533

Павел Николаевич Шевцов

Вы можете доверять информации на этой странице
Представитель организации регулярно обновляет информацию и просматривает отзывы.
Стаж 18 лет
3,7
/ 18 отзывов и 30 оценок
Большой стаж
О специалисте
Сообщить об ошибке
Профессиональный стаж:
18 лет
Должность:
Стоматолог
— Восстановление зубов пломбой
— Лечение корневых каналов зубов
— Лечение периодонтита, пульпита
— Эстетические реставрации
— Виниры
— Комплексная эстетическая реабилитация
— Коронки
— Удаление
Соцсети:
Места работы врача Павла Николаевича Шевцова
Для получения дополнительной информации по стоимости услуг и записи к специалисту позвоните по номеру телефона организации
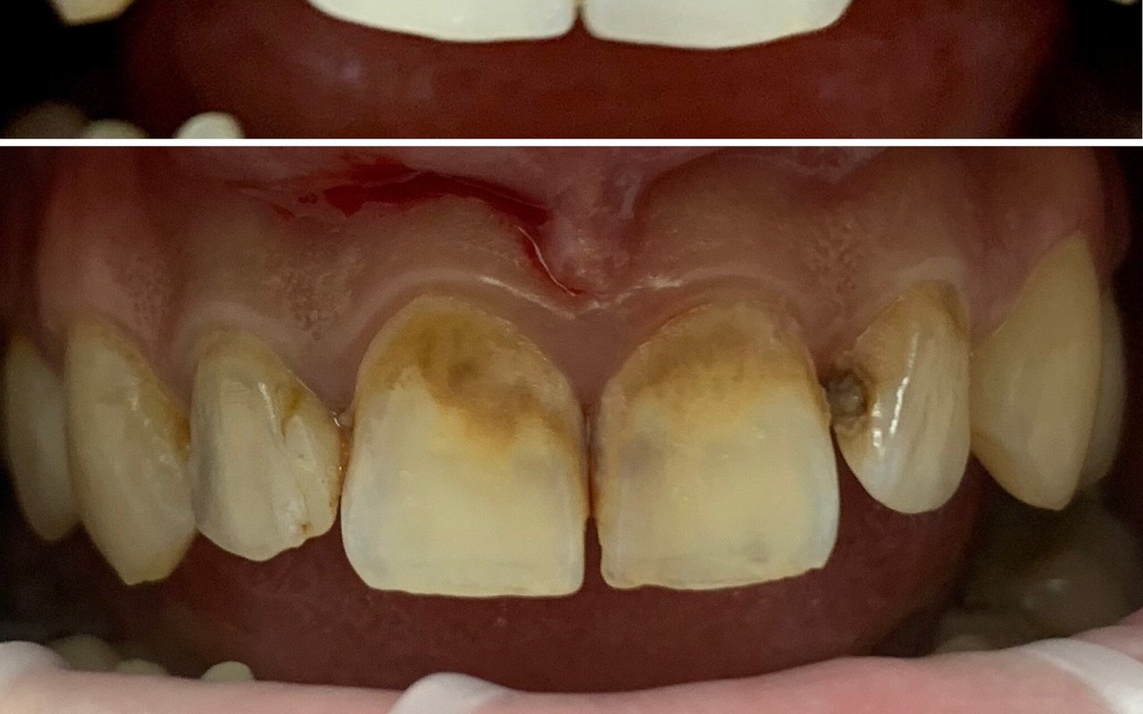
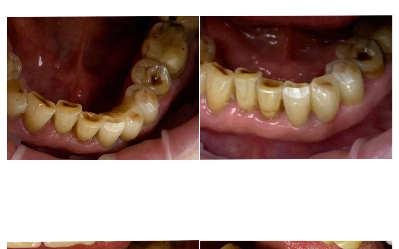
Фото работ врача Павла Николаевича Шевцова
Сертификаты и документы

Отзывы о враче Павле Николаевиче Шевцове

Фото пользователей

Сортировать по:
  • 5,0
    Знаю Павла Николаевича 15 лет,отличный доктор,мастер своего дела,ходим всей семьей
  • 5,0
    Самый лучший доктор -Шевцов Павел Н.Я очень благодарна ему за достойное качественное лечение, за его Золотые Руки, терпение, многолетнюю верность своему делу и мастерство наивысшего уровня в области стоматологии. За его энтузиазм совместно с удивительной решимостью и надежностью в работе. Побольше таких докторов своего дела.
  • 5,0
    Вот такое чудо мне сделали в клинике Дианта. Большое спасибо доктору Щевцову. Он творит чудеса.
  • Достоинства:
    Отношение к клиентам, профессионализм.
    Недостатки:
    Не обнаружены.
    Комментарий:
    Делал гигиеническую чистку зубов от налета и зубного камня себе и супруге в клинике в Люблино у врача Шевцова Павла Николаевича. Понравилось отношение к клиентам. В ходе процедуры каждое действие сопровождалось комментарием специалиста, постоянно контролировалась безболезненность манипуляций. Осталось приятное впечатление. Спасибо.
  • 5,0
    Подтверждённый отзыв
    Посещаю клинику раз в год. Стоматологию выбирала супруга, она первая посетила клинику и по её рекомендации за услугой обратился и я. Записываюсь к одному и тому же специалисту. В последний раз был на консультации и лечении зубов. Врач Шевцов Павел — хороший доктор. Рабочие место в отличном состоянии, у меня это жена контролирует, она находится в кабинете со мной. Врач дал консультацию, назначил лечение. Сотрудники ресепшен приветливые, доброжелательные. Цены устраивают. В целом положительное впе – показать
  • 5,0
    Достоинства:
    Ходила на прием к доктору Шевцову Павлу Николаевичу, с достаточно проблемным зубом с глубоким кариесом. Приемом осталась довольна Павел Николаевич все очень аккуратно сделал. Если возникнет необходимость обязательно приду именно к этому доктору.
    Недостатки:
    Не обнаружила.
  • 5,0
    Подтверждённый отзыв
    Я постоянный клиент данной стоматологии. Обслуживаюсь у доктора Шевцова. Он мне нравится своей качественной работой. У меня много проблем с зубами, лечение длительное. Сейчас лечу кариес, делаем отбеливание зубов. Доктор отлично ко мне относится. Он все рассказывает и объясняет. Оборудование в кабинете врача чистое на внешний вид. В помещении аккуратно, порядок.
  • 5,0
    Подтверждённый отзыв
    И я и моя дочь ходим на лечение только к Павлу Николаевичу Шевцову. Нам этот стоматолог полностью подходит. Это очень квалифицированный, профессиональный специалист. Он ставит пломбы так, что их даже не заметно. Работает доктор достаточно быстро и аккуратно. О клинике и докторе у меня только положительное мнение. Если бы что-то не устраивало, то я бы сюда не ходила.
  • 5,0
    Подтверждённый отзыв
    Прохожу лечение по плану, составленному ранее. Приём ведет Шевцов Павел Николаевич, профессионально осуществляет свою работу, выполняет её внимательно, доброжелательный, вежливый. Сама клиника хорошая: чистота, отзывчивый персонал, современное оборудование и препараты.
  • 5,0
    Подтверждённый отзыв
    Записываюсь на прием к Павлу Николаевичу Шевцову не в первый раз, постоянно у него лечу зубы и даже после всех процедур и лечения период заживления проходит достаточно хорошо, рука легкая! Самое главное для меня — качественная работа врача! Когда так получалось, что попадала в другие клиники, даже другие врачи говорили, что сделано всё очень хорошо. В общем и целом, всем довольна!
  • 5,0
    Подтверждённый отзыв
    Был пару раз в стоматологии у Павла Николаевича Шевцова. Мне понравился профессионализм врача. Врач мне лечил кариес, поменял пломбу, а сегодня приходил на удаление. Качеством поставленной пломбы доволен и удаление прошло хорошо, чувствую себя отлично.
  • 5,0
    Подтверждённый отзыв
    В этой стоматологии я вылечила уже 2 зуба. Изначально я пришла сюда по рекомендации знакомых. Они посоветовали мне стоматолога Павла Николаевича Шевцова, как очень хорошего специалиста. Работой этого врача я осталась довольна. Лечение Павел Николаевич мне провёл отлично. Я считаю, что он профессионал своего дел! У меня такой склад ума, что хочется знать всё по этапам лечения: что делают сейчас, что будут делать дальше, для чего это делают? Хотелось бы, чтобы в этой стоматологии мне тоже подробно – показать
  • 5,0
    Подтверждённый отзыв
    Павел Николаевич Шевцов очень высококвалифицированный специалист, который разбирается даже в самых сложных случаях. Видно, что человек разбирается в том, чем занимается. Это приятный, доброжелательный, открытый человек. Он всегда отвечает на все вопросы, комментирует все моменты. У меня нет вообще никаких претензий и вопросов к нему. Я всем очень рекомендую этого врача! В клинике очень чисто, приветливый персонал на ресепшене. Мне всегда все объяснят, все распишут по срокам лечения.
  • 5,0
    Обратилась к Павлу Николаевичу за чисткой зубов и отбеливанием. Он дал мне консультацию по имеющимся проблемам. Так же были и рекомендации по правильному уходу за полостью рта. Чистку провел аккуратно и абсолютно безболезненно. Процедура отбеливания очень порадовала.
  • 5,0
    Подтверждённый отзыв
    Обратилась в клинику с острой болью, нужно было удалить зуб. Попала на прием к врачу Павлу Николаевичу Шевцову. Осталась полностью довольна, врач все сделал хорошо.
  • 5,0
    Подтверждённый отзыв
    Очень хороший врач Павел Николаевич Шевцов. Профессионально и качественно выполняет свою работу, грамотный врач.
  • 5,0
    Подтверждённый отзыв
    Мне понравилась работа специалиста. Врач Юлия Щукова хорошо доносит информацию. Также хожу на лечение к Павлу Николаевичу Шевцову. Врачи отвечают на все вопросы и полностью объясняют на понятном пациенту языке информацию. В клинике хороший сервис и обслуживание администраторов. Адекватная цена на услуги. Также мне нравится, что у врачей отношение не потребительское, а в действительности видно, что хотят помочь пациенту. Здесь я получаю правильное лечение и положительные эмоции. Я всегда боялась – показать
  • 5,0
    Довольна приёмом врача,Павла Николаевича Шевцова,золотые руки,правильные действия и указания в лечении,всегда рад видеть с улыбкой на лице,своих пациентов.
3,7
18 отзывов и 30 оценок
Оцените или напишите отзыв
Напишите отзыв, чтобы помочь другим пользователям с выбором.
Написать отзыв Редактировать отзыв
Отзывы с оценками
Образование
Сертификаты
  • 2003–2008 — ВГМУ

Часто задаваемые вопросы о Шевцове Павле Николаевиче

  • Как пациенты оценивают Шевцова Павла Николаевича?
  • Можно ли назвать Шевцова Павла Николаевича опытным специалистом?
  • Какое основное направление деятельности Шевцова Павла Николаевича?
  • Есть ли возможность ознакомиться с сертификатами Шевцова Павла Николаевича?
  • Где можно ознакомиться с портфолио Шевцова Павла Николаевича?
  • Есть ли возможность увидеть фото Шевцова Павла Николаевича?
Информация предназначена для ознакомления и не заменяет квалифицированную медицинскую помощь. Проконсультируйтесь с врачом!
Средняя оценка - 3,7 на основании 18 отзывов и 30 оценок
Вверх