183

Салхи Эмира Бент Хеди

Вы можете доверять информации на этой странице
Представитель организации регулярно обновляет информацию и просматривает отзывы.
3,9
/ 5 отзывов и 14 оценок
О специалисте
Сообщить об ошибке
Бент Хеди Салхи Эмира является ортодонтом. Размышляя о визите к стоматологу-ортодонту, следует помнить, что неправильный прикус представляет из себя не только эстетический изъян. Зубочелюстные деформации влияют на строение позвоночника, работу мышц шеи и даже на осанку. Ортодонтическая терапия требует немало времени, но это всякий раз является существенной инвестицией в собственное здоровье и качество жизни.... Показать еще
Места работы врача Салхи Эмира Бент Хеди
Для получения дополнительной информации по стоимости услуг и записи к специалисту позвоните по номеру телефона организации
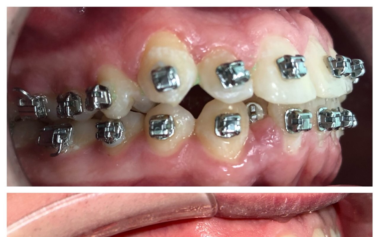
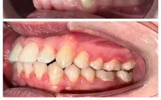
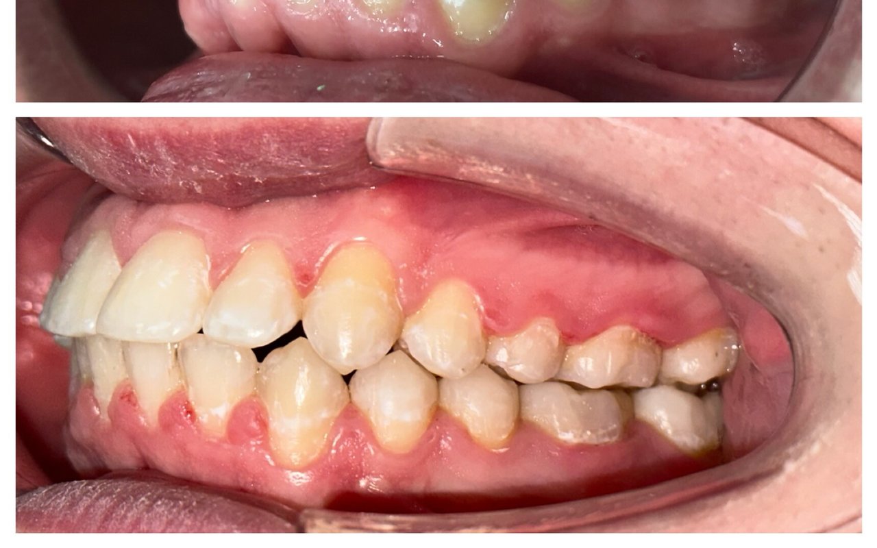
Фото работ врача Салхи Эмира Бент Хеди

Отзывы о враче Салхи Эмира Бент Хеди

Сортировать по:
  • 5,0
    Хочу искренне поблагодарить Салхи Эмиру Бент Хеди за замечательную работу! Проходила у неё лечение на элайнерах, результат потрясающий! Зубы стали ровные, жевать теперь намного удобнее. Также была сделана профессиональная чистка,всё очень аккуратно!

    Эмира, очень внимательный и аккуратный специалист. Всегда всё подробно объясняет, отвечает на вопросы, и создаёт атмосферу доверия. Спасибо большое за такой тёплый подход и за отличный результат! Очень довольна лечением и с уверенностью реком
    – показать
  • 5,0
    I was worried that I wasn’t gonna be able to explain my problem, but there she was with a perfect english, french, spanish and a brilliant work, thank you Dr. Salhi! I highly recommend this Dr.. Brilliant!
  • 5,0
    Хочу поблагодарить Эмиру за хороший результат. Спасибо за доброжелательность и бережно отношение к зубкам. Начинала лечение прикуса у другого врача. Нисколько не жалею, что попала в итоге к ней. Эмира всегда очень доходчиво и понятно отвечала на все вопросы. Была всегда на связи. Лечение прошло по плану. Результатом я довольна. Однозначно её рекомендую!
  • 5,0
    Сходила на консультацию к Эмире Хедьевне (ортодонт) все подробно рассказала и объяснила, отличный специалист. Буду исправлять у нее прикус.
  • 5,0
    Всего за полтора года, зубы встали хорошо. Раньше все зубы стояли не правильно и я думала, что это уже не исправить, но благодаря хорошей работе, Эмира Хедьевна смогла исправить по сути не исправить проблему с зубами.
3,9
5 отзывов и 14 оценок
Оцените или напишите отзыв
Напишите отзыв, чтобы помочь другим пользователям с выбором.
Написать отзыв Редактировать отзыв
Отзывы с оценками
Образование
  • Закончила Российский Университет дружбы народов в 2017 году по специальности врач-стоматолог общей практики. Прошла в нем же клиническую ординатуру по специальности ортодонтия.
Курсы повышения квалификации
  • Во время учебы проходила стажировки по терапевтической и ортодонтической стоматологии в различных странах
Опыт и достижения
Прочее
  • Свободно владеет французским, английским, испанским и арабским языками а также имеет дипломы переводчика с французского и английского

Часто задаваемые вопросы о Бент Хеди Салхи Эмира

  • Каков рейтинг Бент Хеди Салхи Эмира на сайте Zoon.ru?
  • В какой области Бент Хеди Салхи Эмира предлагает услуги?
  • Есть ли возможность ознакомиться с примерами выполненных работ Бент Хеди Салхи Эмира?
  • Где я могу посмотреть фотографии Бент Хеди Салхи Эмира?
Информация предназначена для ознакомления и не заменяет квалифицированную медицинскую помощь. Проконсультируйтесь с врачом!
Средняя оценка - 3,9 на основании 5 отзывов и 14 оценок
Вверх