86

Карина Сергеевна Федорова

Вы можете доверять информации на этой странице
Представитель организации регулярно обновляет информацию и просматривает отзывы.
Стаж 5 лет
4,9
/ 5 отзывов и 10 оценок
Отличный специалист
Услуги и цены
Консультация врача-стоматолога (первичный приём) 700 ₽
Все цены
О специалисте
Сообщить об ошибке
Профессиональный стаж:
5 лет
Стоимость услуг:
700 руб.
Карина Сергеевна окончила ФГБОУ ВО "ЧГУ им.И.Н.Ульянова" по специальности "Стоматология". Совмещала учебу и работу ассистентом врача-стоматолога. Во время работы ассистентом проходила различные обучения у известных специалистов и стоматологов: семинар А.Е.Кудрина "Экстренные состояния в стоматологической практике и алгоритм оказания помощи", курс Ивана Рузина "Реставрация жевательной группы зубов", а также посетила курсы по работе с коффердамом, фотопротоколу в стоматологии и эндодонтическому лечению на базе частной клиники.С 2021 по 2023 проходила обучение в ординатуре по специальности "Стоматолог-терапевт". Параллельно с обучением в работала врачом в частной стоматологической клинике.

Врач занимается профилактикой и лечением зубов, а именно: профессиональной гигиеной полости рта, лечением кариеса и его осложнений, реставрацией зубов.
В настоящее время продолжает совершенствоваться и обучаться у старших коллег в разных уголках страны.

Карина Сергеевна способна найти индивидуальный подход к каждому пациенту, она чутка и внимательна: на приеме проводит тщательную диагностику, составляет подробный план лечения, а также проходит путь к здоровым зубам вместе с вами.
... Показать еще
Места работы врача Карины Сергеевны Федоровой
Для получения дополнительной информации по стоимости услуг и записи к специалисту позвоните по номеру телефона организации
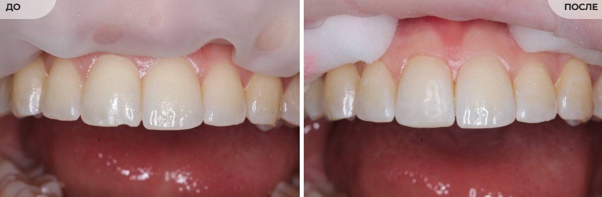
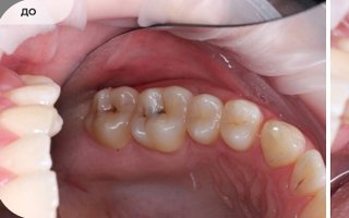
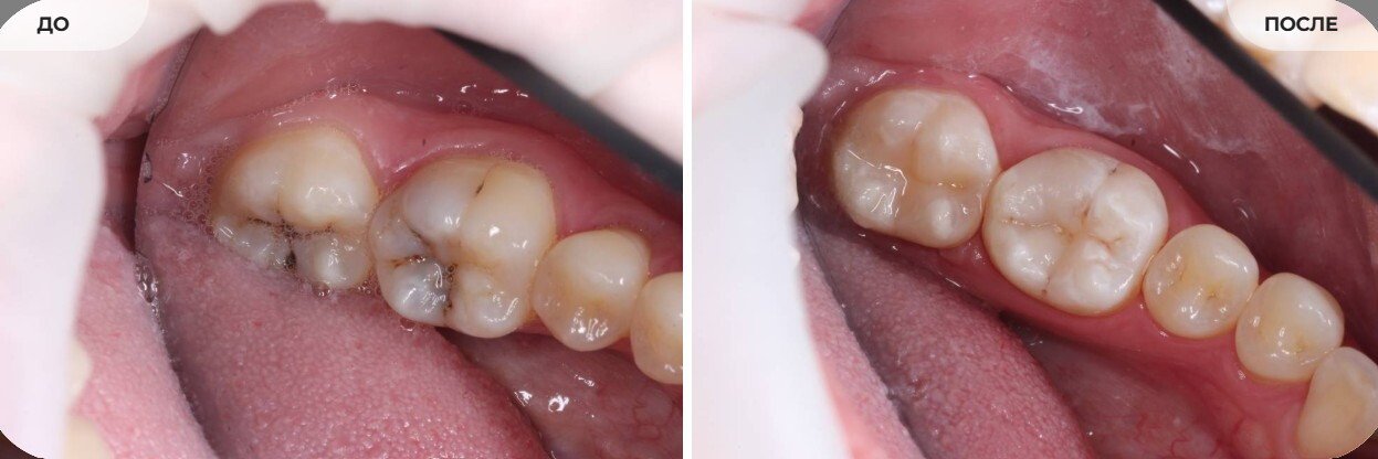
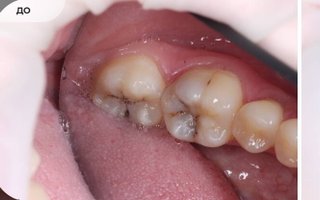
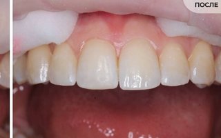
Фото работ врача Карины Сергеевны Федоровой
Прайс-лист
Сортировать:
по умолчанию
по цене
Консультация врача-стоматолога (первичный приём)
700
Цены, приведённые на сайте, не окончательные, не являются публичной офертой и носят информационный характер. Администрация оставляет за собой право изменять цены.
Вы можете уточнить стоимость по телефону.
Сертификаты и документы

Отзывы о враче Карине Сергеевне Федоровой

Сортировать по:
  • 5,0
    Спасибо Карине Сергеевне за внимательное отношение и красивую реставрацию.
  • 5,0
    Благодарна Карине Сергеевне. Случился неприятный казус, отломилась пломба на переднем зубе. За один прием врач аккуратно реставрировала зуб Выглядит натурально. Большое спасибо.
  • 5,0
    Сначала была нервозность, но Карина Сергеевна сразу сняла напряжение. Лечение кариеса и реставрация прошли без боли, работа под микроскопом впечатляет. Отбеливание тоже не подвело. Единственное немного долго ждала при записи, но в остальном всё отлично.
  • 5,0
    Лечила кариес у Кузьминой. Аккуратно, не больно. Вылечила два зуба, и реставрировала передний зуб. Пломбы не видно, выглядит естественно. Мне комфортно улыбаться. Большое спасибо.
  • 5,0
    Достоинства:
    Спасибо большое Кузьминой Карине Сергеевне, за её доброту, профессионализм и талант. Вылечила мне все зубы, я даже и подумать не могла, что все пройдёт так быстро и безболезненно. Хорошая клиника, отличные специалисты. Сервис и качество оказываемых услуг на высшем уровне!
4,9
5 отзывов и 10 оценок
Оцените или напишите отзыв
Напишите отзыв, чтобы помочь другим пользователям с выбором.
Написать отзыв Редактировать отзыв
Отзывы с оценками
Образование
  • 2021–2023 — Обучение в ординатуре по специальности "Стоматолог-терапевт"
  • Окончила ФГБОУ ВО "ЧГУ им.И.Н.Ульянова" по специальности "Стоматология"
Курсы повышения квалификации
  • Посетила курсы по работе с коффердамом, фотопротоколу в стоматологии и эндодонтическому лечению на базе частной клиники
  • Курс Ивана Рузина "Реставрация жевательной группы зубов"
  • Семинар А.Е.Кудрина "Экстренные состояния в стоматологической практике и алгоритм оказания помощи"
Информация предназначена для ознакомления и не заменяет квалифицированную медицинскую помощь. Проконсультируйтесь с врачом!
Средняя оценка - 4,9 на основании 5 отзывов и 10 оценок
Вверх