223

Маргарита Константиновна Мичурина

Вы можете доверять информации на этой странице
Представитель организации регулярно обновляет информацию и просматривает отзывы.
Стаж 7 лет
4,0
/ 15 отзывов и 103 оценки
Оставить отзыв
О специалисте
Сообщить об ошибке
Профессиональный стаж:
7 лет
Должность:
Стоматолог-ортодонт
Повышения квалификации:
Ортодонтические CAD/CAM аппараты FitFree со скелетной опорой 2021 (Образовательный центр «ПУМПА»)
- MEAW bending course 2021 (Elite Dental Education)
- Ортодонт и ортогнатический хирург. Готовим пациента к операции 2021 (Eurokappa academy)
- The basics of surg
ical orthodontics 2019 (Elite Dental Education)
- Работа с КЛКТ в ежедневной практике врача-ортодонта 2019 (Elite Dental Education)
- Современная кортикальная опора 2021 (Ottholight)
- Biomechanics in Orthodontics 2021 (Elite Dental Education)
- Ортодонт+артикулятор: основы работы 2021 (Образовательный центр «Пумпа»)
- Сплинт-терапия для стабилизации нижней челюсти 2021 (Образовательный центр «Пумпа» , курс под руководством врача-ортодонта Апачиди )
- Основы диагностики нейромышечной системы 2021 (Н.Селла)
- Иллюзия и реальность. Понимание техники прямой дуги. Биомеханика и научные доказательства 2018 (OrtSchool)
- Такой разный второй класс 2021 (Eurokappa academy)
- Дни ортодонтии. Группа компаний «Пумпа» 2018 (Образовательный центр «Пумпа»)
- Participated in the 17 Eurasian Orthodontic Congress and 19 Congress of Orthodontists of Russia 2018 (Профессиональное общество ортодонтов)
- Ортодонтическая биомеханика- достижение оптимальной окклюзии с учетом эстетических и функциональных требований при лечении без удаления и с удалением. Ключевые аспекты практики 2018 (Americanorthodontics)
-Лечение 2 класса при помощи системы ССO 2019 (Dentsply Sirona)
- Второй международный стоматологический конгресс Dentspy Sirona World СНГ 2018 (World CIS)
- Артикуляционная системы в ежедневной практике стоматолога и зубного техника 2022 (AmannGirrbach)
... Показать еще
Места работы врача Маргариты Константиновны Мичуриной
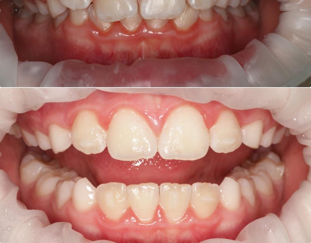
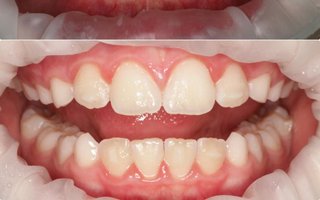
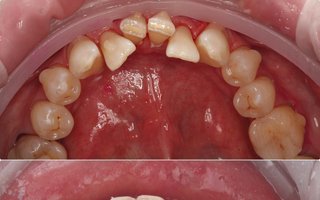
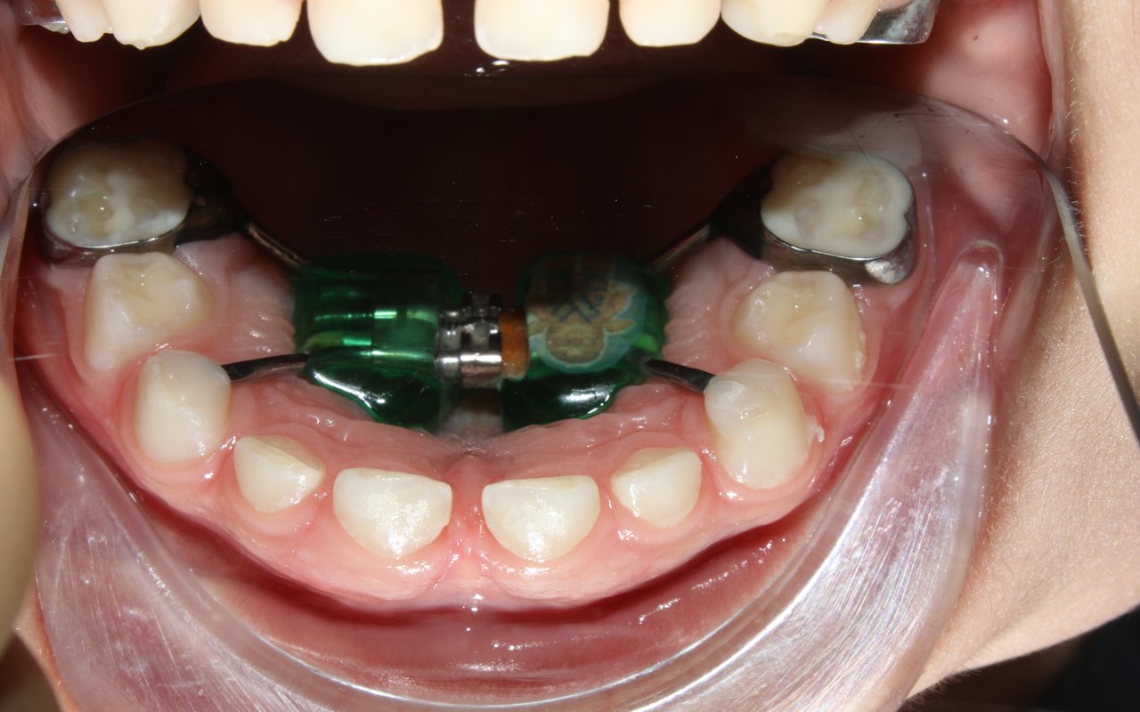
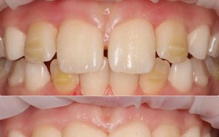
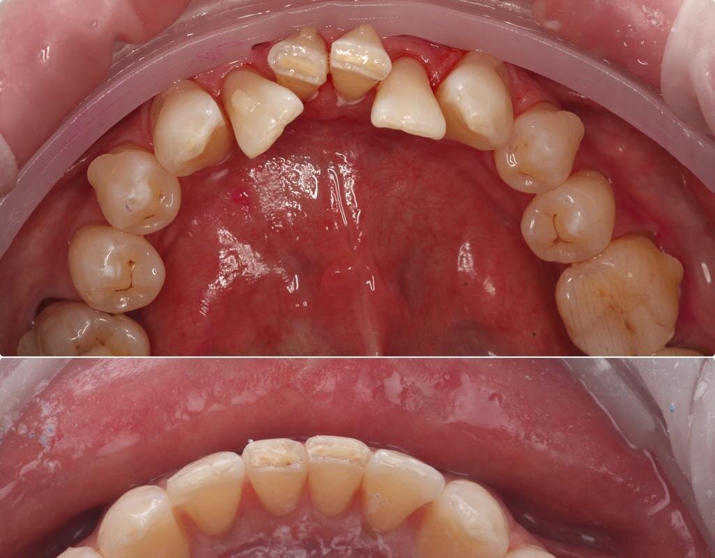
Фото работ врача Маргариты Константиновны Мичуриной
Сертификаты и документы

Общее мнение пользователей на основе 15 отзывов

Маргарита Константиновна Мичурина — внимательный, профессиональный и заботливый ортодонт со стажем 7 лет. Она тщательно объясняет все нюансы лечения, подходит к каждому пациенту индивидуально и умеет находить подход даже в сложных случаях. Многие отмечают отличные результаты и приятное общение с ней.
Основные положительные моменты, отмеченные пользователями
Высокий профессионализм
Внимательное отношение
Добросовестное объяснение
Умение находить подход
Эффективные результаты

Отзывы о враче Маргарите Константиновне Мичуриной

Сортировать по:
  • 5,0
    Внимательная, знающая, и очень терпеливая доктор, особенно с такими пациентами как я. История моих зубов наверно не всем интересна, одно сказать могу точно6 проблему решили наилучшим способом. Специалиста рекомендую однозначно.
  • 5,0
    Проходила лечение у Маргариты Константиновны. Могу отметить внимательность, вежливость доктора. Результат меня порадовал. Я думала подравнять только нижние зубы, но мне исправили и небольшие неровности на верхних. Я, как и многие пациенты, очень волновалась и задавала массу вопросов. Всегда получала ответы, объяснения. Это тоже важно. Хороший доктор, спасибо ей, рекомендую.
  • 5,0
    Выравниваю улыбку на элайнерах у Маргариты Константиновны. Доктор очень внимательная, ответственная. Всегда мне все объясняет. Результат радует, подравнялся верхний ряд, а нижний был проблемный и теперь тоже все хорошо. Заканчиваем лечение. Хочу от души поблагодарить замечательного специалиста!
  • 5,0
    Моя дочка в 13 лет сама захотела поставить брекеты, сейчас у подростков это стало модно. В более раннем возрасте она носила пластинки и это сильно помогло, а теперь поставили брекеты. Лечится дочка у Маргариты Константиновны. От себя скажу, что это очень чуткий и заботливый врач. С дочерью общается доброжелательным тоном, а та ей полностью доверяет и не боится. А меня Маргарита Константиновна полностью вводит в курс дела, посвящает во все тонкости лечения, сообщает заранее обо всех процедурах ко – показать
  • 5,0
    Чуть больше двух лет лечился у Маргариты Константиновны, прикус был непростой и зубы сильно кривые, особенно нижние торчали в разные стороны. Знакомые говорили, куда мне, в 32 года ставить брекеты, мол поздно уже. Но я больше поверил Маргарите Константиновне, когда она сказала что по возрасту ограничений нет, и многие и после 50 исправляют. И действительно все поддалось коррекции, за два года зубы встали идеально ровно. Что примечательно, лечение планировалось на 2,5 года, а закончили даже раньш – показать
  • 5,0
    Очень долго выбирала ортодонта, чтобы поставить брекеты. И ни разу не пожалела, что моя интуиция подсказала мне выбрать этого замечательного доктора! Спасибо Маргарите Константиновне за проявленное внимание, терпение и профессионализм! Скоро сын идёт в первый класс, обязательно приведу на плановый осмотр!
  • 5,0
    Очень долго выбирала ортодонта, чтобы поставить брекеты. И ни разу не пожалела, что моя интуиция подсказала мне выбрать этого замечательного доктора! Спасибо Маргарите Константиновне за проявленное внимание, терпение и профессионализм! Скоро сын идёт в первый класс и у него начинают менять зубы, обязательно приведу на плановый осмотр!
    • Добрый день, Светлана. Спасибо за оставленный отзыв. Наши специалисты всегда готовы помочь вам и вашим близким! Обращайтесь! С уважением, Стоматология Витаника на улице Родионова в Химках.
  • 5,0
    Лечу сына у Маргариты Константиновны, стоят аппараты уже месяцев 6 точно, все идёт отлично результаты на лицо.
  • 5,0
    Очень понравилась доктор, внимательная, старательная, буду рекомендовать всем знакомым.
  • 5,0
    Отличный врач и знающий специалист. Очень помогла в нашей проблеме. Спасибо большое Маргарите Константиновне.
  • 5,0
    Очень внимательный и распологающий врач. Спасибо!
  • 5,0
    Доктор Маргарита Константиновна очень внимательна к пациентам. Предложила варианты лечения моей проблемы, объяснила плюсы и минусы каждого варианта. Делает все аккуратно. Старательный и знающий специалист.
  • 5,0
    Проходил у доктора лечение, меня все устроило, никаких нареканий не было, все шикарно, хоть в Голливуд езжай и пасту рекламируй. Зубы теперь ровные как забор на даче олигарха. В общем всё супер, рекомендую!
  • 5,0
    Отличный врач, я осталась всем довольна. Рекомендую!
  • 5,0
    Была необходимость приклеить ретейнер сыну, доктор отлично все сделала. Очень приятная в общении и видео что дело свое знает хорошо. Теперь лечимся и доктора Стукаловой
4,0
15 отзывов и 103 оценки
Оцените или напишите отзыв
Напишите отзыв, чтобы помочь другим пользователям с выбором.
Написать отзыв Редактировать отзыв
Отзывы с оценками
Образование
  • 2013–2018 — МГМСУ им.Евдокимова - врач- стоматолог общей практики 2013-2018, (диплом с отличием). Ординатура: МГМСУ им.Евдокимова- Кафедра Ортодонтии и детского протезирования - врач-ортодонт, 2018-2020
  • 2019–2020 — МГМСУ им.Евдокимова Факультет: Кафедра Ортодонтии и детского протезирования Специальность: Врач-ортодонт
Сертификаты
  • 2018–2018 — Дни ортодонтии Группы компаний «Пумпа" Образовательный центр «Пумпа», Фирма Forestadent, FACE Group
  • 2018–2018 — Иллюзия и реальность. Понимание техники прямой дуги. Биомезаника и научные доказательства. Ort School
  • 2018–2018 — Participated in the 17 Eurasian Orthodontic Congress and 19 Congress of Orthodontists of Russia Профессиональное общество ортодонтов
  • 2018–2018 — Ортодонтическая биомеханика- достижение оптимальной окклюзии с учетом эстетических и функциональных требований при лечении без удаления и с удалением. Ключевые аспекты практики Americanorthodontics
  • 2018–2018 — Второй международный стоматологической конгресс Dentsply sirona world СНГ 2018 Dentsply Sirona
  • 2019–2019 — Работа с КЛКТ в ежедневной практике врача-ортодонта Elite Dental Education
  • 2019–2019 — The basics of surgical orthodontics Elite Dental Education
  • 2019–2019 — Лечение 2-го класса при помощи системы ССО Dentsply Sirona
  • 2020–2020 — Флексы, как прогрессивный метод лечения в современной Ортодонтии Flexiligner
  • 2021–2021 — Damia Tamimi- МРТ, КЛКТ в работе с дисфункцией ВНЧС. OHI-S
  • 2021–2021 — Апрайтинг моляров с использованием мини- имплантатов:дифференциальная диагностика и изготовление MAPS, MAUS OHI-S
  • 2021–2021 — Авторский онлайн курс по чтению КТ Пикассо, Институт дентальной рентгенологии
  • 2021–2021 — Сплинт-терапия для стабилизации нижней челюсти Пумпа групп
  • 2021–2021 — Биомеханика в ортодонтии Elite Dental Education
  • 2021–2021 — Ортодонт+артикулятор Пумпа Групп
Опыт и достижения
Прочее
  • 2018 — ООО"РОКОСКЛИНИК"

Часто задаваемые вопросы о Мичуриной Маргарите Константиновне

  • Как пациенты оценивают Мичурину Маргариту Константиновну?
  • Считается ли Мичурина Маргарита Константиновна опытным специалистом?
  • В какой области Мичурина Маргарита Константиновна предлагает свои услуги?
  • Есть ли у Мичуриной Маргариты Константиновны требуемые сертификаты?
  • Где можно ознакомиться с портфолио Мичуриной Маргариты Константиновны?
  • Есть ли возможность увидеть фотографии Мичуриной Маргариты Константиновны?
Информация предназначена для ознакомления и не заменяет квалифицированную медицинскую помощь. Проконсультируйтесь с врачом!
Средняя оценка - 4,0 на основании 15 отзывов и 103 оценок
Вверх