Официальная группа Вконтакте стоматологии Мастерская улыбок доктора Лугуева
Мастерская-Улыбок Доктора-Лугуева25 октября 2019 в 12:23
Сегодня врачи @m.ulybok осмотрели деток с 2 до 6 лет из детского сада @kids_avenue_05. Результаты заставили задуматься о написании этого поста. Дело в том, что детей с полностью здоровой или санированной полостью рта выявлено всего 30% , в остальных случаях родители предпочитают не «заморачиваться» лечением молочных зубов, аргументируя это тем, что зубы все равно временные, скоро выпадут – затем вырастут новенькие и красивые.. И это в корне НЕВЕРНО. Итак, чем может грозить нелеченый молочный зуб?. 1. Инфицирование… — Читать дальше
зачатка постоянного зуба.. Да, да, не удивляйтесь, постоянный зуб может прорезаться уже с кариесом, либо не прорезаться вовсе, если кариес молочного зуба осложнился. . 2. Формирование неправильного прикуса. В случаях, когда коронки сильно разрушены и не участвуют в процессе жевания, правильное расположение зубов нарушается.... . 3. Болезни височно-нижнечелюстного сустава тоже могут в скором времени дать о себе знать головной болью… . 4. Ну и напоследок – это осложненный кариес молочного зуба , который легко перетекает в пульпиты и периодонтиты с образованием гнойного экссудата (как его называют в народе «флюса») ________________________________________________ Чтобы сохранить вашим детям здоровую улыбку на всю жизнь, ей НЕОБХОДИМО заниматься уже с первого прорезывания зубов. Не забывайте о профессиональной гигиене полости рта два раза в год для ребенка и для себя, лечите зубы своевременно – это позволит вам избежать множества проблем в будущем и существенно сэкономить на сложном и недешевом лечении. Профгигиена детям :.. . Тел.:. . Проф гигиена: от 3 до 5 лет — 800₽. .
Мастерская-Улыбок Доктора-Лугуева8 июля 2019 в 20:33
Реставрация передних зубов. В случае с фронтальной группой зубов данную потерю тканей необходимо всегда по возможности минимизировать, чтобы достичь максимального сохранения здоровых тканей зуба ️, а значит, и естественной эстетики. . Врач: Лугуев Арслан . ул.Абубакарова 98 (Чернышевского). Тел. для записи: ️
Развернуть
Мастерская-Улыбок Доктора-Лугуева1 июля 2019 в 20:07
Сроки всегда устанавливает врач. ️ Всё индивидуально и зависит от возраста пациента, выбранной модели, точности установки и качества ухода. Например, взрослые носят брекет-систему в разы дольше, чем дети ️. В среднем коррекция положения зубов длится около 20 месяцев. При незначительном дефекте срок уменьшается до 1 года, при сильно выраженном — увеличивается до 2,5 — 3 лет. Первые результаты видны через 3 — 4 месяца. #
Развернуть
Мастерская-Улыбок Доктора-Лугуева26 июня 2019 в 11:03
Летний комплимент от Мастерской улыбок Dr.Lugueva. . Акция! Металлокерамическая коронка всего за 3️⃣5️⃣0️⃣0️⃣руб. (вместо 4900руб.) . Акция продлится с 25 июня по 31 августа (включительно)..
Развернуть
Мастерская-Улыбок Доктора-Лугуева13 июня 2019 в 16:07
А у нас тем временем маленькая операция ️. Врач: Магомедов Раджаб Ассистент: Абакарова Амина
Мастерская-Улыбок Доктора-Лугуева9 июня 2019 в 14:01
Люблю лечение по сегментам! Сразу все анестезировали, изолировали,вылечили и можно радоваться жизни . Работа врача: Лугуева Арслана. . Запись по тел.: ️ #
Мастерская-Улыбок Доктора-Лугуева19 мая 2019 в 14:39
️Лето — самое лучшее время для белоснежной улыбки. . Не забываем про акцию, каждую Пятницу и Воскресенье отбеливание 4900руб. . Врач: Аскерхан Мирзиханович ⠀
Развернуть
Мастерская-Улыбок Доктора-Лугуева17 мая 2019 в 12:35
Реставрация зубов. Не правда ли красивая работа?!. Хотите такие же красивые зубы, тогда ждём Вас ️. . Работа врача: Лугуева Арслана
Развернуть
Мастерская-Улыбок Доктора-Лугуева15 мая 2019 в 10:42
В Месяц Рамадан, наша клиника сделала для вас скидки: 15% скидка на имплантацию зубов. Ждём Вас у нас ________________________ Записаться на консультацию и приём можно по телефонам:
WhatsApp ️ Адрес: г. Махачкала, ул. Абубакарова (Чернышевского), 98 #
Развернуть
Мастерская-Улыбок Доктора-Лугуева15 мая 2019 в 10:39
В Месяц Рамадан, наша клиника сделала для вас скидки: 20% на лечение зубов. Ждём Вас у нас ________________________ Записаться на консультацию и приём можно по телефонам:
WhatsApp ️ Адрес: г. Махачкала, ул. Абубакарова (Чернышевского), 98 #
Развернуть
Мастерская-Улыбок Доктора-Лугуева14 мая 2019 в 22:24
Имплантация — самый лучший способ восстановления утраченных зубов: зуб на имплантате — это полноценный зуб, который позволяет без труда пережевывать пищу. срок службы — десятки лет, а приживаемость имплантата — 98—99%. не нужно обтачивать соседние зубы, как для установки мостовидного протеза. ⠀ • Десятилетняя гарантия на имплантацию; • Бесплатная консультация хирурга; • А так же участвуйте нашей новогодней лотереи ⠀ Записаться на БЕСПЛАТНУЮ консультацию ️
Развернуть
Мастерская-Улыбок Доктора-Лугуева10 мая 2019 в 14:26
Коронки E.max press. Цвет А2/А1. . Работа врача: Лугуева Арслана
Развернуть
Мастерская-Улыбок Доктора-Лугуева7 мая 2019 в 14:53
Наш дружный коллектив требуется Медсестра ️ ️. Не переживайте никого не уволили #
Развернуть
Мастерская-Улыбок Доктора-Лугуева7 мая 2019 в 14:52
Не забываем про лайк ️ ・・・ Коронки из диоксида циркония. Цвет А1. Работа врача: Лугуева Арслана ________________________________________________ Запись на бесплатную консультацию по Тел. ️:
Развернуть
Мастерская-Улыбок Доктора-Лугуева30 апреля 2019 в 23:20
Всем приятных выходных . С праздником Весны и Труда
Развернуть
Мастерская-Улыбок Доктора-Лугуева21 апреля 2019 в 17:23
Доброго дня, не забываем ставить лайк все таки мы старались. . Реставрация зубов, а 26 ждёт коронации! . Работа врача: Аскерхана Мирзихановича #
Развернуть
Мастерская-Улыбок Доктора-Лугуева18 апреля 2019 в 17:24
Реставрация жевательных зубов. Люблю когда зубам придают естественную анатомическую форму,это очень важно для здоровья ваших зубов и прикуса ️. . Работа врача: Аскерхана Мирзихановича
Развернуть
Мастерская-Улыбок Доктора-Лугуева15 апреля 2019 в 12:08
Внимание‼️ ️Очень долго думала, стоит выкладывать этот пост или нет и все-таки решила! Вы не приходите на прием или отменяете визит в последнюю минуту. ️Да, бывают разные ситуации, но если вы пропускаете прием из-за того, что решили сходить к парикмахеру, это просто неуважение к вашему доктору не только мы теряем два часа, которые были запланированы под вас ⏰, но еще страдает пациент, который мог бы и хотел прийти на прием в ваше время ️.. ⏰И еще добавим, если ваш визит был назначен на самое раннее время, а вы опоздали, то доктор цел… — Читать дальше
ый день будет опаздывать к каждому по следующему пациенту. Будьте добры относитесь с уважением к докторам ️
Развернуть
Мастерская-Улыбок Доктора-Лугуева13 апреля 2019 в 15:35
С вас лайк ️. . Листаем фото в карусели. . Позвонила к нам как-то в клинику пациентка, и говорит я к вам на консультацию а так же хочу спасти свой зубик, но спасать было уже нечего, зуб был сильно разрушен, и его пришлось удалять. Поэтому не затягивает с зубами и приходите вовремя их лечить! А пациента мы будем готовить к следующему этапу лечения ️ . Работа врача: Аскерхана Мирзихановича
Развернуть
Мастерская-Улыбок Доктора-Лугуева13 апреля 2019 в 15:34
С вас лайк ️. . Листаем фото в карусели. . Позвонила к нам как-то в клинику пациентка, и говорит я к вам на консультацию а так же хочу спасти свой зубик, но спасать было уже нечего, зуб был сильно разрушен, и его пришлось удалять. Поэтому не затягивает с зубами и приходите вовремя их лечить! А пациента мы будем готовить к следующему этапу лечения ️ . Работа врача: Аскерхана Мирзихановича
Развернуть
Мастерская-Улыбок Доктора-Лугуева8 апреля 2019 в 23:42
С вас лайк ️. . Это все что осталось за кадром. . Всегда улыбайтесь вместе с нами, а мы вам обещаем красивую улыбку.
Мастерская-Улыбок Доктора-Лугуева8 апреля 2019 в 22:57
Не забываем ставить лайк ️. Вы так же радуйтесь Винирам как наш доктор Аскерхан?! И часто бывает такое что вам могут испортить ваш сон?. Главное не сдаваться и идти к своей мечте. Были ли у вас сны которые вам запомнились и ваш сон оказался не просто сном?
Мастерская-Улыбок Доктора-Лугуева4 апреля 2019 в 15:29
Художественная реставрация зубов похожа на архитектуру ️. Прежде чем возвести в полости рта пациента новое прекрасное сооружение, стоматолог должен произвести точный расчет работы Работа врача: Лугуева Арслана
Мастерская-Улыбок Доктора-Лугуева30 марта 2019 в 19:28
Немного юмора вам в ленту #
Мастерская-Улыбок Доктора-Лугуева24 марта 2019 в 12:46
Реставрация зуба ️. Рубрика «До» и «После» Работа врача: Лугуева Арслана
Мастерская-Улыбок Доктора-Лугуева20 марта 2019 в 22:59
Установка металлокерамических коронок на имплантах OSSTEM. Работа врача: Лугуева Арслана
Развернуть
Мастерская-Улыбок Доктора-Лугуева7 марта 2019 в 11:49
Читать всем ‼️ Repost anvar.doc ・・・ Часто обращаются ко мне с гнойными заболеваниями детей в запущенном состоянии. На вопрос о том почему обратились так поздно? Часто говорят что мешала работа, соседи домашний скот,муж)) или тетя Шура сказала что само пройдет. Винят всех кроме себя. Хотя все это можно было бы предотвратить при своеврменной профилактике у стоматолога, как минимум не доводя процесс до операции. И ограничиться лишь лечением зуба или вскрытием зубного канала. Но к сожалению из-за пренебрежения профилактикой пациенты обращаются уже… — Читать дальше
с флегмоной, остеомиелитом и тд. . В комментах отметьте тех стоматологов, которым вы доверяете здоровье зубиков ваших детей.
Развернуть
Мастерская-Улыбок Доктора-Лугуева19 февраля 2019 в 12:54
Ну что покажу немного как проходят съемки роликов, и что это не совсем легко как кажется ️. Оно могут испортить мне иногда ролик смехом, взглядом или жестами ненужными или вообще запрыгнуть в экран. Но я люблю свой коллектив, они все такие разные но родные ️ ️
Мастерская-Улыбок Доктора-Лугуева19 февраля 2019 в 12:49
Восстановление анатомической формы зубов и восстановление культи под коронку Работа врача: Аскерхана Мирзахановича
Развернуть
Мастерская-Улыбок Доктора-Лугуева17 февраля 2019 в 12:37
Всем доброго дня ️ А мы работаем в обычном режиме
Мастерская-Улыбок Доктора-Лугуева4 февраля 2019 в 13:55
. Покажем частично процесс установки имплантатов, поверьте это на много легче удаления ️.. Работа врача: Лугуева Арслана
Мастерская-Улыбок Доктора-Лугуева2 февраля 2019 в 19:23
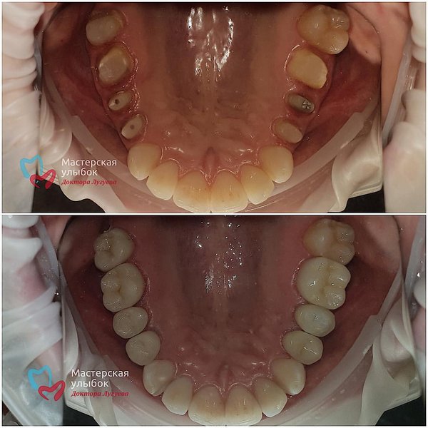
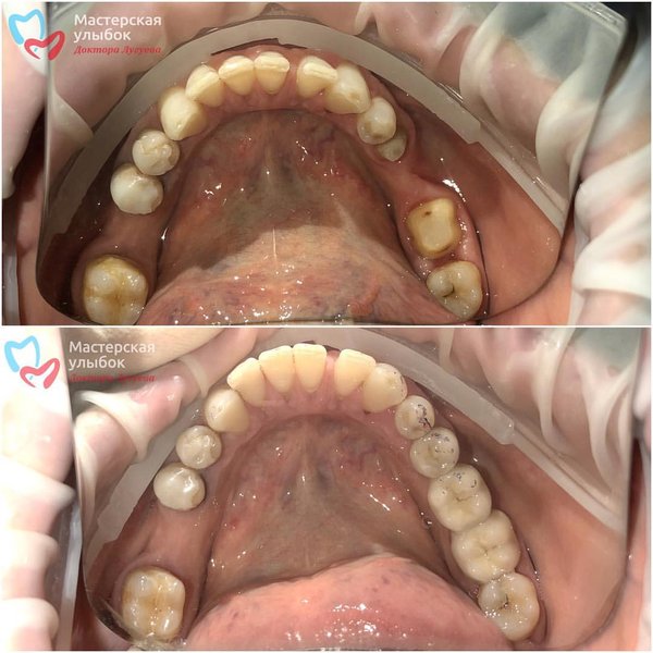
Всем добрый вечер а вот ещё одна работа в нашу копилку ️ Металлокерамические коронки на своих зубах и на имплантатах Osstem.. Работа врача: Лугуева Арслана
Развернуть
Мастерская-Улыбок Доктора-Лугуева18 января 2019 в 12:50
Замена старых пломб на новые реставрации. Работа врача: Азадова Аскерхана
Развернуть
Мастерская-Улыбок Доктора-Лугуева18 января 2019 в 12:44
Замена старых пломб на новые реставрации. Работа врача: Азадова Аскерхана
Развернуть
Мастерская-Улыбок Доктора-Лугуева17 января 2019 в 20:43
Ещё одна работа в нашу копилочку ️. С вас Лайк ️. Металлокерамические коронки + бюгельный протез на кламерах. Работа врача: Лугуева Арслана
Развернуть
Мастерская-Улыбок Доктора-Лугуева11 января 2019 в 22:04
Установка имплантата. Работа врача: Лугуева Арслана
Развернуть
Мастерская-Улыбок Доктора-Лугуева10 января 2019 в 16:44
Хирург-имплантолог-ортопед ️Лугуев Арслан
Развернуть
Мастерская-Улыбок Доктора-Лугуева10 января 2019 в 16:41
Наш прекрасный Семейный стоматолог ️ ️Магдиева Нателла Врач-терапевт, детский приём ️
Развернуть
Мастерская-Улыбок Доктора-Лугуева10 января 2019 в 16:32
А это наш доктор Аскерхан Мирзаханович ️ Врач-терапевт-хирург
Развернуть
Мастерская-Улыбок Доктора-Лугуева10 января 2019 в 15:57
Наша очаровательная доктор Хабиба Абачараева ️ ️. Врач-терапевт
Развернуть
Мастерская-Улыбок Доктора-Лугуева10 января 2019 в 14:41
E.max press, прессованная керамика. Работа врача :Лугуева Арслана
Развернуть
Мастерская-Улыбок Доктора-Лугуева1 января 2019 в 12:39
Уважаемые наши пациенты, желаем вам здорового, счастливого и мирного года с вашими родными и близкими ️ С Наилучшими пожеланиями ️ «Мастерская улыбок» ️
Развернуть
Мастерская-Улыбок Доктора-Лугуева18 декабря 2018 в 15:56
Условно-временная реставрация ️. В будущем коронка Врач: Арслан Абакарович
Развернуть
Мастерская-Улыбок Доктора-Лугуева18 декабря 2018 в 15:56
Условно-временная реставрация ️. В будущем коронка Врач: Арслан Абакарович
Развернуть
Мастерская-Улыбок Доктора-Лугуева18 декабря 2018 в 15:51
Наш дружный коллектив требуется Медсестра ️ ️. Не переживайте никого не уволили #
Развернуть
Мастерская-Улыбок Доктора-Лугуева8 декабря 2018 в 21:07
Фиксация цельнокерамической коронки E.max press . Работа врача: Лугуева Арслана
Мастерская-Улыбок Доктора-Лугуева8 декабря 2018 в 20:35
Небольшой совет по поводу боли. Каждый, у кого хоть раз была пульпитная боль, может сразу определить её. Но в этой заметке речь пойдёт про то, что часто путают со скрытым кариесом, или же с обострением у давно пролеченного зуба. Небольшая пульсирующая боль без каких-либо внешних признаков может обуславливаться воспалением десны и зубным камнем в этой области. Если у вас есть подозрение на такую боль, то, с одной стороны, надо радоваться, что не придётся лечить зубы; а с другой — необходимо всё же появиться у стоматолога для точной диагностик… — Читать дальше
и и профессиональной гигиены, так как иным образом зубной камень убрать не удастся. Все ведь знают, что профессиональная чистка зубов должна проводиться раз в полгода? Не забывайте об этом‼️
Развернуть
Мастерская-Улыбок Доктора-Лугуева2 декабря 2018 в 22:31
Установка имплантата ️ Работа врача : dr.luguev. Завтра вечером вас ждёт приятный новогодний сюрприз!!!
Мастерская-Улыбок Доктора-Лугуева24 ноября 2018 в 17:44
При пересадке кости часть кости удаляется из другой части челюсти или тела и делают пересадку. А есть другой вариант состоит в том, чтобы использовать искусственную кость (кости на коммерческой основе) для того, мы могли установить имплантат. Это может занят несколько месяцев а потом мы можем спокойно устанавливать имплантат.э
Мастерская-Улыбок Доктора-Лугуева23 ноября 2018 в 17:44
Снятие коронок+удаление ⠀⠀⠀⠀⠀⠀⠀⠀⠀⠀⠀⠀⠀⠀⠀⠀⠀⠀⠀⠀⠀⠀⠀⠀⠀⠀⠀⠀⠀Уважаемые пациенты‼️ По всем вопросам о сроках, стоимости и методах лечения обращайтесь по тел.: ️ Lugueva
Развернуть
Мастерская-Улыбок Доктора-Лугуева23 ноября 2018 в 10:54
Воскресенье рабочий день
Развернуть
Мастерская-Улыбок Доктора-Лугуева23 ноября 2018 в 10:52
Воскресенье рабочий день
Развернуть
Мастерская-Улыбок Доктора-Лугуева22 ноября 2018 в 18:28
Металлокерамика Работа врача: Лугуева Арслана #
Развернуть
Мастерская-Улыбок Доктора-Лугуева22 ноября 2018 в 17:05
Устранили имплантаты И коронки Работа врача: Лугуева Арслана #
Развернуть
Мастерская-Улыбок Доктора-Лугуева22 ноября 2018 в 16:59
В каких случаях виниры притягивают внимания больше, чем вам бы этого хотелось? Когда они не имеют текстуры и выглядят слишком объемно Если вы выбираете самый белый оттенок по шкале. Если в первом варианте это дело рук халатного стоматолога, то во втором — исключительно ваш выбор. Кому мы рекомендуем белые виниры? Медийным личностям, чей вид на сцене или экране часто зависит от игры света. Если вы ставите керамику для «себя», не стоит слишком «отбеливать» новые зубы. Естественный оттенок на 3—5 тонов светлее родного — идеальный вариант.… — Читать дальше
То же самое относится к случаю, когда вы хотите уставить виниры только на несколько зубов. ▫️▫️▫️ Записывайтесь на консультацию +7(988) 291–11–30 Пн-Сб: 9:00—20:00 Вс: 9:00—18:00
Развернуть
Мастерская-Улыбок Доктора-Лугуева22 ноября 2018 в 16:55
Установили имплантаты Работа врача: Лугуева Арслана #
Развернуть
Мастерская-Улыбок Доктора-Лугуева15 ноября 2018 в 20:55
Наш веселый коллектив
Мастерская-Улыбок Доктора-Лугуева11 ноября 2018 в 23:28
Вот так ️сегодня весело и очень дружно мы провели трёхлетие нашей клиники ️. Было столько эмоций, веселья ️. Отдельное спасибо restaurant_gambit за тёплый приём и обслуживание, особенно Диане, которая постоянно улыбалась и радовала нас ️ ️. Мы можем смело назвать это то заведение куда вы придёте и всем останетесь довольны ️. А отдельное спасибо за вкусный и шикарный тортик нашей vipechka_xalal, все дни рождения только с твоими тортами ️ ️ #
Мастерская-Улыбок Доктора-Лугуева9 ноября 2018 в 20:58
Наш дружный коллектив требуется Медсестра ️ ️. #
Развернуть
Мастерская-Улыбок Доктора-Лугуева9 ноября 2018 в 19:24
Наш дружный коллектив требуется Медсестра ️ ️. #
Развернуть
Мастерская-Улыбок Доктора-Лугуева9 ноября 2018 в 19:20
Немного о сегодняшней имплантации. #
Мастерская-Улыбок Доктора-Лугуева6 ноября 2018 в 18:45
Все проще, чем кажется . Поэтапно: ️Удаляем твердые зубные отложения с зубов (камни) = получаем здоровые дёсны, пародонт и все его составляющие ⏩ отсутствие рецессий десны, оголения корней, подвижности зубов ️Убираем пигментированный налет с зубов (от употребления чая, кофе, других красящих продуктов) = здоровая эмаль и все подлежащие ткани ⏩ отсутствие кариеса и его осложнений (а их немало) ️Полируем и насыщаем средствами для защиты от кариеса = что говорит само за себя . И все это по цене одного кариеса! . Проще и выгоднее, чем по… — Читать дальше
том пожинать плоды многолетних бойкотирований посещения кабинета стоматолога . Работа врача Азадова Аскерхана По всем интересующим вопросам жду в директ Или ватс ап в шапке профиля.
Развернуть
Мастерская-Улыбок Доктора-Лугуева6 ноября 2018 в 14:25
Немного осеннего ️и вкусного настроения вам от _tea_shop_1 ️
Мастерская-Улыбок Доктора-Лугуева5 ноября 2018 в 21:16
Стоматология «Мастерская улыбок» дарит каждому посетителю скидку 10% в первое обращение! Скидка распространяется на терапевтическое лечение зубов(лечение кариеса, пульпита, периодонтита и других заболеваний зубов) Тел.
Развернуть
Мастерская-Улыбок Доктора-Лугуева5 ноября 2018 в 20:34
Правда красивая работа реставрация. Работа не наша!!
Развернуть
Мастерская-Улыбок Доктора-Лугуева31 октября 2018 в 13:59
Провели реставрацию двух зубов ️. Работа врача Азадова Аскерхана #
Развернуть
Мастерская-Улыбок Доктора-Лугуева27 октября 2018 в 16:31
Наша маленькая принцесса Айша ️ готовится носить LM-Активаторы, чтоб в будущем у неё не было проблем с улыбкой и прикусом ️ #
Мастерская-Улыбок Доктора-Лугуева26 октября 2018 в 13:48
Установили ещё два имплантата Работа врача: Арслана Абакаровича. #
Развернуть
Мастерская-Улыбок Доктора-Лугуева26 октября 2018 в 12:40
Как вам тортик в знак благодарности от vipechka_xalal? а какой он вкусный #
Развернуть
Мастерская-Улыбок Доктора-Лугуева23 октября 2018 в 20:25
Установка двух имплантатов. ⠀⠀⠀⠀⠀⠀⠀⠀⠀⠀⠀⠀⠀⠀⠀⠀⠀⠀⠀⠀⠀⠀ Работа врача: Лугуева Арслана. #
Мастерская-Улыбок Доктора-Лугуева22 октября 2018 в 21:31
У нас прекрасная новость «Улыбка в рассрочку» — сделать красивые, ровные зубы просто и вовсе не дорого. Исправление прикуса с помощью брекетов по-прежнему остается самым распространенным вариантом решения проблемы. Брекеты — это лучшие системы для создания широкой улыбки, исправления суженного зубного ряда и скученных зубов. Стоматология Мастерская улыбок Dr.Lugueva предлагает выгодные условия: беспроцентная рассрочка на брекеты, на весь период лечения. Узнайте подробности у наших администраторов. ️ ️
Развернуть
Мастерская-Улыбок Доктора-Лугуева21 октября 2018 в 23:35
Спешим вас обрадовать в предверии Дня рождения клиники «Мастерская улыбок Доктора Лугуева» проводит Акцию ‼️ ________________________ АКЦИЯ 20 октября по 20 ноября — ЛЕЧЕНИЕ КАРИЕСА ЛЮБОЙ СЛОЖНОСТИ — 1️⃣9️⃣5️⃣0️⃣ руб. ________________________ Записаться на консультацию можно по телефонам:
WhatsApp ️ Адрес: г. Махачкала, ул. Абубакарова (Чернышевского), 98 #
Развернуть
Мастерская-Улыбок Доктора-Лугуева21 октября 2018 в 23:24
Ты студент ?! ⠀⠀⠀⠀⠀⠀⠀⠀⠀⠀⠀⠀⠀⠀⠀⠀⠀⠀⠀⠀⠀⠀⠀⠀Грызёшь гранит науки?! ⠀⠀⠀⠀⠀⠀⠀⠀⠀⠀⠀⠀⠀⠀⠀⠀⠀⠀⠀⠀⠀⠀⠀⠀ А денег не хватает на все?!
Развернуть
Мастерская-Улыбок Доктора-Лугуева21 октября 2018 в 23:21
Спешим вас обрадовать в предверии Дня рождения клиники «Мастерская улыбок Доктора Лугуева» проводит Акцию ‼️ ________________________ АКЦИЯ 20 октября по 20 ноября — Металлокерамическая коронка всего лишь за 3900 руб. ________________________ Записаться на консультацию можно по телефонам:
WhatsApp ️ Адрес: г. Махачкала, ул. Абубакарова (Чернышевского), 98 #
Развернуть
Мастерская-Улыбок Доктора-Лугуева13 октября 2018 в 16:11
Как все таки важно уметь работать с детьми
Развернуть
Мастерская-Улыбок Доктора-Лугуева13 октября 2018 в 15:21
Мы провели сегодня опрос среди деток kids_avenue_05 ️ Знают ли они что такое кариес? и на мое удивление они знают и не только про кариес а даже больше ️ А Доктор Нателла найдёт подход к любому ребёнку #
Мастерская-Улыбок Доктора-Лугуева13 октября 2018 в 14:23
Полная комплексная и эстетическая реставрация четырёх жевательных зубов с помощью композита Работа врача : Арслана Абакаровича #
Развернуть
Мастерская-Улыбок Доктора-Лугуева7 октября 2018 в 8:57
Поздравляем khabib_nurmagomedov 27—0. Красивая победа
Развернуть
Мастерская-Улыбок Доктора-Лугуева4 октября 2018 в 16:40
Прекрасно поработали
Мастерская-Улыбок Доктора-Лугуева4 октября 2018 в 15:45
Главное найти подход ️ #
Развернуть
Мастерская-Улыбок Доктора-Лугуева4 октября 2018 в 13:31
А тем временем у нас идёт подготовка kids_avenue_05 #дети@цветыжизни#доктора#
Мастерская-Улыбок Доктора-Лугуева4 октября 2018 в 12:26
Всем доброго дня ️Сегодня мы проведем профилактический осмотр в kids_avenue_05, следите за лентой и вам будет интересно ️
Мастерская-Улыбок Доктора-Лугуева25 сентября 2018 в 14:26
Гигиена у наших Докторов превыше всего Всем добро дня и позитивного дня
Мастерская-Улыбок Доктора-Лугуева25 сентября 2018 в 13:23
Ранее мы выставляли в историю пост, что не так на снимке а вот и ответ коварный зубик решил отдохнуть подальше от всех # как думаете какие дальнейшие действия будут?
Мастерская-Улыбок Доктора-Лугуева20 сентября 2018 в 14:57
Признавайтесь у кого такая же реакция на стоматологов? #
Развернуть
Мастерская-Улыбок Доктора-Лугуева20 сентября 2018 в 13:24
Установили два имплантата ⠀⠀⠀⠀⠀⠀⠀⠀⠀⠀⠀⠀⠀⠀⠀⠀⠀⠀⠀⠀⠀⠀⠀⠀⠀⠀⠀⠀⠀⠀⠀⠀⠀⠀⠀⠀⠀⠀⠀⠀Работа врача: Лугуева Арслана Абакаровича ⠀⠀⠀⠀⠀⠀⠀⠀⠀⠀⠀⠀⠀⠀⠀⠀⠀⠀⠀⠀⠀⠀⠀⠀⠀⠀⠀⠀⠀⠀⠀⠀⠀⠀⠀⠀ ⠀ Уважаемые пациенты‼️ По всем вопросам о сроках, стоимости и методах лечения обращайтесь по тел.: ️
Развернуть
Мастерская-Улыбок Доктора-Лугуева16 сентября 2018 в 17:31
Врач-терапевт ️ Абачараева Хабиба
Развернуть
Мастерская-Улыбок Доктора-Лугуева15 сентября 2018 в 13:49
Цвет настроения #синий всем доброго дня и красивых улыбок #
Развернуть
Мастерская-Улыбок Доктора-Лугуева9 сентября 2018 в 19:51
Полный съемный пласстмассовый протез на верхнюю челюсть. Нижняя челюсть : бюгельный протез на кламмерах. ⠀⠀⠀⠀⠀⠀⠀⠀⠀⠀⠀⠀⠀⠀⠀⠀⠀⠀⠀⠀⠀⠀⠀⠀⠀⠀⠀⠀⠀⠀⠀⠀⠀⠀⠀⠀ Уважаемые пациенты‼️ По всем вопросам о сроках, стоимости и методах лечения обращайтесь по тел.: ️ Lugueva
Развернуть
Мастерская-Улыбок Доктора-Лугуева8 сентября 2018 в 9:04
Всем доброго дня!
Развернуть
Мастерская-Улыбок Доктора-Лугуева4 сентября 2018 в 12:13
Всем доброго и позитивного дня всем красивых улыбок ️ #
Мастерская-Улыбок Доктора-Лугуева3 сентября 2018 в 19:07
Наша роскошная и всеми любимая Сабигат ️ ️
Развернуть
Мастерская-Улыбок Доктора-Лугуева3 сентября 2018 в 18:55
Реставрация зуба Работа врача Лугуева Арслана ⠀⠀⠀⠀⠀⠀⠀⠀⠀⠀⠀⠀⠀⠀⠀⠀⠀⠀⠀⠀⠀⠀⠀⠀⠀⠀⠀⠀⠀⠀⠀⠀⠀⠀⠀⠀ Уважаемые пациенты‼️ По всем вопросам о сроках, стоимости и методах лечения обращайтесь по тел.: ️ Lugueva
Развернуть
Мастерская-Улыбок Доктора-Лугуева30 августа 2018 в 22:39
Часть 4 # автор видео: Админка ️
Мастерская-Улыбок Доктора-Лугуева30 августа 2018 в 22:38
Часть 3 #
Мастерская-Улыбок Доктора-Лугуева30 августа 2018 в 22:38
Часть 2 #
Мастерская-Улыбок Доктора-Лугуева30 августа 2018 в 22:37
Часть 1 #
Мастерская-Улыбок Доктора-Лугуева30 августа 2018 в 13:59
Мыыыы ️ #
Развернуть
Мастерская-Улыбок Доктора-Лугуева30 августа 2018 в 13:19
Встретили нас хорошо ️ #
Развернуть
Мастерская-Улыбок Доктора-Лугуева30 августа 2018 в 13:14
Отдых с нашим коллективом прошёл весело и очень очень позитивно ️
Результаты заставили задуматься о написании этого поста.
Дело в том, что детей с полностью здоровой или санированной полостью рта выявлено всего 30% , в остальных случаях родители предпочитают не «заморачиваться» лечением молочных зубов, аргументируя это тем, что зубы все равно временные, скоро выпадут – затем вырастут новенькие и красивые..
И это в корне НЕВЕРНО.
Итак, чем может грозить нелеченый молочный зуб?. 1. Инфицирование… — Читать дальше
Да, да, не удивляйтесь, постоянный зуб может прорезаться уже с кариесом, либо не прорезаться вовсе, если кариес молочного зуба осложнился.
.
2. Формирование неправильного прикуса.
В случаях, когда коронки сильно разрушены и не участвуют в процессе жевания, правильное расположение зубов нарушается....
.
3. Болезни височно-нижнечелюстного сустава тоже могут в скором времени дать о себе знать головной болью…
.
4. Ну и напоследок – это осложненный кариес молочного зуба , который легко перетекает в пульпиты и периодонтиты с образованием гнойного экссудата (как его называют в народе «флюса») ________________________________________________
Чтобы сохранить вашим детям здоровую улыбку на всю жизнь, ей НЕОБХОДИМО заниматься уже с первого прорезывания зубов.
Не забывайте о профессиональной гигиене полости рта два раза в год для ребенка и для себя, лечите зубы своевременно – это позволит вам избежать множества проблем в будущем и существенно сэкономить на сложном и недешевом лечении. Профгигиена детям :..
.
Тел.:.
.
Проф гигиена: от 3 до 5 лет — 800₽.
.