59

Егор Владимирович Щетинкин

Вы можете доверять информации на этой странице
Представитель организации регулярно обновляет информацию и просматривает отзывы.
Стаж 12 лет
4,5
/ 5 отзывов и 24 оценки
Отличный специалист
Услуги и цены
Консультация стоматолога-терапевта 1000 ₽
Все цены
О специалисте
Сообщить об ошибке
Профессиональный стаж:
12 лет
Стоимость услуг:
30 - 120 000 руб.
Оказывает все виды лечения и протезирования зубов.

Занимается диагностикой и лечением таких заболеваний зубов, как дефекты твердых тканей, кариес, периодонтит, пульпит, эстетическая реставрация зубов, изготовление виниров и др.

Диагностика и лечение следующих заболеваний:
+ деф
екты твердых тканей зубов;
+ кариес, в т. ч. пришеечный кариес;
+ периодонтит;
+ пульпит;
+ перелечивание корневых каналов;
+ выполнение профессиональной гигиены полости рта с обучением правильной индивидуальной технике чистки зубов.

Владение современными техниками невидимой реставрации зубов, с применением адгезивных и полировочных систем последнего поколения.

Использование в практической деятельности современных трёхмерных способов диагностики (КЛКТ - конусно-лучевая компьютерная томограмма).
... Показать еще
Места работы врача Егора Владимировича Щетинкина
Для получения дополнительной информации по стоимости услуг и записи к специалисту позвоните по номеру телефона организации
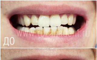
Фото работ врача Егора Владимировича Щетинкина
Прайс-лист
Сортировать:
по умолчанию
по цене
Консультация специалиста
Консультация стоматолога-терапевта
Консультация, осмотр пациента, назначение лечения, составление плана лечения
1000
Консультация стоматолога-ортопеда
Консультация, осмотр пациента, назначение лечения, составление плана лечения
1500
Консультация стоматолога детского
Консультация, осмотр пациента, назначение лечения, составление плана лечения
1000
Справка стоматолога
Справка о санации полости рта, в обменную карту, в детский сад, в школу, при трудоустройстве
500
Профессиональная чистка зубов
Гигиеническая чистка зубов
Снятие ультразвуковым способом зубных отложений, полировка зубов пастами, очистка межзубных промежутков...
5040
Снятие зубных отложений
Снятие ультразвуковым способом зубных отложений, полировка зубов пастами, очистка межзубных промежутков...
5040
Удаление зубного камня
Снятие ультразвуковым способом зубных отложений, полировка зубов пастами, очистка межзубных промежутков...
5040
Чистка зубов ультразвуком
Снятие ультразвуковым способом зубных отложений, полировка зубов пастами, очистка межзубных промежутков...
3600
Гигиеническая чистка зубов детям
Снятие ультразвуковым способом зубных отложений, полировка зубов пастами, очистка межзубных промежутков...
3600
Фторирование зубов
Покрытие зуба фторлаком
30 за 1 ед
Цены, приведённые на сайте, не окончательные, не являются публичной офертой и носят информационный характер. Администрация оставляет за собой право изменять цены.
Вы можете уточнить стоимость по телефону.
Сертификаты и документы

Отзывы о враче Егоре Владимировиче Щетинкине

Сортировать по:
  • 5,0
    Очень довольна качеством и отношением в этой стоматологии. Иду туда без страха, с хорошим настроением. Мой доктор Егор Владимирович делает свою работу с любовью и на совесть. И это очень важно в любом деле, а в медицине и стоматологии особенно.
  • 5,0
    Хочу поблагодарить Егора Щетинкина за оказанную помощь: вылечила благополучно два зуба, которые беспокоили с декабря 2019года. Сейчас ничего не мешает и между зубов пища не попадает. Желаю дальнейших успехов и прекрасной работы! Спасибо!
  • Посетила в данную клинику услугу проф гигиену. Гигиена делается ультразвуком.
    Очень понравилась работа врача, сделал все аккуратно и профессионально.
  • Долгое время находилась в поиске хорошего стоматолога и, кажется, нашла.
    Попала к Егору Владимировичу на гигиену полости рта, очень понравилось отношение доктора — внимательный, аккуратный, доброжелательный. Рассказал мне всё о состоянии моих зубов, дал рекомендации по уходу и дальнейшему лечению. Планирую обратиться за заменой пломбы. Уверена, всё будет также хорошо.
    Профессионализм чувствуется даже на гигиене.
    Спасибо большое!
  • Хожу последние несколько лет только к Егору. Замечаю, что перестала совершенно бояться стоматологов. Егор всё делает аккуратно. Внимателен, бережен. Выясняет все подробности, объясняет, что именно делает и для чего. Рассказывает про разные варианты лечения. Очень рекомендую его как мягкого, внимательного и ответственного специалиста.
    Ставила коронку на сложный зуб. До этого у нескольких врачей пролечивала зуб, но не до конца. Проблема была уже в кости. Лечение в целом заняло около года, но это
    – показать
4,5
5 отзывов и 24 оценки
Оцените или напишите отзыв
Напишите отзыв, чтобы помочь другим пользователям с выбором.
Написать отзыв Редактировать отзыв
Отзывы с оценками
Образование
  • 2013 — Уральский государственный медицинский университет (врач стоматолог)
  • 2014 — Уральский государственный медицинский университет (врач стоматолог общей практики)
Курсы повышения квалификации
  • 2012 — Актуальные вопросы местного обезболивания, терапевтической и ортопедической стоматологии
  • 2013 — Функциональная эстетика фронтальной и жевательной групп зубов
  • 2014 — Уральский государственный медицинский университет (врач стоматолог-терапевт)
  • 2014 — Ultradent Verifes That. Actual trends in stomatology
  • 2014 — Сертификат участника международного стоматологического Конгресса "Стоматология Большого Урала"
  • 2015 — Уральский государственный медицинский университет (врач стоматолог-ортопед)
  • 2015 — Цифровая имплантология: Точное моделирование имплантатов с помощью компьютерных шаблонов
  • 2015 — Пациенты группы риска на приёме у врача стоматолога. Профилактика неотложных состояний в амбулаторной стоматологической практике
  • 2015 — Сертификат участника международного стоматологического Конгресса "Стоматология Большого Урала"
  • 2015 — Неотложные состояния на амбулаторном стоматологическом приёме. Выбор местных анестетиков в практике стоматологов
  • 2016 — Уральский государственный медицинский университет (врач стоматолог-детский)
  • 2016 — От пробного клинического моделирования (mock up) к провизорным реставрациям (авторский семинар)
  • 2016 — Сертификат участника международного стоматологического Конгресса "Стоматология Большого Урала"
  • 2016 — Лучевая диагностика в стоматологии
  • 2016 — Соблюдение алгоритмов местного обезболивания - основа успешного стоматологического лечения
  • 2017 — Современные решения в стоматологии. Правила и алгоритмы препарирования корневых каналов: от ручных инструментов к машинным. Объёмное восстановление одной порцией композитного материала Filtek Bulk Fil
  • 2017 — ЦНИИС - international "Innovative Techniques in Endodontic Treatment". Prof. Mario Zuolo
  • 2017 — Сертификат участника международного стоматологического Конгресса "Стоматология Большого Урала"
  • 2018 — Удостоверение "Актуальные вопросы профессиональной патологии"
  • 2019 — Сертификат участника международного стоматологического Конгресса "Стоматология Большого Урала"
  • 2019 — Инновационное лечение Icon. Профилактика, как важный аспект в практике стоматолога
Участие в мероприятиях
  • 2020 — Участник мероприятия кафедры стоматологии детского возраста и ортодонтии ФГБОУ ВО УГМУ Минздрава России по теме "Будущее минимально-инвазивных технологий в детской стоматологии: от лечения к профилактике"
  • 2020 — Участник мероприятия кафедры стоматологии детского возраста и ортодонтии ФГБОУ ВО УГМУ Минздрава России по теме "Детская стоматология: интегративный подход - психологические аспекты работы с детьми, вопросы профессионального выгорания, междисциплинарное взаимодействие терапевта и хирурга"
Опыт и достижения
  • 2014 — Врач стоматолог-терапевт. Рузана
  • 2015 — Врач стоматолог-ортопед. Рузана
  • 2016 — Детский стоматолог. Рузана

Часто задаваемые вопросы о Щетинкине Егоре Владимировиче

  • Как пациенты оценивают Щетинкина Егора Владимировича?
  • Сколько времени Щетинкин Егор Владимирович трудится по специальности?
  • Какое базовое направление деятельности Щетинкина Егора Владимировича?
  • Дорого ли Щетинкин Егор Владимирович оценивает свои услуги?
  • Есть ли у Щетинкина Егора Владимировича нужные лицензии?
  • Где можно ознакомиться с портфолио Щетинкина Егора Владимировича?
  • Есть ли возможность посмотреть фото Щетинкина Егора Владимировича?
Информация предназначена для ознакомления и не заменяет квалифицированную медицинскую помощь. Проконсультируйтесь с врачом!
Средняя оценка - 4,5 на основании 5 отзывов и 24 оценок
Вверх