1164

Массуд Зидан Кхатиб

Вы можете доверять информации на этой странице
Представитель организации регулярно обновляет информацию и просматривает отзывы.
Стаж 28 лет
4,3
/ 78 отзывов и 146 оценок
Большой стаж
Услуги и цены
Консультация ортодонта 1000 ₽
Все цены
О специалисте
Сообщить об ошибке
Профессиональный стаж:
28 лет
Стоимость услуг:
1000 руб.
Врач-ортодонт.

У вас неправильный прикус или же вам не нравится несимметричное расположение зубов? Справиться с этими проблемами поможет Массуд – квалифицированный ортодонт. Он больше 24 лет работает в данной сфере, помогает клиентам избавляться от беспокоящих проблем.
Стоматолог выполн
ит диагностику полости рта, изучит строение зубов. И затем подберет подходящее лечение. Массуд занимается установкой брекет-систем, трейнеров, элайнеров, капов. Он принимает как взрослых пациентов, так и детей.
Пройдя курс назначенного лечения, вы заметите результат, получите красивую и идеально ровную улыбку.
... Показать еще
Места работы врача Массуд Зидана Кхатиба
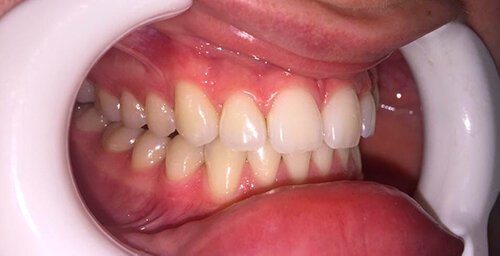
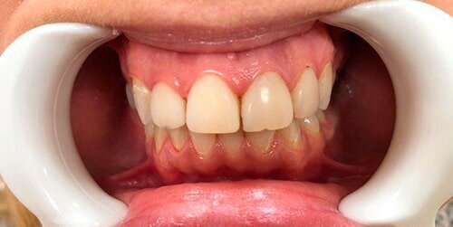
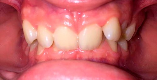
Фото работ врача Массуд Зидана Кхатиба
Прайс-лист
Сортировать:
по умолчанию
по цене
Консультация ортодонта
1000
Цены, приведённые на сайте, не окончательные, не являются публичной офертой и носят информационный характер. Администрация оставляет за собой право изменять цены.
Вы можете уточнить стоимость по телефону.
Сертификаты и документы

Общее мнение пользователей на основе 78 отзывов

Массуд Зидан Кхатиб — опытный ортодонт со стажем 28 лет, который отличается профессионализмом, внимательным отношением и высокой ответственностью к работе. Пользователи отмечают его доброжелательность, индивидуальный подход и быстрое решение сложных случаев, что делает его надежным специалистом для исправления прикуса и установки брекетов.
Основные положительные моменты, отмеченные пользователями
Профессионал своего дела
Индивидуальный подход к пациентам
Внимательный и заботливый врач
Высокое качество работы
Ответственный и надежный специалист

Отзывы о враче Массуд Зидане Кхатибе

Фото пользователей

Сортировать по:
  • 5,0
    Спасибо! Ношу брекеты уже полгода и в восторге от отношения коллектива клиники, от того с какой заботой относятся к пациенту. Доктор Масуд — прекрасный, всегда настроит на нужный лад. Спасибо за красивую улыбку
  • 5,0
    Настоящий профессионал своего дела. Носил брекеты по плану. Когда внезапно пришла повестка раньше времени, доктор сразу подстроились под ситуацию, и в итоге результат выше всяких похвал
  • 5,0
    Уже около 2-ух лет ношу брекет систему и хожу в данную клинику. Очень довольна профессионализмом, юмором и отзывчивостью (доктор на связи 24/7) лечащих врачей, а именно доктора Массуда и его ассистента Амира. Ни разу не пожалела о выборе АмирДент, особенно в моём довольно сложном случае. По мимо этого представлен большой ряд других полезных услуг, о которых можно узнать на сайте клиники. Атмосфера приятная, чувствуешь себя как дома. Всем советую.
  • 5,0
    Проходила лечение на брекетах 2 года. Результат — просто восторг. Я не узнала свои зубы «после». Сделала еще отбеливание в этой клинике. Идеальная улыбка — это счастье.
    Доктор Массуд — волшебник.
    Вежливый персонал, за время лечения становится семьей. Всем рекомендую, не пожалеете. Направляю в эту клинику всех знакомых, потому что проверено на своем опыте.
  • 5,0
    Максимально довольно результатом.Каждый приём был очень комфортный.
  • 5,0
    Давно посещаем данную клинику, очень довольны. Приветливый персонал, замечательное отношение. Ребенок очень доволен. Желаем только успехов и процветания!
  • 5,0
    В сентябре 2022 года я, прошла нескольких консультаций и остановилась на клинике Амирдент. Когда я пришла на консультацию сомнения все исчезли и было принято исправлять прикус на брекет-системе. Доктор Массуд очень внимательный, грамотный, терпеливый и с чувством юмора! Уже год я прохожу лечение, результатом я очень довольна, колоссальная разница между «до» и «после», доктор всегда на связи, цены доступные, все по договору,ничего лишнего, однозначно рекомендую клинику и доктора Масуда – показать
  • 5,0
    В клинике АмирДент моя дочь проходит ортодонтическое лечение. Я полностью довольна качеством услуг. Прекрасная клиника, внимательный и доброжелательный персонал с высоким уровнем профессионализма. Всем рекомендую.
  • 5,0
    Давно появилась необходимость установки брекетов. Прошла много консультаций у различных ортодонтов, но понравилась именно эта клиника. Доктор Массуд профессионал своего дела, то же могу сказать и о других врачах этой клиники. Обращалась неоднократно и за чисткой и за лечением. На ресепшен всегда приветливые администраторы. Всем знакомым советую «Амирдент».
  • 5,0
    Выбирала место, где поставить брекеты. Выбор пал на это место и на доктора Массуда, о котором прекрасные отзывы. Полгода ношу брекеты и не жалею о своем выборе клиники.
  • Обратилась к доктору почти год назад за красивой улыбкой, после первого посещения поняла, что больше никуда не пойду и точно буду делать все здесь
    Выбирала между элайнерами и брекетами, с брекетами оказалось быстрее, поэтому выбрала их.
    В клинике очень приятно, доктор всегда шутит, выходишь в прекрасном настроении)
    Ни разу за год меня не поранили, ежемесячное посещение — не больше 10—15 минут, всегда все делает очень оперативно и аккуратно, это можно было понять только в сравнении, когда
    – показать
  • 5,0
    На протяжении нескольких лет не могла найти врача-ортодонта, которому смогла бы доверить свое лечение. В специалистах не было видно заинтересованности в помощи, а условия лечения были абстрактно описаны и совершенно непонятны. Путь к правильному прикусу и красивой улыбке требует ответственного отношения как со стороны врача, так и со стороны пациента, а без доверия друг к другу осуществить это сложно. Сразу после первой консультации у доктора Массуда я поняла, что наконец нашла своего врача. Док – показать
  • 5,0
    Год назад обратился к доктору Массуду за установкой брекет системы, с того момента ни разу об этом не пожалел, на протяжении этого года я регулярно ездил и буду ездить на приемы раз в месяц и каждый прием прошел быстро и качественно, поэтому с полной уверенностью могу рекомендовать доктора Массуда
  • 5,0
    Прохожу ортодонтическое лечение у доктора Массуда. Лечением полностью довольна, результаты прекрасные. К доктору Массуду приятно приходить, от него уходишь всегда в хорошем настроении с ответами на все вопросы. По моей рекомендации коллега проходит лечение у доктора Массуда, также очень довольна.
  • 5,0
    Прохожу лечение у доктора Массуда! Внимательный,профессиональный врач с индивидуальным подходом!замечательная клиника, все пониавилось,рекомендую!
  • 5,0
    Замечательный доктор, заботливый, опытный специалист! Прекрасная клиника! Профессиональные доктора, Отзывчивый персонал, Качественные материалы. Спасибо доктору Массуду за мою прекрасную улыбку!! Рекомендую :)
  • 5,0
    Поставила брекеты, довольна обслуживанием, внимательным отношением. Доктор Массуд всегда встретит с улыбкой и в хорошем настроении. Работу выполняет качественно, виден результат. Ответит на любой волнующий вопрос. Очень рада что встретила именно такого порядочного доктора!
  • 5,0
    Год назад мы обратились к доктору Массуду, поставили брекеты дочери, сейчас к нее уже ровные и красивые зубы, поэтому в сентябре поставила брекеты и сыну. Доктор настоящий профессионал своего дела, понимающий и отзывчивый
  • 5,0
    Была на консультации, хочу поставить брекеты. Все была рассказано и показано, первое впечатление хорошее!
  • 5,0
    Самая лучшая стоматология в Москве!
    Врачи делают все возможные (и, как мне кажется, невозможные тоже))) виды процедур в стоматологии.
    Там уже вылечилась моя супруга, да и я не первый год там обслуживаюсь.
    Всем рекомендую!
  • 5,0
    Больше полугода прохожу лечение у доктора Массуда. Ставила в этой клинике брекеты. Очень нравится подход врача к лечению. Вежливое отношение врачей и всего персонала клиники к пациентам. Удобное расположение клиники. Всем советую посетить данную клинику.
  • 5,0
    Любимая стоматология! Прохожу лечение на брекетах у доктора Массуда. Всем довольна, результат на лицо
  • 5,0
    Прекрасный врач. Честный и профессионал своего дела. У меня очень сложная ситуация, но благодаря доктору Массуду, думаю, в скором времени смогу дарить прекрасную улыбку
  • 5,0
    Самые приятные впечатления получила от посещения клиники, от работы докторов. За это хочу выразить огромную благодарность ортопеду Жабину Алексею Николаевичу и терапевту Краснощековой Лилие Васильевне. Спасибо огромное за Ваш профессионализм, внимательность, доброжелательность, чуткость. Раньше лечилась в другой клинике. Теперь — только к Вам! Приятная атмосфера начинается с порога клиники. И это очень важно для нас, пациентов! Тихо, спокойно, по-домашнему уютно. Спасибо всему персоналу, кто со – показать
  • 5,0
    Доктор Ларькова Светлана — специалист высочайшего класса. Сочетается в себе красоту и профессионализм, делает свою работу квалифицировано и с гарантией. Большое ей спасибо.
  • 5,0
    Несколько лет назад знакомая порекомендовала данную клинику! С тех пор хожу только сюда, также вожу в клинику дочку. Мы очень довольны, все доброжелательны, лечение проходит на высшем уровне. Рекомендую ️
  • 5,0
    Год назад, выбирая между разными клиниками, которые могли поставить брекеты и исправить прикус, мой выбор пал на клинику Амирдент. И как же я рада, что попала именно сюда, к доктору Массуду. Его профессионализм и компетентность — на очень высоком уровне! Каждый месяц, идя на консультацию, я ни о чем не переживаю, а наоборот всегда жду этого дня, когда мне поменяют резиночки на брекетах или заменят дуги. Результат от лечения был виден уже в первый месяц. А сейчас фото моей улыбки до и после практ – показать
  • Пришли в клинику по рекомендации. Теперь ежегодно делаем тут профилактику и лечение по необходимости. Очень понравился доктор Бородина. Рекомендую.
  • 5,0
    Удобное расположение, приветливый персонал, больше всего хочу отметить Ларькову Светлану Валерьевну!!! Очень внимательный и приятный врач
  • 5,0
    Лечимся всей семьей в данной стоматологии.Хорошие врачи,которые знают свое дело.С детьми обращаются очень хорошо и осторожно.Вожу младшего брата,которому 5 лет.При всех его страхах об уколах и т.д,он сидел спокойной и даже не почувствовал укола анестезии.Крайне рекомендую эту клинику!
4,3
78 отзывов и 146 оценок
Оцените или напишите отзыв
Напишите отзыв, чтобы помочь другим пользователям с выбором.
Написать отзыв Редактировать отзыв
Отзывы с оценками
Образование
  • 1992–1997 — Окончил Тверскую государственную медицинскую академию по специальности «стоматология»
  • 1997–2000 — Обучение в клинической ординатуре по специальности «Ортодонтия» на кафедре стоматологии детского возраста Тверской государственной медицинской академии с выдачей сертификата международного образца
Сертификаты
  • 2010 — РУДН
Курсы повышения квалификации
  • 2015 — РУДН
  • 2019 — MГМСУ Московский медико-стоматологический университет им. А.И. Евдокимова
Опыт и достижения
  • с 2000 — Профессиональная деятельность в стоматологических клиниках Москвы
Членство в организациях
  • 2006 — Член Профессионального общества ортодонтов России

Часто задаваемые вопросы о Кхатибе Массуд Зидане

  • Как пациенты оценивают Кхатиба Массуд Зидана?
  • Считается ли Кхатиб Массуд Зидан опытным специалистом?
  • Где принимает Кхатиб Массуд Зидан?
  • В какой области Кхатиб Массуд Зидан предлагает свои услуги?
  • Дорого ли мне обойдутся услуги Кхатиба Массуд Зидана?
  • Есть ли у Кхатиба Массуд Зидана требуемые сертификаты?
  • Можно ли ознакомиться с примерами выполненных работ Кхатиба Массуд Зидана?
  • Где можно посмотреть фото Кхатиба Массуд Зидана?
Информация предназначена для ознакомления и не заменяет квалифицированную медицинскую помощь. Проконсультируйтесь с врачом!
Средняя оценка - 4,3 на основании 78 отзывов и 146 оценок
Вверх