Статьи
Медицина
Процедуры

МРТ сосудов головного мозга: показания, подготовка, как проводится

Елена Анатольевна Мутовина
31 октября 2025
775
11 минут
Источник фото: jcomp / Freepik
Источник фото: jcomp / Freepik

Содержание

Содержание
Вверх

Головной мозг глубоко и надежно спрятан от внешнего мира. Он контролирует все жизненно-важные функции организма человека, поэтому природой задумана такая прочная защита. Но именно крепкая черепная коробка не позволяет проводить обследование этого органа обычными методами. Структурные изменения сложно выявить с помощью ультразвукового исследования, эхоэнцефалоскопии, рентгенографии. Толстые кости черепа поглощают рентгеновские лучи и не пропускают ультразвуковую волну, поэтому наиболее информативным методом диагностики заболеваний головного мозга и его сосудов стала магнитно-резонансная томография.

Источник фото: sasirin pamai / Shutterstock

Что показывает МРТ сосудов головного мозга

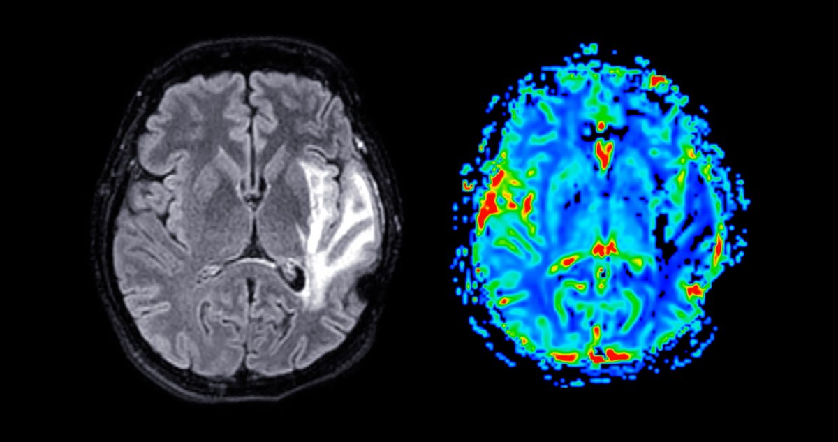
Магнитно-резонансная томография (МРТ) – это один из безопасных, неинвазивных (т.е. без нарушения целостности кожных покровов), высокоточных методов исследования органов. В основе метода лежит явление ядерно-магнитного резонанса, то есть способности атомов водорода менять свои свойства и положение под воздействием электромагнитных волн разной направленности в постоянном магнитном поле. При этом считывающий датчик улавливает эти изменения, а специальная программа преобразует их и выводит на экран монитора в виде изображения.

Разные типы тканей имеют свою плотность атомов водорода. Когда в них появляются изменения (например, формируются опухолевые клетки или гибнут здоровые), то они приобретают другие свойства, меняются и их резонансные характеристики.  Все эти отклонения будут зафиксированы томографом и выведены на экран монитора.

Источник фото: Pressmaster / Shutterstock

Для некоторых состояний достаточно нативного (обзорного) исследования, для других – дополнительно требуется применение контрастного вещества, изменения со стороны сосудистого русла выявляют с помощью режима ангиографии.

МРТ сосудов головного мозга позволяет выявить следующие изменения:

  • аневризмы;
  • артерио-венозные мальформации;
  • врожденные аномалии развития;
  • тромбозы (венозных синусов);
  • окклюзию (закупорку) артерий;
  • артериальные стенозы (сужения просвета, вызванные, например, образованием атеросклеротических бляшек, травмой, аномалией развития или васкулитом);
  • усиление кровотока в области новообразований;
  • варианты развития системы артериального кровотока (замкнутый или незамкнутый Виллизиев круг).

Стоит отметить, что состояние системы кровоснабжения головного мозга правильнее оценивать в комплексе с сосудами шеи. Такой подход позволяет получить целостную картину брахиоцефального и церебрального кровотока.

Чаще всего исследования проводятся на аппаратах  МРТ мощностью 1,5 Тесла. Шаг среза у них составляет 3 мм. Этого вполне достаточно для выявления изменений со стороны вещества головного мозга, а также сосудов, отвечающих за его кровоснабжение. Некоторые мелкие структуры нуждаются в более точном изучении, для этого требуется аппарат мощностью 3 Тесла.

МРТ на аппарате 3 тесла в Москве
Нашли для вас: 17 мест
Смотрите также

Показания к диагностике

Показания к проведению МРТ головного мозга и сосудов выявляет лечащий врач после выяснения жалоб, этапов развития болезненного состояния и выполнения его неврологического осмотра.

Среди жалоб выделяют:

  • сильную головную боль, особенно сопровождающуюся тошнотой и рвотой;
  • головокружение;
  • обмороки;
  • судорожные приступы;
  • изменение чувствительности в какой-то части тела;
  • сильные боли в глазных яблоках;
  • изменение речи (невнятность, нарушение понимания и произношения);
  • нарушение координации движений, частые падения, неустойчивость;
  • нарушение обоняния, слуха, зрения, галлюцинации;
  • снижение памяти;
  • неадекватное поведение;
  • навязчивые движения.
Источник фото: triocean / Shutterstock

МРТ сосудов головного мозга и шеи назначают при подозрении на:

  • объемное образование головного мозга;
  • инсульт;
  • деменцию;
  • аневризмы, артериовенозные мальформации;
  • каверному;
  • венозные тромбозы;
  • гидроцефалию.

МР-ангиографию назначают при выявлении холестериновых бляшек на сонных артериях в ходе ультразвукового исследования (УЗДГ сосудов шеи) для оценки распространенности атеросклеротического процесса, уточнения его локализации и степени стеноза.

МР-ангиография головного мозга в Москве
Нашли для вас: 560 мест

Также исследование проводят по назначению онколога или нейрохирурга перед выполнением оперативного вмешательства для определения интенсивности кровоснабжения пораженной области мозга, оценки риска кровотечения и его возможной тяжести. Эти показатели во многом влияют на тактику хирургического лечения.

Как подготовиться к исследованию

Специальной подготовки к МРТ сосудов мозга и шеи не требуется. Важно соблюсти все меры предосторожности. В основном, они касаются наличия металлических элементов в организме.

После оформления документов пациента провожают в комнату для переодевания. Нужно снять с себя все металлосодержащие предметы: украшения, ювелирные изделия, очки, часы, зубные протезы. Не допускается наличие на одежде молний, клепок, металлических пуговиц, крючков, пайеток, страз.

Источник фото: Monkey Business Images / Shutterstock

Женщинам рекомендуется перед томографией надеть мягкий бюстгальтер без застежек (по типу спортивного топа) или пройти обследование без этого элемента нижнего белья.

Одежду нужно подобрать свободную, удобную, потому что во время исследования необходимо длительное время лежать и стараться не шевелиться.

В этом же помещении нужно оставить мобильный телефон, банковские и дисконтные карты, прочую электронику, потому что под воздействием магнитного поля они могут прийти в негодность.

Лицам с повышенной тревожностью, а также тем, кто страдает клаустрофобией нужно психологически настроиться на процедуру. Если нервозность и переживания сохраняются, то минут за 30 до исследования можно принять успокоительное средство, согласованное с лечащим врачом.

Пациентам, которые в силу заболевания не могут контролировать свои движения и сохранять неподвижное положение, а также тем, кто страдает психическими расстройствами, требуется применение седатирующих препаратов, которые погрузят больного в сон. Этот вопрос всегда нужно обговаривать заранее с лечащим врачом.

Источник фото: Freedomz / Shutterstock

Пациентам с выраженным болевым синдромом перед процедурой необходимо принять обезболивающее средство. Тем, кто страдает от головокружения, тошноты и рвоты – противорвотные препараты.

Неподвижное положение головы – залог правильно проведенного обследования.

Проведение комплексного исследования с применением контрастного усиления также не требует дополнительной подготовки.  В отличие от КТ-ангиографии, больному не надо сдавать анализ крови на креатинин и определение СКФ для выявления нарушений работы почек. Контрастное вещество, используемое при проведении МРТ мозга и сосудов, вводится в очень малых дозах и не влияет на работу мочевыделительной системы.

Непосредственно перед процедурой нужно опорожнить мочевой пузырь, можно сделать пару глотков чистой негазированной воды.

При наличии установленных эндопротезов, ортодонтических конструкций может потребоваться информация о том, из какого металла они изготовлены. Обычно она указана выписном эпикризе из стационара, либо ее можно получить у лечащего врача.

Источник фото: OMG_Studio / Shutterstock

Как проходит исследование

Прежде чем пациент попадет в зал, в котором установлен томограф, его могут дополнительно проверить с помощью металлоискателя.  В случае выявления ферромагнитных элементов, которые невозможно снять или удалить, в исследовании будет отказано.

Также у больного уточнят информацию о наличии установленного кардиостимулятора, инсулиновой помпы, имплантированного слухового аппарата, в связи с тем, что в магнитном поле эти приборы выходят из строя.

Поскольку томограф состоит из 2 больших элементов (подвижного стола и неподвижной трубы с тоннелем), существуют некоторые ограничения для пациентов. В зависимости от характеристик аппарата, масса тела больного не должна превышать 130-150 кг. Однако, не менее важна окружность живота пациента, чтобы он не застрял в тоннеле трубы.

Если противопоказаний не выявлено, то пациента укладывают на стол аппарата, голову фиксируют специальной рамкой и мягкими вкладышами. Это позволит избежать случайных нежелательных движений. Во время исследования оператор находится в контакте с больным при помощи громкой связи. Если ему станет плохо, он сможет оповестить об этом персонал. Для этих же целей предусмотрен специальный пульт с кнопкой экстренного сигнала, который дают в руки пациенту перед процедурой.

Источник фото: Freepik

Во время работы томограф издает множество громких неприятных звуков. Об этом обязательно оповещают пациента, чтобы при их возникновении не возникло неожиданной двигательной реакции, при необходимости можно использовать беруши.

МР-ангиография – это высокоточный метод исследования, поэтому для получения четкого изображения больному нужно долгое время сохранять неподвижное положение головы. Желательно закрыть глаза, взор зафиксировать в одном положении, постараться расслабиться и спокойно дышать. Процедура абсолютно безболезненна.

На подвижном столе пациента помещают внутрь трубы таким образом, что в аппарате оказывается только его верхняя половина. Выполняется серия снимков в разной проекции, в нескольких режимах. После завершения исследования стол с пациентом извлекают из томографа. Можно покинуть клинику и получить описание позже или немного подождать и сразу забрать результат обследования и диск с его записью.

Отдельно церебральную ангиографию назначают редко, обычно выполняют МРТ головы и сосудов мозга.

При подозрении на некоторые болезни врач может назначить магнитно-резонансную томографию головного мозга с ангиографией и контрастным усилением. В таком случае перед процедурой пациенту устанавливают периферический венозный катетер. После выполнения нативного исследования больного извлекают из тоннеля аппарата, медсестра вводит препарат на основе гадолиния, стол снова заезжает в томограф, выполняется новая серия снимков.

Обычная МР-ангиография с нативным исследованием головного мозга длится примерно 30 минут. Процедура с применением контрастного усиления занимает около 60 минут

Читайте также:

Противопоказания к МРТ сосудов мозга

МРТ сосудов головного мозга противопоказано при наличии:

  • установленного кардиостимулятора, инсулиновой помпы, аппарата костной проводимости;
  • элементов из ферро-магнитных металлов (скобки, пластины, болты, спицы, инородные тела);
  • металлической стружки или окалины в глазном яблоке;
  • беременности на ранних сроках (первый триместр);
  • массы тела более 130-150 кг (в зависимости от технических характеристик аппарата) или крупных размеров живота.

При наличии признаков недомогания, ОРВИ или кишечных инфекций процедуру рекомендуется перенести до момента выздоровления или стабилизации состояния.

Результат диагностики

Полученные снимки изучает специалист по магнитно-резонансной томографии. Он описывает здоровые ткани и все выявленные изменения, указывая их расположение, размеры, изменение плотности, границы. В отношении патологии сосудов головного мозга и шеи указывается наличие аневризм, мальформаций, гипоплазии, аномалий развития, стенозов с их протяженностью, локализацией и степенью сужения просвета сосуда, зоны с усилением или ослаблением кровотока, тромбозов и окклюзий.

Источник фото: Radiological imaging / Shutterstock

Важно понимать, что врач только описывает выявленные изменения, и полученное заключение не является диагнозом. За постановкой диагноза и определением дальнейшей тактики действий нужно обратиться за консультацией к специалисту (неврологу, нейрохирургу, сосудистому хирургу, онкологу).

На портале ZOON.RU вы сможете найти информацию о клиниках, которые выполняют МРТ сосудов головного мозга, выбрать организацию, которая будет удобна вам по расположению или графику работы. Мы предоставляем сведения о том, какие специалисты ведут прием в этих лечебных учреждениях, чтобы у вас была возможность записаться на исследование и последующую консультацию врача для разъяснения полученного описания и определения дальнейшей тактики лечения.

МРТ сосудов головного мозга в Москве
Нашли для вас: 560 мест
Смотрите также

Источники информации:

  1. Кардаильская Д.О., Зяблова Е.И., В.А. Порханов, Пронин И.Н., Захарова Н.Е. Роль магнитно-резонансной ангиографии в оценке результатов лечения аневризм головного мозга и последующем наблюдении за пациентами. Инновационная медицина Кубани. 2022;(1):61–68. https://doi.org/10.35401/2500-0268-2022-25-1-61-68;
  2. Методы лучевой диагностики и информационные технологии в клинической практике. Магнитно-резонансная томография / Иванов В.А. и др.- СПб.: МАПО, 2001 – С.39.;
  3. Динамическая контрастная магнитно-резонансная ангиография сосудов головного мозга в дифференциальной диагностике рецидивов глиальных опухо 36 лей / Бородин О.Ю., Пыжова И.Б., Рыжаков В.М. // Лучевая диагностика и терапия. – 2017. – №2. – С. 47-48.;
  4. Илясова Е. Б., Чехонацкая М. Л., Чехонацкий А. А., Приезжева В. Н., Кочанов С. В., Хмара Т. Г., Кондратьева О. А.,  Зуев В. В., Никольский Ю. Е., Исаева Т. М. Эффективность магнитно-резонансной ангиографии при цереброваскулярных нарушениях // Саратовский научно-медицинский журнал. 2012. Т. 8, № 2. С. 440–442.
Информация предназначена для ознакомления и не заменяет квалифицированную медицинскую помощь. Проконсультируйтесь с врачом!
Эта статья была полезна?
2
Предыдущая статья
МРТ головного мозга: что показывает и как подготовиться
Об авторе
ЕА
Редактор Zoon
Елена Анатольевна Мутовина
125 статей на Zoon
Стаж 33 года
Эндокринолог
Высшая категория
Красноярский Государственный Медицинский институт

Комментарии

Написать комментарий Редактировать отзыв
Укажите ваше имя
Отменить
Комментариев пока нет — ваш может стать первым
Что вы думаете на тему статьи?
Вам также могут понравиться
10 октября 2023
Превенар: всё, что вам нужно знать о вакцине для защиты от пневмококковой инфекции
1597
2
11 октября 2023
MMR вакцинация
2457
11 октября 2023
Профессиональная чистка зубов
3213
11 октября 2023
Коронография
8237
42
12 октября 2023
Мастэктомия: глубокое погружение в вопрос здоровья груди
11631
27
1
29 октября 2025
МРТ головного мозга: что показывает и как подготовиться
255
2