1114

Евгений Сергеевич Волвянкин

Вы можете доверять информации на этой странице
Представитель организации регулярно обновляет информацию и просматривает отзывы.
Стаж 15 лет
4,2
/ 29 отзывов и 93 оценки
Большой стаж
О специалисте
Сообщить об ошибке
Профессиональный стаж:
15 лет
В качестве стоматолога-ортодонта проводит:
диагностику и лечение различных аномалий и деформаций зубо-челюстной системы у детского и взрослого населения;
лечение с использованием современных съемных и несъемных ортодонтических аппаратов, в том числе индивидуализированных аппаратов, изготовле
нных на основе 3D-технологий;
комбинированное ортодонто-хирургическое лечение.

Специализируется на лечении:

Аномалии зубных рядов;
Аномалии размера и формы зуба;
Глубокое резцовое перекрытие;
Дистальный прикус;
Полная вторичная адентия;
Травматические повреждения зубов;
Аномалии положения зубов;
Диастема;
Мезиальный прикус у взрослых;
Нарушение прикуса;
Нарушения развития челюстей;
Открытый прикус;
Перекрестный прикус;
Адентия зубов;
Нарушение развития и прорезывания зубов;
Патологическая стираемость зубов.
... Показать еще
Места работы врача Евгения Сергеевича Волвянкина
Для получения дополнительной информации по стоимости услуг и записи к специалисту позвоните по номеру телефона организации
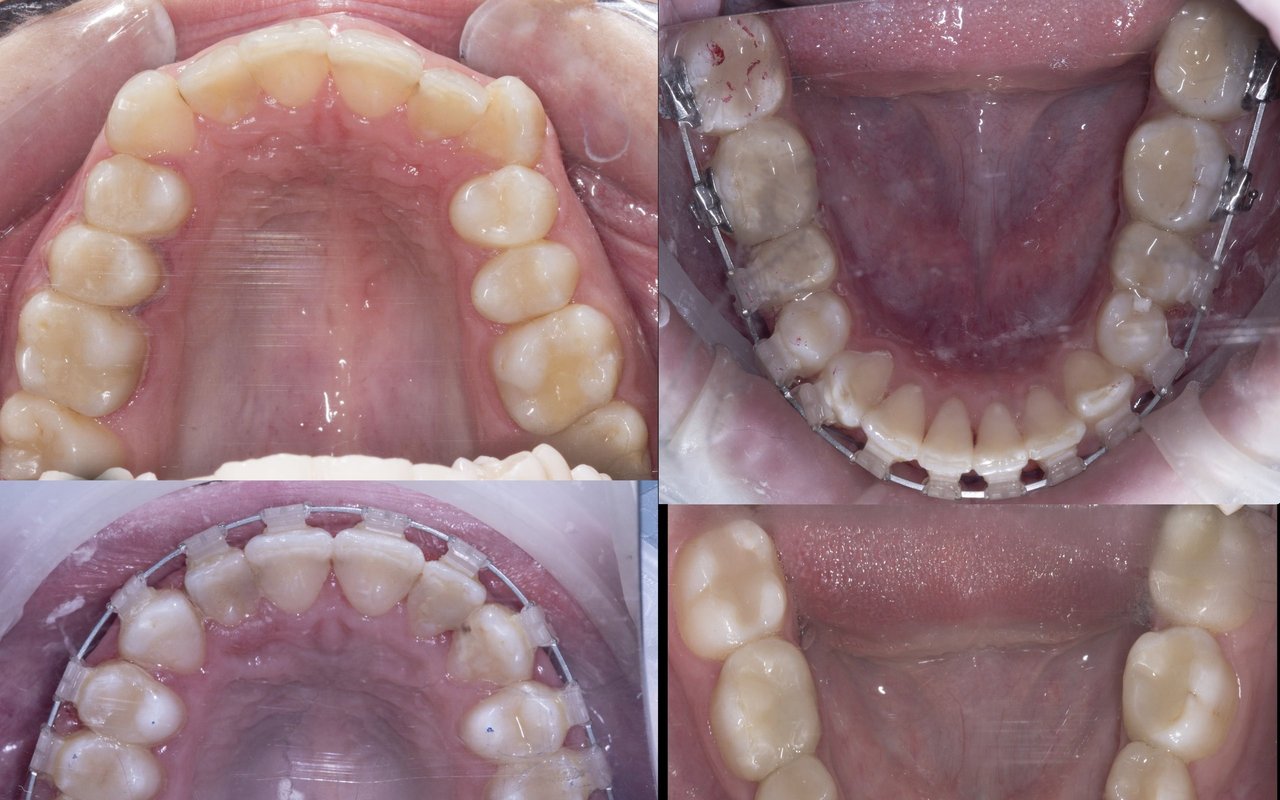
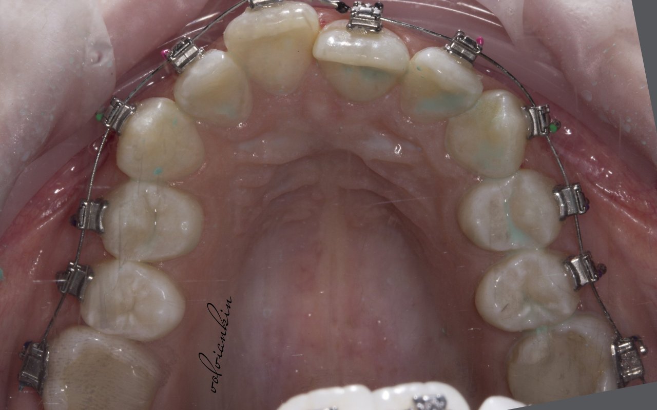
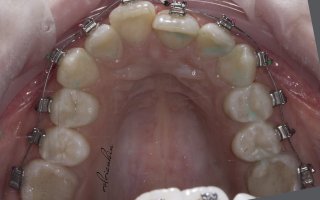
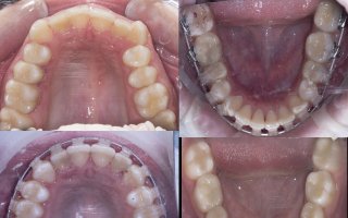
Фото работ врача Евгения Сергеевича Волвянкина
Сертификаты и документы

Общее мнение пользователей на основе 29 отзывов

Евгений Сергеевич Волвянкин — опытный и внимательный стоматолог с 15-летним стажем. Его пациенты ценят профессионализм, аккуратность и бережное отношение, а также результативность лечения. Евгений создает приятную атмосферу, помогая людям преодолеть страх и добиться красивой улыбки.
Основные положительные моменты, отмеченные пользователями
Высокий профессионализм
Внимание к деталям
Аккуратность и бережность
Объясняет всё понятно
Долгосрочный опыт

Отзывы о враче Евгении Сергеевиче Волвянкине

Сортировать по:
  • 5,0
    Пришел к Волвянкину по рекомендации коллеги. Нижние зубы были скучены сильно, выглядело не очень. Ставил металлические брекеты потому что они эффективнее работают. За 11 месяцев уже виден хороший результат, зубы почти выровнялись. Жду окончания
    • Здравствуйте, Николаев Илья! Благодарим вас за высокую оценку, мы обязательно передадим ваши слова Евгению Сергеевичу.
      Потребуется квалифицированная помощь – ждём вас. С уважением, администрация стоматологической клиники Volviankin Ortho Clinic.
  • 5,0
    Обратился к Евгению Сергеевичу для исправления прикуса уже в зрелом возрасте. Понравился его подход, врач приятный и располагает к себе. Мы поставили брекеты. Весь процесс лечения не быстрый, это надо учитывать. У меня они стоят уже полгода, я только сейчас увидел изменения, зубы действительно выравниваются! Врач контролирует каждый этап, работает уверенно и четко.
    • Добрый день, Дьяконов Матвей! Спасибо за оставленный отзыв.
      Очень рады, что вы остались довольны обращением к одному из наших лучших специалистов. Желаем вам крепкого здоровья и всего наилучшего! С пожеланиями всего наилучшего, администрация стоматологической клиники Volviankin Ortho Clinic.
  • 5,0
    Пришла к Евгению Сергеевичу после другой клиники, где мне просто испортили все. Я уже ни во что не верила, руки опускались… Он очень долго меня слушал, смотрел, сразу предупредил, что быстро не будет. Ношу брекеты второй раз в жизни уже почти год. И вот теперь наконец-то вижу отличные изменения! Зубы выравниваются, встают на место. Улыбка уже намного лучше чем была!
    • Шульгина Полина, добрый день! Большое спасибо вам за высокую оценку нашего специалиста. Обязательно передадим ваши тёплые слова Евгению Сергеевичу. Рады, что смогли вам помочь!
      Искренне желаем вам крепкого здоровья и отличного самочувствия! С уважением, администрация стоматологической клиники Volviankin Ortho Clinic.
  • 1,0
    Достоинства:
    На первый взгляд все идеально
    Недостатки:
    Жалею что обратилась к данному врачу и доверилась, ни договора, ни чеков об оплате, ни фото до / после,, на выходе, почти все то же самое с чем пришла. После брекитов вам предложат еще поносить элайнеры. Да еще и взялся за эстетику которую делать не умеет! Ретейнер был поставлен так что натер всю десну и в итоге лопнул ….
    Дата оказания услуги:
    2024
    Описание специалиста:
    Волвянкин Евгений
    • Добрый день, Мила.
      Спасибо большое, что нашли время и оставили отзыв. Нам невероятно жаль, что у вас сложились такие впечатления о нашей работе. Пожалуйста, укажите дату и время вашего последнего визита или свяжитесь с нами по телефону, указанному на странице. Мы бы очень хотели исследовать все вами описанное, ведь нам в действительности важно предложить лучший сервис и качественный подход к оказанию стоматологической помощи. Мы всегда готовы откликаться на пожелания и реагировать на замечания
      – показать
  • 5,0
    Пришла с дочкой, у нее были большие щели между зубами. Евгений Сергеевич нашел контакт с подростком) Объяснил ей зачем нужны брекеты, показал примеры до и после. Дочка согласилась на лечение. Поставили металлические брекеты с цветными резиночками — ребенку понравилось) Каждый месяц меняем цвета, это как игра. За полгода щели уже почти закрылись. Врач всегда хвалит за хороший уход, дочка старается. Спасибо вам!
    • Добрый день, Зеленая Ангелина.
      Спасибо, что нашли время и оставили столь подробный отзыв. Радостно слышать, что вы остались довольны подходом нашего врача. Нам важно предложить хороший опыт обращения к стоматологу юным пациентам, чтобы в дальнейшем никаких проблем не возникало.
      Обязательно передадим Евгению Сергеевичу ваш комментарий!
      Всего вам наилучшего! Обращайтесь, если будет нужно.
      С уважением, Стоматологическая клиника Volviankin Ortho Clinic на метро Белорусская.
  • 5,0
    Решилась на брекеты в 38 лет после долгих раздумий. Смущала скученность нижних зубов и один клык торчал вперед. Евгений Сергеевич на консультации честно сказал — лечение займет около двух лет, но результат будет. Поставили керамические брекеты, почти незаметные. Первую неделю было непривычно, но врач предупреждал об этом. Сейчас ношу уже год, зубы заметно выровнялись! На каждом приеме я фотографирую прогресс, так легче отслеживать изменения. Очень мотивирует))
    • Добрый день, Крис.
      Искренне благодарим за отзыв! Радостно слышать, что у вас остались хорошие впечатления о нашей работе. Мы всегда старательно подойдем к вопросу и проработаем план лечения брекетами тщательно.
      Всего вам замечательного! Если будет нужно, обращайтесь.
      С уважением, Стоматологическая клиника Volviankin Ortho Clinic на метро Белорусская.
  • 5,0
    Сделали коронку за час, доволен
  • 5,0
    Отличный Врач! лечилась еще в 2015году, сейчас по мере необходимости посещаю. В новой клинике на Белорусской делали отбеливание, очень довольна
    • Добрый день, Оксана Савова.
      Спасибо за столь приятный комментарий! Рады слышать, что у вас остались хорошие впечатления о нашей работе. Евгений Сергеевич — большой профессионал своего дела и всегда готов понять ситуацию.
      Всего вам замечательного! Обращайтесь, если будет нужно.
      С уважением, Стоматологическая клиника Volviankin Ortho Clinic на метро Белорусская.
  • 5,0
    У врача подход обстоятельный: сделали КТ суставов и челюстей, анализ прикуса, только потом план лечения назначил врач. Предложил элайнеры, в моем случае они эффективнее брекетов. Лечение идет полгода, результаты я вижу. Зубы действительно выравниваются, причем равномерно, не только передние, но и боковые.
  • 5,0
    Долго не решался исправлять прикус, думал в тридцать три уже поздно. Евгения Сергеевича посоветовала знакомая. На консультации он показал примеры лечения взрослых пациентов, объяснил разницу между брекетами и элайнерами. Я выбрал элайнеры — их почти не видно и привык к ним быстро. Через четыре месяца передние зубы заметно выровнялись, даже улыбаться стало приятнее)
  • Была у Евгения в клинике красота в деталях интерьер до мелочей красив. Вежливый персонал встречает, даже туалет красивый
    Удалили два зуба мудрости абсолютно без боли. Никаких ощущений ни во время процедуры, ни после. Очень пугали знакомые, что придется брать больничный. С удовольствием рекомендую своим знакомым и родственникам.
  • 5,0
    Огромное спасибо Евгению Сергеевичу! Проделана долгая и кропотливая работа на пути к идеальной улыбке
    Очень благодарна доктору за терпение и бережное отношение
  • 5,0
    Огромное спасибо доктору Евгению Сергеевичу! Проделана долгая, прекрасная работа, безумно благодарна за терпение и бережное отношение!)
  • Сам являюсь врачом-ортодонтом, поэтому к своему лечению и выбору врача подходил с особыми требованиями и ожиданиями.

    Евгений Сергеевич оказался очень грамотным специалистом: с момента первой консультации и диагностики (очень подробно рассказал о плане лечения и презентовал весь процесс) и на каждом приёме (всё чётко и понятно).
    Я доволен и процессом, и результатом — искренне готов рекомендовать этого специалиста!
  • 5,0
    Большое спасибо доктору за красивую ровную улыбку! Лучший!!!
    Носила сплинт — щелкала челюсть, потом было брекеты. Очень довольна результатом, Евгений был внимателен, аккуратен и все объяснял. Ценю такой профессионализм и рекомендую от всей души. Всей семьей теперь только к нему!
  • 5,0
    спасибо доктору, что вылечил мой прикус на брекетах. Внимательный профессионал своего дела.
    Делал фотографии, все объяснял и был аккуратен. Вся семья теперь лечится только у него. Рекомендую от всей души!
    Очень красивая клиника, стильный интерьер и милая ассистентка.
  • 5,0
    Проводили большую диагностику, мне все подробно донесли объяснили правильность выбранных методов. Лечиться можно спокойно, доктор действительно знает, что делает. Чувствуется большой опыт и грамотность, а сейчас это редкость большая. Лечением доволен и всем советую как самого грамотного специалиста. Теперь только к Евгению!
  • 5,0
    Лечусь у этого врача с 2011 года, несмотря на то что живу не в Москве всегда езжу только к нему, так как всегда лечил хорошо, а главное не больно. И за столько лет уже знает все мои проблемы. Ведёт карту и каждый раз устраивает фотосессию моим зубам. Отправлял к нему родителей и друзей все довольны.
  • 1,0
    Приехала к этому врачу в клинику. Карту на меня не заводили и чека даже не дали, сказали все деньги нужно отдавать врачу в лично в руки, меня это смутило. Врач сказал, что лечение будет проходить на брекет-системе, потом без КТ и всяких других методов диагностики он предложил мне удалить 2 нижних здоровых зуба, меня это очень напугало, и я поехала в другие клиники, там сказали, что удаление мне вообще не нужно и оно привело бы к очень негативным последствиям. Рекомендовать этого специалиста нико – показать
  • Всё в принципе было хорошо. Врач объяснил проблему и ее решение (за 95 тысяч, и потом 110 за брекеты и каждый месяц по 18к). Смутило меня то, что мне не выдали никаких документов, ни чеков, никакого направления не дал. Сказал перевод по телефону. А я забыла, что собираюсь делать налоговый вычет за мед. расходы.
  • 1,0
    Узнала о враче из Инстаграмм, думала, что обращаюсь к профессионалу. После нескольких месяцев лечения, зубы начали расшатываться. Меня это испугало, врач говорил, что все нормально, и пугаться не стоит. Обратилась в другую клинику с этим вопросом, где мне рассказали об ошибках предыдущего лечения и все исправили.
  • Ремонтирую зубы у Евгения Сергеевича с ~2013 года. Тот самый врач, которому можно принести голову и спокойно ждать завершения всех необходимых операций с зубами. От простой пломбировки, до сложного удаления восьмерок — работа выполняется аккуратно. Профи своего дела :)
  • Евгений Сергеевич замечательный стоматолог! Несколько раз лечила у него зубы, очень довольна. В квалификации и надёжности даже не сомневаюсь.
  • Долго не могла найти хорошего стоматолога, а т.к. попробовать всех зубов не хватит, то стала искать по рекомендациям, Евгений Сергеевич на первом приеме порядочного человека, не стал навязывать никие услуги, рассказал фронт работ и мы постепенно начали лечить все, теперь у меня нет проблем с зубами и вся семья моя лечиться у него. Большое спасибо
  • 5,0
    К Евгению Сергеевичу пришла с ужасным состоянием передних зубов. После предыдущего неудачного лечения остались маленькие осколочки резцов, и под пломбами они почернели. Евгений провёл качественную реставрацию и сделал внутриканальное отбеливание. Теперь на моей безупречной улыбки не осталось и следа от «темного» прошлого.
    Впереди ещё перелечивание жевательных, постановка коронки на вкрученный абсолютно безболезненно!!! Имплантант.
  • 5,0
    Очень давно хотела исправить неровные зубы, но никак не могла найти специалиста котрый внятно сделает диагностику и скажет нужно удалять зубы или нет, сколько ходила- всегда разное говорят. Шло время ничего не менялось, пока знакомая не посоветовала Евгения Сергеевича. Да, мне пришлось сделать не дешёвое кт, но сразу стало ясно, все расчёты мне показали и начали лечить без удаления. Сейчас все близится к завершению, зубки ровные и все на месте, я нашла своего стоматолога, чего и вам желаю)
  • Знакома с Евгением с 2015 года. Обратилась по рекомендации, беспокоили боли в зубе. Начали знакомство с обычного осмотра. Очень сильно боялась. Проблем с зубами было много, доктор Евгений Сергеевич расположил к себе доверием и мы начали лечение. В 2018 закончили санацию и перешли к ортодонтии, я очень довольна результатом. Огромное спасибо, Евгений Сергеевич за проделанную работу. Продолжаем лечение уже всей семьёй)))
  • Хочу поблагодарить замечательного стоматолога Евгения за проделанную работу. Евгений подарил мне улыбку, поставив пломбу на переднем верхнем резце. Раньше мне было стыдно улыбаться, но сейчас я готова подарить свою улыбку каждому. Спасибо Евгений за улыбку!
  • 5,0
    С детства боялся зубных врачей, а так как зубы были не очень, приходилось очень часто с ними видиться. И как то раз узнал про Евгения, пришёл на приём. И с тех пор лечусь только у него.
4,2
29 отзывов и 93 оценки
Оцените или напишите отзыв
Напишите отзыв, чтобы помочь другим пользователям с выбором.
Написать отзыв Редактировать отзыв
Отзывы с оценками
Образование
  • 2010 — Диплом по специальности "Зубной врач", Пензенский медицинский колледж
  • 2016 — Диплом по специальности "Стоматология", Пензенский государственный медицинский университет
  • 2018 — Ординатура по специальности "Ортодонтия", Государственная Медицинская академия Управления делами президента
Курсы повышения квалификации
  • 2010 — "Компьютерная томография-углубленный курс", Центр функционального маркетинга "Позитив"
  • 2010 — "Маркетинг и менеджмент в стоматологии. Цифровой дизайн улыбки", Aurum CEO
  • 2012 — "Медико-технологический алгоритм эстетической реставрации зубов композитными материалами", S.T.I
  • 2012 — "Эстетическая реставрация: Алгоритмы. Инновации. Победы и неудачи", Стоматологический центр Аэлита
  • 2013 — "Как избежать ошибок при протезировании на имплантатах. Методики и анализ", Mis. Course
  • 2013 — "Минимально инвазивное препарирование коронки и канала. Анатомия и доступ - "от единицы до семерки", Стоматологический центр Аэлита
  • 2013 — "Современная классика эндодонтии. Простое и сложное", Стоматологический центр Аэлита
  • 2014 — "Реставрация зубов керамическими вкладками и винирами", Учебный центр Стомпорт
  • 2016 — "Biology and biomehanics vs marketing", Михаил Соломонов
  • 2016 — "Все о металлокерамике,провизорных реставрациях и оттисках"
  • 2016 — "Применение программного обеспечения i-cat Vision для конусно-лучевой компьютерной томографии в стоматологии", ООО "Золотое сечение"
  • 2016 — "Реставрация жевательных зубов", Виктор Щербаков
  • 2016 — "Реставрация фронтальных зубов", лектор: Виктор Щербаков
  • 2017 — "Endodentistry: practical approach", Stomweb.ru
  • 2017 — "Алгоритм анализа и протокол коррекции нарушений окклюзии в трансверсальном направлении к.м.н Марахтанова", Кассис
  • 2017 — "Брекет-система Damon - первые шаги к успешному лечению. Диагностика, планирование,выбор прописи,позиционирование", ООО "Ормко"
  • 2017 — "Керамические реставрации в повседневной практике", Stomweb.ru
  • 2017 — "Непрямая реставрация", Stomclub
  • 2017 — "Реставрация контактного пункта ", Stomclub
  • 2017 — "Телерентгенография"
  • 2017 — "Функция и эстетика. Особенности планирования и реализации сложных клинических ситуаций", Stomclub
  • 2017 — "Ортопедия на имплантатах"
  • 2018 — "Базовые вопросы юридической защиты врача-стоматолога", Stomweb.ru
  • 2018 — "Дентальная фотография", Stomweb.ru
  • 2018 — "Комплексная методика работы частной стоматологической клиники", Школа доктора Фридмана
  • 2018 — "Функциональный анализ зубочелюстной системы. Окклюзия и патология окклюзии.Клиническая функциональная диагностика", Квинтэссенция
Участие в мероприятиях
  • 2017 — Международная конференция "Дни ортодонтии", Образовательный центр "Пумпа"
Опыт и достижения
  • 2017-2020 гг. - стоматолог-ортодонт-ортопед, ООО Фоксдент

Часто задаваемые вопросы о Волвянкине Евгении Сергеевиче

  • Как пациенты оценивают Волвянкина Евгения Сергеевича?
  • Является ли Волвянкин Евгений Сергеевич опытным специалистом?
  • На чем специализируется Волвянкин Евгений Сергеевич?
  • Есть ли у Волвянкина Евгения Сергеевича требуемые лицензии?
  • Где я могу ознакомиться с портфолио Волвянкина Евгения Сергеевича?
  • Можно ли увидеть фотографии Волвянкина Евгения Сергеевича?
Информация предназначена для ознакомления и не заменяет квалифицированную медицинскую помощь. Проконсультируйтесь с врачом!
Средняя оценка - 4,2 на основании 29 отзывов и 93 оценок
Вверх