26 место из 236 в рубрике КТ ребенку

Стоматологическая клиника Белая Магия

/ 1382 оценки
Закроется в 21:00
Вы владелец?
Маршрут
Описание

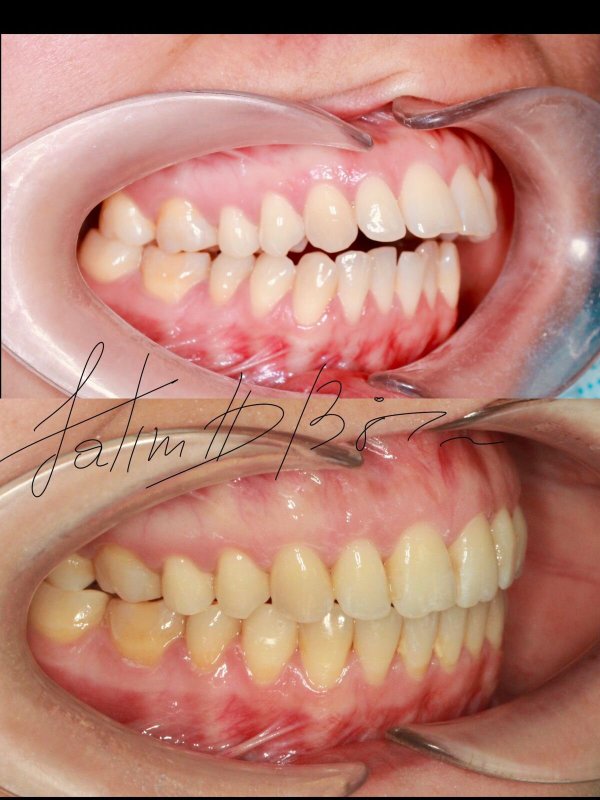
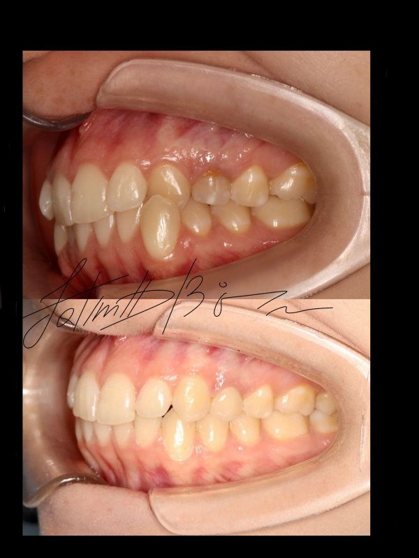
Стоматологическая клиника «Белая Магия» — одно из лучших медицинских учреждений Москвы по диагностике и лечению болезней зубов и полости рта. Сюда приходят те, у кого подошло время очередного осмотра, и те, кто уже не в состоянии терпеть зубную боль (последних дантист постарается принять как можно раньше). Специалисты лечат кариес и предлагают ряд других процедур, имеющих отношение к базовой стоматологии, а еще оказывают неотложную стоматологическую помощь. А тем, кто недоволен своим прикусом, местные ортодонты могут его исправить, установив брекет-систему. Индивидуально подобранная конструкция избавит от неправильного смыкания челюстей, щели между зубами, наложения зубов друг на друга и позволит вам перестать стесняться улыбки. Лечения нет смысла бояться: манипуляции, которые могут причинить боль или дискомфорт, тут производятся под анестезией, а вероятность заражения полностью исключается благодаря строгому контролю стерильности инструментов и материалов.

Главное в клинике — это, естественно, талантливые врачи. А что лучше говорит об их компетенции, чем богатый опыт? Вартан Карленович Мовсисян, Айказ Арамович Казарян — эти специалисты более 20 лет помогают избавляться от разных заболеваний. Именно поэтому им так доверяют пациенты!

Адрес
Метро:
до м. Дмитровская — 0.5 км
Проложить маршрут
Время работы
Пн-вс: 08:30—21:00
Информация
Юридическое название: ООО "Белая Магия"
Сертификаты и документы
Вы владелец?
  • Получить доступ
  • Получить виджет
  • Сообщить об ошибке
Рейтинги
Рейтинги считаются еженедельно на основе отзывов и оценок пользователей.
Мы используем Байесовскую формулу для наиболее точного расчета позиций в сортировке Лучших.
26 место из 236
КТ ребенку
27 место из 284
Бесплатная стоматология
48 место из 226
Зубные импланты Имплантиум

Специалисты стоматологической клиники Белая Магия

Показать еще

Общее мнение пользователей на основе 301 отзыва

Стоматологическая клиника Белая Магия предлагает широкий спектр услуг — лечение кариеса, протезирование, импланты, ортодонтия и детская стоматология. Пользователи отмечают современное оборудование, профессионализм врачей и доброжелательную атмосферу. Врачи находят подход к каждому, обеспечивая безболезненное и качественное лечение, что делает визиты комфортными. Клиника славится аккуратностью, стерильностью и вниманием к деталям. Многие пациенты ценят скорость обслуживания, высокий уровень сервиса и добросовестное отношение персонала. Отличная локация и приятная обстановка создают дов доверие клиентов, которые с удовольствием возвращаются за дальнейшими процедурами и рекомендуют клинику своим близким.
Основные положительные моменты, отмеченные пользователями
Квалифицированные врачи
Современное оборудование
Доброжелательная атмосфера
Высокое качество услуг
Чистота и стерильность

Отзывы о стоматологической клинике Белая Магия

Сортировать по:
  • 5,0
    Достоинства:
    Приятная клиника и очень комфортная атмосфера.
    Все сотрудники на ресепшене отзывчивые, всегда помогут надеть бахилы.
    Казарян Айказ Абрамович, прекрасно проконсультировал и ответил на все вопросы.Лечить будет только в «Белой Магии».
  • 5,0
    Достоинства:
    Есть профессионалы своего дела
    Комментарий:
    Спасибо клирику «Белой Магии» за бережный подход и внимательное отношение.
  • 5,0
    Достоинства:
    Все нравится, отличный персонал, высококвалифицированные врачи- грамотно подбирают план лечения и учитывают все твои пожелания!
    В целом, всем довольна и могу смело порекомендовать всем данную клинику
    Недостатки:
    Нет
  • 5,0
    Достоинства:
    Любимая семейная клиника. Приходим лечится и всегда остаёмся довольными. Абсолютно каждый доктор — профессионал. На ресепшене администраторы всегда отзывчивы, быстро отвечают на сообщения.
    Клиника в принципе очень нравится, всем рекомендую
    Недостатки:
    Всё отлично
  • 5,0
    Достоинства:
    Посещаем клинику всей семьёй. Очень нравится сама клиника, то, как приветствует администраторы, их клиентоориентированность. Доктора мастера своего дела, профессионалы с большой буквы!
    Рекомендуем однозначно для посещения и лечения
    Недостатки:
    Всё прекрасно
4,8
301 отзыв и 1382 оценки
Оцените или напишите отзыв
Напишите отзыв, чтобы помочь другим пользователям с выбором.
Написать отзыв Редактировать отзыв
Отзывы с оценками

Вопросы о стоматологической клинике Белая Магия

Вы можете задать вопрос об услугах
Вам ответит специалист или представитель организации.
Когда поступит ответ, мы пришлем вам уведомление на почту.
Правила модерации вопросов
Вопросов пока нет — ваш может стать первым
Задайте свой вопрос представителю организации с помощью формы выше

Часто задаваемые вопросы о стоматологической клинике Белая Магия

  • Где можно найти стоматологическую клинику Белая Магия?
  • Как связаться с стоматологической клиникой Белая Магия?
  • В каком графике работает стоматологическая клиника Белая Магия?
  • Как клиенты стоматологической клиники Белая Магия оценивают свои впечатления на сайте Zoon.ru?
  • Есть ли возможность ознакомиться со списком услуг в этом заведении?
  • Где найти список врачей, работающих в стоматологической клинике Белая Магия, ознакомиться с их анкетами?
  • За какими стоматологическими услугами можно обратиться в стоматологическую клинику Белая Магия?
  • Насколько достоверна информация, размещённая на странице стоматологической клиники Белая Магия на Zoon.ru?
Информация предназначена для ознакомления и не заменяет квалифицированную медицинскую помощь. Проконсультируйтесь с врачом!
Средняя оценка - 4,8 на основании 301 отзыва и 1382 оценок
Записаться на приём в стоматологическую клинику Белая Магия по телефону: +7 (968) 590-43-56.
Вверх