98

Михаил Андреевич Кондеев

Вы можете доверять информации на этой странице
Представитель организации регулярно обновляет информацию и просматривает отзывы.
Стаж 12 лет Первая категория
4,6
/ 5 отзывов и 16 оценок
Отличный специалист
Оставить отзыв
О специалисте
Сообщить об ошибке
Профессиональный стаж:
12 лет
Должность:
Врач стоматолог - хирург - имплантолог
Врач выполняет хирургические манипуляции любой сложности. Проводит костные пластики (синус лифтинг, направленная костная регенерация, наращивание альвеолярного гребня с помощью забора костного блока. Имплантация зубов (с одномоментной нагрузкой, с одномоментным удалением и т.д.)
Места работы врача Михаила Андреевича Кондеева
Запись на приём онлайн
Для записи онлайн на определенное время выберите одну из организаций с доступным расписанием.
пн
вт
ср
чт
пт
сб
вс
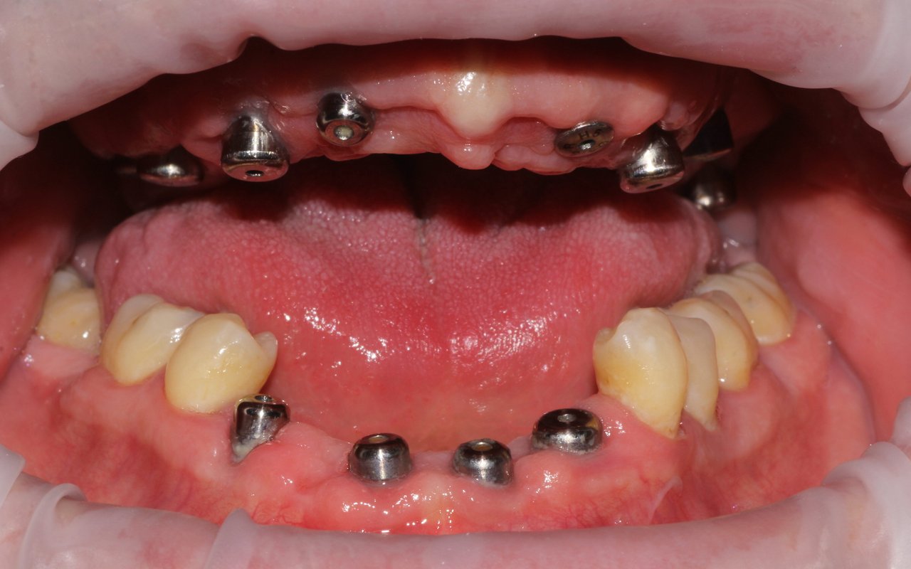
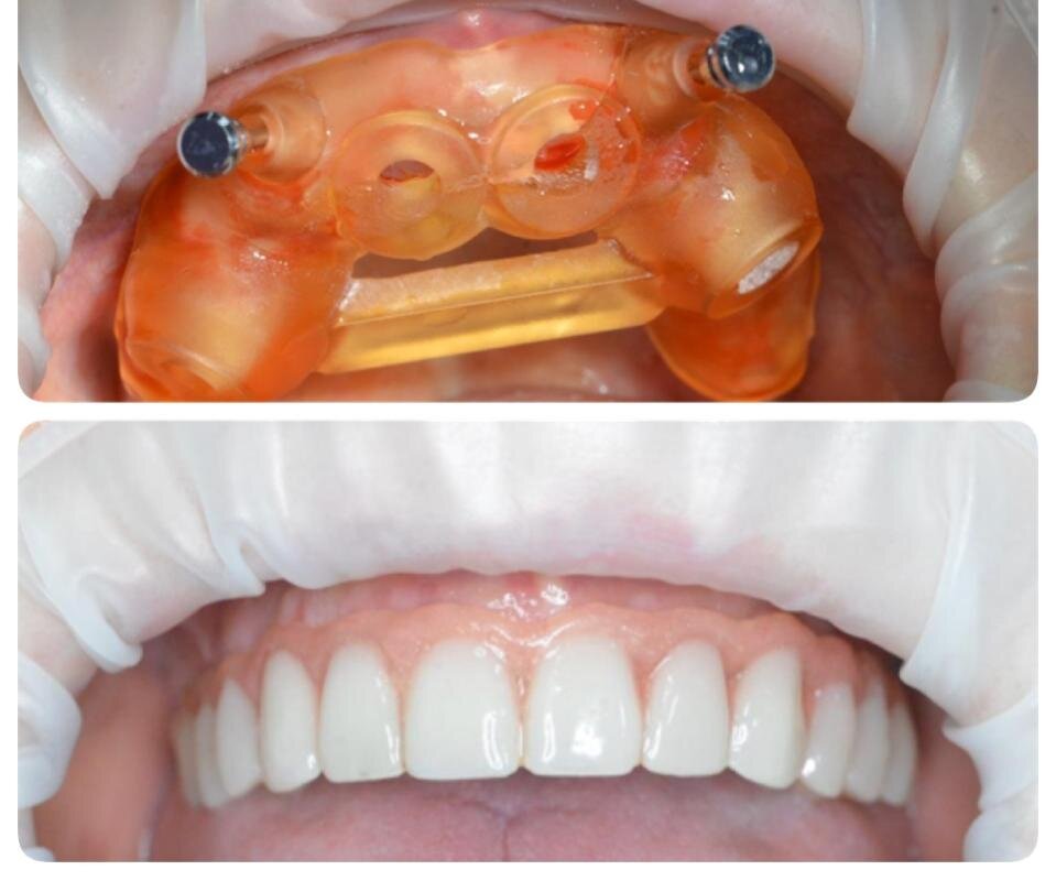
Фото работ врача Михаила Андреевича Кондеева

Отзывы о враче Михаиле Андреевиче Кондееве

Сортировать по:
  • 5,0
    Достоинства:
    Эта стоматология изменила мою жизнь! Выражаю благодарность Остапченко и Кондееву! Провели огромную работу, по исправлению эстетики и имплантации. Рекомендую клинику! Грамотные специалисты, обученый персонал. Кайфую от своей новой улыбки! Спасибо!
  • 5,0
    Достоинства:
    Привозила папу консультироваться по поводу протезирования. Вся информация донесена доктором понятно и просто, на любой вопрос был развернутый и профессиональный ответ, что сейчас очень редко встретишь) Благодарю нам очень понравилось, уже записались к Кондееву на вживление имплантов.
    Комментарий:
    Отличная клиника!
  • 5,0
    Достоинства:
    Очень долго подбирал себе имплантолога в городе.. Выбором остался доволен, Кондеев наверно лучший специалист во всем Хабаровске. Рекомендую его, и в целом клиника находиться на высоком профессиональном уровне!
    Комментарий:
    Все супер!
  • Комментарий:
    Была на приеме у Кондеева удаляли сложные зубы и устанавливали импланты. Все прошло чётко, быстро и безболезненно. Больше боялась и переживала на самом деле. Если нужен стоматолог-хирург, то только он! Всем рекомендую.
  • 5,0
    Недостатки:
    Я ставил имплант у доктора Кондеева Михаила Андреевича. Сама процедура прошла полностью безболезненно — что было очень важно для меня! Результат работы доктора отличный, все устраивает. Во время процедуры не возникло никаких сложностей, работа выполнена качественно и быстро. Все действия врача четко отработаны. Спасибо доктору. Скоро буду уже ставить коронку!
4,6
5 отзывов и 16 оценок
Оцените или напишите отзыв
Напишите отзыв, чтобы помочь другим пользователям с выбором.
Написать отзыв Редактировать отзыв
Отзывы с оценками
Образование
  • 2010 — Дальневосточный государственный медицинский университет (стоматология)
  • 2011 — Интернатура по специальности "Стоматология", Дальневосточный государственный медицинский университет
  • 2011 — Ординатура по специальности "Стоматология хирургическая", Дальневосточный государственный медицинский университет
Курсы повышения квалификации
  • 2011 — Дентальная имплантация
  • 2016 — Пьезохирургия в иплантологии. Костная пластика и синус-лифтинг. Продвинутый курс мастер-класса с расщеплением тонкого альвеолярного гребня и одновременной установкой имплантантов
  • 2017 — Инновации и противоречия в дентальной имплантации
  • 2017 — Предсказуемый успех в имплантологии – новые горизонты д.м.н. профессор Олесова В.Н.
  • 2018 — Лекционно-практический курс «Костная недостаточность при имплантации» г. Москва
  • 2018 — Подробный курс по работе на пьезотомах для стоматологов-хирургов» Артур Хавари, Acteon
  • 2018 — Принципы работы с имплантационной системой Straumann
  • 2019 — Современные концепции аугментации при работе с твердыми и мягкими тканями
  • 2019 — "Стоматология хирургическая", ООО «ДенталКонсалтингГрупп»
  • 2019 — "Тотальная реабилитация ALL-ON-4®: Командный челлендж: Paulo Malo, Andreia Rodrigues, Pedro Sobreira"
  • 2020 — "Стоматология хирургическая", Институт повышения квалификации специалистов здравоохранения
  • 2021 — Протоколы костной и мягкотканной аугментации Павел Ярошевич
  • Инновационные технологии в эстетической стоматологии
  • Plasmolifting в стоматологии
  • Комплексный подход в современной дентальной имплантологии

Часто задаваемые вопросы о Кондееве Михаиле Андреевиче

  • Какова средняя оценка Кондеева Михаила Андреевича на Zoon.ru?
  • Как долго Кондеев Михаил Андреевич работает по специальности?
  • В какой области Кондеев Михаил Андреевич оказывает свои услуги?
  • Где можно ознакомиться с портфолио Кондеева Михаила Андреевича?
  • Можно ли увидеть фотографии Кондеева Михаила Андреевича?
Информация предназначена для ознакомления и не заменяет квалифицированную медицинскую помощь. Проконсультируйтесь с врачом!
Средняя оценка - 4,6 на основании 5 отзывов и 16 оценок
Вверх