32

Анна Константиновна Миронова

Вы можете доверять информации на этой странице
Представитель организации регулярно обновляет информацию и просматривает отзывы.
Стаж 6 лет
4,3
/ 5 отзывов и 4 оценки
Услуги и цены
Консультация (прием) врача-стоматолога повторная Бесплатно
Все цены
О специалисте
Сообщить об ошибке
Профессиональный стаж:
6 лет
Должность:
Гигиенист стоматологический
Стоимость услуг:
0 - 756 000 руб.
Миронова Анна Константиновна является стоматологическим гигиенистом. Анна Миронова в том числе проводит отбеливание зубов. Ее помощь может понадобиться вам перед тем, как приступить к лечению зубов от кариеса или других недугов, а также как средство для профилактики опасных болезней десен. Основные услуги, которые предлагает Анна Миронова - это удаление зубного камня, реминерализация эмали и подбор средств гигиены.... Показать еще
Места работы врача Анны Константиновны Мироновой
Для получения дополнительной информации по стоимости услуг и записи к специалисту позвоните по номеру телефона организации
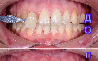
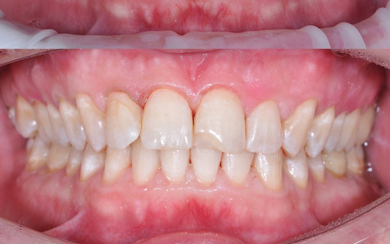
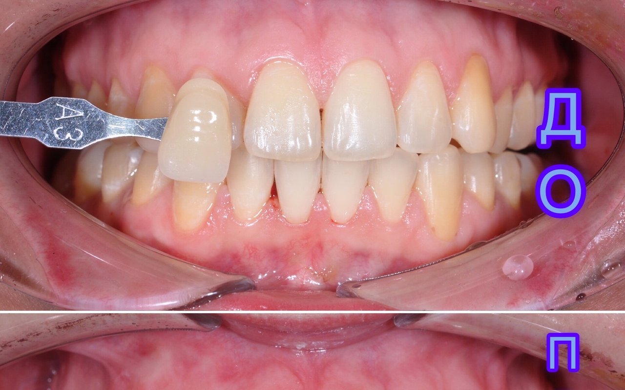
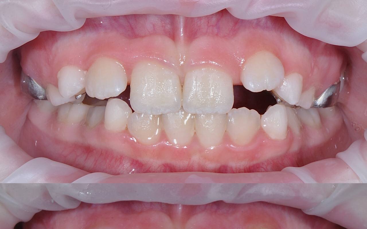
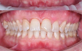
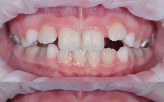
Фото работ врача Анны Константиновны Мироновой
Прайс-лист
Сортировать:
по умолчанию
по цене
Консультация (прием) врача-стоматолога повторная
Бесплатно
Прием врача-стоматолога-хирурга первичный (Осмотр, клинические фотографии, консультация, заполнение первичной медицинской документации, составление плана лечения).
1500
Прием врача-стоматолога-пародонтолога первичный (Осмотр, клинические фотографии, консультация, заполнение первичной медицинской документации, составление плана лечения).
3700
Прием врача-стоматолога-ортопеда первичный (Осмотр, клинические фотографии, консультация, заполнение первичной медицинской документации, составление плана лечения).
1500
Первичная консультация стоматолога-ортодонта до 13 лет (Осмотр, клинические фотографии, консультация, заполнение первичной медицинской документации, составление плана лечения).
2700
Первичная консультация стоматолога-ортодонта с 14 лет (Осмотр, клинические фотографии, консультация, заполнение первичной медицинской документации, составление плана лечения).
4700
Приём (осмотр, консультация) врача-ортодонта повторный.
1500
Прием (осмотр, консультация) врача-челюстно-лицевого хирурга первичный (Осмотр, клинические фотографии, консультация, заполнение первичной медицинской документации, составление плана лечения).
1500
Прием (осмотр, консультация) врача-стоматолога-терапевта первичный (Осмотр, клинические фотографии, сбор анамнеза и жалоб, (медицинское фотографирование) определение гигиенического индекса, заполнение первичной медицинской документации, составление плана лечения).
1500
Прием (осмотр, консультация) врача-стоматолога-терапевта повторный.
900
Цены, приведённые на сайте, не окончательные, не являются публичной офертой и носят информационный характер. Администрация оставляет за собой право изменять цены.
Вы можете уточнить стоимость по телефону.
Сертификаты и документы

Отзывы о враче Анне Константиновне Мироновой

Сортировать по:
  • 5,0
    Подтверждённый отзыв
    Мы приходили с ребенком к Мироновой, чтобы сделать профгигиену, и все прошло хорошо. Нас все в целом устроило: и сама процедура, и консультация врача. Анна Константиновна, к которой изначально пришли по отзывам, вовремя нас приняла и смогла наладить контакт с моей дочкой, что также немаловажно.
  • 1,0
    Не понравилось! Жаль потраченного времени!Записана была к Мироновой Анне Константиновне, но до процедуры дело не дошло. У меня вопрос: зачем Вы берете опоздавшего клиента, если знаете, что не успеете? Или хотя бы извинитесь и объясните причину задержки. Жалею, что не ознакомилась со всеми отзывами, похоже это у вас частое явление. Сделайте наконец-то вывод!
  • 5,0
    Подтверждённый отзыв
    Все замечательно! Работа специалиста, ее внимательность, были у Мироновой Анны Константиновны, по времени доктор выполнила свою работу прекрасно. Что касаемо рабочего места, комфортно, все чисто и опрятно, полный порядок.
  • 5,0
    Подтверждённый отзыв
    Мне очень нравится чистота клиники и подход докторов. Минусов не вижу, хотя я достаточно капризный пациент. Могу отметить доктора Миронову, а также приятную доктора-терапевта. Последний раз была на гигиене, а скоро приду на ортодонтические процедуры. Всё предельно устраивает.
  • 5,0
    Подтверждённый отзыв
    Делала чистку у Мироновой. Все прошло идеально! Врач дала определенные рекомендации по гигиене. Клинику люблю за качество и за обслуживание.
4,3
5 отзывов и 4 оценки
Оцените или напишите отзыв
Напишите отзыв, чтобы помочь другим пользователям с выбором.
Написать отзыв Редактировать отзыв
Отзывы с оценками
Образование
Сертификаты
  • Сертификат участника 2-х дневного курса «Доказательна пародонтология. Протоколы без суеверий». Москва 27-28 марта 2021г
  • Сертификат участника вебинара «Современная пародонтология. Мифы и реальность» 2020г
  • Сертификат участника в 2х дневном семинаре «Революция в ортодонтии – ускоренное создание непревзойденной эстетики!»
Курсы повышения квалификации
  • Курс вебинаров в количестве 2-ух часов на тему: «10 ошибок юного пародонтолога» 2020г
  • Свидетельство «Психологическое взаимодействие при оказании стоматологических услуг»
  • Свидетельство об аккредитации по специальности «Стоматология профилактическая» (2019)
Опыт и достижения
  • 2019 — "Центр Функциональной Стоматологии" гигенист стоматологический

Часто задаваемые вопросы о Мироновой Анне Константиновне

  • Как пациенты оценивают Миронову Анну Константиновну?
  • Какой рабочий стаж у Мироновой Анны Константиновны?
  • В какой области Миронова Анна Константиновна предоставляет свои услуги?
  • Во сколько Миронова Анна Константиновна оценивает свои услуги?
  • Можно ли ознакомиться с лицензиями Мироновой Анны Константиновны?
  • Где можно ознакомиться с портфолио Мироновой Анны Константиновны?
  • Можно ли увидеть фото Мироновой Анны Константиновны?
Информация предназначена для ознакомления и не заменяет квалифицированную медицинскую помощь. Проконсультируйтесь с врачом!
Средняя оценка - 4,3 на основании 5 отзывов и 4 оценок
Вверх