79

Анастасия Александровна Левкович

Вы можете доверять информации на этой странице
Представитель организации регулярно обновляет информацию и просматривает отзывы.
Стаж 9 лет
5,0
/ 1 отзыв и 3 оценки
Отличный специалист
О специалисте
Сообщить об ошибке
Профессиональный стаж:
9 лет
Должность:
управляющая клиники Ортодонт+
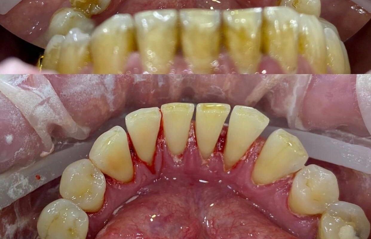
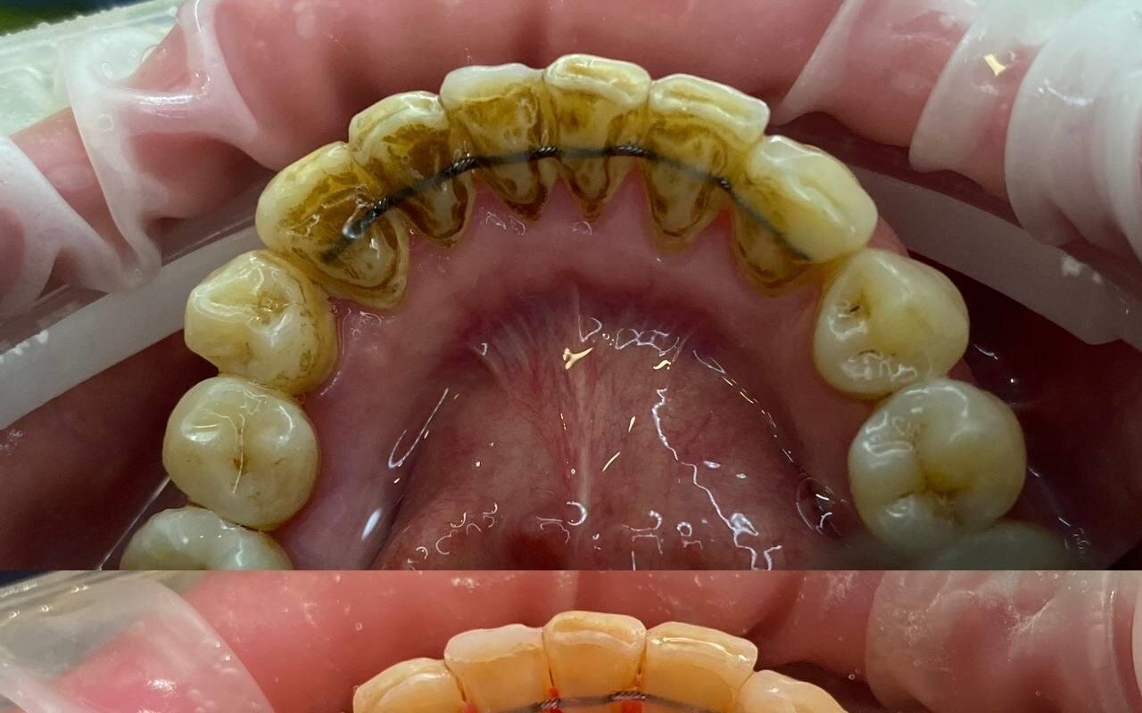
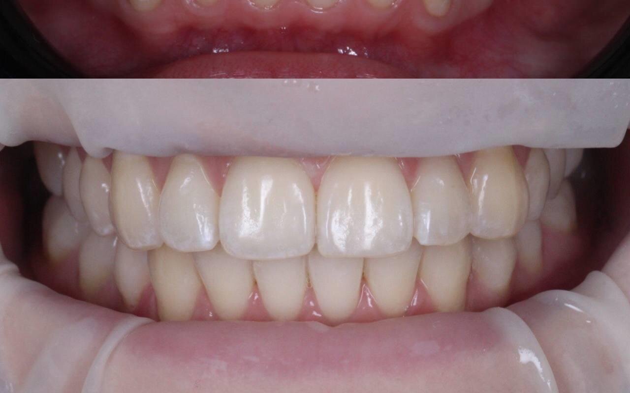
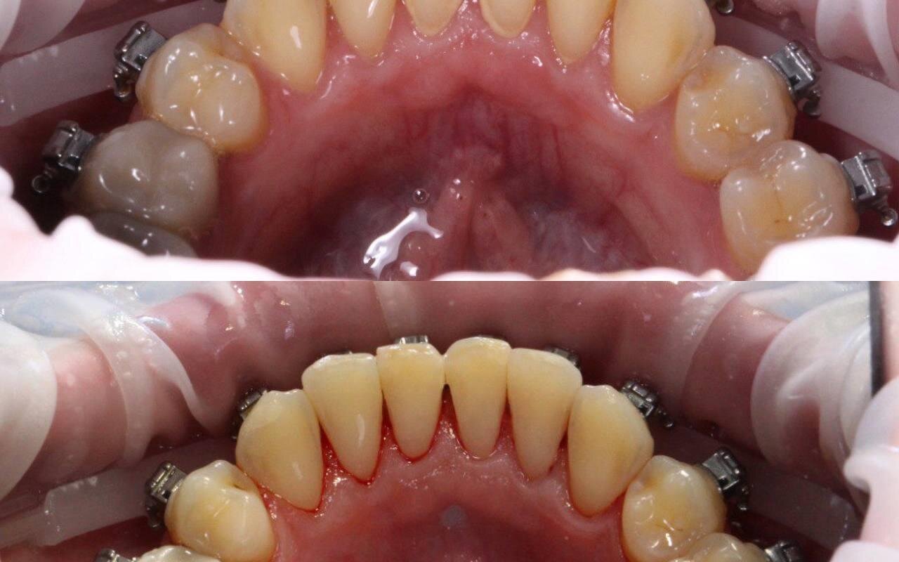
Отбеливание, лечения пародонтита, пародонтоза и гингивита
Места работы врача Анастасии Александровны Левкович
Для получения дополнительной информации по стоимости услуг и записи к специалисту позвоните по номеру телефона организации
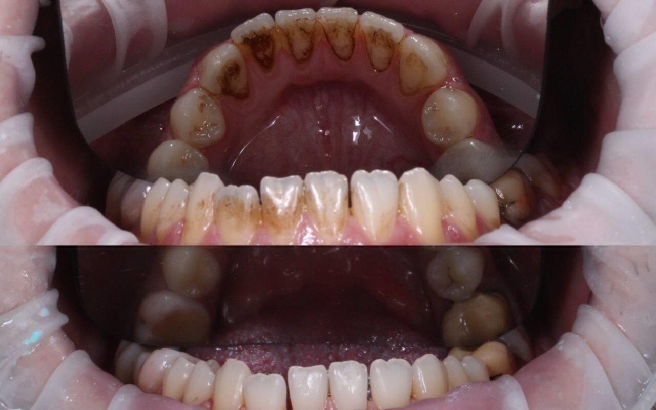
Фото работ врача Анастасии Александровны Левкович

Отзывы о враче Анастасии Александровне Левкович

Сортировать по:
  • 5,0
    Был на приёме у Анастасии Александровны. Очень приятный врач. Грамотно объяснила. Решила мою проблему с деснами за один прием. Благодарю!
    Клиника чистая, большая. Понравилось, что оперативно среагировали на звонок, записали и полечили. Цены адекватные.
5,0
1 отзыв и 3 оценки
Оцените или напишите отзыв
Напишите отзыв, чтобы помочь другим пользователям с выбором.
Написать отзыв Редактировать отзыв
Отзывы с оценками
Образование
  • Среднее специальное образование по специальности стоматология профилактическая, высшее образование по специальности государственное и муниципальное управление
Курсы повышения квалификации
  • Лекция: Актуальные вопросы применения 3D-технологий в современной стоматологический практике
  • Лекционна-практический курс: Руководство по оперативному управлению клиникой (Некрасов Е.В)
  • Семинар по использованию профессиональных систем Philips Zoom WhiteSpeed для отбеливания зубов в клинических и домашних условиях и мастер класс клинической системой Philips Zoom WhiteSpeed ( Лектор: Акулович Андрей Викторович)
  • К-Дента. Семинар-тренинг Благодарный пациент-успешный доктор (Бичун А.Б)

Часто задаваемые вопросы о Левкович Анастасии Александровне

  • Какова оценка Левкович Анастасии Александровны на сайте Zoon.ru?
  • Как давно Левкович Анастасия Александровна работает по специальности?
  • На чем специализируется Левкович Анастасия Александровна?
  • Где можно ознакомиться с портфолио Левкович Анастасии Александровны?
  • Могу ли я посмотреть фото Левкович Анастасии Александровны?
Информация предназначена для ознакомления и не заменяет квалифицированную медицинскую помощь. Проконсультируйтесь с врачом!
Средняя оценка - 5,0 на основании 1 отзыва и 3 оценок
Вверх