12

Магомедгаджи Асадулаевич Дибиргаджиев

Вы можете доверять информации на этой странице
Представитель организации регулярно обновляет информацию и просматривает отзывы.
Стаж 12 лет Высшая категория
1,0
/ 5 оценок
О специалисте
Сообщить об ошибке
Профессиональный стаж:
12 лет
Должность:
Стоматолог
Дибиргаджиев Магомедгаджи Асадулаевич является ортодонтом. Магомедгаджи Дибиргаджиев в том числе занимается изготовлением спортивных зубных капп, а также устанавливает брекеты. Думая о посещении стоматолога-ортодонта, следует помнить, что неправильный прикус представляет из себя не только эстетический дефект. Зубочелюстные деформации влияют на работу мышц шеи, строение позвоночника и даже на осанку. Ортодонтическая терапия занимает много времени, но это всякий раз является существенной инвестицией в качество жизни и здоровье.
Магомедгаджи Дибиргаджиев является врачом высшей категории.
... Показать еще
Места работы врача Магомедгаджи Асадулаевича Дибиргаджиева
Для получения дополнительной информации по стоимости услуг и записи к специалисту позвоните по номеру телефона организации
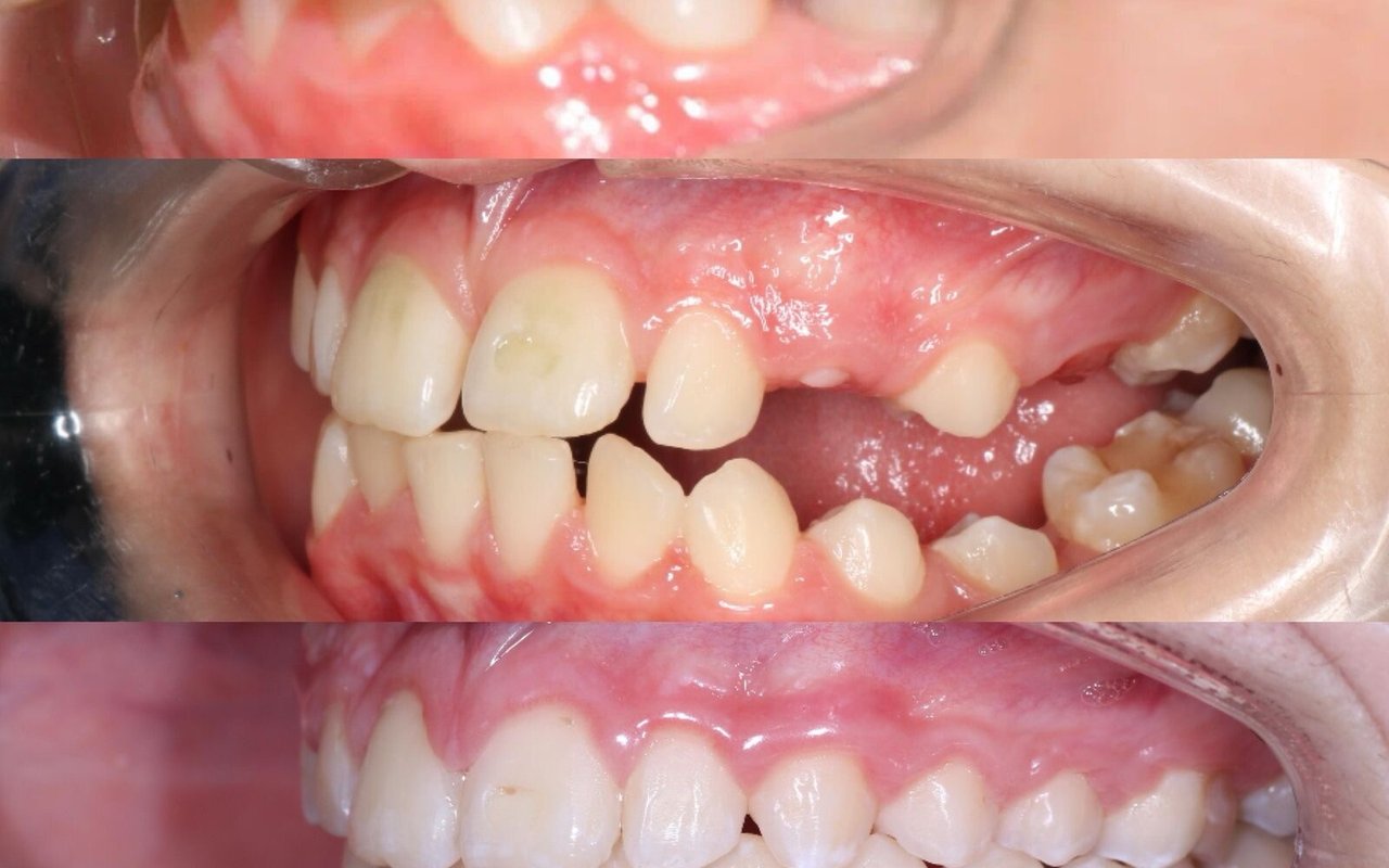
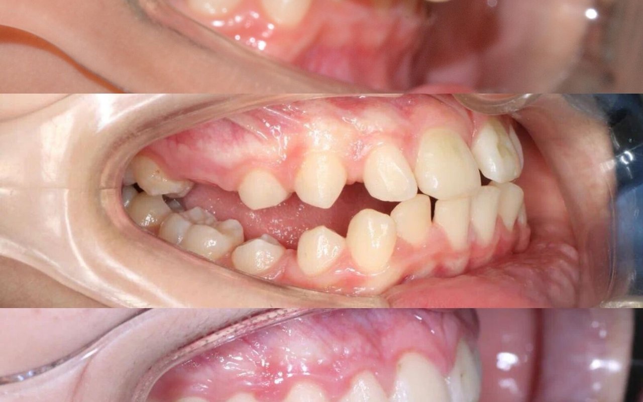
Фото работ врача Магомедгаджи Асадулаевича Дибиргаджиева

Отзывы о враче Магомедгаджи Асадулаевиче Дибиргаджиеве

Отзывов пока нет — ваш может стать первым
Поделитесь мнением и помогите другим определиться с выбором.
1,0
0 отзывов и 5 оценок
Оцените или напишите отзыв
Напишите отзыв, чтобы помочь другим пользователям с выбором.
Написать отзыв Редактировать отзыв

Часто задаваемые вопросы о Дибиргаджиеве Магомедгаджи Асадулаевиче

  • Какова оценка Дибиргаджиева Магомедгаджи Асадулаевича на Zoon.ru?
  • Какой рабочий стаж у Дибиргаджиева Магомедгаджи Асадулаевича?
  • На чем специализируется Дибиргаджиев Магомедгаджи Асадулаевич?
  • Можно ли ознакомиться с выполненными работами Дибиргаджиева Магомедгаджи Асадулаевича?
  • Где можно увидеть фотографии Дибиргаджиева Магомедгаджи Асадулаевича?
Информация предназначена для ознакомления и не заменяет квалифицированную медицинскую помощь. Проконсультируйтесь с врачом!
Средняя оценка - 1,0 на основании 5 оценок
Вверх