. А клиника – это место приложения сил или нечто большее?
- Мне повезло с дружным и сплочённым коллективом. Я бы смело сказала: это – вторая семья. Мы сроднились. Многих я по-человечески люблю. Я считаю, в этом залог плодотворной работы на 60 процентов. Когда идёшь на работу с хорошим настроением, то и работа ладится, и пациенты, чувствуя положительный настрой врача, поправляются быстрее, а значит, и в дальнейшем остаются моими пациентами и даже лечатся семьями.
- Вы прагматик или романтик?
- Прагматик я, реалист. Или реалистка.
- Как, по-Вашему, коммерциализация процесса мешает гуманитарной стороне Вашего дела или нет? Может ли кредитоспособность пациента повлиять на результат?
- Думаю, что пациентам это лишь на пользу. У нас же всё лучшее: материалы, оборудование, технологии, специалисты плюс атмосфера доброжелательности… Игра стоит свеч. Это игра на интерес, причём – взаимный.
- Приходилось Вам ошибаться? Как уберечься врачу от ошибок, а если допущены – не впасть в отчаянье?
- Не ошибается тот, кто ничего не делает. Хотя неделанье – уже ошибка. Лучше их не допускать. Но я в подобных случаях мобилизуюсь. Как прагматик.
- Врач для Вас – это профессия или диагноз?
- Профессия, конечно. Нельзя, чтобы одно затмевало всё остальное. Во всём должно быть равновесие. Однообразие – скучно, прелесть в многоцветности мира. Кроме белого цвета халата – целая радуга!
- Может быть, у Вас уже есть талантливые ученики?
- В принципе, пока нет – кроме младшего брата моего мужа. Факультативно.
- Что для Вас уют в доме?
- Гармония вещей и гармония отношений.
- Ваши любимые книга, фильм, музыкальный жанр, цвет, город, страна, время года, мужское и женское качество, время суток, животное, стиль одежды, художник, состояние души?
- Книга – серия фэнтези-романов Джорджа Мартина «Песнь льда и пламени», музыка – Рамина Джавади, цвет – бирюзовый, время года – весна-лето, качества – ум, юмор, доброта. Я люблю все времена суток, всех животных семейства кошачьих, классический стиль одежды и состояние спокойствия, созерцания, релакса.
- Я думал, что цвет – ультрамарин. Морской. А что не любите?
- А не люблю всякое недружелюбие и непорядочность. Если что меня и окрыляет – их противоположности: доброжелательность и честность.
- Выберете своё из перечисленного: птицу, рыбу, насекомое, животное, микроорганизм.
- Орёл, белуга, бабочка, лев и полезные бактерии. Например, бродильные молочные.
- Марина Викторовна, ради дружбы Вы согласились бы на всё или с оговорками?
- Я женщина, поэтому с оговорками. Есть недопустимые вещи. Но если они появляются среди друзей – это уже не дружба, а что-то другое.
- И напоследок: Ваше личное определение счастья?
- Быть в ладу с самой собой.... Показать еще
Места работы врача Марины Викторовны Волощенко
Запись на приём онлайн
пн
вт
ср
чт
пт
сб
вс
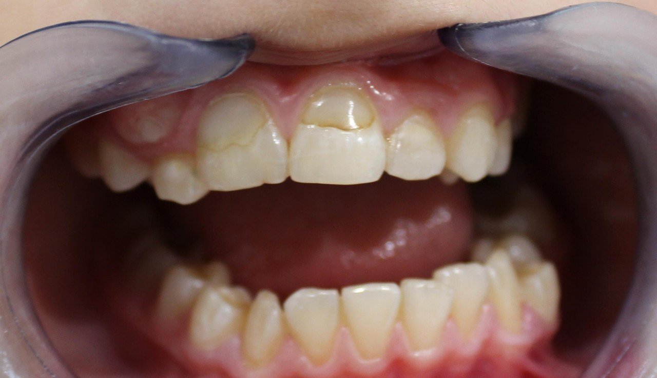
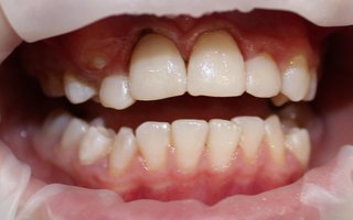
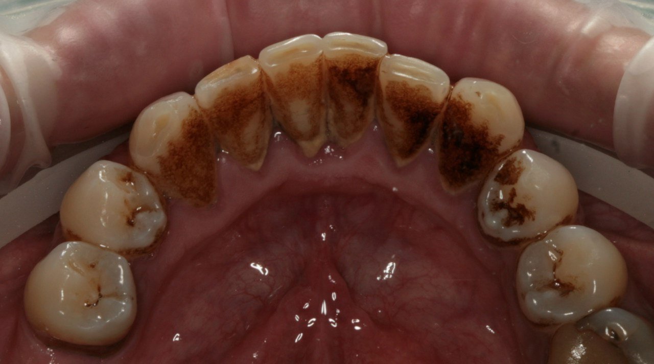
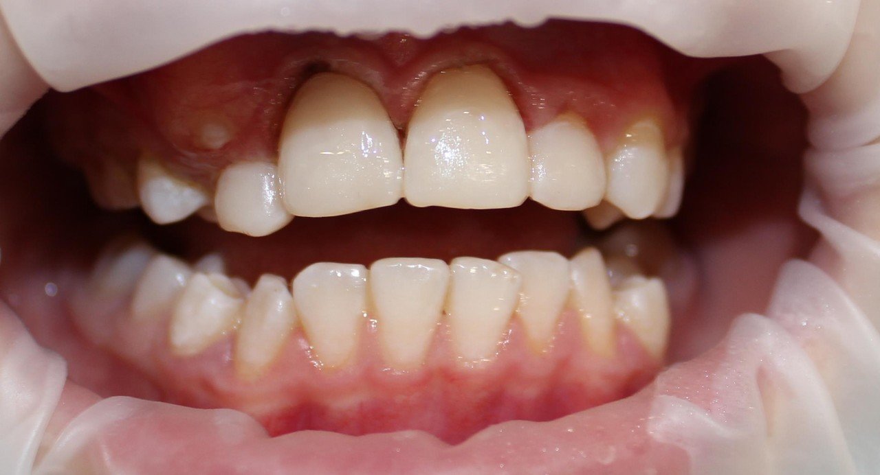
Фото работ врача Марины Викторовны Волощенко
Прайс-лист
Сортировать:
по умолчанию
по цене
Установка лечебной прокладки ProRoot MTA
2100
₽
Восстановление зуба пломбой с использованием стоматологических цементов (начальный кариес)
1500
₽
Восстановление зуба пломбой с использованием стоматологических цементов (средний кариес)
1700
₽
Восстановление зуба пломбой с использованием стоматологических цементов (глубокий кариес)
1900
₽
Восстановление зуба пломбой с использованием стоматологических цементов (депульпированный зуб)
1900
₽
Восстановление зуба пломбой с использованием материалов из фотополимеров (начальный кариес)
2000
₽
Восстановление зуба пломбой с использованием материалов из фотополимеров (средний кариес)
2500
₽
Восстановление зуба пломбой с использованием материалов из фотополимеров (глубокий кариес)
3000
₽
Восстановление зуба пломбой с использованием материалов из фотополимеров (депульпированный зуб)
3000
₽
Восстановление зуба вкладками, виниром, полукоронкой из фотополимерного материала прямым методом
4500
₽
Цены, приведённые на сайте, не окончательные, не являются публичной офертой и носят информационный характер. Администрация оставляет за собой право изменять цены.
Вы можете уточнить стоимость по телефону.
Вы можете уточнить стоимость по телефону.
Сертификаты и документы
Общее мнение пользователей на основе 7 отзывов
Марина Викторовна Волощенко — опытный стоматолог-терапевт с 11-летним стажем. Пациенты отмечают ее внимательность, деликатность и профессионализм. Она умеет создать комфортную обстановку, лечит аккуратно и без боли, благодаря чему пациенты доверяют ей и возвращаются снова. Врача рекомендуют за качественное обслуживание и заботу о клиенте.
Основные положительные моменты, отмеченные пользователями
Образование
-
2013 — Самарский государственный медицинский университет (стоматология)
-
2013–2014 — Медицинский университет «Реавиз» (стоматология общей практики) Интернатура
Курсы повышения квалификации
-
2015 — "Рациональное приминение антимикробных средств и внедрение в практическое здравоохранение мер по сдерживанию антибиотикорезидентности"
-
2015 — «Современные подходы к восстановлению фронтальной группы зубов: успешное выполнение реставраций и предотвращение ошибок и осложнений» Rocado Med
-
2019 — «Right brains for the right brands»
-
2020 — «Эффективная и понятная эндодонтия от А до Я»
-
2020 — «Как эффективно общаться с пациентами»
Сертификаты
-
2022 — Лечение апикального периодонтита. Микроскопная эндодонтия
-
2023 — Жевательная реставрация
Опыт и достижения
-
2014–2015 — Стоматолог-терапевт. Стоматологическая клиника Гардент
-
2015–2019 — Стоматолог-терапевт. Стоматологическая клиника Продео
-
2017–2019 — Стоматолог-терапевт. ГБУЗ СО Самарская стоматологическая поликлиника
-
2019 — Стоматолог-терапевт. ООО "ЭДЕНТАЛЬ"
Часто задаваемые вопросы о Волощенко Марине Викторовне
- Как пациенты оценивают Волощенко Марину Викторовну?
- Какой рабочий стаж у Волощенко Марины Викторовны?
- На чем специализируется Волощенко Марина Викторовна?
- Дорого ли мне обойдутся услуги Волощенко Марины Викторовны?
- Есть ли возможность ознакомиться с лицензиями Волощенко Марины Викторовны?
- Есть ли возможность ознакомиться с выполненными работами Волощенко Марины Викторовны?
- Где можно посмотреть фотографии Волощенко Марины Викторовны?
Смотрите также
Информация предназначена для ознакомления и не заменяет квалифицированную медицинскую помощь. Проконсультируйтесь с врачом!
Вверх
Отзывы о враче Марине Викторовне Волощенко
Эденталь! Вообще не страшно ходить к ним на приемы. Всегда знаю, что все пройдёт отлично) У Марины Викторовны лечила зуб, с удалением нерва. Было долго, но зато качественно. Врач очень чуткий, делает все для того, чтобы пациенту было максимально удобно и комфортно. Спасибо большое, Марина Викторовна!
Марина Викторовна очень деликатно общалась, сразу расположила к себе и полтора часа лечения прошли незаметно.
Так же хотелось бы отметить общую атмосферу в клинике Эденталь, вежливый и доброжелательный администратор, чистота в клинике и телевизор, чтобы было комфортно ждать очереди.
Спасибо большое Марина Викторовне, в следующий раз пойду целенаправленно к ней!