248

Алексей Васильевич Дежурко-Король

Вы можете доверять информации на этой странице
Представитель организации регулярно обновляет информацию и просматривает отзывы.
Стаж 12 лет
4,0
/ 24 отзыва и 50 оценок
О специалисте
Сообщить об ошибке
Профессиональный стаж:
12 лет
Дежурко-Король Алексей Васильевич является стоматологом-ортопедом. Вы можете обратиться к Алексею Дежурко-Королю, если вам нужно установить имплант или если какой-то из зубов разрушен до такой степени, что при помощи простой пломбы его не спасти. Зубы перед протезированием обязательно должны быть санированы, поэтому перед визитом к ортопеду лучше посетить стоматолога-терапевта.... Показать еще
Места работы врача Алексея Васильевича Дежурко-Короля
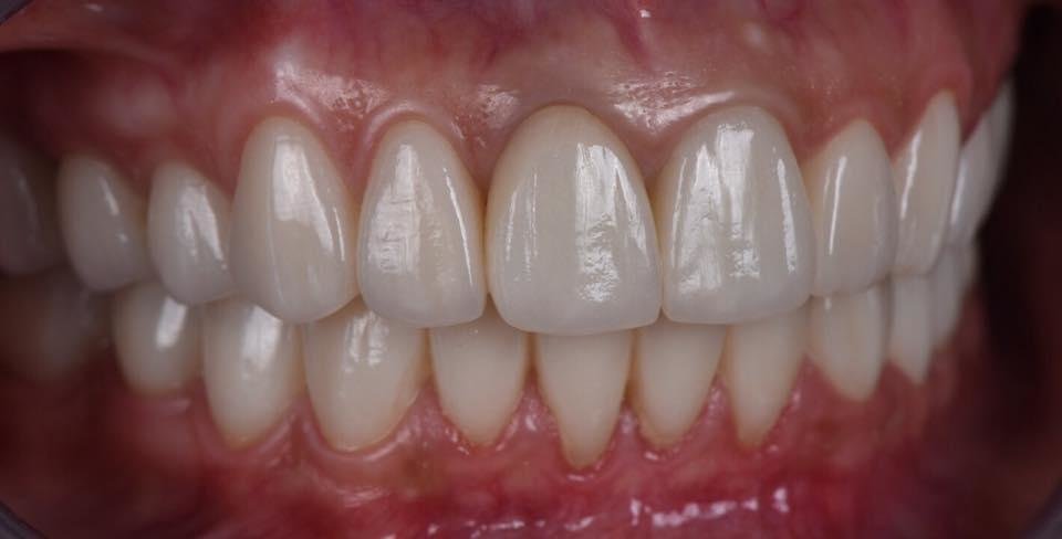
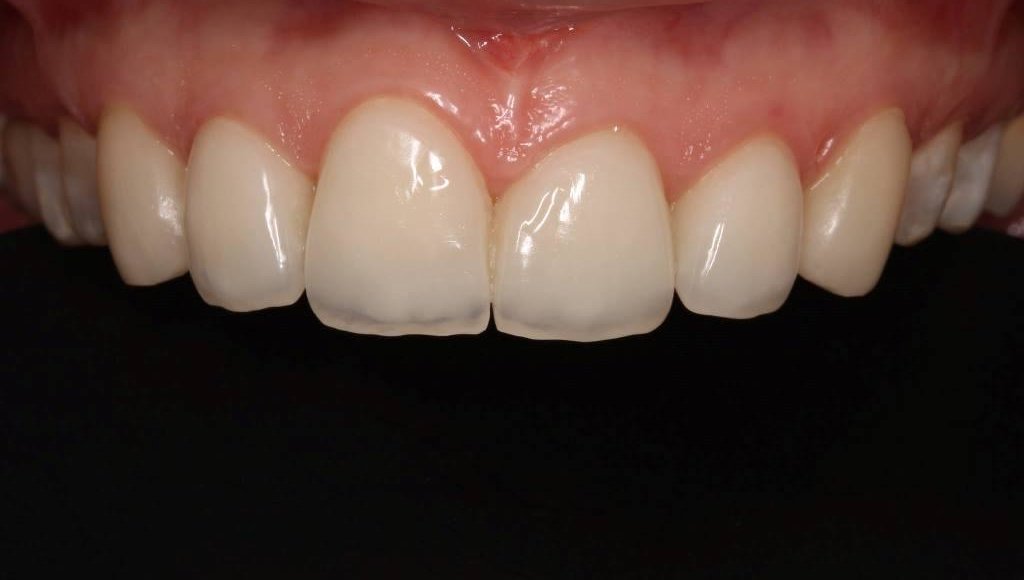
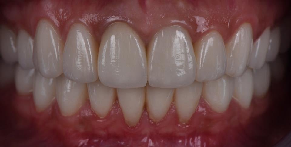
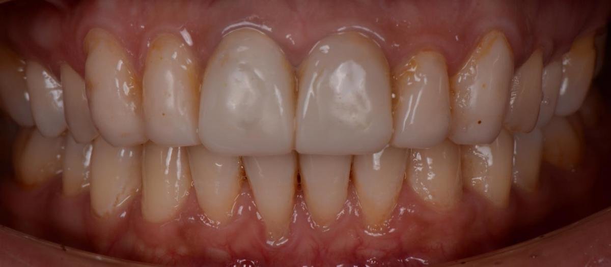
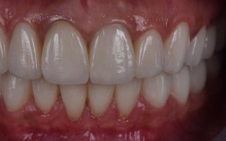
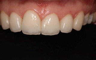
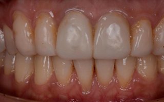
Фото работ врача Алексея Васильевича Дежурко-Короля
Сертификаты и документы

Отзывы о враче Алексее Васильевиче Дежурко-Короле

Сортировать по:
  • Алексей Васильевич и Мирамиль!

    От всего сердца благодарю вас за чудесную работу! Вы не просто выполнили стоматологические процедуры — вы подарили мне уверенность в себе и радость от новой улыбки.

    Поразила ваша слаженная работа как команды, внимание к мелочам и готовность ответить на все вопросы. Чувствовалось, что для вас важно не просто сделать работу, а сделать её идеально — с учётом моих пожеланий и особенностей.

    Спасибо за профессионализм, чуткость и доброе отношение. Теперь я знаю,
    – показать
  • 5,0
    Ставил у Алексея Васильевича три протеза на импланты. Доктор грамотный, все подробно объяснил по материалам и отличиям. Зубы получились как свои, в зубном ряду не выделяются. Доктор тщательно подточил, чтоб не мешали и не терли. Огромное спасибо за качественно проделанную работу
  • 5,0
    Алексея Васильевича мне посоветовала подруга. Мне надо было установить всего лишь один протез на имплант, но я очень переживала за его качество и внешний вид. Врач всё подробно объяснил, рассказал про материалы с которыми работает. Успокоил, что зуб будет в точности, как родной и начал снимать слепок. Всё делал очень аккуратно, видно внимательное отношение. Коронку изготовили быстро. Выглядит всё супер – я очень довольна
  • 5,0
    Ставил коронку у Алексея Васильевича. Он подробно рассказал, как будет проходить работа, какие материалы используются и как ухаживать после установки. Коронка легкая, цвет идеально совпадает с естественными зубами. Очень доволен качеством и подходом
  • 5,0
    Долго выбирала доктора по установке коронок, боялась, что опять все пойдет не так и придется переделывать. Алексея Васильевича не случайно выбрала, много хорошего слышала. На приеме доктор сначала подробно все рассказал и я ему поверила. В итоге зубы пролечены и коронки установлены. Стоят надежно даже привыкать не пришлось, настолько качественно все установлено
  • 5,0
    Спасибо за восстановление моего переднего зуба. Не удачно упала и зуб откололся, Алексей Васильевич восстановил все просто ювелирно, даже по цвету никак не отличается. Теперь могу без стеснения разговаривать и улыбаться, боли при лечении не было, рекомендовать всем могу смело
  • 5,0
    В докторе я точно не ошиблась, так как коронки он поставил шикарно, ничем не отличаются от собственных зубов. После установки даже не мешались, как будто там всегда и стояли!
  • 5,0
    Алексей Дежурко-Король настоящий профессионал в вопросах установки коронок как на свои зубы, так и на импланты. Несколько коронок на родных зубах и имплантах установлены у данного врача в разное время, самой старой уже более 2 лет, новой 4 месяца и все отлично. Визуально и по ощущениям между своими зубами и коронками разницы не ощущаю никакой, спокойно принимаю пищу, улыбаюсь без стеснения и не боюсь, что отвалится внезапно, работа выполнена качественно и на совесть
  • 5,0
    У данного врача устанавливал коронки на импланты. Сделал все естественно, а главное, что практически без боли, что во время установки, что после. По времени тоже не сильно растянуто получилось, все без спешки и желания сделать поскорее, работа с упором на качество и долгий срок службы. Сейчас все хорошо, коронки на своих местах, никакой боли и дискомфорта не испытываю, выполненным лечением, его стоимостью и сервисом остался доволен вполне
  • 5,0
    Нужно было поставить коронки, я тщательно выбирала доктора, остановилась на Алексее Васильевиче. Как-то сразу была найдена с ним связь, в том плане, что я перестала бояться всего этого процесса. Все прошло успешно, врач замечательный
  • 5,0
    Обратился к врачу по вопросам протезирования. Ничего в этом не понимал, врач все объяснил на приеме, наметил план дальнейших действий. Мое протезирование уже подходил к концу, я остался доволен, рекомендую обращаться к этому врачу
  • 5,0
    Обратилась за реставрацией отколотого переднего зуба. Врач использовал современные композитные материалы, в итоге визуально от своего зуба не отличить. Реставрация выглядит как натуральная эмаль, все красиво и комфортно
  • 5,0
    Сначала сомневалась, стоит ли ставить мост, но результат говорит сам за себя, зубы выглядят и функционируют как родные. Ни малейшего дискомфорта, все так естественно, что даже я сама иногда забываю, где коронка. Большое спасибо!
  • 5,0
    Уже дважды обращалась за помощью к Алексею Васильевичу и если понадобится еще, то приду к нему же. Первый раз ставила коронку на имплант. Сработал отлично. В идеале подобрал форму и цвет. На неделе, поставила у него еще и виниры. Эту работу тоже могу назвать замечательной. Все ровно, красиво и натурально!
  • 5,0
    Дежурко-Король Алексей Васильевич первоклассный врач и хороший человек. Устанавливал у него коронки на зубы. Работа отличная, от родных рядом стоящих зубов не отличается ни визуально, ни по форме -цвету. Крепкая и качественная работа за адекватную стоимость
  • 5,0
    Профессионально и быстро восстановил мне передний отколотый зуб. Ничем не отличается от собственного и совсем не больно было. Сейчас еще буду у него ставить коронку на другой зуб
  • 5,0
    Пришел в клинику с целью поставить мост или что посоветуют. Записали к врачу Дежурко-Король Алексею Васильевичу. Вот уж действительно профессионал своего дела! Установил мост, все прошло безболезненно. Алексей Васильевич внимательный и тактичный врач, а сама клиника имеет современное оборудование. Предстоит еще работа для завершения всего процесса, я теперь только к нему. Цены как и везде, есть гарантия на предоставляемые услуги.
  • 5,0
    Отличный специалист. Вначале консультировалась у него по вопросу реставрации, а потом уже ставила мост и коронку. Все сделал довольно аккуратно и вообще не больно. Жевательную функцию, как и эстетическую, удалось восстановить полностью. Никакого дискомфорта не ощущается. Ничего не мешает. Все хорошо. Я довольна
  • 5,0
    Скажу коротко и по делу. Специалист отличный, работает быстро, качественно и надежно. К каждому клиенту и к каждой ситуации подбирает индивидуальный подход. Уже проверено и мной, и мужем, и мамой. У всех свои проблемы и сложности, но все довольны. Смело рекомендую к посещению.
  • 5,0
    Алексей Васильевич мне очень помог! Поставил отличную коронку на сломанный зуб. Боялась, что будут удалять, но он мне помог и зуб сохранить, и денег сэкономить) Вот уже третий месяц с ней хожу и все отлично
  • 5,0
    Замечательный врач! Сходила к другому доктору, тот сказал, ставить коронку. В итоге пришла к Алексею и не зря! Сохранил зуб без всяких коронок.
    Но коронку делал на другом зубе: работа ювелирная!
    Спасибо огромное. Буду рекомендовать обязательно.
  • 5,0
    Подтверждённый отзыв
    Была на приеме у стоматолога и чистки зубов Эдуарда Альвиановича Селезнева. Приняли меня вовремя, инструменты у врача были стерильны, качеством приема и услугами я довольна. Эдуард Альвианович, зарекомендовал себя, как профессионал. Выбрала эту стоматологию по удобному местоположению, а потом поняла, что здесь работают хорошие врачи и решила остаться на лечении зубов именно здесь, хотя была возможность уйти в другую клинику. Ранее была на лечении у врача Алексея Васильевича Дежурко-Король, хоро – показать
  • У Алексея Васильевича Дежурко-Король всегда очередь- вот, что значит хороший врач! Каждый год хожу на осмотр. Лечил у него кариес, восстанавливал зубы на штифтах, удалял налет, зубной камень.
  • Несколько месяцев назад лечил двухканальный перидантит, затем ставил коронку из металокераммики. Алексей Дежурко-Король — аккуратно и професионально все сделал. В стоматологии приятная атмосфера, современное оборудование и приемлемый прайс. Спасибо большое, всем рекомендую.
4,0
24 отзыва и 50 оценок
Оцените или напишите отзыв
Напишите отзыв, чтобы помочь другим пользователям с выбором.
Написать отзыв Редактировать отзыв
Отзывы с оценками
Образование
  • Институт повышения квалификации ФМБА России. Ординатура по дисциплине «Стоматология ортопедическая». Врач-стоматолог ортопед
  • (ПМГМУ) Первый Московский Государственный Медицинский Университет им. И.М. Сеченова, интернатура. Врач-стоматолог общей практики. (ИПК ФМБА)
  • (МГМСУ) Московский Государственный Медико-Стоматологический Университет им. А.И. Евдокимова. Врач
Курсы повышения квалификации
  • 2016 — Фундаментальные принципы реставрации зубов ортопедическими конструкциями. Достижение эстетических и функциональных результатов. IDC, Рыбалка Е.Н
  • 2016 — Внедрение современных цифровых технологий в стоматологическую практику. Мегастом, Бедердинов Д.А
  • 2016 — Получение высокоточных прогнозируемых оттисков. IDC, Рыбалка Евгений Николаевич
  • 2016 — Цельнокерамические реставрации — вчера, сегодня, завтра. voclar Vivadent, Князев И.Ю
  • 2017 — Критерии успеха планирования и выполнения фиксированного протезирования на имплантатах в комплексном стоматологическом лечении. IDC, Рами Балабановский
  • 2017 — Планирование , и способы реабилитации пациентов при полном отсутствии зубов. Медикал Консалтинг Групп, Цацкис Б.А., Кобзева С.А
  • 2017 — Протезирование полными съёмными протезами в сложных клинических случаях. СтомПорт, Рыбалка Е.Н
  • 2017 — Применение концепции GNM в реабилитации пациентов с проблемами окклюзии. Altracore Biomedical, Криворотов Антон
  • 2018 — Подробный ортопедический протокол: планирование, препарирование, провизорные реставрации, ретракция, оттиски, адгезивная фиксация. Helios, Олексик А.А
  • 2018 — Протезирование на имплантатах. Протезирование в эстетически значимой зоне. Изготовление временных конструкций при удалении зубов и одномоментной имплантации. Мегастом, Бирюков Р.Ю
  • 2019 — Протезирование на имплантатах. От диагностики и планирования тотальной протетики на имплантатах до 3D воплощения. Helios, Будовский А.И
  • 2019 — Микропротезирование. Практический курс по реконструкции зубов верхнего и нижнего зубного ряда с помощью адгезивных микропротезов. Виниры, вкладки. УЦ Антона Ветчинкина, Михайлович Р.Б
Опыт и достижения
  • Преподаватель стоматологического учебного центра «БиоСан»

Часто задаваемые вопросы о Дежурко-Короле Алексее Васильевиче

  • Какова оценка Дежурко-Короля Алексея Васильевича на Zoon.ru?
  • Как давно Дежурко-Король Алексей Васильевич трудится по специальности?
  • В какой области специализируется Дежурко-Король Алексей Васильевич?
  • Можно ли ознакомиться с сертификатами Дежурко-Короля Алексея Васильевича?
  • Можно ли ознакомиться с выполненными работами Дежурко-Короля Алексея Васильевича?
  • Где я могу увидеть фотографии Дежурко-Короля Алексея Васильевича?
Информация предназначена для ознакомления и не заменяет квалифицированную медицинскую помощь. Проконсультируйтесь с врачом!
Средняя оценка - 4,0 на основании 24 отзывов и 50 оценок
Вверх